Cookie Consent byPrivacyPolicies.comBesoin d'aide - cas clinique égressions extrêmes (avis - Eugenol

Besoin d'aide - cas clinique égressions extrêmes (avis ortho)

Pickup

31/08/2017 à 07h47

Bonjour,

Je sèche un peu sur ce cas, auriez vous un avis SVP.
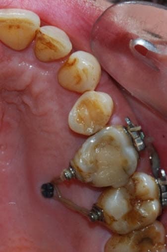
Patiente moins de 40 ans, qui a un peu laissé trainer les choses et désire s'en occuper maintenant. Elle pensait avoir droit aux complets mais je lui ai tout de suite dit "mais nooooooooon !". Possibilités financières limitées (pas d'implanto).
Les égressions dues au manque de calage postérieur sont ici extrêmes. La dévitalisation + élongation coronaire + couronnes ou bridges plus ou moins dans la courbe de Spee des molaires maxillaires, risque de me faire atteindre les furcations.
Est-ce qu'un ortho pourrait ingresser ces molaires maxillaires?
Pour le bas ça sera sans doute stellite avec dents massives?
Merci d'avance

Qv5ifqo0tpyy8j5ykmns - Eugenol
Flujnzzpsbgpqckr9xfc - Eugenol
Iu6b8ma9b52huozpsl9g - Eugenol
Atzxleppdhjeu8kvx4be - Eugenol

sine63

31/08/2017 à 10h11

--
Bonjour,
je dirais montage directeur et passage avec des appareils provisoires et couronnes provisoires pour augmenter la DV progressivement (y a t-il des pbmes d'ATM associés ?). Je vais peut être me faire lyncher mais pourquoi ne pas envisager de recréer une occlusion en arcade raccourcie c'est à dire jusqu'au 6 seulement? Pour moi aussi c'est toujours compliqué ses problèmes d'effondrement postérieurs..


Dolan donald duck weird wqjham bw43ju - Eugenol
GéPé

31/08/2017 à 10h28

Si la patiente est juste financièrement, l'ortho ça va pas être possible.


3395 40 umvzjn - Eugenol
Aspius

31/08/2017 à 11h00

Typiquement le genre de situations où le NPC est une condition sine qua none.


lachmar

31/08/2017 à 11h12

a mon avis d'emblée PAP surelevée pour évaluer la tolérance des ATM
en mettant une surélévation en résine transparent sur les dents du bas
devis pour cette partie en expliquant que le devis pour travaux définitifs ne pourra être fait qu'a l'issue de la mise en condition ; ce qui te permet de coter des prothèses transitoires
et tu regles la hauteur à coups de meulages de la résine
ca ca ne devrait pa couter trop cher
une fois que ta hauteur est acquise àcoups de meulages (généreux si necessaire) , tu réevalues le tout en mettant sur articulateur et tu proposes ton plan de traitement
non négociable ; parcque en fixe tu risques de tout péter après la mise en fonction ; la position postérieure des condyles etant surpenante en ouverture/propulsion sur l'OPT

et, en guise de conslusion : pourquoi se faire chier avec des cas difficiles alors qu'il y a tant de cas faciles ?


Bebert.

31/08/2017 à 13h09

Pour avoir déjà été confronté maintes fois à ce genre de cas, je peux dire que le stellite avec dents massives ne sera jamais porté car:
1°) il n'y a pas de problème esthétique (la demande est fonctionnelle)
2°) la pression excessive va entraîner des blessures
3°) la patiente est comme ça depuis plusieurs années
4°) une amovible chez une patiente (encore) jeune ... ça passe rarement même en provisoire et ce n'est pas cela qu'elle est venue chercher.


L'ingression ortho est quasiment impossible chez l'adulte.

Sauf à pouvoir augmenter la DV (mais pas avec un stellite), il n'y a pas de solution simple.

La seule solution viable est chirurgicale et implantaire car en plus les molaires sup ont déjà une grosse perte osseuse (furcation sur la 27 ? - parodontite chronique ?) donc pas de plastie osseuse possible en conservant les dents postérieures.

Sinon en choses simples et pas chères: extraction des secteurs postérieurs (PM gardées pour attachements) + régularisation de crêtes et 2 stellites .... qu'elle ne portera jamais car aucune dent visible ne lui manque encore !

PS: ils me font toujours rigoler, ils attendent des années d'être dans une impasse et pensent qu'on va régler le problème vite fait et pour pas cher avec 2 ou 3 couronnes remboursées par la sécu et leur mutuelle...
Donc je comprends l'avis de Lachmar ;)

PS2: et devant, esthétiquement, c'est comment ?
les papilles n'ont pas l'air au mieux de leur forme
hygiène ?
motivation ?
tabac ?


Pickup

01/09/2017 à 00h05

Merci pour vos avis.
Je vais repréciser avec elle sa demande, sa motivation, et ses possibilités financières (+ bilan paro).
Mais à priori j'avais plutôt imaginé des stellites, sans doute parce qu'elle même pensait s'en sortir avec des complets.
J'ai lu que dans des égressions extrêmes, les extractions pouvaient être indiquées. Ca ne m'enchante pas d'extraire encore plus de dents, mais que pensez vous de sacrifier 15-17-26-27 + régularisation/soustraction de crêtes et 2 stellites?


Blocperso talon jer3sl - Eugenol
mrquentin

01/09/2017 à 21h42

--
2 solutions pour moi:
1/ext sect post et stellites
2/ la gencive a l'air sacrément épaisse, notamment au niveau des racines restantes. je pense que leur extraction va provoquer leur amincissement. ensuite, tu peux tenter endo des dents egressées +couronnes dans la courbe d'occlusion... meme pas sur qu'une elongation corronaire soit necessaire. puis PAP.


1 eugenol dmj5np - Eugenol
Dancha

04/09/2017 à 17h42

Pickup écrivait:
----------------
> Est-ce qu'un ortho pourrait ingresser ces molaires maxillaires?
Absolument !
Pour ingresser des secondes molaires supérieures, il faut placer deux microvis en vestibulaire dans le processus zygomatique avec un CS8-1 ou un CS8-2 qui émerge en fond de vestibule, une vis transmuqueuse en palatin. On peut coller des boutons avec tractions élastiques en vestibulaire et en palatin, ou placer une chaînette élastomérique en hamac (voir les photos jointes réalisées je jour de l’intervention). On la colle alors sur la face occlusale par précaution avec une goutte de composite fluide afin qu'elle ne glisse pas. La technique chirurgicale, archi-simple est bien décrite dans le dernier article que nous avons publié (décembre 2016) et pour lequel je te mets un lien DropBox. Une simple anesthésie locale suffit et il n'y a aucun risque anatomique.
https://www.dropbox.com/s/dg81bqsl23b414p/160039-chilles-print.pdf?dl=0
C'est à la portée de tout praticien.
Le fait de mettre deux vis permet de déporter le crochet de suspension plus en distal pour tracter la 7.

Voir d'autres articles, plus anciens, qui décrivent globalement la technique des microvis enfouies :
https://www.drs-chilles-chirurgiens-dentistes.fr/app/download/5805208571/Utilisation+des+micro-vis+en+orthodontie+-+l%27Orthodontie+Fran%C3%A7aise+2011.pdf
https://www.drs-chilles-chirurgiens-dentistes.fr/app/download/5805432787/Les+microvis+enfouies+-+%C3%A9ditions+CdP+2013.pdf

Si tu as des questions, n'hésite pas !

Bien confraternellement.

Daniel

Ingression molaire0 mllgew - Eugenol
Ingression molaire1 jymoib - Eugenol
Ingression molaire2 mvlmwl - Eugenol
Ingression molaire3 bod8gz - Eugenol
Ingression molaire4 rxrrgr - Eugenol
Ingression molaire5 wgvdo9 - Eugenol

Generique fraisage r2rxmm - Eugenol
lardonbis

04/09/2017 à 18h09

quitte à en une chaque coté fait lui un piercing osseux :D

et bravo pour les cas de l'article !


Bebert.

04/09/2017 à 23h32

Très intéressant en effet.