Cookie Consent byPrivacyPolicies.comvotre avis sur ce cas adulte - Eugenol

votre avis sur ce cas adulte

odf8

07/09/2017 à 18h53

Bonjour à tous,

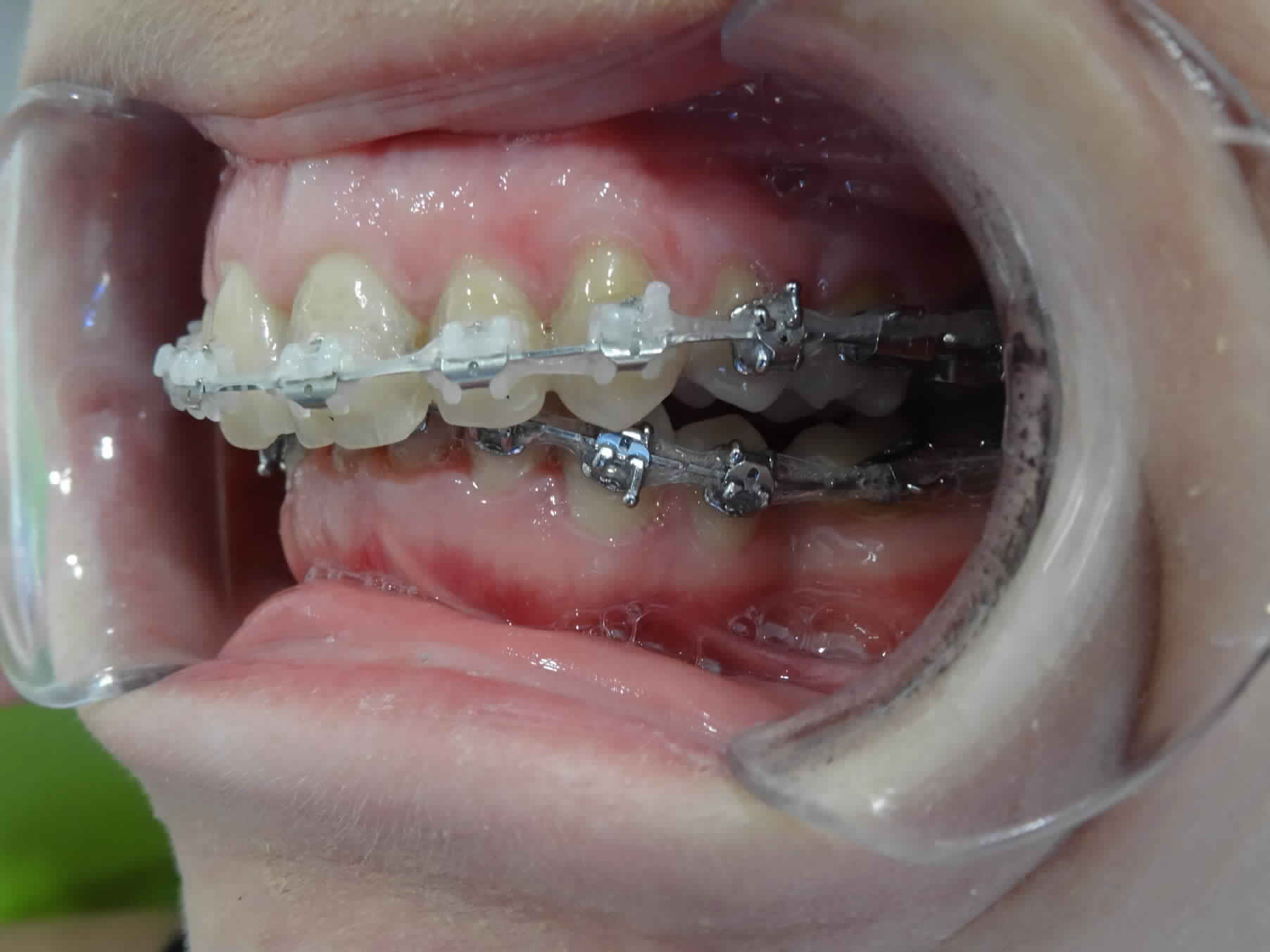
je sollicite vos avis sur ce cas adulte en cours de traitement, avec avulsion des 5 , la supraclusion et la courbe de spee s'est accentuée au cours de la fermeture des espaces , je suis en autoligaturant AO avec des fils actuellement en 14.25 Cuniti ?
qu'en pensez vous ?
Merci par avance

Laurent

M5zzmdgkzt9zfpksveyq - Eugenol
N36xkdgr16lpa3u2utf6 - Eugenol
F4ylw5rk2luk1wyzfc8q - Eugenol
Mesb6nvxjszcni0pazbz - Eugenol
Toqunyvhnvwmnqyazd2l - Eugenol
Plsdn3l3q8yyijnbrqeh - Eugenol

ken

08/09/2017 à 02h04

Bonsoir
Il s'agit des brackets empower assurant une mécanique de glissement à frottement réduit tout au long du traitement.
Les brackets antérieurs sont interactifs et les postérieurs sont passifs.
Dans votre cas vous avez créer une flexion de l'arcade maxillaire et mandibulaire en essayant de fermer les espaces par chaînette sur un arc qui n'est pas stable (14/25 Cooper niti).
Les extractions dans votre cas (5/5) avaient besoin d'un ancrage maximal au maxillaire ( arc de nance , tip back , toe in , offset)
Et une perte d'ancrage mandibulaire pour aider a la mésialisation des molaires du bas.
Vous avez créer des versions des couronnes, fermant ainsi les espaces des 5 .
- Il faudra en lever les arcs
- aussi les chaînettes
- laisser reposer un peu pour pouvoir bilanter
- les 6 du haut auront besoin d'une distalisation ( minivis ou biometric...)
- ancrage maximale postérieure afin de reculer les 4 puis les 3
- torque excessif antérieur (+22) et arc en tma ou acier solide avec courbe de spee exagérée pour la rétraction du bloc antérieur
- torque de -5 des incisives inférieures pour contrôler le torque antérieur et arc solide en tma ou acier avec courbe de spée inversée pour la rétraction du bloc antérieur.
- avant de commencer la rétraction et le recul des canines il sera judicieux d'utiliser des arcs RCS en niti fil rond maxillaire et mandibulaire pour corriger les flexions des arcades et essayer d'ingresser les blocs antérieurs.
Bon courage et à bientôt.


1309531 ours brun n5iukf - Eugenol
seespan

08/09/2017 à 14h32

Salut j'ai eu un cas un peut similaire en début d'exercice . Souvenir souvenir

1 extraire les 5 du haut était une très bonne décision, ça complique un peut le traitement mais le bénéfice pour le patient est certain.

2 Pour éviter se genre de problème mieux vaut faire la retraction avec des fils SS . Perso je bosse en 16 22 avec différente stratégie pour éviter le phénomène ( RCS, torquer les antétieure, faire des pas d'ingression, voir utiliser des mini visse ) . L'arbre décisionnel est fonction de l'inclinaison des racine, du bite, de l'overjet, du type de mouvement souhaité, de la hauteur des bords incisif par rapport à la lèvre, ect . Donc pas recette miracle.
L'on peut réaliser la phase de rétraction avec le niti ( déjà fait plusieurs fois ) mais c'est du 17 25 que je traite thermiquement pour y mettre des curve de spee.
Perso je ne suis pas fan car le SS est plus facile à plier si des ajustement sont nécessaire.

3 Pour régler le problème ( si c'était mois qui récupérer le cas )

Niti 16 22 ( 17 25 si ça passe mais ça serait un peut bourrin ici je pense ) avec reverse curve of spee en bas et curve of spee en haut. Ligature wire 3 to 6 ( pour éviter la réouverture des espaces ) .

Ensuite pour l'ouverture du bite il y a deux option :

- bite turbo sur les incisive sup si c'est possible
- plaque palatine avec des crochet venant autour des 6 sup

Le tout avec des boxe elastique pour aider à l'egression des secteur post


--
หมอจัดฟัน


1 eugenol dmj5np - Eugenol
Dancha

15/09/2017 à 18h17

Bonjour,

Ce que tu montres là est un cas d'école et il serait intéressant de bien voir et comprendre ce qui s'est passé pour éviter que ce genre plaisanterie ne se reproduise pas.

Tu dois te poser 2 questions précises :
1 Pourquoi et comment cela a-t-il pu évoluer en supraclusie ++ ?
2 Comment récupérer ?

Les réponses sont relativement simples. Inutile de chercher midi à 14 heures. Pour la première, sache que c'est un simple problème iatrogène. Tu dois trouver en observant bien les photos.

Daniel


1 eugenol dmj5np - Eugenol
Dancha

19/09/2017 à 11h24

1 Il suffit de regarder l’angle que font la prémolaire et la canine par rapport au plan général d’occlusion (surtout la canine sur la vue clinique).
Observe la position de leurs braquets, induite par la distoversion des dents liée au recul (j’écris « braquet » parce que c’est un mot français que les anglo-saxons qui nous l’ont piqué pour nous le retourner perfidement avec une orthographe frelatée).
Tu constates que ce sont ces braquets et eux seuls qui orientent le fil en direction occlusale du côté mésial, ce qui entraine l’égression des incisives.
S’ils n’avaient pas eu deux ailettes (pour un bon contrôle du 2ème ordre), mais une seule, étroite et centrale, tu n’aurais pas eu ces problèmes.

Maintenant je te laisse réfléchir aux moyens possibles pour éviter ça. Il y en a plusieurs !

Daniel


Generique fraisage r2rxmm - Eugenol
lardonbis

19/09/2017 à 12h05

.... je crois que j'ai compris..
J’espère que t'es prof, c'est une première pour moi :D


1 eugenol dmj5np - Eugenol
Dancha

19/09/2017 à 16h26

Je rajoute pour odf8 qu'il y a également plusieurs solutions pour se sortir d'une telle situation !
Avec un peu de réflexion..

Daniel


odf8

21/09/2017 à 18h15

Bonjour Dancha
J'ai déjà pensé à déposer les chaînettes depuis, fils rect, cales retroincs , puis fil reverse curve ...
Il aurait fallu d'après toi utiliser plutôt un bracket speed alors ?
Que me proposes tu ?


1 eugenol dmj5np - Eugenol
Dancha

21/09/2017 à 21h12

Bonjour Laurent,

Regarde l'orientation de ton fil (fig. odf8-1). Ce qui coince, c'est bien le braquet des canines et des prémolaires !
A partir de là, il faut que tu shuntes ces 2 dents pour pouvoir faire une ingression correcte.

Une première solution consiste à faire du sectionnel :
A l'arcade inférieure, tu coupes ton arc en mésial des canines et tu fais l'ingression des incisives avec un arc de base 36-----32-31-41-42----46. Somme toute, tu raisonnes en mécanique comme Burstone ou Ricketts...
Une variante serait de ne pas couper le fil, mais de le remplacer par un NiTi .012 continu.
Tu aurais également comme résultat une distoversion coronaire des premières molaires, que tu pourrais transformer en mésio radiculaire avec des élastiques de classe II.
Ces élastiques seraient accrochés aux crochets des canines sup.
Tu mettrais également un arc de base d'ingression à l'arcade supérieure, sans couper l'arc continu mais en en mettant un de section un peu plus faible que celle que tu as employée.
Cela permettrait de compenser la traction des élastiques dans le sens vertical d'une part, d'autre part cela entraînerait une distoversion des 6 bénéfique pour corriger la classe II molaire. Tu pourrais dans le même esprit désolidariser 17 et 27 pour laisser 16 et 26 plus libres.
Des arcs continus globaux plus lourds ne seraient remis qu'une fois les corrections verticales et la classe I obtenues.

Que penses-tu de tout ça ?

Daniel

Odf8 1 bt6am3 - Eugenol

1 eugenol dmj5np - Eugenol
Dancha

23/09/2017 à 12h52

Petit retour en arrière :
Ton problème vient du fait que tu as mis une chainette avec des molaires bien solidarisées (secondes avec premières) au lieu d'un élastique de classe ll qui aurait pu mésialer la 6 et fermer l'espace. Je te rappelle que tu étais en classe ll molaires au départ.
Tu aurais eu un nivellement de 4 à 4 sans cette bascule distale perturbante.

Des questions sur la première solution que je t'ai indiquée (je t'ai dit qu'il y en avait plusieurs !) ?

Daniel


odf8

25/09/2017 à 10h03

odf8 écrivait:
--------------
> Bonjour Daniel
> Oui mon problème vient de cette chainette , je suis plus tenté par un fil
> reverse curve associé à des fims de cl II q'un sectionnel
> Tu me parles d'autres possibilités ?
>


1 eugenol dmj5np - Eugenol
Dancha

27/09/2017 à 11h08

Bonjour Laurent,

Je comprends que tu préfères placer un arc préformé « reverse curve » plutôt que réaliser des pliures sur un arc de base que tu maîtrises sans doute moins bien.

Cependant, dis-toi bien que cet arc « reverse curve » ne pourra être efficace pour corriger la supraclusie que lorsque l’axe des canines et des prémolaires sera lui-même corrigé. Imagine le temps que tu vas mettre !

Remarque aussi que la supraclusie empêche maintenant un mouvement mésial coronaire de ces dents qui pourrait accélérer la correction des axes et corrigerait de la classe II.

Tu es donc plus ou moins « coincé » dans ton traitement.
Tu dois bien, en priorité, ingresser les incisives pour te sortir de ce mauvais pas, ce qu’un simple arc « reverse curve » ne permet pas.

Daniel


1 eugenol dmj5np - Eugenol
Dancha

29/09/2017 à 11h27

Dans ton, cas, il y a donc deux éléments à considérer :
1 les axes des braquets des canines
2 l'ingression des incisives.

Réfléchis, ne vois-tu pas encore d'autres solutions ?
Moi, j'en vois au moins 2 !

Daniel


ken

29/09/2017 à 12h38

Bonjour
L'arcade maxillaire et mandibulaire ont bien subit une flexion en fermant les espaces des extractions par :
-une chaînette qui a générée des forces anteroposterieures des deux côtés en brisant l'ancrage postérieur.
- un arc qui n'est pas rigide provoquant l'effet bowing.
Effectivement il faudra ingresser les blocs antérieur
Les arcs de base restent les meilleurs alternative car l'effet du tip back ingressera en même temps les molaires .
L'egression des prémolaires se fera par les élastiques latéraux .
Bonne continuation.


ken

29/09/2017 à 12h49

Le problème avec les RCS c'est la vestibuloversion des blocs antérieurs .


1 eugenol dmj5np - Eugenol
Dancha

29/09/2017 à 22h20

ken écrivait:
---
> Bonjour
> L'arcade maxillaire et mandibulaire ont bien subit une flexion en fermant les
> espaces des extractions par :
> -une chaînette qui a générée des forces anteroposterieures des deux côtés en
> brisant l'ancrage postérieur.
> - un arc qui n'est pas rigide provoquant l'effet bowing.
> Effectivement il faudra ingresser les blocs antérieur
> Les arcs de base restent les meilleurs alternative car l'effet du tip back
> ingressera en même temps les molaires .
> L'egression des prémolaires se fera par les élastiques latéraux .
> Bonne continuation.

Il y a une petite erreur dans ta démonstration..

Daniel


ken

29/09/2017 à 22h31

Élastiques verticaux !
Tip back redressera l'axe de la molaire par distalisation de la couronne et mésialisation de la racine .


ken

29/09/2017 à 22h52

Je pourrais utiliser un arc RCS sup mais avec pli distal pour s'opposer à une vestibuloversion secondaire .
Ajoutant à ça des bites turbos puis élastiques verticaux pour aider l'egression des prémolaires.
Des waren torques feront augmenter le torque antérieur des incisives sup afin de pouvoir les ingresser par une courbe de spee exagérée.


ken

29/09/2017 à 22h55

Il existe des arcs ( connicticut niti arch ) entraînant une ingression du bloc antérieur en parallèle avec la consolidation de l'arcade maxillaire par un arc rigide ou un arc bioforce 020/020.


1 eugenol dmj5np - Eugenol
Dancha

30/09/2017 à 08h42

L'erreur est ailleurs, tu affirmes carrément quelque chose de faux.

Daniel


1 eugenol dmj5np - Eugenol
Dancha

30/09/2017 à 10h04

Ken, ton savoir est encyclopédique, mais pourrais-tu traduire les termes "RCS", "waren torque", "bites turbos" etc.. pour les malheureux comme moi qui ne comprennent pas ce que ça veut dire ?
Merci tout plein.

Daniel


ken

30/09/2017 à 11h22

1-Bite turbo: plan retro incisif qu'on peut trouver en vente soit en métal ou en composite
Ou confectionné au cabinet :


2- RCS : arc avec courbe de spée
En vente soit en forme rectangulaire ou rond en niti

3- Waren torque :
Ressort qu'on applique dans l'arc afin de rajouterdu torque dans les deux sens : mouvement vestibulaire de la racine ou le contraire


1 eugenol dmj5np - Eugenol
Dancha

30/09/2017 à 14h58

Bien bien, mais tu n'as toujours pas trouvé où était ton erreur.
Je t'aide : c'est un bête problème de mécanique !

Daniel


ken

30/09/2017 à 17h40



1 eugenol dmj5np - Eugenol
Dancha

02/10/2017 à 11h13

ken écrivait:
---
>..
> ..
> Les arcs de base restent les meilleurs alternative car l'effet du tip back
> ingressera en même temps les molaires .
> ..

Ken, ce que tu affirmes ici n'est pas exact.
Tu ne vois toujours pas où est l'erreur ?

Daniel


12