Cookie Consent byPrivacyPolicies.comQuestion aux orthodontistes - Eugenol

Question aux orthodontistes

Sierra Tango

11/09/2017 à 11h15

Bonjour,

J'ai deux specialistes en ortho autour de moi, et je commence a avoir quelques doutes sur l'un d'entre eux.
Il m'arrive en effet frequement d'adresser de jeunes patients avec un maxillaire tres etroit, avec ou sans cross-bite et qui ont indeniablement besoin d'expansion.
Tres souvent après mon referral, un expander est mis en place, le verrin est active, et le palais s'aggrandi tres bien et tres vite.
L'un des orthos active l'expander pendant 3 mois generalement, puis le laisse en place comme pour maintenir le resultat obtenu, et avec ce praticien je suis plutot en phase et satisfait des resultats.
L'autre confrere par contre, je commence a le soupconner de prendre les patients pour des vaches a lait.
Je m'explique ;
- J'ai plusieurs cas (6 dont je peux me souvenir) ou, le petit patient va chez lui suite a mes suggestions, se fait en effet mettre un expander, et revient me voir un an ou plus après pour la visite de controle annuelle (je suis en Australie, ou les patients sont dans l'ensemble tres disciplines) avec un resultat plus que mediocre. Tellement mediocre qu'il m'est arrive de dire deux fois aux parents ; '' bon, c'est pas mal, mais tel que explique l'annee derniere, il serait temps d'aller voir l'ortho pour voir ce qu'il pense, car il faudrait sans doute faire de l'expansion''. Et la, la reponse qui tue ; '' mais Dr on en vient, il a eu un truc que l'on vissait pendant 3 mois, puis il a dit que tout allait bien et il l'a enleve'' ''Meme que cela nous a coute 2000/2500 AUD''.
Ah ?!...
''Oui, et la il a dit qu'on se revoyait tous les six mois pour controler, et que lorsque toutes les dents de lait seraient tombees, on posera des bagues'


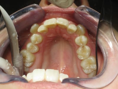
Je precise que je ne suis vraiment pas une fleche en ortho et que je veux bien apprendre certaines choses. Ma question donc ; lorsque vous voyez une patiente revenir comme sur les photos suivantes après traitement par expander ; c'est normal pour vous ? C'est le resultat que l'on est en droit d'attendre après 2500 dollars d'expansion ? Ou alors est-ce, comme je commence a le renifler, le resultat suffisant pour avoir elargi un petit peu tout en restant absolument certain de se garder au chaud pour dans quelques semestres, un inevitable traitement complet par 'braces' ou Invisalign (2 ans, 8500 a 11.500 AUD).

Pour un autre cas (pour lequel je n'ai pas les photos cela dit), le resultat etait meme encore pire. Je lui avais alors ecrit, car la mere n'etait vraiment pas impressionnee par le resultat (et moi non plus) et sa reponse etait ;
- ''... on a mis en place un RME pendant 5.5 mois ce qui est le temps normal, pour permettre l'eruption des 12/22. Celles ci sont sorties en position d'articule inverse asymptomatique (sic) qui ne requiert pas de traitement a ce stade. On reverra tout cela dans quelques mois, etc...''

J'ai vu plusieurs cas dinterception bien menes, ou avec une expansion correcte et faite au bon moment, il devient du coup presque inutile de realiser un traitement multibagues par la suite . C'est sur, c'est couillon que cela marche trop bien et ca fait un trou dans la caisse, mais bon...

Bref, j'aimerai bien avoir l'avis de specialsites concernant au moins le cas presente ; les photos sont prises après le port d'un expander (et de memoire avant c'etait pas bien pire). La patiente a 11 ans.
Oui, j'ai vu la carie en mesial de 55 ;-)

Ffx29bblzw6xfkt5dpws - Eugenol
Cjnwpwvvuhgb2xn1fmck - Eugenol

Carls

11/09/2017 à 15h46

Bonjour,
Quel type d'appareil est utilisé ? Amovible ? Fixe ?
En règle générale pour un appareil de type Hyrax sur bague l'expansion dure 1 mois avec une activation /jour puis l'appareil est laissé 5 mois de plus pour la stabilisation. On arrête l'expansion après avoir obtenue une surcorrection.
Si il a utilisé un appareil amovible, est-ce que le patient a porté correctement son appareil ?
Est ce que les photos ont été prises longtemps après l'expansion ?
Concernant le prix, c'est aussi 2500$ au Canada donc rien d'anormal.


Avatar transparent iqadnc - Eugenol
adhoc

11/09/2017 à 16h32

Oui, ton dispositif d'expansion fixe a verrin peut etre activé de plusieurs facons:
-en une fois , avec anesthésie palatine locale : c'est la disjonction immédiate, mais faut oser.... C'est douloureux jusqu'a une semaine apres l'activation.
- la disjonction progressive. C'est sans anesthesie locale,1/8 tour (en moyenne) tous les mois, le patient peut ressentir par le jeu des sutures, une sensation tres désagréable;... au nez...bah oui. A mon avis, ton réferrent a stoppé a cause de cela, mais quand on fait 1/6 tour et qu'on a cela, on peut reculer d'un poil ... ou non. C'est le sens clinique qui guide.

Pourquoi tes référents n'utilisent pas de temps en temps le Quadhelix qui contient une énergie suffisante dans ses boucles pour faire le travail?


Sierra Tango

11/09/2017 à 21h31

Le type d'appareil utilise est en effet un Hyrax, scellé sur bague, donc porté correctement par les patients ! Il n'utilise que cela, jamais d'appareils amovibles. C'est pourquoi je suis très surpris qu'il n'elargisse pas plus. Une fois l'appareil posé, tout le boulot est fait ou presque (empreinte, étude du cas, pose de l'expansseur, conseils aux parents, etc) ! Pourquoi alors arrêter l'expansion à chaque fois dans une situation où le probleme n'est que partiellement réglé si ce n'est pour bien s'assurer que le traitement multibagues conventionnel restera bien nécessaire ? C'est ce qui me dérange !
Son autre confrère de la place, avec le même type d'appareil, élargi les maxillaires bien plus et sans problème, sur-corrigeant même un peu parfois.


Carls

12/09/2017 à 14h45

C'est sur que c'est bizarre car une règle de base est justement de surcorriger afin de prévoir qu'une récidive plus ou moins grande peut apparaître.
Après une expansion correctement effectuée ne veut pas forcément dire que le patient n'aura pas besoin d'une 2ème phase de traitement. Il est pas contre certain que si le sens transversal n'est pas corrigé avec le HYRAX il va devoir batailler avec son multibague et l'expansion se fera plus par compensation dentaire que de manière squelletique.
Pourquoi ne pas référer alors qu'a l'ortho qui te semble mieux travailler?