Cookie Consent byPrivacyPolicies.competit tuto occluso téflon - Eugenol
Vw campersurfvan bmnk1q - Eugenol
enlaye

14/09/2017 à 19h08

objet : l' utilisation du telon+ compo pour recaler .ç est fastoche .

anamnèse :
- un jour qu'il etait à la plage sur son transat ,tranquille , il sirotait son rosé bien glace ,voilà qu' il rencontre un ortho , qui etait là soit disant par hazard .,malchance ,
- tout en discutant ,il lui explique ( à l'ortho ) qu'il ronfle et qu'il a tjs eu le nez bouché 2eme malchance
- " pas de pb j'suis spécialiste ,tu as bien fais de m'en parler .heuuu robert !! tu nous ressers c'teplait ?,mets nous du sainte marguerite ,ç est la mienne ".
un peu d'ortho puis une petite chirurgie maxillo- faciale et tu dormiras comme un bébé.

- effectivement , depuis il dort comme un bébé : il se reveille toutes les 3 heures et il pleure :-)
il pleure du mal mais surtout de la rage de l'envie de lui casser la tete et ou autre chose ,en tout cas de le massacrer :-))

- depuis il vit l'enfer et passe de kiné en orl en passant par l'ostéo ...
voilà le resultat :
l'otho est content de lui , et le maxillo est serein .:-))))


Vw campersurfvan bmnk1q - Eugenol
enlaye

14/09/2017 à 19h10

mince ,ça marche plus les photos ?


6szjws718sv1jksw54v4mpj3a6cu - Eugenol
vulpi

14/09/2017 à 19h38

ça y est? la rançon est payée? Elles sont chouettes les grottes en Sardaigne, une coutume locale, t'es pété de tune, hop un tour dans la grotte, le temps de se faire payer, des chouettes vacances! Au moinsss y t'on pas coupé un doigt ? ça arrive parfois pendant les négociations...;-)))

Bon retour Enlaye!
Les photo fonctionnent.


Utilisateur banni

14/09/2017 à 20h10

enlaye écrivait:
------
> mince ,ça marche plus les photos ?

Le suceur de moignons is back, plus en forme que jamais :)
Et ta mobylette elle refonctionne ?
Enlaye + ortho = big love 


Vw campersurfvan bmnk1q - Eugenol
enlaye

14/09/2017 à 20h18

Salut les potos :-)
On se prend 1mois 1/2 de vacance , et quand on rentre hop nonol est tout blanc . La punition :-)
Sous vista , fichier joint , ca marche pas .je re essayerais demain .
Sinon , je reve, ou on a un boulot a la con ?:-))


olivier13009

14/09/2017 à 20h27

Ohhhh t es encore sous vista .....quand tu va voir l'iphone X cela va te faire comme Hibernatus !!!


Vw campersurfvan bmnk1q - Eugenol
enlaye

14/09/2017 à 20h33

Tu fais le Mac , olives ? :-)
Bien à toi .


Orezza gazeuse verre litre ocoxey - Eugenol
casa

14/09/2017 à 23h15

T'es allé en Sardaigne , Enlaye ? le traiiiiitre !!!! La bise monsieur .


Ylfwcw979cz1jnx9gfqeaxndiuzk - Eugenol
Algi

15/09/2017 à 08h55

Sardinia..... un rapport avec la poiscaille?

Et sinon pour les images y'a le truc "joindre u fichier" quand tu réponds.... en même temps j'ai pas vista juste un vieux 7 mais moi ça marche.

Question enlaye: rassure moi, c'est pas toi qui ronflait au moins?


--
L’extrémisme est le culte sans la culture ;
le fondamentalisme est la croyance sans la connaissance ;
l’intégrisme est la religiosité sans la spiritualité.

On a toujours le choix mais entre quoi et quoi?
Vas-y boulégue et l'avenir te le dira!

Index ii3cqu - Eugenol

Generique fraisage r2rxmm - Eugenol
lardonbis

15/09/2017 à 11h20

allez enlaye ! on n'en peut plus d'attendre! envoie les photos de l'énigme !!


Vw campersurfvan bmnk1q - Eugenol
enlaye

15/09/2017 à 13h57

Algi , non ce n'est pas moi qui ronfle au point de me faire boulonner la tronche par Gepetto .
je ne dis pas qu'il n'y a rien qui me pousse quand on me pipotte ,mais suis pas Pinocchio pour autant .
surtout que si tu vois la pano ,ben ça te coupe l'envie de ronfler ,j'te le dis :-))
non non suis pas allé en Sardaigne , on a ce qui faut chez nous :-)

Cagole01di11 umktzd - Eugenol

Vw campersurfvan bmnk1q - Eugenol
enlaye

15/09/2017 à 14h01

voilà pti Lardon , tu me mets la pression ou quoi ?
obliger de passer à la case pour poster les photos , et tu me fais rater la sieste au bord de l'eau arghhh .

d'habitude les posts partent en vrille à partir de la 2eme page , et là on a pas encore commencé que le déconophone est ouvert :-)


Vw campersurfvan bmnk1q - Eugenol
enlaye

15/09/2017 à 14h08

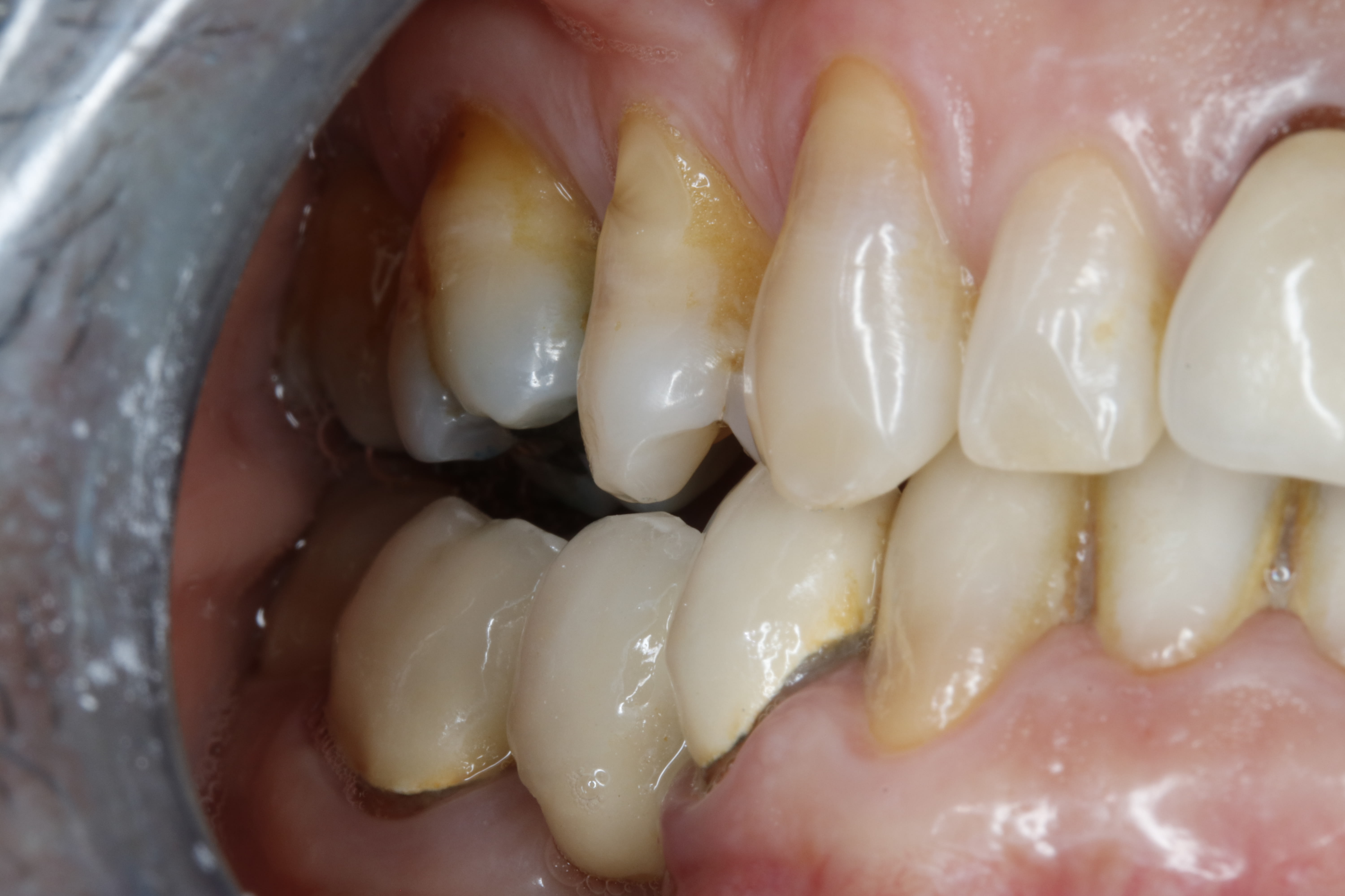
donc voilà le resultat . la chirurgie date de 3 ans .

 mg 1308 jrbg2d - Eugenol
 mg 1307 n6m9er - Eugenol
 mg 1306 hmodgy - Eugenol

Vw campersurfvan bmnk1q - Eugenol
enlaye

15/09/2017 à 14h10

regardes comme elle est mimi ,la courbe

 mg 1313 xdvkro - Eugenol
 mg 1314 erva16 - Eugenol

Vw campersurfvan bmnk1q - Eugenol
enlaye

15/09/2017 à 14h14

et il n'y a qu'un seul contact en fermeture ç est sur la centrale .
puis tantôt a gauche ,tantôt à droite il y a 1 et 1 seul contact au fond en fermeture forcée

Inked mg 1315 li xygtwf - Eugenol

Generique fraisage r2rxmm - Eugenol
lardonbis

15/09/2017 à 14h30

C'est pas le sien !!
y'avait pas des histoire de bébés échangés à une époque ?
ils n'auraient pas recyclé la coupable en maxillo par hasard ?
Le chir pose le maxillaire dans un haricot histoire de souffler un peu et hop! tu te réveilles avec les dent de Michel, ton binôme de chambrée :D


Utilisateur banni

15/09/2017 à 14h31

De quoi se plaint il ?! ! Ils lui ont laissé la possibilité de boire à la paille sur les deux cotés!

T'es sûr qu'il y a eu ortho avant la chir?
Il porte une gouttière ou pas (genre gouttière juste en postérieur) ? Comment ça se fait qu'au bout de 3 ans il n'y ait toujours pas de contacts en postérieur ?


Ylfwcw979cz1jnx9gfqeaxndiuzk - Eugenol
Algi

15/09/2017 à 14h56


1/ les bières elle sont de Toulon et pas de Sardaigne. Pas mauvaise mais sans plus.

2/ et ensuite y ronfle encore ou pas?

--
On a toujours le choix mais entre quoi et quoi?
Vas-y boulégue et l'avenir te le dira!


6szjws718sv1jksw54v4mpj3a6cu - Eugenol
vulpi

15/09/2017 à 15h08

En meulant le bloc incisivo-canin inf ça devrait finir par toucher derrière.
On a tous nos jours sans... pas de bol pour le patient.


Utilisateur banni

15/09/2017 à 15h19

vulpi écrivait:
-----
> En meulant le bloc incisivo-canin inf ça devrait finir par toucher derrière.
> On a tous nos jours sans... pas de bol pour le patient.

C'est rassurant. Y a pas que moi qui fais de la merde .... . 😊
Au maxillaire les PM sont en rotation comme si il n'y avait pas eu d'ortho


Vw campersurfvan bmnk1q - Eugenol
enlaye

15/09/2017 à 15h49

Algi écrivait:
----
" 2/ et ensuite y ronfle encore ou pas? "

eh bien ,il sait pas pas ,en fait .
il est tellement à cran qu'il a mis sa gonzesse dehors :-))
il aurait du commencer par là :-)


Vw campersurfvan bmnk1q - Eugenol
enlaye

15/09/2017 à 16h02

junior® écrivait:
-------
" Au maxillaire les PM sont en rotation comme si il n'y avait pas eu d'ortho "

ahh bon ??:-))
pourtant il y a bien eu de l'invisalign avant la chirurgie . :-)))
heu apres non y a pas eu d'otho.


Vw campersurfvan bmnk1q - Eugenol
enlaye

15/09/2017 à 16h04

>


Blue eye thumb medium dx1i0w - Eugenol
bill

15/09/2017 à 16h19

La maxillo il coupe puis réunit les morceaux ou alors il refixe les trucs cassés entre eux et quand il a réussi il est content, son job est fait.
Faut pas lui demander quoi que ce soit concernant l'occlusion, c'est pas son problème.

C'est là que l'ortho doit faire le sien de job en remettant tout ça en place... si possible.

Si c'est l'inverse qui a été fait comme tu sembles le dire, le résultat n'est pas étonnant... :-))


mr smith

15/09/2017 à 16h54

Peuf , la dv a l'air bonne ;0)

Refaire le bridge en 40 avec corono de la pm , et les ccm secteurs 30 !

Les retours de vacances sont toujours des plus difficiles , il faut aller au plus simple pour la santé du praticien :0))€)


12...