Cookie Consent byPrivacyPolicies.competit tuto occluso téflon - Eugenol
Vw campersurfvan bmnk1q - Eugenol
enlaye

10/10/2017 à 11h57

junior® écrivait:
-------
"Tu fous ton ptit bout pour coller ton onlay Enlaye ?!"

oui , ç en est l'interet de l'histoire .
dans ce cas je met aussi un petit bout de teflon vertical qui englobe la face proximale de la dent d'à coté .


Utilisateur banni

06/05/2021 à 12h15

« J’ai mal à la nuque » :)

Abeba8c6 3e11 41b8 92b0 67fcd20541e8 eo52uo - Eugenol
41c944f7 8122 4b5e a226 53023e63b627 x9qrwr - Eugenol

Pubg2 rjl8jc - Eugenol
lemondestvaste

06/05/2021 à 12h23

Et là elle est en occlusion ? costaud ! Abus de gouttière ??


moritooth

06/05/2021 à 13h28

Port d'une OAM depuis plusieurs années ?


Utilisateur banni

06/05/2021 à 13h39

Non rien de tout ça...
Je n’ai pas compris l’origine du problème. Peut être qu’elle a calé sa langue entre ses dents sauf au niveau des 7...


dmoh.

06/05/2021 à 17h10

Bonjour.
Ya t'il des traces de dents sur le pourtour de la langue ?
Que montre la tele.radio? POSITION DU CONDYLE ?


Utilisateur banni

06/05/2021 à 21h47

dmoh. écrivait:
-----
> Bonjour.
> Ya t'il des traces de dents sur le pourtour de la langue ?
> Que montre la tele.radio? POSITION DU CONDYLE ?

j’ai expliqué à la patiente ce qu’il fallait faire... finalement elle préfère avoir mal à la nuque que de faire les choses , donc du coup je n’ai pas cherché plus loin. Mais bizarrement pas de marque au niveau de la langue. Ça fait plusieurs années qu’elle est comme ça. Plusieurs dentistes ont vu cette patiente. Aucun ne lui a dit qu’il y avait comme un petit souci en bouche :) Elle ne doit pas avoir si mal que ça à la nuque . Je n’ai pas inspecté ses articulations car de toute façon j’ai tout de suite compris qu’elle ne ferait rien . Qu’elle aille se faire aimer:)
Tu pensais à quoi exactement pour ton histoire de condyle ?


Utilisateur banni

06/05/2021 à 22h09

Ils lui ont viré 36 37 au passage
=> peut-être douleur articulaire avec éventuellement luxation
=> apposition de sa langue pour relâcher la pression
=> et répercussions sur l’occlusion au final

Qu’est-ce qu’il glande Enlaye ? J’en connais un qui s’est pris un long week-end de glandouillage :)


Vw campersurfvan bmnk1q - Eugenol
enlaye

06/05/2021 à 23h22

voilà voilà j arrive :-))
tu dis " j’ai expliqué à la patiente ce qu’il fallait faire..." et tu lui as expliqué quoi en fait ?


Vw campersurfvan bmnk1q - Eugenol
enlaye

06/05/2021 à 23h28

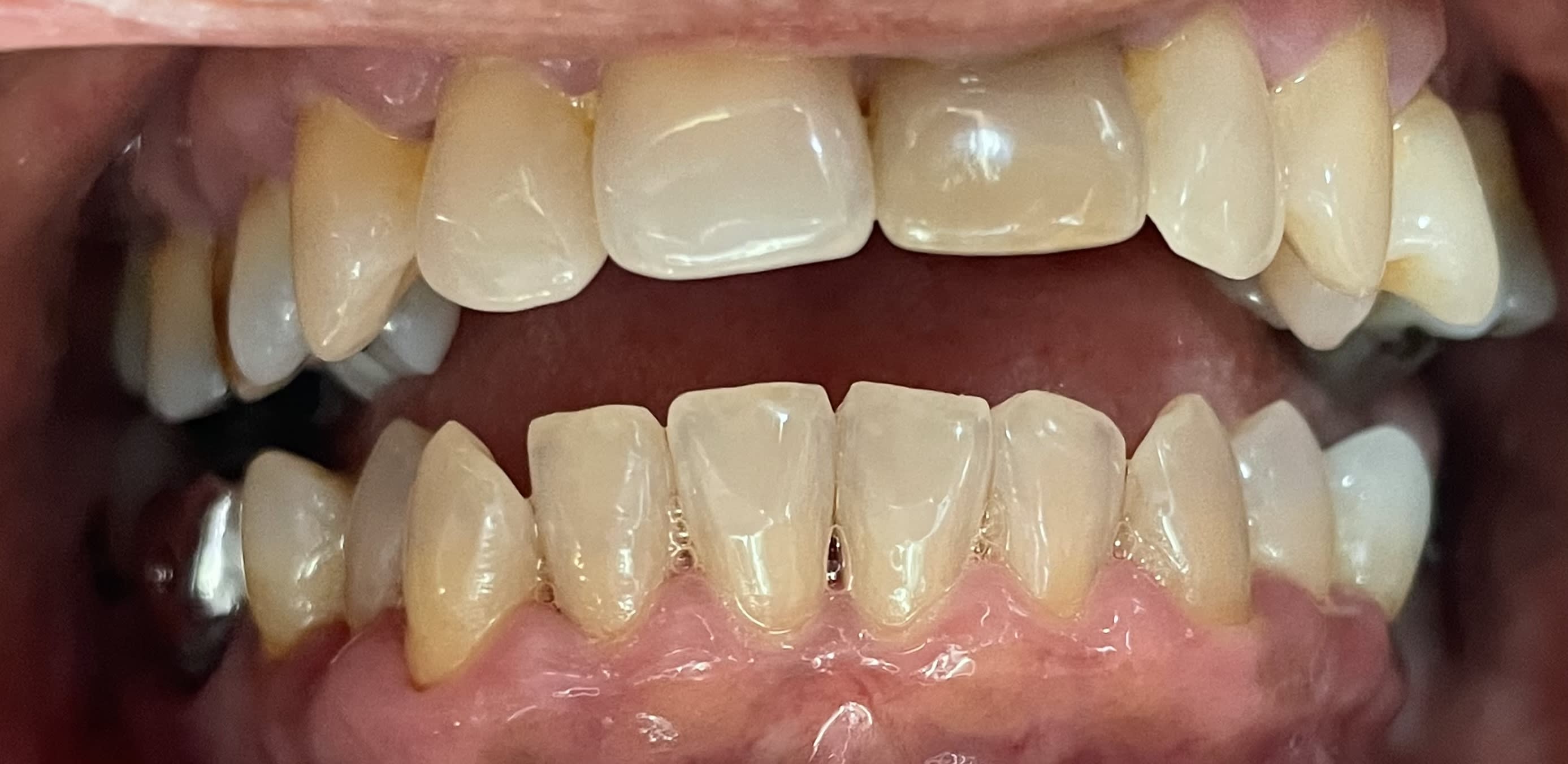
secteur 30 elle est etait genre occlusion croisée , probablement en beance , puis elle a perdu son calage post 36,37 ?
avec en plus une grosse interference 47 ?
tu confirmes ou pas ?


Utilisateur banni

07/05/2021 à 05h19

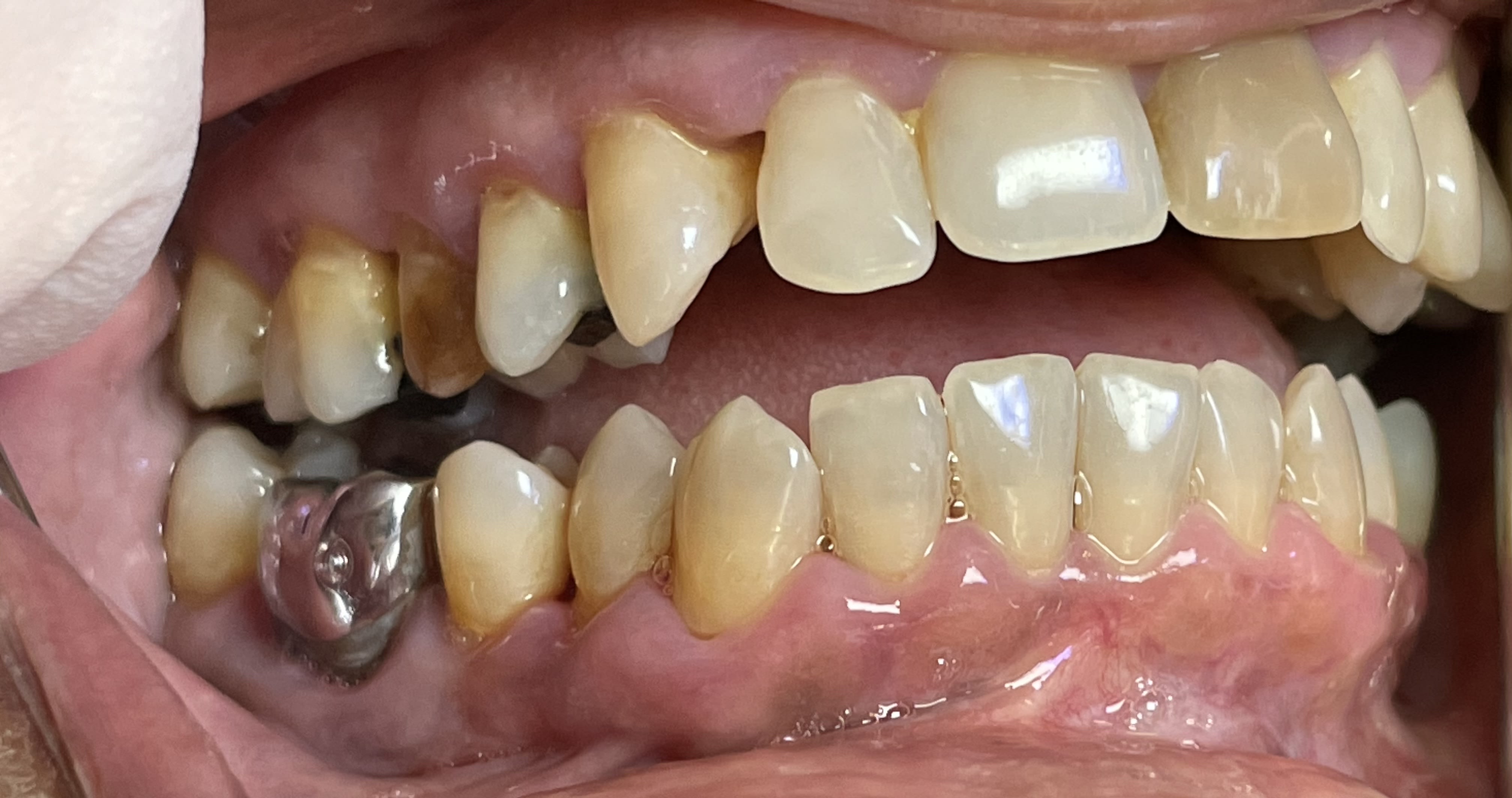
- En gros motif de la consultation : contrôle et détartrage.
- je regarde je vois qu’elle a la bouche déglinguée
- je lui fais son détartrage et lui dis que ça n’est pas normal de n’avoir aucun contact sur ses dents à part sur ses 7. Et c’est là qu’au détour d’une phrase qu’elle me dit : j’ai mal à la nuque
- je lui ai juste dit qu’il fallait trouver la cause qui a provoqué cela et qu’il y avait du travail pour remettre tout en occlusion

Là j’ai tout de suite vu qu’elle en avait strictement rien à secouer, ça tombe bien moi non plus c’est pas ma bouche , au suivant :)

Elle a perdu son calage. Secteur 3 pas certain pour l’occlusion croisée. Et là contact uniquement sur les 7.


6szjws718sv1jksw54v4mpj3a6cu - Eugenol
vulpi

07/05/2021 à 10h00

J'ai un patient qui ferme sur ses 8, 7 et un peu 6. La soixantaine, ça ne le gène pas. Il est hyper divergeant au niveau des bases osseuses. Sa fille aussi, je l'ai suivi quand elle était enfant et elle a eu une chir orthognatique + orthodontie. Bien au final.
Quand au patient, je lui ai fait un bridge 47-45 en respectant son schéma occlusal, dix ans que ça tient 😁