Cookie Consent byPrivacyPolicies.comChirurgie Guidée avec BLUESKYPLAN et imprimante 3D - Eugenol

Chirurgie Guidée avec BLUESKYPLAN et imprimante 3D

3f3boxni50k58rq7e9ce9ddqrxgk - Eugenol
dentiste57

17/09/2017 à 13h08

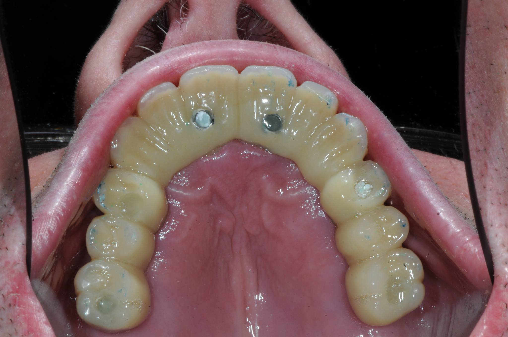
hello, les ami(e)s !
comme il éxiste déjà sur facebook un site bluesky, je vous propose de publier vos cas réalisés avec Blueskyplan et une imprimante 3D.

pour débuter avec ce logiciel gratuit, il m'a fallu quelques heures d'apprentissage et de tâtonnement.
mais voilà , j'y suis enfin arrivé!

pour ce tout premier cas, j'avoue que je n'ai pas commencé par le plus simple, mais ça en valait la peine.

comme je n'ai pas (encore) une imprimante 3D digne de ce nom , j'ai fait faire l'impression par concetpt 3d sur Metz.

en tout et pour tout, le guide m'a coûté 75 €...

Cjnks52vlylyjimiagt0 - Eugenol
Zho8txozc6f5j2w2zpvp - Eugenol
Ho9kdhrd0bbsqmavk5qi - Eugenol
Xhch6pv9hqrcg3fsrjgc - Eugenol
Z354be8ehmkwqykcly4v - Eugenol
Qje6qhio9uode7pslecs - Eugenol
Ct3avffxwsockjqu9vdk - Eugenol
I2sjsreug4xsqaxigebm - Eugenol
Hultxwjklykfxbiocona - Eugenol
Sans titre gwxng4 - Eugenol

3f3boxni50k58rq7e9ce9ddqrxgk - Eugenol
dentiste57

17/09/2017 à 13h16

désolé, les images n'étaient pas complètement dans l'ordre..


Hok 1b hgd3rj - Eugenol
Hokusai

17/09/2017 à 13h42

Tu connais la marque de la resine du guide ?? Tu as traité comment le guide niveau asepsie ?? Double emballage puis autoclave ?


3f3boxni50k58rq7e9ce9ddqrxgk - Eugenol
dentiste57

17/09/2017 à 13h49

du moment que c'est stérile au cours de la chirurgie et comme il y a des gaines en titanes (pas de copeaux de résine), je m'en contrefous complètement !

seul l'apport du guidage a un intérêt ici. et je dois dire que c'est top surtout pour le coût !


atrax

17/09/2017 à 16h30

Avais tu essayé d'autre logiciels de planification avant Bluesky? Si oui, quels inconvenients trouves tu à bluesky? Est il plus rudimentaire?

Je ne suis pas un specialiste, mais j'ai du mal à comprendre pourquoi certains choisissent simplant à 8000 euros si bluesky peut faire la meme chose et gratuitement. Si quelqu'un pouvait m'éclairer.


3f3boxni50k58rq7e9ce9ddqrxgk - Eugenol
dentiste57

17/09/2017 à 18h33

Je connais très très bien simplant qui peut faire énormément de choses et qui a surtout pour avantage de permettre de travailler avec toutes les marques d'implants car la bibliothèque est régulièrement mise à jour.
par contre, le prix est trop important d'autant que les guides ne sont pas ouverts
soit ils gagnent du pognon sur le logiciel, soit c'est avec les guides mais pas les deux ! faut arrêter de "pousser mémé dans les osties" (comme dirait mon fils!)


atrax

17/09/2017 à 19h35

Mais concrètement, mis à part le fait de pouvoir travailler avec d'autres marques d'implants, qu'est ce que simplant peut faire de plus que bluesky?


S2y2o1v7q53ws4r5wy6ou8czrpom - Eugenol
pxav

17/09/2017 à 20h30


content de voir que tu évolue tout le temps, Thomas, et comme d'ab., beau boulot :-)

--
xbk
La connaissance s'acquiert par l'expérience, tout le reste n'est que de l'information." ALBERT EINSTEIN


Hok 1b hgd3rj - Eugenol
Hokusai

17/09/2017 à 20h42

dentiste57 écrivait:
----------
> du moment que c'est stérile au cours de la chirurgie et comme il y a des gaines
> en titanes (pas de copeaux de résine)

les gaines en titane sont insérées "en force" dans le guide après impression ??

Tu dis prospecter pour une imprimante stéréolithographique, tu as regardé la formlabs2 version dentaire?


Decapfour

17/09/2017 à 20h42

Superbe travail!


Bubo bubo portrait xqn39s - Eugenol
oiseaudenuit

17/09/2017 à 22h10

Tu as choisi de ne guider que ton 1er forêt et de ne pas stabiliser le guide. C'est que le cas devait être relativement simple. Il sera intéressant de voir ce que ça donne sur des cas un peu plus complexe. Questions :
- qui scanne le guide (toi avec ton CB ?)
- qui fait le matching ?
- 75 euros douilles comprises ?


3f3boxni50k58rq7e9ce9ddqrxgk - Eugenol
dentiste57

17/09/2017 à 23h25

Hokusai , oui c'était une formlab2 et je pense que je vais en faire l'achat. Il paraît quand même qu'une autre du même type serait moins cher?,?
C'est moi qui scan sur le cbct et fait le matching .
Et sinon oui , 75€ avec les douilles qui sont insérées dans leur logement dont la précision du guide permet une insertion sans grande difficulté


ceel

18/09/2017 à 09h43

BONJOUR à tous,
comment as tu appris à t en servir ?
merci


Utilisateur banni

18/09/2017 à 09h48

Bonjour Thomas
Y –t-il eu des greffes de sinus précédemment ?
Tous les implants ont la même longueur ?
10 mm ?
Combien de temps entre la pose des implants et bridge résine ?


3f3boxni50k58rq7e9ce9ddqrxgk - Eugenol
dentiste57

18/09/2017 à 17h59

ceel écrivait:
----
> BONJOUR à tous,
> comment as tu appris à t en servir ?
> merci

j'ai tâtonné ... un peu, beaucoup .,,,:)


3f3boxni50k58rq7e9ce9ddqrxgk - Eugenol
dentiste57

18/09/2017 à 18h02

posit écrivait:
-----
> Bonjour Thomas
> Y –t-il eu des greffes de sinus précédemment ?
oui les deux

> Tous les implants ont la même longueur ?
> 10 mm ?
10 sur l'ordi, mais 11.5 en moyenne en réalité.

> Combien de temps entre la pose des implants et bridge résine ?
le même jour mais redémontage 2 jours plus tard car j'avais un doute sur le serrage d'un pilier


Dsc05680 medium aphmfg - Eugenol
BasArtDentaire

18/09/2017 à 19h46

dentiste57 écrivait:
----------
> Hokusai , oui c'était une formlab2

J'en profite pour répondre à la question de la nature de la résine.
Tout l'intérêt et la notoriété de formlabs et de sa form 2 dans notre domaine, c'est les résines associés.
https://formlabs.com/fr/materiels/dentistry/



S2y2o1v7q53ws4r5wy6ou8czrpom - Eugenol
pxav

18/09/2017 à 20h50



j'ai un cas à faire ce mois ci, complet du haut mci, je t'appel quand j'ai le scan
--
xbk
La connaissance s'acquiert par l'expérience, tout le reste n'est que de l'information." ALBERT EINSTEIN


Hok 1b hgd3rj - Eugenol
Hokusai

19/09/2017 à 08h39

pour les résines, il commence a y en avoir beaucoup. Pour les guides, y'a la scheu imprimo LC ibt, la dreve fotodent, detax freeprint... faut juste qu'elle soit compatible avec les imprimantes laser a 405nm.

Pour le matching, j'arrive pas a avoir un resultat satisfaisant, en pièce jointe c'est le mieux que j'ai mais j'ai l'impression que les secteurs post ne coincident pas...

Sinon pour le prix du guide, tu dis 75e mais c'est avec les frais d'export stl de blueskyplan ?

Capture matching gy0tps - Eugenol

Generique fraisage r2rxmm - Eugenol
lardonbis

19/09/2017 à 10h11

je crois que la "classe 1" n'est pas attribuée simplement à la résine SG de la formlab mais à l’ensemble résine + machine + protocole.
Elle ont leur certif ces résines ?
Les seules autres que j'ai trouvé n'étaient pas distribuées mais utilisées en interne par les boite qui leurs ont fait passer les certifs.


Utilisateur banni

19/09/2017 à 16h32

Hokusai écrivait:
-------

> Pour le matching, j'arrive pas a avoir un resultat satisfaisant, en pièce jointe
> c'est le mieux que j'ai mais j'ai l'impression que les secteurs post ne
> coincident pas...
>

C'est conforme à ce que je vois des matching, c'est pour cela que lorsque des mesure de résultat post-op au dixième de de degré ou au dixième de mini mètre sont donnée, j'ai des doute sur la méthode utilisée.


Capture d  cran 2013 02 02   21.02 - Eugenol
gouj-euros

19/09/2017 à 20h54

tu as des doutes POSIT .....je n'en ai aucun.
Ton matching n'est pas bon c'est tout, Hokusai. Je peux t'aider en MP si tu veux a améliorer cela


Utilisateur banni

20/09/2017 à 05h32

gouj-euros écrivait:
----------
> tu as des doutes POSIT .....je n'en ai aucun.
> Ton matching n'est pas bon c'est tout, Hokusai. Je peux t'aider en MP si tu
> veux a améliorer cela

quelle est la précision que tu as mesuré d'un matching?
quelle méthode as tu utilisé pour mesurer cette précision?


Generique fraisage r2rxmm - Eugenol
lardonbis

20/09/2017 à 11h02

lardonbis écrivait:
---------
> je crois que la "classe 1" n'est pas attribuée simplement à la résine SG de la
> formlab mais à l’ensemble résine + machine + protocole.
> Elle ont leur certif ces résines ?
> Les seules autres que j'ai trouvé n'étaient pas distribuées mais utilisées en
> interne par les boite qui leurs ont fait passer les certifs.



ben non! j'ai effectivement trouvé des classe IIa ( c'est bon pour un appuis osseux non ? ) à vendre
https://digital.shera.de/en/SHERAdigital/Material/Drucken/SHERAprint-ortho-plus-UV


Hok 1b hgd3rj - Eugenol
Hokusai

20/09/2017 à 14h22

attention !! elle va pas pour la formlabs qui a un laser a 405nm de longueur d'onde !


12