Tous les forums
Chirurgie Guidée avec BLUESKYPLAN et imprimante 3D
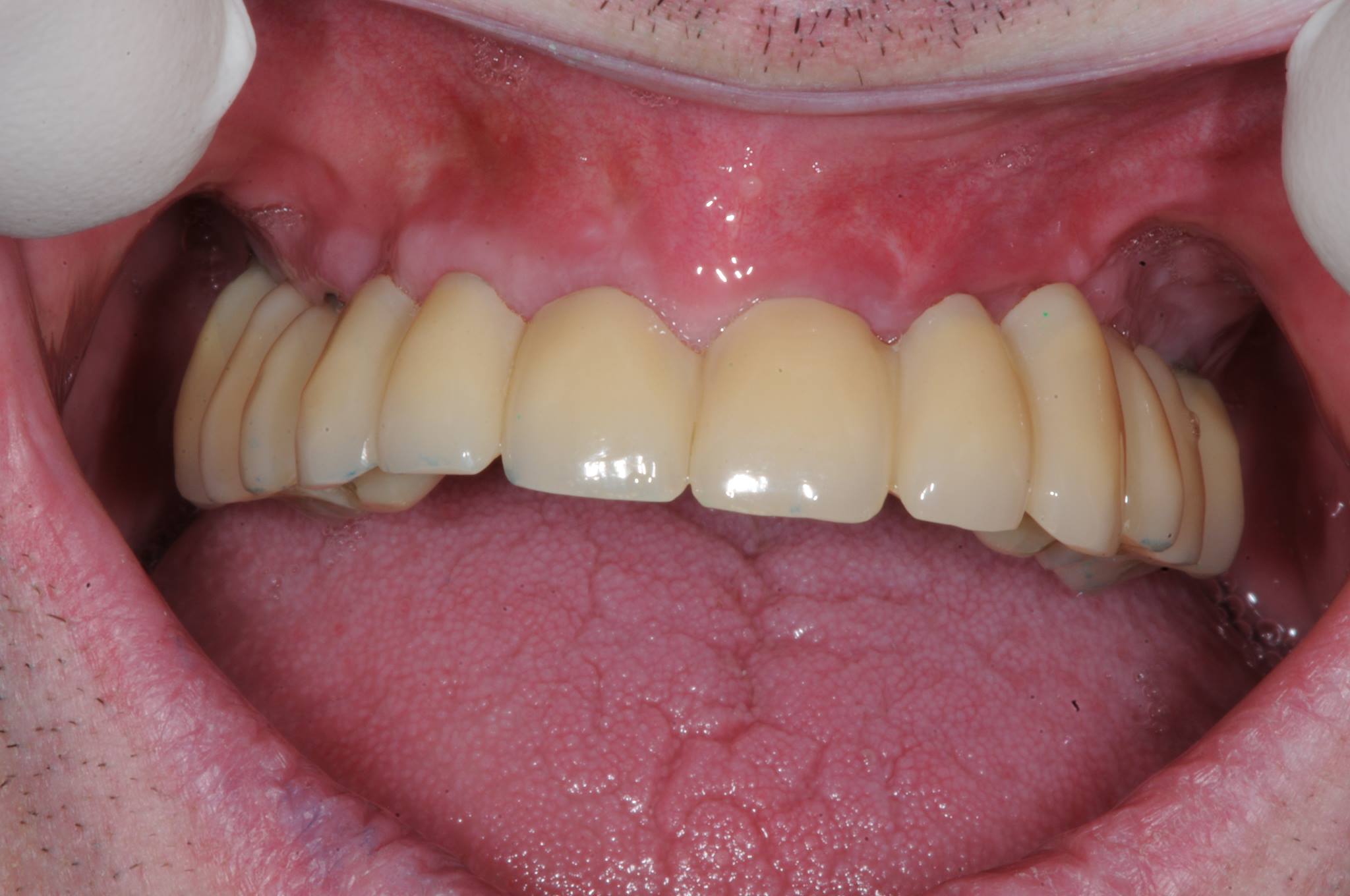
17/09/2017 à 13h08
hello, les ami(e)s !
comme il éxiste déjà sur facebook un site bluesky, je vous propose de publier vos cas réalisés avec Blueskyplan et une imprimante 3D.
pour débuter avec ce logiciel gratuit, il m'a fallu quelques heures d'apprentissage et de tâtonnement.
mais voilà , j'y suis enfin arrivé!
pour ce tout premier cas, j'avoue que je n'ai pas commencé par le plus simple, mais ça en valait la peine.
comme je n'ai pas (encore) une imprimante 3D digne de ce nom , j'ai fait faire l'impression par concetpt 3d sur Metz.
en tout et pour tout, le guide m'a coûté 75 €...
17/09/2017 à 13h42
Tu connais la marque de la resine du guide ?? Tu as traité comment le guide niveau asepsie ?? Double emballage puis autoclave ?
17/09/2017 à 13h49
du moment que c'est stérile au cours de la chirurgie et comme il y a des gaines en titanes (pas de copeaux de résine), je m'en contrefous complètement !
seul l'apport du guidage a un intérêt ici. et je dois dire que c'est top surtout pour le coût !
17/09/2017 à 16h30
Avais tu essayé d'autre logiciels de planification avant Bluesky? Si oui, quels inconvenients trouves tu à bluesky? Est il plus rudimentaire?
Je ne suis pas un specialiste, mais j'ai du mal à comprendre pourquoi certains choisissent simplant à 8000 euros si bluesky peut faire la meme chose et gratuitement. Si quelqu'un pouvait m'éclairer.
17/09/2017 à 18h33
Je connais très très bien simplant qui peut faire énormément de choses et qui a surtout pour avantage de permettre de travailler avec toutes les marques d'implants car la bibliothèque est régulièrement mise à jour.
par contre, le prix est trop important d'autant que les guides ne sont pas ouverts
soit ils gagnent du pognon sur le logiciel, soit c'est avec les guides mais pas les deux ! faut arrêter de "pousser mémé dans les osties" (comme dirait mon fils!)
17/09/2017 à 19h35
Mais concrètement, mis à part le fait de pouvoir travailler avec d'autres marques d'implants, qu'est ce que simplant peut faire de plus que bluesky?
17/09/2017 à 20h30
content de voir que tu évolue tout le temps, Thomas, et comme d'ab., beau boulot :-)
--
xbk
La connaissance s'acquiert par l'expérience, tout le reste n'est que de l'information." ALBERT EINSTEIN
17/09/2017 à 20h42
dentiste57 écrivait:
----------
> du moment que c'est stérile au cours de la chirurgie et comme il y a des gaines
> en titanes (pas de copeaux de résine)
les gaines en titane sont insérées "en force" dans le guide après impression ??
Tu dis prospecter pour une imprimante stéréolithographique, tu as regardé la formlabs2 version dentaire?
17/09/2017 à 22h10
Tu as choisi de ne guider que ton 1er forêt et de ne pas stabiliser le guide. C'est que le cas devait être relativement simple. Il sera intéressant de voir ce que ça donne sur des cas un peu plus complexe. Questions :
- qui scanne le guide (toi avec ton CB ?)
- qui fait le matching ?
- 75 euros douilles comprises ?
17/09/2017 à 23h25
Hokusai , oui c'était une formlab2 et je pense que je vais en faire l'achat. Il paraît quand même qu'une autre du même type serait moins cher?,?
C'est moi qui scan sur le cbct et fait le matching .
Et sinon oui , 75€ avec les douilles qui sont insérées dans leur logement dont la précision du guide permet une insertion sans grande difficulté
18/09/2017 à 09h48
Bonjour Thomas
Y –t-il eu des greffes de sinus précédemment ?
Tous les implants ont la même longueur ?
10 mm ?
Combien de temps entre la pose des implants et bridge résine ?
18/09/2017 à 17h59
ceel écrivait:
----
> BONJOUR à tous,
> comment as tu appris à t en servir ?
> merci
j'ai tâtonné ... un peu, beaucoup .,,,:)
18/09/2017 à 18h02
posit écrivait:
-----
> Bonjour Thomas
> Y –t-il eu des greffes de sinus précédemment ?
oui les deux
> Tous les implants ont la même longueur ?
> 10 mm ?
10 sur l'ordi, mais 11.5 en moyenne en réalité.
> Combien de temps entre la pose des implants et bridge résine ?
le même jour mais redémontage 2 jours plus tard car j'avais un doute sur le serrage d'un pilier
18/09/2017 à 19h46
dentiste57 écrivait:
----------
> Hokusai , oui c'était une formlab2
J'en profite pour répondre à la question de la nature de la résine.
Tout l'intérêt et la notoriété de formlabs et de sa form 2 dans notre domaine, c'est les résines associés.
https://formlabs.com/fr/materiels/dentistry/
18/09/2017 à 20h50
j'ai un cas à faire ce mois ci, complet du haut mci, je t'appel quand j'ai le scan
--
xbk
La connaissance s'acquiert par l'expérience, tout le reste n'est que de l'information." ALBERT EINSTEIN
19/09/2017 à 08h39
pour les résines, il commence a y en avoir beaucoup. Pour les guides, y'a la scheu imprimo LC ibt, la dreve fotodent, detax freeprint... faut juste qu'elle soit compatible avec les imprimantes laser a 405nm.
Pour le matching, j'arrive pas a avoir un resultat satisfaisant, en pièce jointe c'est le mieux que j'ai mais j'ai l'impression que les secteurs post ne coincident pas...
Sinon pour le prix du guide, tu dis 75e mais c'est avec les frais d'export stl de blueskyplan ?
19/09/2017 à 10h11
je crois que la "classe 1" n'est pas attribuée simplement à la résine SG de la formlab mais à l’ensemble résine + machine + protocole.
Elle ont leur certif ces résines ?
Les seules autres que j'ai trouvé n'étaient pas distribuées mais utilisées en interne par les boite qui leurs ont fait passer les certifs.
19/09/2017 à 16h32
Hokusai écrivait:
-------
> Pour le matching, j'arrive pas a avoir un resultat satisfaisant, en pièce jointe
> c'est le mieux que j'ai mais j'ai l'impression que les secteurs post ne
> coincident pas...
>
C'est conforme à ce que je vois des matching, c'est pour cela que lorsque des mesure de résultat post-op au dixième de de degré ou au dixième de mini mètre sont donnée, j'ai des doute sur la méthode utilisée.
19/09/2017 à 20h54
tu as des doutes POSIT .....je n'en ai aucun.
Ton matching n'est pas bon c'est tout, Hokusai. Je peux t'aider en MP si tu veux a améliorer cela
20/09/2017 à 05h32
gouj-euros écrivait:
----------
> tu as des doutes POSIT .....je n'en ai aucun.
> Ton matching n'est pas bon c'est tout, Hokusai. Je peux t'aider en MP si tu
> veux a améliorer cela
quelle est la précision que tu as mesuré d'un matching?
quelle méthode as tu utilisé pour mesurer cette précision?
20/09/2017 à 11h02
lardonbis écrivait:
---------
> je crois que la "classe 1" n'est pas attribuée simplement à la résine SG de la
> formlab mais à l’ensemble résine + machine + protocole.
> Elle ont leur certif ces résines ?
> Les seules autres que j'ai trouvé n'étaient pas distribuées mais utilisées en
> interne par les boite qui leurs ont fait passer les certifs.
ben non! j'ai effectivement trouvé des classe IIa ( c'est bon pour un appuis osseux non ? ) à vendre
https://digital.shera.de/en/SHERAdigital/Material/Drucken/SHERAprint-ortho-plus-UV