Cookie Consent byPrivacyPolicies.comOccluso? - Eugenol

Occluso?

6szjws718sv1jksw54v4mpj3a6cu - Eugenol
vulpi

27/09/2017 à 09h33

Bonjour

Patiente de 16 ans, pas d'antécédent médical.
Traitement orthodontique terminé il y a 2 ans, avulsion des DDS mai 2015.
Douleur fin août coté droit diagnostiqué dans un premier temps comme une otite (Ciflax en ttt local), pas d'amélioration, la douleur est maintenant localisée face interne de l'angle goniaque droit, plus importante le matin au réveil et en fin de journée, mais présente toute la journée, c'est le motif de la consultation.
Limitation de l'ouverture: deux doigts, pas de déviation à la fermeture.
Diduction dte et gauche fonction prise en charge par les 7 (??? je pense que la patiente ma trimbaler, je re-manipulerai, elle coopère pas trop).
Les modèles arriverons dans qq jours.

Qscv97b4affgmxfyxthp - Eugenol

Vw campersurfvan bmnk1q - Eugenol
enlaye

27/09/2017 à 17h56

Nivellement + contact incisif excessif probable .
Ce n est que musculaire pour l instant . Ensuite a force de serrer , les dents du haut vont se palatiniser avec de zolies mylolyses . .


6szjws718sv1jksw54v4mpj3a6cu - Eugenol
vulpi

27/09/2017 à 18h06

Je "te" marquerai les surfaces d'usures, il y en a.
Je ne l'ai pas trop manipulé. Un peu dégoutté... on me l'a adressé, peux pas lui dire que j'en sais rien de son truc!
D'après son histoire, la douleur était plus haute au début, d'où lorl, puis serait descendu "dans la mâchoire".
Au début j'avais pensée à un excès de gourmandise, ça arrive à cet age de s'esquicher le ménisque en s'attaquant à un truc trop gros, surtout en août pendant les vacances, mais à priori c'est pas par là qu'il faut chercher, j'ai investiguer, avec délicatesse.
Ah elle dort sur le coté, je lui ai conseillé de dormir sur le dos, ça peut pas lui faire de mal.
Je palperai les atm la prochaine fois, agacé je te dis," allez voir le Dr vulpi, c'est un sadam suite à l'ortho, il vous fera des gouttières".
Ah oui?!!!-(


Vw campersurfvan bmnk1q - Eugenol
enlaye

28/09/2017 à 08h17

Bon , maintenant ,le sadam n est pas forcement du à un pb occlusal .
Il y a des jobards (ou stress mal géré) , aussi ,hein .


6szjws718sv1jksw54v4mpj3a6cu - Eugenol
vulpi

23/10/2017 à 15h30

sans commentaire.
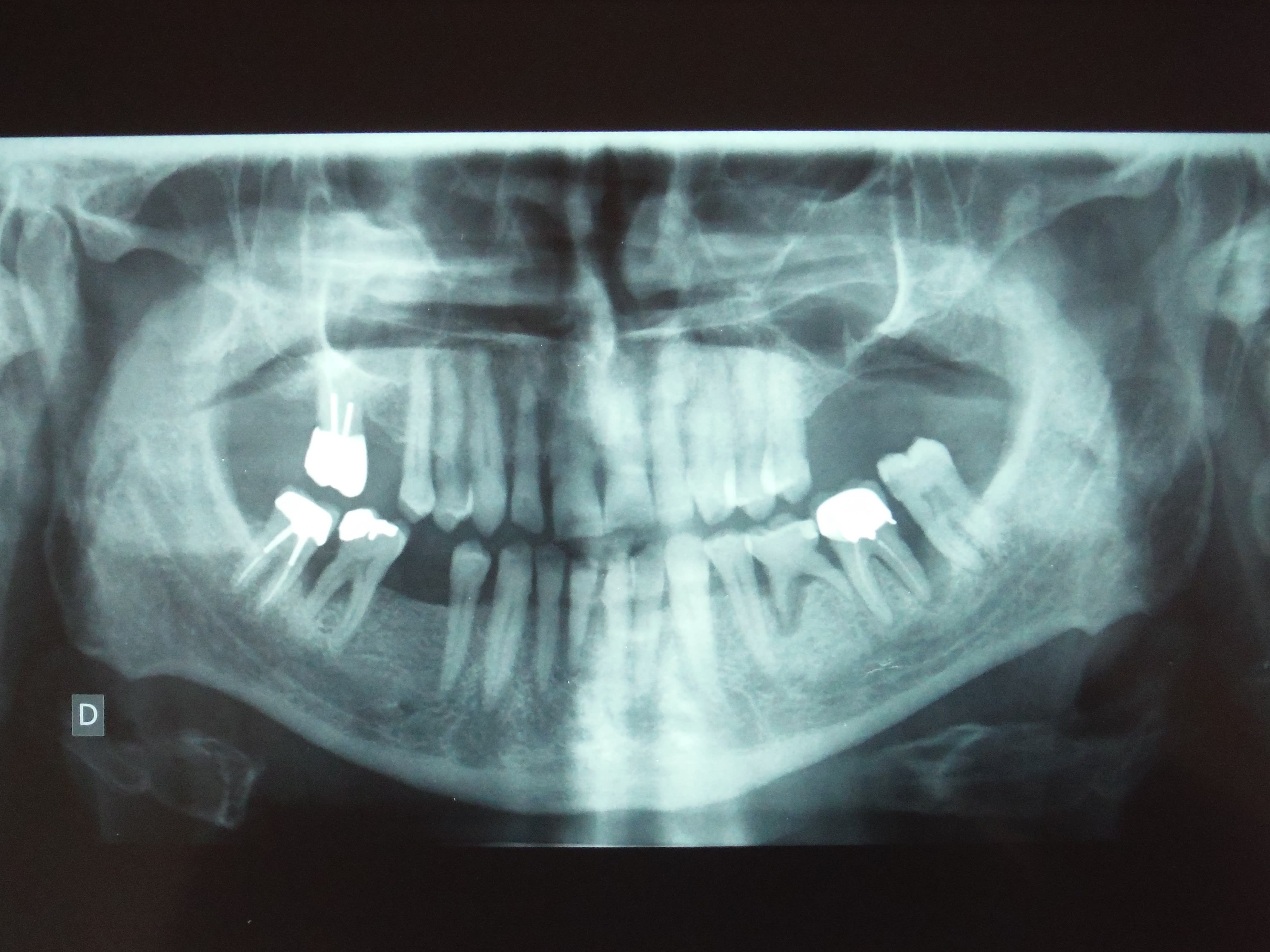
Ah si! 64 ans... et 41, 31 HS...

Dscf3023 s6onat - Eugenol
Dscf3024 jdoalr - Eugenol
Dscf3025 va36z4 - Eugenol
Dscf3026 vd5vnl - Eugenol
Dscf3020 2 duhvso - Eugenol

6szjws718sv1jksw54v4mpj3a6cu - Eugenol
vulpi

23/10/2017 à 16h03

Lui 59 ans, 41 HS, c'est la semaine!!! les photos ne sont pas tops :-(
Je vais lui dire d'aller voir ailleurs... un ortho et ainsi j'aurais botté en touche, il ne fera pas.

Dscf3027 khx3mi - Eugenol
Dscf3028 2 g3f4wj - Eugenol
Dscf3029 pjivsh - Eugenol
Dscf3030 xrvzvo - Eugenol
Dscf3031 vjq70r - Eugenol

Orezza gazeuse verre litre ocoxey - Eugenol
casa

23/10/2017 à 16h10

Alors messieurs , je vais vous parler de ma petite expérience sur une patiente que je connais bien : moi ... et ça me fait penser à ta patiente de 16 ans . En janvier , je m'auto médique d'une gouttière d'avancée mandibulaire .. Miracle je ne ronfle plus ..mais petit à petit le ronflement revient et petit à petit j'avance . De temps à autre , au réveil une douleur dans le condyle (surtout) droit mais vite oubliée le petit déj avalé . Mais voilà , il y a un mois cette douleur est beaucoup plus présente et à midi j'ai du mal à mastiquer ... douleur qui irradie du condyle à l'angle goniaque assez forte mais seulement à la mobilisation / mastication ..après reste une sorte d'engourdissement légèrement douloureux . Je renonce au port de la gouttière et quelques temps plus tard (une semaine) la douleur s'est localisée à une dent , genre desmondontite assez gênante ... Je m'inquiète un peu / fêlure ? . Mon occlusion n'est pas au top ..je ne ne sens plus trop les contacts côté gauche ... je ne fais rien de spécial, suis pas du genre à me précipiter chez les médecins et finalement tout est rentré dans l'ordre ... mais je ne porte plus la gouttière ... Je pense refaire une tentative en diminuant le protrusion, avant , peut-être d'aller me faire raccourcir le voile du palais ....


6szjws718sv1jksw54v4mpj3a6cu - Eugenol
vulpi

23/10/2017 à 16h15

Ton problème c'est le ronflement ou un SAS?


Vw campersurfvan bmnk1q - Eugenol
enlaye

23/10/2017 à 16h24

casa écrivait:
----
" et finalement tout est rentré dans l'ordre ... mais je ne porte plus la gouttière "

ç est une connerie ces gouttieres , surtout celles d'avancée mand .


6szjws718sv1jksw54v4mpj3a6cu - Eugenol
vulpi

23/10/2017 à 16h28

enlaye écrivait:
------
> casa écrivait:
> ----
> " et finalement tout est rentré dans l'ordre ... mais je ne porte plus la
> gouttière "
>
> ç est une connerie ces gouttieres , surtout celles d'avancée mand .

Tiens, un truc que j'adore:

"Docteur j'ai vu mon ostéo (kiné), il m'a dit qu'il me fallait une gouttière".


Generique fraisage r2rxmm - Eugenol
lardonbis

23/10/2017 à 16h43

enlaye écrivait:
------

> ç est une connerie ces gouttieres , surtout celles d'avancée mand .

faut pas le dire trop fort ça fait économiser plein de sous à la sécu


Orezza gazeuse verre litre ocoxey - Eugenol
casa

23/10/2017 à 17h09

Alors j'ai mis la charrue avant les boeufs ... je ronfle ça c'est sur et de porter la gouttière , j'allais nettement mieux .... plus de somnolence .... et lors d'une visite chez le médecin ma tension qui était limite d'habitude avait baissé .. bref , j'allais mieux ! Mon frère en porte une depuis des années sans problème donc je me suis dit allons-y ! Pour le SAS , du coup je dois voir un pneumo au mois de Fev .... ben oui c'est ça la médecine maintenant ! je sais je fais les choses à l'envers mais bon ... Je ne pense pas que ce soit une connerie ces gouttières ... sauf que sans doute je suis allée un peu loin ! j'ai du avancer d'au moins 3 mm par rapport à celle de départ ! Bref , je vais retester . il faut de cobayes dans la vie , je me dévoue ! Mais franchement , j'allais nettement mieux avec ! et c'est très appréciable ça ! En tous cas j'ai pu tester ce qu'un trouble occluso/ condylien induit comme douleurs et comme désordres .


split

20/11/2017 à 15h16

chers confrères...

ce que je lis ici me fait hurler, j'ai de la peine pour certains:

non les gouttières , y compris celles d'avancée mandiculaires ne sont pas des conneries, mais c'est comme tout : avant de parler il faut s'y intéresser et parler de ce que l'on connait.

mais c'est un métier, il faut certaines compétences pour en parler, surtout avant de critiquer

autre chose concernant les ostéos, bien sur qu'ils peuvent savoir si le patient a besoin d'une gouttière ou non. j'espèere que vous savez qu'il y un rapport direct entre les dents , les ATM , et les cervicales, donc ostéo et autre sont concernés.

bref , avant de critiquer, renseigner vous auprès des bonnes personnes


Vw campersurfvan bmnk1q - Eugenol
enlaye

20/11/2017 à 15h35

split écrivait:
-----
" chers confrères...
autre chose concernant les ostéos, bien sur qu'ils peuvent savoir si le patient a besoin d'une gouttière ou non. ......renseigner vous auprès des bonnes personnes "

qui sont ces bonnes personnes ??


split

20/11/2017 à 16h44

des ostéos qui ont compris que les pbs cervicaux en particulier en de posture en général se traitent en equipe

medecin , dentiste, ostéo ,podologue, etc


mr smith

20/11/2017 à 17h26

split écrivait:
-----
> des ostéos qui ont compris que les pbs cervicaux en particulier en de posture en
> général se traitent en equipe
>
> medecin , dentiste, ostéo ,podologue, etc

mes préférés c'est les posturologues , sont trop tops ;o)


Vw campersurfvan bmnk1q - Eugenol
enlaye

20/11/2017 à 17h51

split écrivait:
-----
" ..... se traitent en equipe
medecin , dentiste, ostéo ,podologue, etc "

ha oui ,quand meme .
et les etc ,ce sont les extras ?


split

20/11/2017 à 18h00

restez dans votre relation centrée

c est très bien


Generique fraisage r2rxmm - Eugenol
lardonbis

20/11/2017 à 18h14

parle pas comme ça de la C.entrée stp ;)


Vw campersurfvan bmnk1q - Eugenol
enlaye

20/11/2017 à 18h55

au final tu es plus Split que cast :-)))


Alios

20/11/2017 à 21h54

As-tu essayé un bon vieux pétard pirate allumé dans la bouche.
Après, tu vois ce qui reste et tu reconstruit all on six ou four c'est selon ... .:O))
Bon OK, c'est pas conforme aux données acquises ;O))


6szjws718sv1jksw54v4mpj3a6cu - Eugenol
vulpi

20/11/2017 à 22h16

split écrivait:
-----
> des ostéos qui ont compris que les pbs cervicaux en particulier en de posture en
> général se traitent en equipe
>
> medecin , dentiste, ostéo ,podologue, etc

Oh dio! J'ai la famille au grand complet moinss les cétéra, des espagnols???... je dois leurs parler de "lombalgies et dents"... bé misère j'y connais rien, en plus la cagne, dis moi Alios t'y aurais pas des lectures à me conseiller... j'ai demandé à un ami, mais y sait pas lire apparemment;


Images 3 nesubi - Eugenol
zizine78

21/11/2017 à 11h59

Bonjour les hyènes!
J'avais un prof d'occluso qui commençait toujours sa consultation en regardant les chaussures du patient.

Sinon, pour votre culture gé, lisez le livre de Michel Montaud sur la dentosophie: avec ses gouttières, il retrouve l'équilibre du corps aussi bien physique que psychoaffectif!
Ca vous sidère, hein? Crcrcrcr!


Generique fraisage r2rxmm - Eugenol
lardonbis

21/11/2017 à 12h07

zizine78 écrivait:
--------

> dentosophie

yep ça c'est du bon !!.
J'ai appris que si j'ai mal à la 11 c'est que mon grand-pere c'est coincé la couille gauche en 40.
traitement : lumière rose pale mais pas trop, imposition d'une fiole d'eau de Lourdes, meulage de 17 et 15, suppo d'ananas biodynamique.
Le tout en 20 séance de 1 min . Forfait 6 mois (le temps de passer l'ananas) : 6000€
J'oublierais pas de mettre du "ciment pierre" à la place de tout les plombages, à refaire tout les 2 ans.

Y'en à qui savent même pas ce que CCAM veut dire... Faut que je me forme.


6szjws718sv1jksw54v4mpj3a6cu - Eugenol
vulpi

21/11/2017 à 12h23

zizine78 écrivait:
--------
> Bonjour les hyènes!
> J'avais un prof d'occluso qui commençait toujours sa consultation en regardant
> les chaussures du patient.
>
> Sinon, pour votre culture gé, lisez le livre de Michel Montaud sur la
> dentosophie: avec ses gouttières, il retrouve l'équilibre du corps aussi bien
> physique que psychoaffectif!
> Ca vous sidère, hein? Crcrcrcr!

Non mais c'est sérieux, le 12/12 je fais un truc, vous serez pas invités, c'est restricted membres du club, beaucoup de femmes... féminisation des professions de santé... mais je m'égare... et donc "lombalgies et dents", les trucs, liens, lectures je prends.


12...