Cookie Consent byPrivacyPolicies.comImage maxillaire - Eugenol

Image maxillaire

Jack 2 wm3tqs - Eugenol
Treponem

02/10/2017 à 09h35

Salut,
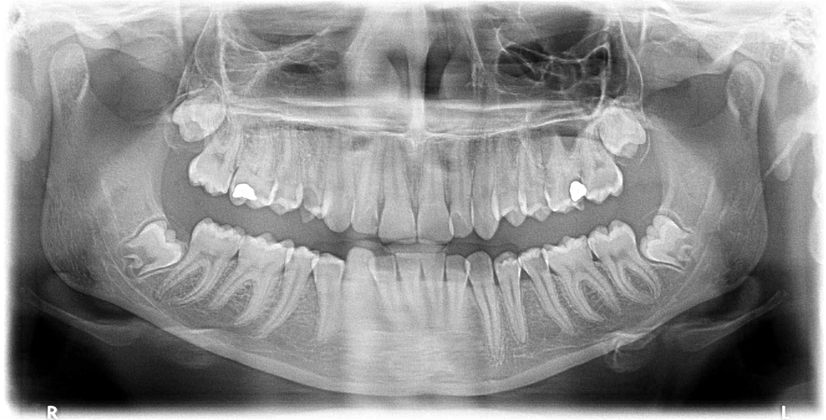
découverte fortuite d'une image étrange sur pano de contrôle secteur sinus gauche. Jeune fille 16 ans.

Inquiétant ou pas ? (ameloblastome ? rare au maxillaire, image étrange)

Qldffrh5p0b2nf7yxa0v - Eugenol

145 kssowa - Eugenol
Chicot30

02/10/2017 à 10h42

Symptômes au niveau de la 6 de la 7 ? Mobilité sensibilité ?
Déjà soin ou exo de la 6 (là tu as clairement une nécrose avec image apicale toujours tellement floue sur un pano) et ensuite vois si évolution après les soins au secteur 2.
Si vraiment tu doutes fait une imagerie 3D car un ameloblastome maxillaire me paraît peu probable.


--
"C'est parce que la vitesse de la lumière est supérieure à celle du son que certains paraissent brillants avant d'avoir l'air cons."


Jack 2 wm3tqs - Eugenol
Treponem

02/10/2017 à 11h03

Merci, oui oublié de préciser que la 26 est à traiter ?! Semble vivante mais ne va pas le rester longtemps.
En première intention, traitement du secteur 2 mais l'image ne plaît pas . Un ameloblastome ici me paraît également peu concevable.


145 kssowa - Eugenol
Chicot30

02/10/2017 à 13h56

Donc pas de symptômes ?


--
"C'est parce que la vitesse de la lumière est supérieure à celle du son que certains paraissent brillants avant d'avoir l'air cons."


Jack 2 wm3tqs - Eugenol
Treponem

02/10/2017 à 14h27

Non pas de symptôme, 26 asymptomatique, test au froid vraiment peu concluant, je vais la traiter (l'amalgame est infiltré), mais même avec une endo au poil, pas sûr que ça change quelque chose au niveau du sinus.
27 semble vitale sans symptomatologie douloureuse.
Pas de voussure, pas de plainte.


145 kssowa - Eugenol
Chicot30

02/10/2017 à 15h02


Dans le doute adresse à un ORL.

--
"C'est parce que la vitesse de la lumière est supérieure à celle du son que certains paraissent brillants avant d'avoir l'air cons."


fgui

02/10/2017 à 16h33

lésion peri apex ayant soufflée le plancher du sinus;
test vitalité negatif sur 26
une 3d en confirmation.