Cookie Consent byPrivacyPolicies.comLa mucco, ça marche pas si mal - Eugenol

La mucco, ça marche pas si mal

Smile beach jgh0a1 - Eugenol
Céramik

08/10/2017 à 15h39

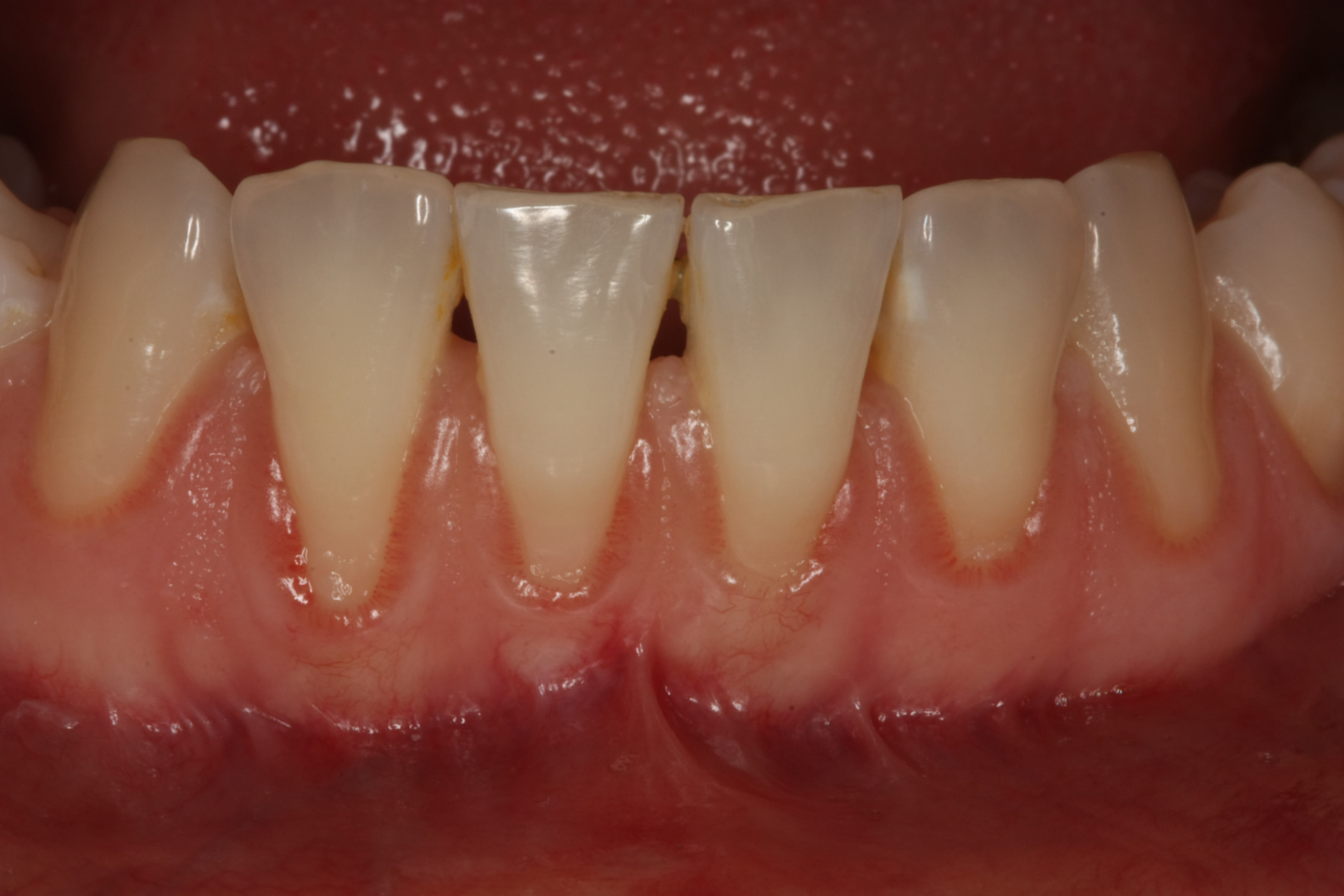
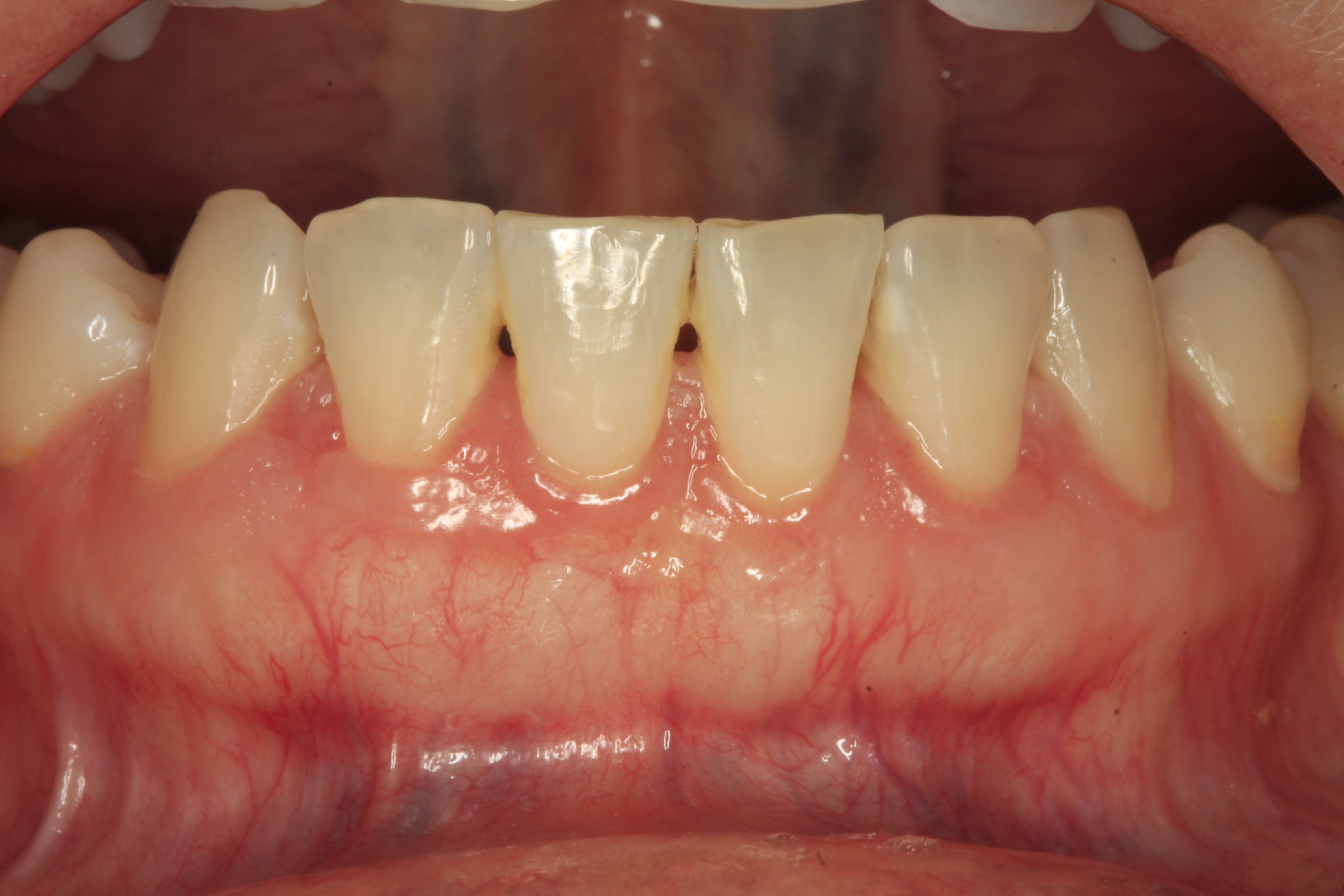
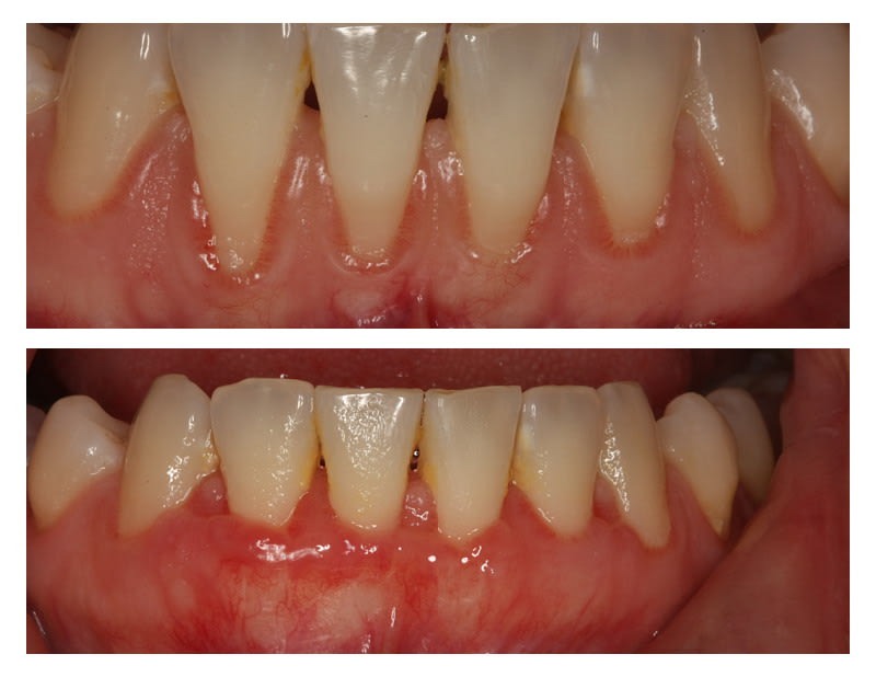
Suivi 24 mois (retour sur un cas déjà posté)
Photos
1-Avant
2-Greffon palais
3-Sutures
4- @ 1 mois
5- @ 24 mois



--
Céramik

Wvuf4gmrpkru1bjj2rqq - Eugenol
Cet7osqx6iqatx53xev0 - Eugenol
J9wyuji8hhwy14bsxqii - Eugenol
Wwc5xksyox132zeiowzo - Eugenol
Btbh1knydfzhf8hyfntt - Eugenol

Hok 1b hgd3rj - Eugenol
Hokusai

08/10/2017 à 17h48

C est tres impressionnant ! Impeccable :))