Cookie Consent byPrivacyPolicies.comImplant ID? - Eugenol

Implant ID?

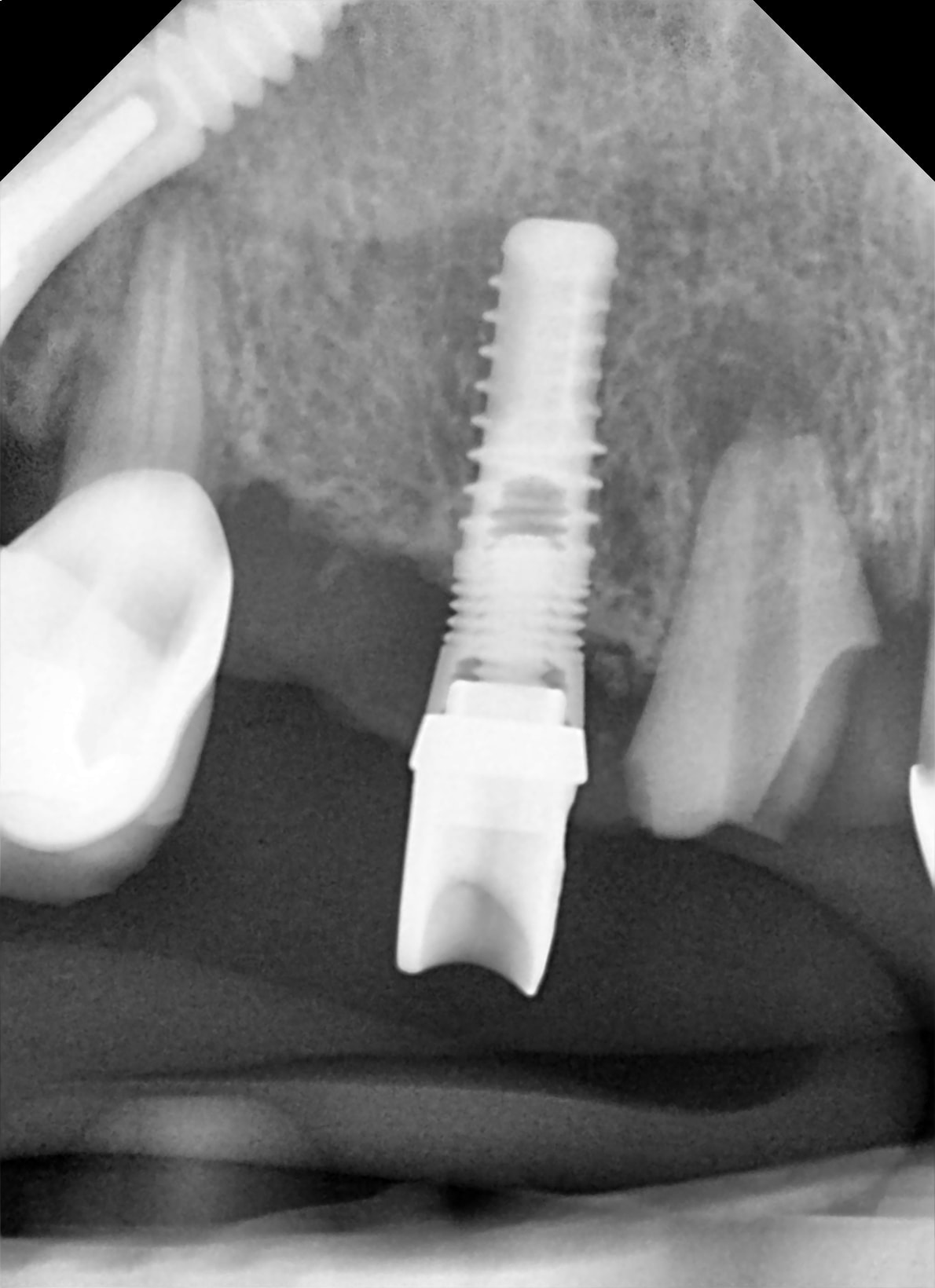
Clipboard02 qnhtcb - Eugenol
DrC

12/10/2017 à 19h11

Bonjour,

SVP, aidez moia identifier cet implant parce'que je n'arrive pa a le retrouver sur whatimplantsisthat ou osseosource...or peut etre je suis trop fatigue!

Merci

P1z20igx5tidvyxusfu3 - Eugenol

Photo pluton1b h9n4ea - Eugenol
pluton

12/10/2017 à 19h39

j'hésite...entre un vieux serf EVL ou un tekka progress...

j'hésite car les microspires au col correspondrait plus au progress...mais l'apex plat plus à l'EVL...
à moins que çà soit un clone...
de toutes façons => maintenant globalD...et c'est la même connexion...


Clipboard02 qnhtcb - Eugenol
DrC

13/10/2017 à 11h14

Merci pluton.

Apres avoir etudie les radios de Global D je pense que c'est ca:

Implant EVL® S Global D.

Autres idees?


Clipboard02 qnhtcb - Eugenol
DrC

17/10/2017 à 16h57

Salut, je reviens avec la meme question? Keske c'est ca comme implant?

Clipboard01 wnylhx - Eugenol
Clipboard02 b7zh8v - Eugenol

Clipboard02 qnhtcb - Eugenol
DrC

26/12/2017 à 18h58

Alors....Personne?


Photo pluton1b h9n4ea - Eugenol
pluton

27/12/2017 à 00h32

t'as pas encore plus petit et pourri comme image???

peut être de vieux microvent zimmer....c'est ce qui me vient et correspond le mieux à ce que je peux voir....

http://osseosource.com/dental-implants/product_info.php?manufacturers_id=27&products_id=1361


rene

30/12/2017 à 20h26

le premier c'est EVL de serf /global D

les seconds ça ressemble a IDI CAM
http://www.idi-dental.com/fr/produit/idcam-m


Photo pluton1b h9n4ea - Eugenol
pluton

30/12/2017 à 22h22

c'est une possibilité avec le microvent...
mais pour pouvoir être sûr...faut de meilleurs clichés...et pas des vignettes type timbre poste tellement compressés qu'il n'y a plus d'infos vraiment exploitables...


Aiguille cyboyt - Eugenol
fatboy

01/01/2018 à 12h33

La couronne est à l'envers, ou alors j'ai pas encore décuvé?