Cookie Consent byPrivacyPolicies.comDensah - Eugenol

Densah

alex33

16/10/2017 à 23h03

J'utilise les Versah depuis un moment maintenant. Que du bonheur, notamment en sinusien! Plus de sinus lift. J'ai eu des cas ou j'ai posé, avec 2.5mm d'os natif, un 10 mm,avec plus de 50N de torque! Je prefere utiliser les forets originaux, j'en ai 4 ou 5 et ca suffit pour les legacy. Ps: j'ai acheté des implants MSDI, mais pas encore posés. La qualité semble bonne, driver, pilier, vis de cicat ect...Fabriques en Israel dans une manufacture fabricant aussi pour AB, alpha bio...


Utilisateur banni

16/10/2017 à 23h11

Attends voir comment tu fais pour poser du 10mm quand t'as juste 2,5 mm en hauteur d'os avec des Densah ?
-> quelle est ta procédure ?


Logo m4n3gc - Eugenol
drmarcus

17/10/2017 à 08h54

alex33 écrivait:
------
j'ai posé, avec 2.5mm d'os
> natif, un 10 mm,avec plus de 50N de torque!

Je demande à voir les iconographies avant pendant (si possible) et après surtout à plus d'un an après la mise en charge prothétique.
Je suis preneur de ce genre d'innovation.

--
"La seule chose promise d'avance à l'échec, c'est celle que l'on ne tente pas" Paul Emile VICTOR


moritooth

17/10/2017 à 09h22

Ah moi aussi je suis preneur. Ca me simplifirait la vie, et celle de mes patients...

Une biblio à conseiller ?


alex33

17/10/2017 à 09h29

La procédure est simple, mais varie selon la hauteur sous sinusienne, à savoir plus ou moins de 4 MM. Avec 2,5 mm, j'ai foré sur 1 mm avec le pointeur, puis passage du foret 3.0 mm en mode reverse à 900 tr/min jusqu'à la corticale. Ensuite une fois cette dernière passée, on repousse la membrane toujours en mode reverse en veillant à ne jamais faire pénétrer le foret de plus de 3 mm dans le sinus.
J'ai testé la membrane avec ma sonde jauge, tout allait bien. Puis comblement à l'OSTEON II de Dentium en seringue, c'est plus pratique. Chez Versah, ils utilisent le novabone pur le côté pratique de l'embout. Après, je pense que le type de matériaux compte peu, il sert juste d'échaffaudage. Et je pense qu'un matériau à résorption lente type Béta TCP est plus adapté.
J'insère donc la xénogreffe, puis elle est poussée avec mon foret de 3 mm toujours en mode reverse à 100 trs/min et 50 N de couple. Enfin insertion de l'implant. EN moyenne j'obtiens 40 à 50 N. vis de couverture et attente de 6 mois. Je vais mettre les radios.
Ce système est révolutionnaire je trouve, aucune suite pour le patient, on obtient une osséodensification et une légère expansion également. J'ai récemment lu une étude attaquant ce système qu serait source de microfracture osseuse et d'ischémie. Après analyse, les cas concernaient des implants mandibulaires et des implants BICON.... Forcément on est hors indication:)

20170731 104124 jm9mqy - Eugenol
20170731 104132 dm9ueo - Eugenol
20170731 104140 shqq34 - Eugenol
20170731 104153 aeagy7 - Eugenol
20170731 104353 k2ywua - Eugenol
20170731 104658 pmy63m - Eugenol

Utilisateur banni

17/10/2017 à 10h07

Hey ben putin c'est couillu :)
L'implant sert de piquet de tente comme un Summers classique tu me diras ...
T'en as fait combien des comme ça ?
Et t'as pas peur d'avoir une petite résorption pour raison x ou y au niveau des 2,5 mm ? Et que l'implant se barre ensuite dans le sinus ?
-> est ce que ça ne serait pas plus prudent de mettre juste le biomatériau ? Tu combles bien histoire que le sommet de la tente ne bouge pas et après cicatrisation -> tu repasses un coup les Densah puis pose de l'implant ... comme ça t'as plus de rétention et moins de risque que l'implant se barre


Photo pluton1b h9n4ea - Eugenol
pluton

17/10/2017 à 10h15

sauf que si l'implant fait 10mm en fait en périphérie (là où il est ancré par ses spires) tu as 4/5 mm d'os...
alors oui au plus fin tu as 2.5mm, mais au final avoir 40/50Ncm avec 5mm d'os c'est ....classique...et tu as fais un summers pour gagner les 4/5mm qui te manquait...
là aussi rien d'exceptionnel...
après, ce que je vois c'est le côté pratique et certainement assez sécure d'avoir un foret qui tourne à l'envers et qui, de ce fait est extrêmement peu actif au bout et permet d'envoyer de l'os autogène au fond...


Utilisateur banni

17/10/2017 à 10h21

pluton écrivait:
------
> sauf que si l'implant fait 10mm en fait en périphérie (là où il est ancré par
> ses spires) tu as 4/5 mm d'os...
> alors oui au plus fin tu as 2.5mm, mais au final avoir 40/50Ncm avec 5mm d'os
> c'est ....classique...et tu as fais un summers pour gagner les 4/5mm qui te
> manquait...

Il a raison Pluton
Oui sur un vrai 2 mm - 2,5 mm , genre lame de couteau, je demande à voir
Ceci dit il n'avait pas beaucoup d'os non plus ... avec 3-4 mm sur les bords . C'est quand même pas mal !!!
Grand merci pour le partage en tout cas

Img 0529 s7i3lc - Eugenol

alex33

17/10/2017 à 10h40

En largeur j'avais plus c'est vrai. Mais J'avais je n'aurai fait de summers sur 2.5 mm de haut. Les gros gain que je vois, c'est la rapidite', le confort pour le patient, l'utilisation de l'os autogene qui auparavaant, était éjecté du site de forage...C'est un changement de paradigme. Idem pour les expansions de cretes, sut 3 mm tu peux poser de 3.5 apres passage de ces forets. L'os s'écarte sous tes yeux. C'est tres surprenant. Par contre il faut bien réfléchir au choix du sens horaire ou antihoraire. Si on force trop, ne pas hésiter à repasser en mode horaire pour eviter l'échauffement osseux. Pour les sinus regarder la video de Ziv major:


Quand au risque de dilatation de l'os junior, c'est un risque oui...Apres avec 50 N j'ai de la marge, les les trabeculations osseuses auront ete densifiees. Cette boite semble tres serieuse, les publis dans les revues prestigieuses commencent à sortir. Ils annoncent des résultats au moins aussi bons qu'avec des voies laterales.

Screenshot 20171017 103729 g0lxbl - Eugenol

alex33

17/10/2017 à 11h58

Pour les utilisateurs d'implant direct.


Generique fraisage r2rxmm - Eugenol
lardonbis

17/10/2017 à 12h19

mmmm une voix..... une voix lointaine..... je reçois un message.

"je le savais bien qu'on pouvait le bourrer ce con de sinus !!"

206d qg2ei3 - Eugenol

Utilisateur banni

17/10/2017 à 12h25

Ceci dit la pose immédiate dans certains cas de sa vidéo (les derniers cas) : c'est un petit peu risqué avec tout juste 2 mm d'os pour les maintenir

Pour résumer :

Img 0531 w8blum - Eugenol
Img 0532 ayfnlc - Eugenol

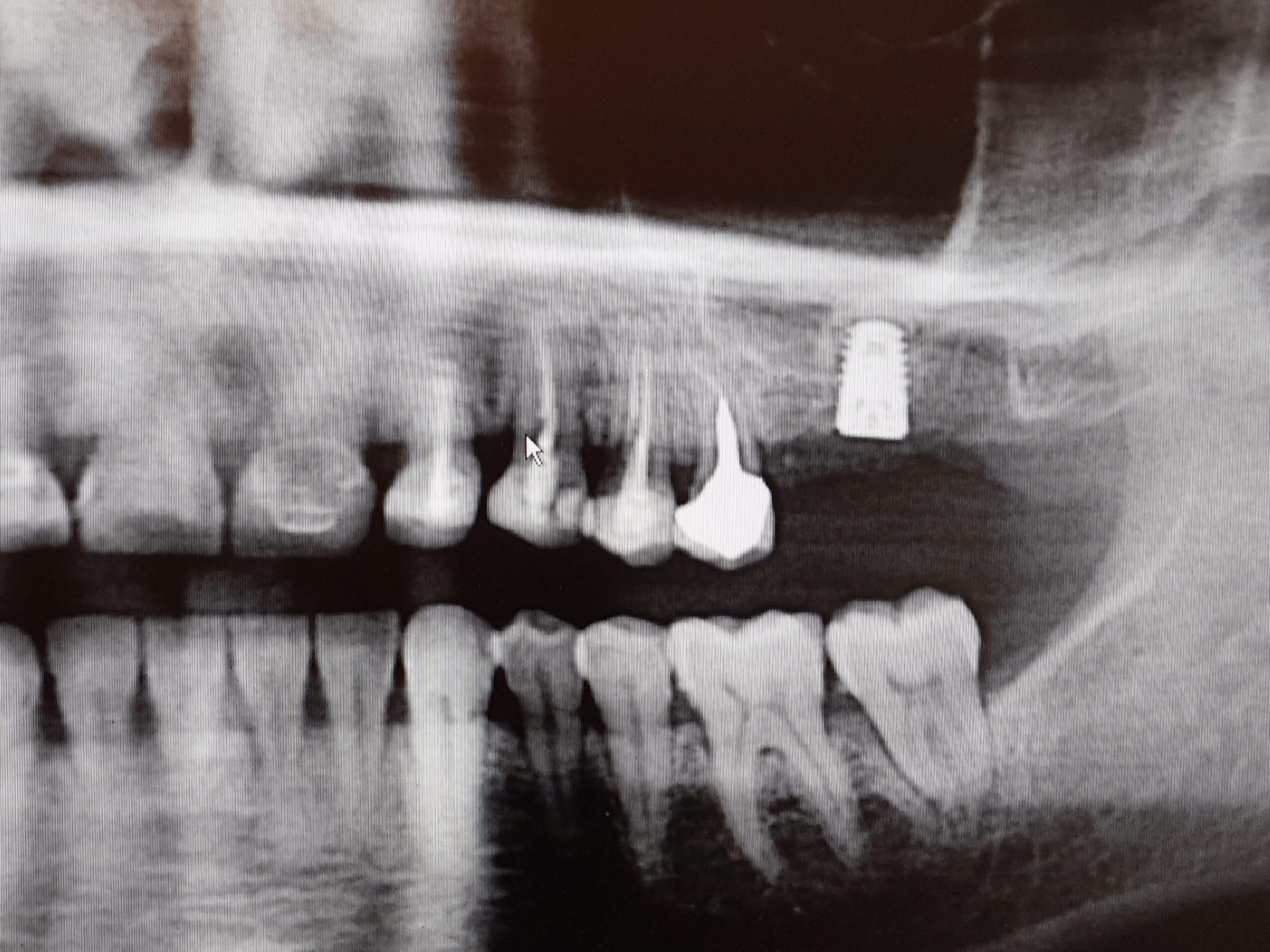
alex33

18/10/2017 à 09h48

Un autre exemple de l'utilisation des versah. Cas d'EII sur 26, Forage dans le septum et osseodensification. Souleve' de sinus de 5mm mais sans comblement. Controle à 7 jours, aucune douleur post op.

20171018 094131 hjcxwj - Eugenol
20171018 094139 iocwui - Eugenol
20171018 095402 zrdzxf - Eugenol

Logo m4n3gc - Eugenol
drmarcus

18/10/2017 à 11h38

alex33 écrivait:
------

> Ce système est révolutionnaire je trouve, aucune suite pour le patient, on
> obtient une osséodensification et une légère expansion également. J'ai
> récemment lu une étude attaquant ce système qu serait source de microfracture
> osseuse et d'ischémie. Après analyse, les cas concernaient des implants
> mandibulaires et des implants BICON.... Forcément on est hors indication:)

On est bien d'accord, ce système joue le révolutionnaire mais tu cites ce que je crains fort.
En rajouter avec des implants Bicon n'est pas stupide. Pourquoi est on hors indication?
Je ne vois pas comment l'ischémie est contrôlée avec d'autres systèmes implantaires.
J'avoue si j'arrivais à lever ma crainte de manque de vascularisation du site ce principe ajouté aux AnyRidge de Megagen ça ferait un tabac.

Bon ok comme dit Pluton là il n'y a rien d'exceptionnel dans le cas que tu montres. Maintenant de quand date t'il? Et la prothèse ? Depuis quand il est en fonction?

Vraiment je suis curieux désolé!


--
"La seule chose promise d'avance à l'échec, c'est celle que l'on ne tente pas" Paul Emile VICTOR


alex33

18/10/2017 à 11h51

Ce cas est tout récent, comme mes autres cas, car j'ai commandé ces fraises cet été. Pour ceux que ça intéresse il y a un groupe facebook avec pas mal de cas cliniques, finis, eux. J'ai aussi beaucoup regardé les vidéos de présentation sur youtube. L'engouement est mondial pour ce système en tout cas.
Ce que je trouve le plus incroyable c'est pour les soulevé sinusien.
Pour l'article, on est hors indication, car ce système a pour vocation, notamment d'accentuer la densité osseuse. Par exemple, sur un os D4 on peut obtenir du D2. Mais sur de l'os type 1, une osséodensification associée à un implant Bicon qui lui même comprime, ça fait beaucoup, et surtout il n'y a pas d’intérêt.
Un des points noirs que je vois au système c'est qu'il faut un bon ressenti de l'os, et bien connaître son implant. Il n'y a pas de procédures standards, car selon le type d'os on alterne le sens horaire et anti horaire. L'auteur a sorti un protocole de forage pour beaucoup d'implants mais le ressenti reste primordial. Pour une 17 je me suis retrouvé avec moins de 20N car j'avais passé le foret de trop...
Mais cela replace l'os au centre du débat ce que je trouve intellectuellement intelligent.


Olieve

18/10/2017 à 12h56

junior® écrivait:
-------
> Ça y est les affaires sont closes . Tout est vendu :)))) . Le mec a certainement
> halluciné. Il a vendu son stock en une journée. Que des français

Commande arrivée ce matin, vachement rapide le mec en tout cas !
Par contre, à première vue la qualité d'usinage n'a pas l'air au top


Utilisateur banni

18/10/2017 à 13h22

Olieve écrivait:
------
> junior® écrivait:
> -------
> > Ça y est les affaires sont closes . Tout est vendu :)))) . Le mec a
> certainement
> > halluciné. Il a vendu son stock en une journée. Que des français
>
> Commande arrivée ce matin, vachement rapide le mec en tout cas !
> Par contre, à première vue la qualité d'usinage n'a pas l'air au top

Hey ben c'est speedy Gonzalez le mec !
Je n'ai pas encore reçu les miens : tu ne veux pas prendre une ptite photo pour montrer la qualité d'usinage ??


Logo m4n3gc - Eugenol
drmarcus

18/10/2017 à 13h52

alex33 écrivait:
------

> Mais cela replace l'os au centre du débat ce que je trouve intellectuellement
> intelligent.

Bien d'accord car trop souvent oublié comme la vascularisation et ça ne cesse de me hanter.

--
"La seule chose promise d'avance à l'échec, c'est celle que l'on ne tente pas" Paul Emile VICTOR


Olieve

18/10/2017 à 13h55

Voilà les photos
La dernière c'est un ID pour comparer
(Je devrais faire des macros de mes forêts plus souvent pour mieux les nettoyer :-) )

Img 0457 zlohwr - Eugenol
Img 0458 ngagl3 - Eugenol
Img 0459 rvkx1v - Eugenol

Photo pluton1b h9n4ea - Eugenol
pluton

18/10/2017 à 14h16

moi aussi reçu ce matin...;-))
très rapide le mec...
bon c'est vrai que l'usinage n'est pas parfait, mais çà a l'air de couper quand même pas mal à la pointe...le profil de ces multilames alésoires font que la coupe latérale n'est pas folichonne...
à tester en tout cas...
amha les indications c'est surtout les sinus et densifier un peu un site en D3/D4 avant de poser l'implant...

@Olieve: n'oublie pas de retirer le truc en plastique sur le pilot avant le sté...;-) ...sinon tu vas avoir des problèmes....


Olieve

18/10/2017 à 15h41

pluton écrivait:
------
> moi aussi reçu ce matin...;-))
> très rapide le mec...

Oui très sérieux le gars, il a envoyé ça comme échantillon gratuit : c'est plus rapide et ça nous évite les frais de douanes.
Vu le succès, il a peut-être commandé 10000 kits au grossiste le pauvre :-)


Utilisateur banni

18/10/2017 à 15h43

Olieve écrivait:
------
> Voilà les photos
> La dernière c'est un ID pour comparer
> (Je devrais faire des macros de mes forêts plus souvent pour mieux les nettoyer
> :-) )

T'es mal vue par le Pakistanais toi :)))
Finition vraiment pas mal pour moi ^^
Allez op 4000 euros d'économie . Ça fait plaisir par où ça passe

Img 0536 pxqlp3 - Eugenol
Img 0537 nwgpwo - Eugenol

albert

18/10/2017 à 16h43

J'interviens très ponctuellement dans votre discussion. En tant qu'utilisateur du système, je vous déconseille d'utiliser des forêts aussi imparfaits quand on les compare avec les originaux.
Même si le prix est élevé et sans aller aussi loin qu'Alex 33, ces forêts sont des super compacteurs à os et à biomatériau.

1 img 2292 krkqdb - Eugenol

Olieve

18/10/2017 à 16h53

junior® écrivait:
-------
> Olieve écrivait:
> ------
> T'es mal vue par le Pakistanais toi :)))

Non, non c'est ta vue à toi qui est mal.. Nos forêts sont les mêmes et clairement très moins bien finis que ceux d'Albert.

Bon, on en a pour notre argent, même si les forêts s'avèrent pourris, le kit est à peine plus cher que le support original de chez Versah


Utilisateur banni

18/10/2017 à 18h11

Ah oui effectivement y a une différence :)))
Les rainures sont plus profondes.
Mais bon 119 euros le foret c'est aussi une arnaque.