Cookie Consent byPrivacyPolicies.comDensah - Eugenol

Densah

Icon poker h4nm2d - Eugenol
jeff

10/11/2017 à 10h40

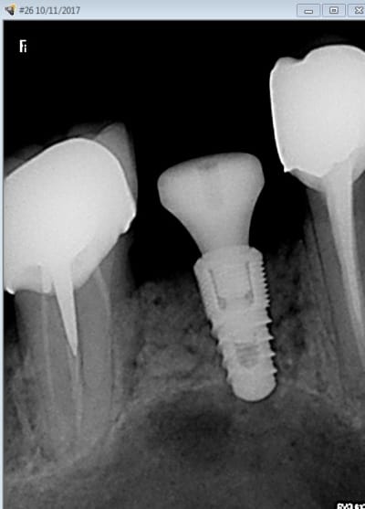
Premiere utilisation des forets ce matin.
Mise en place d'un naturall + ETK 4 x 8.
Dispo : 6 mm : arret du forage a 5 , puis foret "versah" , on sent bien quand on passe la corticale du sinus.
cela tourne a l'envers, donc, je ne sais pas si la vibration ressentis est normal ou lié a la qualité du foret.
Aux utlisateurs des originaux de nous dire.
Verification quand meme de l'étanchéité, un peu bout de PRF au fond et c'est bon.

Foret uucvsm - Eugenol

P1060496 m7josl - Eugenol
rhizalyse

03/12/2017 à 16h18


peut on avoir l'adresse de l'indien pour lui en commander d'autres.?

--
marco


dov

06/11/2018 à 12h13

Junior,
Tu as poste une image du site Ebay a propos du kit genre Densah. Je ne retrouve pas sur le net.
Comment le retrouver?


steg

26/09/2019 à 11h54

Bonjour je me permets de ré ouvrir le sujet pour savoir si vous utilisez les forêts eBay finalement ???


Zkb

18/12/2019 à 20h42

Tu poses des MSDI? comment ça donne? a 3 / 6 mois ? et plus


Utilisateur banni

19/12/2019 à 09h46

Faut demander à Pluton , c’est lui qui avait trouvé le lien .
N’achetez pas les forets du pakistanais :) je n’ai jamais vu des forêts aussi mal finis.
J’ai acheté ensuite les originaux. Je ne suis pas le spécialiste de l’expansion et du summers , mais je trouve qu’on peut tout à fait se passer de ces forets . À bon entendeur


--
La forme de ma coupe de cheveux futuriste me permet une meilleure pénétration dans l'air et d' avoir moins de résistance face au vent lorsque je me déplace.


Toriko ucqp9i - Eugenol
Giantcoco

20/12/2019 à 10h05

bonjour a tous,

avez vous du recul depuis 2 ans sur cette technique de compaction laterale et crestale si oui pouvez vous partager?

merci


Toriko ucqp9i - Eugenol
Giantcoco

27/01/2020 à 15h58

personne?


Photo pluton1b h9n4ea - Eugenol
pluton

27/01/2020 à 16h03

pfff...alors perso, toujours assez perplexe sur cette technique....trop peur de chauffer l'os...
donc sincèrement çà m'a servi 2 / 3 fois en 2 ans....je ne peu pas vraiment dire que çà soit un recul clinique sur la technique....


rene

28/01/2020 à 05h29

salut raphael
moi j'utilise régulièrement surtout pour les expansions
un peu pour les sinus


pluton écrivait:
------
> pfff...alors perso, toujours assez perplexe sur cette technique....trop peur de
> chauffer l'os...
> donc sincèrement çà m'a servi 2 / 3 fois en 2 ans....je ne peu pas vraiment dire
> que çà soit un recul clinique sur la technique....


Momixmomix

16/02/2020 à 09h48

Bonjour à tous, avez vous un lien pour connaître le protocole pour une augmentation type summers avec ces forêts ?
En gros il faut toujours tourner en sens antihoraire avec tous les forêts sauf le forêt pilote (où bcp d'entre-vous utilisent leur forêt classique si j'ai bien compris)?
Bonne journée


Olieve

16/02/2020 à 13h30

Sur la page YouTube de Versah :



Ou sur leur page Internet : www.versah.com


Doc sans color fnywoc - Eugenol
bond

28/05/2023 à 13h36

Que pensez-vous de ce kit de forêts
€ 146,34 Réduction de 11% | Fraises dentaires en titane, Kit vert d'implant dentaire, sans rouille, 1 ensemble
https://a.aliexpress.com/_mKcOB6s


Bubule

28/05/2023 à 14h46

Ils sont bien, ils peuvent s utiliser sans probleme pour les elevations de sinus de summer