Tous les forums
Douleurs de sportif
16/10/2017 à 17h39
Bonjour à tous,
je suis jeune diplômé et par conséquent peu expérimenté, lors d'un remplacement, j'ai reçu un patient assez sportif (Athlétisme à raison de 2x/semaine minimum) pour un contrôle annuel qui en a profité pour me parler de douleurs dans le secteur 2 postérieur lors d'impacts pendant la course, voire à la marche. Localisées a priori au niveau de 25-26 et disparues au moment du RDV.
la description faisait état de gènes puis de douleurs provoquées à l'impact (mais pas à la mastication) en général pendant 2 à 3 semaines consécutives puis disparaissant de manière spontanée.
Patient jeune (32 ans), en bonne santé générale, avec antécédent d'opération des sinus dans l'enfance à la suite d'otites à répétition (je ne connaissais pas ce genre d'opération, j'ai eu du mal à trouver des infos dessus et le patient n'a pas plus pu me renseigner..)
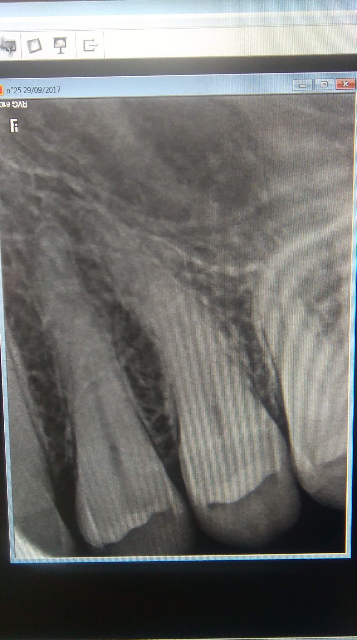
à l'examen clinique, dents vitales, sans ATCD de soins, RAS au sondage, pas de récession.
à l'interrogatoire : pas de de crispation excessive des machoires pendant l'effort, pas de douleurs musculaires au réveil ou dans la journée, pas de crépitement ou craquement des ATM particulièrement repéré par le patient.
Désolé pour la qualité des radios (et photos), je ne sais pas si vous avez déjà eu un cas similaire.
J'espère vous avoir retransmis de manière complète le cas et pouvoir bénéficier de vos lumières.
Merci d'avance
16/10/2017 à 17h43
tu lui poseras la question mais vu ce que tu décris, j'ai plus que ma petite idée...
du lui demande si la douleur/gène se produit aussi en penchant la tête en avant et en arrière...et s'il a été enrhumé (ou allergies) récemment...
à 99% c'est de la sinusite
16/10/2017 à 17h58
tu le met assis et tu lui met une bonne claque derrière la tête.
Si il a mal aux dents c'est le sinus. Sinon tu t’excuses
16/10/2017 à 17h58
vous etes trop forts pour moi les amis ))))
moi il me faut un pano avant de me prononcer )
16/10/2017 à 17h59
Je le lui avais demandé, il m'avait dit "ne pas se moucher plus que d'habitude"
16/10/2017 à 18h12
si le sinus est plein, c'est justement parce qu’il ne se vide pas....
donc il ne va pas plus moucher...
par contre si (admettons qu'il soit en bonne crise aigüe) tu lui donnes ATB + Cortisone, là 48h après il va moucher sévère...;-)
16/10/2017 à 19h06
lachmar écrivait:
-------
> vous etes trop forts pour moi les amis ))))
>
> moi il me faut un pano avant de me prononcer )
Oui, mais là c'était marqué pour sportif, j'avais l'avantage :-))))
Si son patient était cycliste il lui aurait décrit une douleur sur les secteurs pavés ou les descentes bosselées. C'est très caractéristique ce truc.
16/10/2017 à 19h43
je me suis mal exprimé, il n'avait ni les sinus plein, ni le nez à moucher, ni un antécédent (à 10-15 jours) de rhume. J'ai pensé à le lui demander pendant la consultation et rien ne m'a orienté vers ce diag.
Cette image radio du sinus ne peut-elle pas être en relation avec son opération dans l'enfance ?
16/10/2017 à 19h50
les signes cliniques que tu décris évoquent la sinusite (pas forcément aigüe) par contre tes deux rétro ne permettent pas d'objectiver quoi que ce soit sur le sinus, excepté que les dents sont sinusiennes.
Je rejoins Lachmar pour une pano comme examen complémentaire si tu le juges nécessaire, un Blondeau, et plus si affinités
16/10/2017 à 19h57
Et sinon un souci posturo/ocluso, genre rapports pieds/dents qui est exacerbé quand il court avec, pourquoi pas, une sinusite ou un truc qui y ressemble généré par l'inflammation du ligament si les dents sont en suroclusion à un moment où un autre (et vice versa car si sinus enflammé on peut avoir des dents "longues").
Sinon effectivement, pas se prendre la tête et prescrire ATB antiinflammatoires et attendre qu'il se fasse un truc plus méchant genre tendinite qui sera à son tour traité par antiinflammatoires puis chir puis après il sera vieux et il pourra plus courir.....
--
On a toujours le choix mais entre quoi et quoi?
Vas-y boulégue et l'avenir te le dira!
16/10/2017 à 20h03
il portait des semelles pour courir, mais pas de problème de posture d'après ses dires, ni d'occlusion.
Comme je n'avais pas retenu la sinusite j'étais assez perplexe
16/10/2017 à 22h49
Dentoine écrivait:
--------
> pas de problème de posture d'après ses dires, ni d'occlusion
Pour l'occlusion c'est le patient qui l'a dit ou toi qui a vérifié?
petite reflexion (puisque tu n'as pas retenu la sinusite):
sportif= muscles qui travaillent plein pot= équilibration des systèmes musculaires au taquet = modif de la posture du masseter qui évite un contact traumatisant= aïe du côté 2
et otites à répétition= nez qui ne ventile pas bien (fosses nasales trop étroites si hypomaxillie)
et hypomaxillie= problèmes d'occlusion+++
Une photo des points de contact aurait pas été de refus, voire une photo des secteurs latéraux
16/10/2017 à 23h59
je l'ai vérifiée, je n'ai pas pensé à faire de photos sur le moment, d'autant plus que rien ne m'a fait tilt
les otites à répétitions datent de son enfance, je n'ai pas décelé de problème de développement du maxillaire ni de ventilation nasale.
La cause était sans doute la + simple finalement
17/10/2017 à 01h06
Dentoine écrivait:
--------
" je l'ai vérifiée, je n'ai pas pensé à faire de photos sur le moment, d'autant plus que rien ne m'a fait tilt
les otites à répétitions datent de son enfance, je n'ai pas décelé de problèm de développement du maxillaire ni de ventilation nasale.
La cause était sans doute la + simple finalement "
jeune diplomé , donc ? !
17/10/2017 à 01h18
N aurait il pas une supraclusion ? Ou plutot un guidage ant verouillant ?
A t il fait de l orthodontie ?
17/10/2017 à 08h05
"-Quand il va courir , en gros quand ça tape sur le sol -> douleur maxillaire gauche
-Quand il marche -> douleur maxillaire gauche
-Douleur cyclique 3 semaines puis plus rien
-Antécédents d'opération du sinus "
Ne l'embrouille pas avec l'occluso Enlaye :)))))
Sinusite +++++++
17/10/2017 à 08h35
junior® écrivait:
-------
> -Douleur cyclique 3 semaines puis plus rien
Une sinusite qui disparaît toute seule, ok, mais sans écoulement notable par le patient???, et sans antibio, c'est pas le tableau clinique le plus fréquent.
De plus, si sinusite, le patient aurait sentit une lourdeur quand il se penche en avant pour nouer ses lacets avant même de débuter sa session.
17/10/2017 à 12h33
et pourquoi pas ,Chicopathe ?
autant ç est rigolo se faire des fictions , autant là ,on a rien à se mettre sous la dent pour demarrer .
03/11/2017 à 15h28
Et si tu lui faisais faire un cône beam ?? Déjà pour voir si le sinus gauche est bien ventilé ???
Et ensuite en éliminant la sinusite chronique avec des phases aiguës tu pourras peut être songer à l’occlusion et touti quanti ...
C’est ce que je ferai en tous cas ! Bon courage :-))