Cookie Consent byPrivacyPolicies.comCas necrose - Eugenol
8tercecn7hisbbqbde2nil4nyxrw - Eugenol
Hanibalecter

20/10/2017 à 12h38

Bonjour tout le monde,

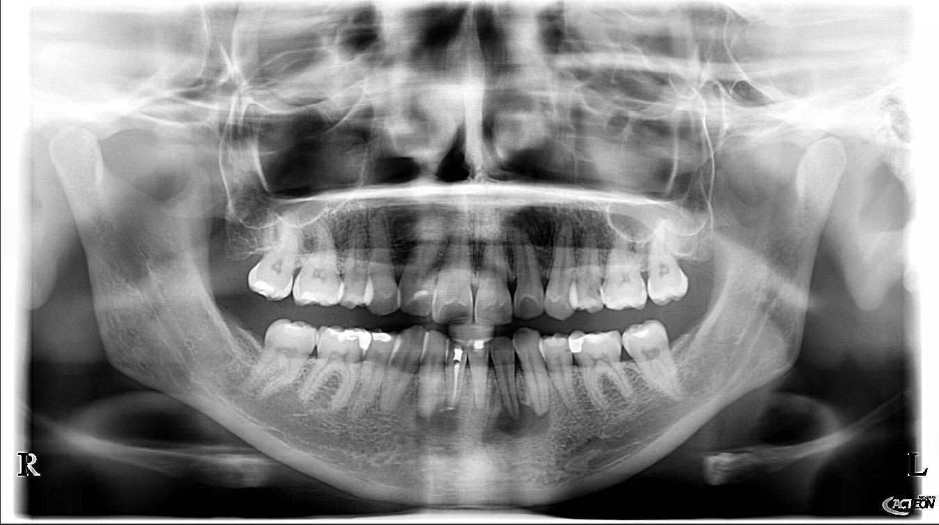
Patiente sans douleur avec decouverte fortuite de deux images radioclaire sur le secteur anterieur mandibulaire à la 1ere consultation

Historique: chute de velo sur la machoire avec hospitalisation il y'a 20 ans.

Test vitalité negatif sur 41 et 32
Test vitalité positif sur les autres

J'ai réalisé le TR de la 41 dans la seance, j'aurai du faire la 2e, je sais plus trop pourquoi, peut etre par manque de temps ou par peur de créer des douleurs
Prescription atb, je ne sais pas si les atb sont reellement utile dans ce cas, la necrose est aseptique.

Je n'ai pas fais de recession apicale, faut t'il forcément en faire une ?

Je prévois de faire le TR de la 32 prochainement puis de surveiller la cicatrisation a 6 mois.

Vous aurriez géré comment ce cas ?

Oyzt2irp5evtvukwfgag - Eugenol
Iwguxzcht49o0en7zt19 - Eugenol
I0eyubczpwhmogjgqttk - Eugenol
Fa6b3cmtgkptdfygx5hv - Eugenol
Eqvdpgrjuoe3kf2bvupn - Eugenol

Generique fraisage r2rxmm - Eugenol
lardonbis

20/10/2017 à 12h47

je fais comme toi sans les ATB.
Mais je suis sur une série d'échec pour ce genre de traitement sur les Ic mandibulaire.
au moins l'extraction n'est pas un problème :D


lachmar

20/10/2017 à 12h58


j'aurais fait exactement comme toi


mr smith

20/10/2017 à 13h46

pareil

Mais ce qui m'interpelle c'est le test positif sur la 31 , mais il est ou son canal et quel est la teinte de cette dent sans patate apicale ? ;o))
Le plus important c'est que bien souvent dans ces cas de nécroses anciennes le canal s'offre à nous .


8tercecn7hisbbqbde2nil4nyxrw - Eugenol
Hanibalecter

20/10/2017 à 16h19

mince effectivement le test sur la 31 était negatif egalement mais je pensais qu'il s'agissait d'un faux negatif. Mais je n'ai pas pensé a regardé la lumière canalaire qui est absente maintenant que tu me le dit.
Donc effectivement test negatif sur 41 31 32
La teinte de cette dent est effectivment brune, je n'ai aps de photo

Du coup quel CAT sur la 31 ? je me vois mal faire le TR de cette dent sereinnement


8tercecn7hisbbqbde2nil4nyxrw - Eugenol
Hanibalecter

20/10/2017 à 16h21

je n'ai pas eu de reponse a une de mes question egalement, dans quel condition faire la ressection apicale en meme temps que le TR ? Je dis ca car mon titulaire a vu l'OPT et m'a demandé si j'avais fais le TR+ressec.
Selon moi je preféreai simplement faire d'abord les TR sans aucune ressec puis vooir la cicat et si echec on fais la ressec. Vous en pensez quoi ?


Generique fraisage r2rxmm - Eugenol
lardonbis

20/10/2017 à 16h31

qu'il faut faire le TR en première intention.
mais aussi que quand un gros bout de corticale à mis les voiles tu va peu être l'attendre un bout ta cicat :D


145 kssowa - Eugenol
Zuhurragin

20/10/2017 à 16h31


La résection n'est certainement pas systématique, attends 6 mois et vois si ça diminue.
Tente pour la 31 avec des limes fines j'ai parfois eu d'agréables surprises.
Sinon dans tous les cas il faut faire le ttt endo avant la résection sinon ça ne sert à rien....
Bref dans ce cas il est urgent d'attendre, j'ai eu un cas similaire j'ai fais les TR et j'ai attendu, à six mois j'avais une diminution conséquente de la taille de la lésion, donc j'ai pu couronner (c'est très très long à cicatriser mais à 6 mois normalement on vois une amélioration nette... sinon là il y a résection).

Petite question, pourquoi un CBCT ?


--
"C'est parce que la vitesse de la lumière est supérieure à celle du son que certains paraissent brillants avant d'avoir l'air cons."


8tercecn7hisbbqbde2nil4nyxrw - Eugenol
Hanibalecter

20/10/2017 à 17h27

je voulais voir le volume de la perte osseuse dans le sens vestibulo-lingual, la perte des tables osseuses
Je susi d'accord qu'elle n'est pas utile dans ce cas si je ne pars pas sur une ressection. J'ai prevenu la patiente, j'ai fais un 4x4 pour limiter les doses.

Pas de risque de "reveiller" qqch lors du TR ? c'est ça qu'il m'embete le plus, que la patiente revienne 2h ou 24h apres me TR en urgence.


Hok 1b hgd3rj - Eugenol
Hokusai

20/10/2017 à 17h33

Zuhurragin écrivait:
----------
> Petite question, pourquoi un CBCT ?

On appréhende bien les volumes... tu peux même réaliser un guide pour la résec ! ;)

Perso j'aurais fait un peu d'obturation provisoire au calcicur voco... mais c'est plus trop a la mode.


flodec

21/10/2017 à 07h43

Salut Hanibalecter,
D'apres ton cbct, Il me semble que t'as zappé un deuxième canal (en lingual) sur cette 41.
D'ailleurs on l'aurait deviné même sans réaliser le cbct par une bonne analyse de ta rétro-alvéolaire.
A mon avis, il vaut mieux le traiter si tu veux voir du changement se produire dans cette lésion dans 6 mois.
La resection apicale n'est pas nécessaire si ton traitement endo est bien conduit : Digue, repérage de TOUS les canaux, mise en forme, irrigation finale Hypo 3% (edta17% 3min) avec activation et obturation biensur.
De plus un compo bien étanche dans la CA suffit car pas de risque de fracture.
la 31 présente aussi une lésion apicale, et une oblitération de l'espace pulpaire, si tu n'es pas serein (ne), adresse ta patiente à un endo exclusif
Attention, la 32 pourrait aussi avoir 2 canaux (type 2 de weine)
Et n'oublie pas les caries en distal de 15, 25, 26 et 35
une rétroalvéolaire de 12 serait aussi intéressante à étudier (artéfact ?)