Cookie Consent byPrivacyPolicies.comLésion inflammatoire périradiculaire : endo/surfaçage ou - Eugenol

Lésion inflammatoire périradiculaire : endo/surfaçage ou avulsion?

Herood

01/11/2017 à 21h43

Bonjour,

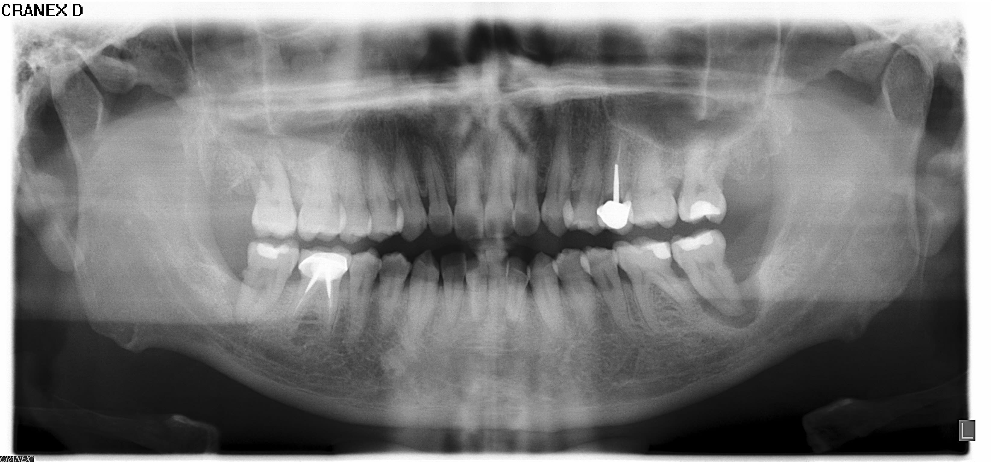
Ci joint la pano d'un patient la cinquantaine.
Bonne santé gé. Pas de médications.
Parodontite chronique modérée généralisée.
Concernant la 37 (mobilité III), tenteriez vous l'endo + surfaçage ou avulsion d'emblée car c'est perdu d'avance ?

Merci de vos lanternes

Pia2pqm7deo3fv6xsn4m - Eugenol

Pierre logo clykpp - Eugenol
Denteo33

01/11/2017 à 21h51

Avulsion d'emblée! Je suis même surpris de se poser la question


mr smith

01/11/2017 à 22h27

Denteo33 écrivait:
--------
> Avulsion d'emblée! Je suis même surpris de se poser la question

Effectivement drôle de question , et de plus je mettrai un coup d'arrache-pneu à la 25 , c'est moitié prix pour le deuxième chez Feu Vert ;o)


Jack 2 wm3tqs - Eugenol
Treponem

02/11/2017 à 06h40

Dent perdue. Direction, le plateau.


145 kssowa - Eugenol
Zuhurragin

02/11/2017 à 09h08

Ici un surfaçage ne sert à rien et une endo encore moins.... davier => plateau.
La question m'étonne aussi.


--
"C'est parce que la vitesse de la lumière est supérieure à celle du son que certains paraissent brillants avant d'avoir l'air cons."


Fear and loathing in las vegas toax7t - Eugenol
Donchico

02/11/2017 à 09h37

+1 pour la 37.
Et prépare le patient à l'idée de perdre sa 47 et sa 17 aussi. Un petit coup de détartreur en 47 distal lui fera le plus grand bien.
Et arrêter de fumer aussi peut-être une bonne idée pour conserver le reste.


lachmar

02/11/2017 à 12h13

eh bien moi je ne rejoins pas la meute
hormis le fait que l'image peut evoquer une fracture
je constate qu'il n'y a , curiseusement pas de lesion interradiculaire
moi ca m'amuserait d'essayer de la conserver
c'est quand même notre cœur de métier )


6szjws718sv1jksw54v4mpj3a6cu - Eugenol
vulpi

02/11/2017 à 12h25

lachmar écrivait:
-------
> eh bien moi je ne rejoins pas la meute
> hormis le fait que l'image peut evoquer une fracture
> je constate qu'il n'y a , curiseusement pas de lesion interradiculaire
> moi ca m'amuserait d'essayer de la conserver
> c'est quand même notre cœur de métier )

Alors il faut aussi faire une plastie en Dl de 27, tu es joueur Lachmar, il ne manque plus qu'Enlaye pour endo... ERI...

Si on regarde la pano, il y a de l'os en Ml, c'est donc une énorme lésion péri-apicale qui a du être aggravée par le contexte occlusale... de là à la sauver...


lachmar

02/11/2017 à 13h41


effectivement je suis joueur

et je suis toujours emmerveillé par la bienveillance de mère nature à notre égard qui permet la guérison de lésions importantes si l'endo est bien menée )

qui ne tente rien n'a rien


Pierre logo clykpp - Eugenol
Denteo33

02/11/2017 à 13h57

Tres interessant lachmar.
Surtout ne prends pas mes remarques avec susceptibilité mais tu es "joueur" avec la santé des autres.

Même si cela "t'amuserait", comment présenterais tu, ta tentative à ton patient?

Et enfin, en cas d'échec, rembourserais tu les sommes engagées au patient et à la Sécurité Sociale?


6szjws718sv1jksw54v4mpj3a6cu - Eugenol
vulpi

02/11/2017 à 14h52


Dans un cas pareil tu es vite renseigné, soit tu vois une évolution favorable dès les premières séances, soit tu extrais, basta.
Avant l'ère de l'implanto, des cases reports d'endo semblables étaient monnaie courante.


zolimome

02/11/2017 à 15h11

sans vouloir défendre lachmar:
le concept : "rembourserais tu les sommes engagées au patient et à la Sécurité Sociale? " me donne une furieuse envie de vomir.......si possible sur les chaussure du concepteur.


Pierre logo clykpp - Eugenol
Denteo33

02/11/2017 à 15h39

Et moi, zolinome, de t'appuyer fort, très fort,sur le menton, c'est un point d'acupuncture contre les nausées !


Pierre logo clykpp - Eugenol
Denteo33

02/11/2017 à 15h42

Sinon plus sérieusement, tu fais une endo que tu fais payer et après une extraction que tu fais également payer?


zouzou79

02/11/2017 à 15h47

peut-être bonne grosse interférence nt/27, aggravant +++ + la perte osseuse d'orig paro (?) , à supprimer tout d'abord+ ouverture chambre pour complément de bilan au cas où fissure, si bien sûr la stabilisation de la dent en per-op est possible ,...
NR pour ce "bilan" complémentaire, à côter comment si tu ne vois pas la suite... ?

mais si fracture avérée> plateau bien sûr


lachmar

02/11/2017 à 16h04

Denteo33 écrivait:
--------
> Sinon plus sérieusement, tu fais une endo que tu fais payer et après une
> extraction que tu fais également payer?

très sérieusement aussi : tu fais semblant ou quoi ?

on parle traitements possibles, pas des facturations ... ne t'inquiete pas de çà : la secu a des programmes avec des lagorythmes spécialement étudiés pour ca

tu peux dormir tranquille


lachmar

02/11/2017 à 16h08

lachmar écrivait:
-------
> Denteo33 écrivait:
> --------
> > Sinon plus sérieusement, tu fais une endo que tu fais payer et après une
> > extraction que tu fais également payer?
>
> très sérieusement aussi : tu fais semblant ou quoi ?
>
> on parle traitements possibles, pas des facturations ... ne t'inquiete pas de çà
> : la secu a des programmes avec des lagorythmes spécialement étudiés pour ca
>
> tu peux dormir tranquille

personne ne l'a observé, mais ce site n'est pas implantable en l'état après extraction ; ce qui justifie plus encore l'intere t de conserver cette dent : c'est le seul moyen naturel d'assurer une regenrération osseuse en cas de guérison
>


Vw campersurfvan bmnk1q - Eugenol
enlaye

02/11/2017 à 16h09

Denteo33 écrivait:
--------
" Sinon plus sérieusement, tu fais une endo que tu fais payer et après une extraction que tu fais également payer? "

mais non Denteo , quand tu es joueur , tu encaisses tout à la fin ....si tu gagnes .
sinon ,t'es petit joueur :-))


Pierre logo clykpp - Eugenol
Denteo33

02/11/2017 à 16h11

En pratique lachmar, tu attends avant de teletransmettre les soins?

Si je suis si pointilleux, c'est que j'ai traité une résorption externe chez un patient qui a fini en extraction...
le patient m'a reproché de l'avoir soigné alors que le pronostic de sa dent était réservé ; j'ai du faire intervenir ma RCP et le patient a bénéficié d'un implant "gratuit"

(Je lui avais expliqué et fais signer le consentement éclaire)

https://www.eugenol.com/sujets/385605-litige-patient-titulaire-collaborateur?page=1


Vw campersurfvan bmnk1q - Eugenol
enlaye

02/11/2017 à 16h25

C est toi Monet ?
Si oui , je ne pense pas que le patient t ai reproché de lui avoir soigné la dent mais de l avoir couronné . Pas pareil .


lachmar

02/11/2017 à 16h34


si ton consentement eclairé est explicite

et ton traitement bien motivé, tu ne risques pas de pet

maintenant tu prends un exemple qui est très différend du cas présent

les resorption extrernes sont une pathologie atypique qui ne rentre dans aucune de nos classification , et dont on ne sait rien, sinon que rien ne marche

l'endo n'est indiquée que s'il y a une pathologie pulpaire ; et le traitement dans tous les cas est voué à l'echec à plus ou moins long terme . Tu aurais du faire figurer dans ton consentement que tu faisais un traitement symptomatique pour le soulager de sa douleur (la pulpec étant le traitement de référence en cas de pahologie pulpaire irreversible) ; et tu aurais été blindé

maintenant si tu as couronné cette dent , on sort du cadre thérapeutique pour renter dans le cadre d'une malversation caractérisée puisque tu as couronné une dent condamnée et que çà c'est condamnable

en fait tu t'en sors bien : ca aurait pu être du pénal si la caisse t'avait poursuivi


Jack 2 wm3tqs - Eugenol
Treponem

02/11/2017 à 17h19

Donc tu as la réponse ... exo ... c'est un peu rude non ?!
Arf la réponse est destinée à ton autre post Lachmar :)


mr smith

02/11/2017 à 17h24

Les plus conservateurs pourraient ils nous montrer un cas de guérison sur ce type de lésions ?

Je m'engage a avaler mon davier ;0)


mr smith

02/11/2017 à 17h25

;


6szjws718sv1jksw54v4mpj3a6cu - Eugenol
vulpi

02/11/2017 à 17h40

J'ai bien ça, mais c'est pas pile-poil

http://www.jcda.ca/fr/article/a113