Cookie Consent byPrivacyPolicies.comLésion inflammatoire périradiculaire : endo/surfaçage ou - Eugenol

Lésion inflammatoire périradiculaire : endo/surfaçage ou avulsion?

Pierre logo clykpp - Eugenol
Denteo33

02/11/2017 à 18h17

Oui c'est moi Monet 

On mélange 3 posts:
- sur celui la, je m'entête pour dire que la dent est perdue
- sur un des mes anciens post où après avoir eu un échec sur une résorption, on avait pu me reprocher de soigner en étant "joueur"
- sur la résorption externe de lachmar : je ne toucherais pas à cette dent sans douleur : après tout la Nature est bonne mère


Utilisateur banni

02/11/2017 à 18h25

Est ce que la dent est mobile ? Je vais répondre à la place de celui qui a posté le sujet : la réponse est oui très vraisemblablement.
Est ce qu’on peut espérer récupérer et éliminer la lésion avec endo plus surfaçage ? La réponse est non si la dent est mobile. Vous aurez beau surfacer tout ce que vous voulez, je veux bien me les couper en fines lamelles si vous arrivez à éliminer une telle lésion qui fait tout le tour de la dent avec une mobilité qui va entretenir la chose.


145 kssowa - Eugenol
Zuhurragin

02/11/2017 à 18h38

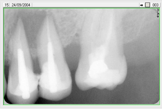
La dent est-elle vitale ? Question con mais si vous saviez le nombre de dents en lésion terminale de ce type encore sensible....

Lachmar, je me demande comment tu vois qu'il n'y a pas de lésion inter radiculaire sur cette pano, perso il me faut une rétro.

Ensuite une lésion de type fracture est plutôt une lésion en chaussette ici la lésion est en péri-radiculaire jusqu'à l'apex donc on a une perte osseuse quasi totale, mais pour confirmer il faut sonder.

Alors en effet elle semble d'origine occlusale mais même en réglant l'occlusion vu la mobilité de la dent et le fait que ce soit une 7 (donc sollicitée en permanence) tu ne peux l'immobiliser à part en la mettant à plat et encore...

Ici il faudrait donc une rétro au minimum et un sondage pour voir s'il nous reste un paroi ou deux quel que soit l'origine de la lésion si il ne nous reste pas minimum deux parois c'est l'avulsion.

C'est mon avis mais il manque des données pour confirmer sauvable ou pas tout dépend des moyens mis en oeuvre et de l'accord du patient vis à vis des frais et du temps engagés et surtout d'un échec fortement possible. Le patient est près à tenter ?

PS : d'accord avec Junior, moi je me fait nonne à la place

--
"C'est parce que la vitesse de la lumière est supérieure à celle du son que certains paraissent brillants avant d'avoir l'air cons."


Vw campersurfvan bmnk1q - Eugenol
enlaye

02/11/2017 à 19h12

mr smith écrivait:
--------
" Les plus conservateurs pourraient ils nous montrer un cas de guérison sur ce type de lésions ?
Je m'engage a avaler mon davier ;0) "

bien tu peux déjà commencer par sortir ta disqueuse si tu le preferes en morceau ou la lime si tu le preferes en poudre ,ton davier :-)) à moins que tu le préferes en supo :-)))

la dent est à extraire ? ,ç est votre dernier mot ?
ok , on va l'extraire ..et la remettre .
Haaa ,on est joueur ou pas ? suis un craint dégun :-)
1mise à plat
2 endo
3 extraction
4 réimplantation
mais alors tranquille , hein , tranquille .
:-))))


Scalp'elle

02/11/2017 à 19h13

Désolée mais pour moi il faut extraire le plus rapidement possible avec un curetage de l'alvéole le plus méticuleux possible... et croyez moi sur parole, je ne condamne pas rapidement et suis plutôt conservatrice (jamais avalé de clavier gloups...)


6szjws718sv1jksw54v4mpj3a6cu - Eugenol
vulpi

02/11/2017 à 20h29

vulpi écrivait:
-----
>
> Alors il faut aussi faire une plastie en Dl de 27, tu es joueur Lachmar, il ne
> manque plus qu'Enlaye pour endo... ERI...
>
Avec le temps je te connais mieux mon ami, même plus besoin de mes visions.

T'as vu? sur hypochlorite je t'ai mis un truc sur les mal-occlusions chez le lapin mais visiblement tu n'es pas très chaud :-))))


mr smith

02/11/2017 à 21h51

enlaye écrivait:
------

> bien tu peux déjà commencer par sortir ta disqueuse si tu le preferes en morceau
> ou la lime si tu le preferes en poudre ,ton davier :-)) à moins que tu le
> préferes en supo :-)))
>
> la dent est à extraire ? ,ç est votre dernier mot ?
> ok , on va l'extraire ..et la remettre .
> Haaa ,on est joueur ou pas ? suis un craint dégun :-)
> 1mise à plat
> 2 endo
> 3 extraction
> 4 réimplantation
> mais alors tranquille , hein , tranquille .
> :-))))

Process de brico du dimanche

1 /extraction
2/ curetage à la boule 40 000 tours
3/ endo sur la paillasse sans digue , sans gène et sans gènes .
4/ remise en situation , en tassant bien le mortier .

pour le supo , cela remonte à loin ... Ma mère et l'eucalyptus ;o))


lachmar

03/11/2017 à 08h35

Zuhurragin écrivait:
---------->
> Lachmar, je me demande comment tu vois qu'il n'y a pas de lésion inter
> radiculaire sur cette pano, perso il me faut une rétro.


analyse comparative avec la collatérale : 36 présente un début de lésion interradiculaire ; l'aspect de 37 peut laisser espérer qu'il n'y en a pas
>

> Ensuite une lésion de type fracture est plutôt une lésion en chaussette ici la
> lésion est en péri-radiculaire jusqu'à l'apex donc on a une perte osseuse quasi
> totale, mais pour confirmer il faut sonder.


absolument d'accord >


> Ici il faudrait donc une rétro au minimum et un sondage pour voir s'il nous
> reste un paroi ou deux quel que soit l'origine de la lésion si il ne nous reste
> pas minimum deux parois c'est l'avulsion.


je te suis totalement
>


> C'est mon avis mais il manque des données pour confirmer sauvable ou pas tout
> dépend des moyens mis en oeuvre et de l'accord du patient vis à vis des frais et
> du temps engagés et surtout d'un échec fortement possible. Le patient est près à
> tenter ?



en effet, là est la question fodamentale ... mais combien de fois n'a-t-on pas entendu : "docteur vous pouvez assayer de sauver cette dent?"

>
> PS : d'accord avec Junior, moi je me fait nonne à la place


honnêtement, je préfère ce cas pour un autre que pour moi )))


Ylfwcw979cz1jnx9gfqeaxndiuzk - Eugenol
Algi

03/11/2017 à 10h45

Me souviens d’une mamie dans les 80/90 balais.... 37 a peu près dans le même état.
Y’a bien 20 ans de ça.

Abcès paro en suis certain, dent vivante je sais plus.

Endo, nettoyage paro au détartreur + laser + h2o2. Mise à plat en sous occlusion.

10 jours plus tard dent à symptomatique, plus de mobilité.

Quand à la question de facturer endo puis si nécessaire ensuite extraction..... les actes ont été réalisés, donc oui je facture sans états d’ame


--
On a toujours le choix mais entre quoi et quoi?
Vas-y boulégue et l'avenir te le dira!


Ylfwcw979cz1jnx9gfqeaxndiuzk - Eugenol
Algi

03/11/2017 à 10h50

Et sinon, dans ce cas précis et pas y’a 20 ans quand j’etais Jeune et fou: vu l’etat des 7 et le lésions entre 6 et 7 je ferais le grand ménage: je vire les 4 dents et me préoccupe de gérer les 6 et sauver, si possible la prémolaire avec l’endo.


--
On a toujours le choix mais entre quoi et quoi?
Vas-y boulégue et l'avenir te le dira!


CHIRDENT

07/11/2017 à 17h39

Femme de 71 ans................4 et 2 ans de recul ( les numéros de dents sont faux )

Capture d écran 2017 03 21 à 12.15 - Eugenol

lachmar

07/11/2017 à 18h05

CHIRDENT écrivait:
--------
> Femme de 71 ans................4 et 2 ans de recul ( les numéros de dents sont
> faux )


une seule chose à dire : bravo


145 kssowa - Eugenol
Zuhurragin

07/11/2017 à 18h11

Joli ! Mes respects c'est du beau travail.
Mais les lésions ne sont pas similaires à celles nous concernant, on a des paroies restantes même sur la seconde on peut le deviner rien que par la paroi mésiale et une apparence moins radoiclaire au niveau de la racine distale.
Celle-ci en effet pouvaient être sauvées (quoique j'aurai hésité sur la seconde mais pas la première de 2017).
Je ne mangerai donc pas mon davier pour cette fois. Mais encore une fois très beau travail !

--
"C'est parce que la vitesse de la lumière est supérieure à celle du son que certains paraissent brillants avant d'avoir l'air cons."


Herood

16/11/2017 à 00h10

.


Herood

16/11/2017 à 00h22

La dent est mobilité III (Muhlemann)
La dent n'est pas vitale.
Sondage paro périphérique autour de la dent (et non ponctuel laissant penser à une fracture).
En conclusion donc : avulsion
Ou si le patient est motivé et puisse accepter l'échec et les frais : mise en sous occlusion, endo, traitement paro à mes risques et périls.

Un grand merci


Coccinelle mgl0qv - Eugenol
murielle

16/11/2017 à 07h16

La possible conservation dépend du sondage et de la vitalité.

Si j'ai le temps aujourd'hui, je vous poste des radios.

Tout intérêt à conserver si possible. Je suis d'accord avec Lachmar.


Vw campersurfvan bmnk1q - Eugenol
enlaye

16/11/2017 à 07h43

mouhahaha , tout est dans le surfacage ,mais pas comme vous le pensez :-)
ce n' est pas le surfacage de la dent qu'il faut faire
mais de l'alveole
il est là le pb .
le surfacage hypocrite d'un petit bout de racine ( celui qui est accessible ) est une escroc intellectuelle .



RépondreCiter
Vw campersurfvan bmnk1q - Eugenol
enlaye

16/11/2017 à 07h52

regardes bien , sur ce cas , l'endo est pipée avant , elle est pipée après , hein.
je n'ai pas touché l'endo mouhahahazzzz .
y a rien là ????
ç est contrariant ,non ? :-)))))

12 erq2to - Eugenol
13 l4mpdb - Eugenol

Vw campersurfvan bmnk1q - Eugenol
enlaye

16/11/2017 à 09h03

à celui qui a mis -1

pourquoi tu n'as pas mis -1 aux 2 posts puisque que les 2 sont liés ?
sinon ,comment pourrais tu expliquer les photos autrement ?
te chies pas , racontes .

t'as vu comme ç est énervant , de réaliser qu'on s'est fait grugé pendant des années :-))))


Coccinelle mgl0qv - Eugenol
murielle

16/11/2017 à 09h15

Dire que le surfaçage est une escroquerie et qu'il faut surfacer l'alvéole, je ne suis pas d'accord avec ces propos, je mets -1.
Pour ton deuxième message, il me manque des tas d'informations pour pouvoir juger de quoi que ce soit.
- conditions de découverte de la lésion; la dent était-elle dévitalisée avant ?
- à quand remonte le traitement endo ?
- qu'est-ce que tu as fait pour cette dent ?
- as-tu fait un curetage de la lésion ?
Bref, je n'ai aucune info pour pouvoir juger => ni -1, ni +1.


lachmar

16/11/2017 à 09h37

enlaye écrivait:
------
> mouhahaha , tout est dans le surfacage ,mais pas comme vous le pensez :-)
> ce n' est pas le surfacage de la dent qu'il faut faire
> mais de l'alveole
> il est là le pb .
> le surfacage hypocrite d'un petit bout de racine ( celui qui est accessible )
> est une escroc intellectuelle .
>
>
c'est la qu'on se rend compte que tu n'as rien compris aux pathologies apicales
je t'explique : comme le disait shilder (et weine) , dans 98% des cas (hors bay cits donc et autres felures/fractures ) , tout ce qui se produit au dela de l'apex est du à ce qui se passe dans le canal ... y compris les lésions enormes qui ne sont pas kystiques .

donc , mathématiquement, si tu traites correctement le canal causal en respectant les etapes et les parametres, tu as 98% de chance de succès, quelle que soit l'importance de la lésion


Vw campersurfvan bmnk1q - Eugenol
enlaye

16/11/2017 à 10h48

murielle écrivait:
--------
" Bref, je n'ai aucune info pour pouvoir juger => ni -1, ni +1. "

bien là tu va en avoir des infos :
https://www.eugenol.com/sujets/406035-1ere-fois-que-ca-m-arrive
comme ça , tu vas pouvoir t'en mettre tout plein des -1 :-)
pcqu'il y a eu 739968 visites sur ce post ,et il n'y en a pas eu tant que ça !


Vw campersurfvan bmnk1q - Eugenol
enlaye

16/11/2017 à 12h19

lachmar écrivait:
-------
" c'est la qu'on se rend compte que tu n'as rien compris aux pathologies apicales.........98% .."

ç est possible , et pour les 2% qui restent ,ils m'appellent :-))))
et le rapport avec le surfaçage ??


lachmar

16/11/2017 à 12h33

enlaye écrivait:> et le rapport avec le surfaçage ??

je t'explique : surfaçage de l'alvéole (je te cite) = solution chirurgicale

or, je t'explique que celle-ci n'est pas necessaire dans l'mmense majorité des cas ...

autre chose ? )))


Vw campersurfvan bmnk1q - Eugenol
enlaye

16/11/2017 à 12h42

bien , ç est bien ce que j'ai dit :
le surfacage ,s'il n'est que radiculaire ne sert à rien .
relis !
j'ai dit aussi :
s'il y a surfaçage de l'alvéole , l'endo ne sert à rien ,enfin pas comme on l'entend .
je peux ? :-)))