Cookie Consent byPrivacyPolicies.comCouronne full ceram qui se casse - Eugenol

Couronne full ceram qui se casse

8tercecn7hisbbqbde2nil4nyxrw - Eugenol
Hanibalecter

18/11/2017 à 13h11

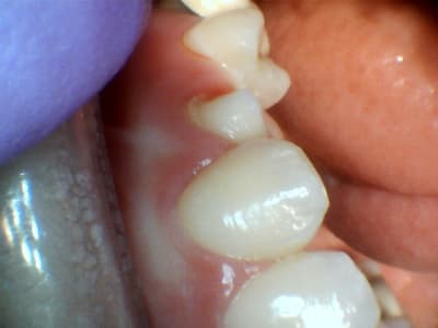
Bonjour, j'avais realisé entre 5-10 cas de patients dont j'ai réalisé des couronnes full ceram emax, et j'ai des casses.

Photo du cas juste apres depose de la couronne

Le cas est resolu en ayant mis une ceramo-metal, je ne fais plus de full ceram pour le moment. Je pense faire une formation avant de recommencer

La couronne s'est fracturée nette, tout le pan vestibulaire était cassé

Voila mon protocole:
- pas de digue pour le collage (je pense que faut peut etre pas aller chercher plus loin et que ca vient de là)
- mordancage intrados acide fluohydrique 9% pendant 1 min
- mordancage dentine 15sec
- application d'un adhesif automordancant (ivoa 7 de chez Apol) + photopolymerisation: peut etre que le double mordancage est une mauvaise idée,
- silane intrados couronne
- application ciment resine dual (soit autocem DC minimix de chez apol, soit Duolink de chez bisco)
- pose couronne, photopolymerisation 2-3 sec, elimination des exces, rephotolymerisation pendant 2 min tout autour de la couronne.

A part la digue, j'ai un gros probleme dans mon protocole ? c'est con parce que je met la digue pour les endo et des facettes unitaires (2-3 cas) où sur ces dernières je n'ai pas de problemes (pour le moment). j'ai peur d'etre géné par la digue lors de la pose de couronne, 1 trou suffit ou il faut mettre les dents adjacentes dans la digue ?

Emax bon materiau pour couronne full ceram ?

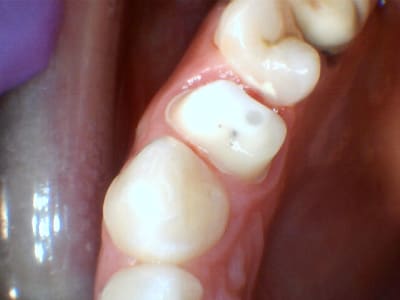
Problème de taille du pillier ?

Merci pour vos précieux conseils

Hhwgec4t1burcpauffsp - Eugenol
Dncwnhtbshjtclfqzluo - Eugenol
D4sk89jlxmc6onhgrmbq - Eugenol

Vw campersurfvan bmnk1q - Eugenol
enlaye

18/11/2017 à 13h15

Oui c est un pb de taille .
Le collage n est pas en cause puisque je ne colle jamais les ccc .


juninho56

18/11/2017 à 13h49

Oui, l Emax est un bon matériau pour une couronne full céram. Après, il faut voir si c est du monobloc ou stratifiée.
L emax, c est super esthétique. Pour la taille, il faut un congé et tout arrondir, aucune arrête sur la préparation. J ai déjà fait un paquet d emax et à ce jour, une seule casse sur une 37 ou en regardant de plus près, ma préparation en lingual n était pas assez arrondie.

Sinon, en tout ceram, tu peux aussi faire des full zircone ou céramique zircone, qui sont plus simple pour les préparations, les mêmes que pour une ccm.

Pour ton protocole de collage, peut être revoir la colle. Pour l’emax, c’est préférable une colle sans potentiel adhésif à utiliser avec l adhésif correspondant. L autocem d apol est une colle auto adhésive, pas l,idéal. Le duo link est bien, c est une colle sans potentiel adhesif mais alors préférable de l,utiliser avec l adhésif de Bisico comme le one step ou le all bond.
Actuellement, pour le collage des emax, j’utilise le nexus 3 avec l optibond xtr de chez dexter.


Bebert.

18/11/2017 à 14h18

La prépa est trop "carrée", il faut beaucoup plus arrondir la face occlusale et augmenter un peu la dépouille.
Il faut vraiment casser l'angle occlusal et avoir un profil a deux pans en vestibulaire et en lingual.
Ça tient par collage et non par rétention classique, donc il faut une épaisseur plus importante pour éviter la casse. Congé plus large pour avoir de l'épaisseur en cervical.
Pour le collage, j'utilise du Variolink mais je ne pense pas que ça vienne de là.


Vw campersurfvan bmnk1q - Eugenol
enlaye

18/11/2017 à 14h32

Meme pour une ccm , ce n est pas une belle taille .


Utilisateur banni

18/11/2017 à 17h15

Faut sucer le moignon. C’est ça le secret


3395 40 umvzjn - Eugenol
Aspius

18/11/2017 à 17h42

Le problème c'est pas ton protocole de collage, mais ta technique de taille.
Congé trop fin -> pas assez de matière -> fragilité
Préparation trop anguleuse -> effet de "coin" sous pression occusale -> casse

Passes à la taille supérieure pour tes fraises à congé


Vw campersurfvan bmnk1q - Eugenol
enlaye

18/11/2017 à 18h51

C est a dire que ce ne sont pas des congés , mais presque des epaulements inverses .cela n a pas ete fait avec une fraise a congé .
Sinon en vest et en palatin la profondeur de decortication est suffisante . En proximal non .
C est surtout le fond de sillon qui est trop faible et qui induit la fracture .
Il faut que ce soit comme une poutre qui serve de renfort relais entre les faces proxymales .
Ensuite il manque la double inclinaison , et a adoucir les angles .
Apres tu descends les limites en infra et ca ira .
PS : on ne peut faire de belles tailles si on ne les fait pas à la turbine . ce n est pas possible .
Or tu as taillé au contre angle .


3395 40 umvzjn - Eugenol
Aspius

18/11/2017 à 19h11

enlaye écrivait:
> PS : on ne peut faire de belles tailles si on ne les fait pas à la turbine . ce
> n est pas possible .
> Or tu as taillé au contre angle .

En quoi utiliser un contre-angle plutôt qu'une turbine empêche de réaliser une taille convenable?


Vw campersurfvan bmnk1q - Eugenol
enlaye

18/11/2017 à 19h12

Regarde bien la canine , elle est en rotation et la 5 aussi .
Donc la crete mesiale de ta 4 doit etre basse et couchee .surtout en mesio palatin . C est la butee anti retrusive de tout ce secteur .
Donc retailler en mesio palatin avec beaucoup de conicite.


Vw campersurfvan bmnk1q - Eugenol
enlaye

18/11/2017 à 19h15

Aspius écrivait:
------
"En quoi utiliser un contre-angle plutôt qu'une turbine empêche de réaliser une taille convenable?"

Pcq pour egaler une taille de turbine avec un contre angle , il faut etre tres tres tres fort :-)) ou alors il faut une assistante pour pouvoir tailler a 2 mains


3395 40 umvzjn - Eugenol
Aspius

18/11/2017 à 19h17

Tu peux développer ? Parce que pour l'instant ça veut pas dire grand chose ce que tu racontes.


Vw campersurfvan bmnk1q - Eugenol
enlaye

18/11/2017 à 19h20

Avec la turbine tu sens beaucoup mieux les axes puisque tun appuies pas .
Ensuite le sens de rotation de la fraise , par le fait qu elle va tres vite ,n a que peu d importance.
Avec un c angle le sens de rotation est fondamental .
Au contre angle , il faut une main qui tienne le contre angle et 1doigt de l autre main qui guide en appuyant sur la tete .


3395 40 umvzjn - Eugenol
Aspius

18/11/2017 à 19h33

Je vois pas le rapport entre le fait de tailler dans l'axe et d'appuyer ou pas, mais passons, j'ai toujours vu la problématique CA vs turbine comme une affaire propre aux sensations et au confort de chacun. La seule chose importante étant dès le départ de prendre de bons points d'appui en bouche.

J'ai appris sur CA, puis travaillé 5 ans en collab à la turbine, pour finalement repasser depuis mon installation sur du CA.
J'ai davantage amélioré la qualité de mes tailles en choisissant avec soin les fraises, plutôt qu'en passant du CA à la turbine et inversement.


Vw campersurfvan bmnk1q - Eugenol
enlaye

18/11/2017 à 19h47

Je ne me sert que d 1 seule forme de fraise pout tout . Tu en as plusieurs sur une meme taille ?


3395 40 umvzjn - Eugenol
Aspius

18/11/2017 à 20h30

enlaye écrivait:
------
> Je ne me sert que d 1 seule forme de fraise pout tout . Tu en as plusieurs sur
> une meme taille ?

Yep !
Congé pour la préparation périphérique
Tonneau pour la réduction occlusale sur les postérieures
Ballon de rugby pour la préparation cingulaire sur les antérieures

J’ai pas tjs fonctionné avec un coffret de fraises pour mes séances de taille, mais depuis que je me suis fait chier à bosser la composition des coffrets je gagne pas mal de temps en soin, et la qualité des préparation a pas mal évolué


Vw campersurfvan bmnk1q - Eugenol
enlaye

18/11/2017 à 20h51

Ah oui pour les ant c est different des pm . La ballon est incontournable .
+ une congé fine pour rabattre le congé comme une sorte de chanfrein ( surtout pour l emax ) en infra et en vest .. c est la seule partie que je fais au CA a tres basse vitesse et dans le meme sens de rotation que l avançée.c est la que sert le doigt qui sert de guide est necessaire pour eviter de "s enfoncer " avec la fraise fine .
Sinon mes fraises sont des formes RCB komet , qui sont des congés eliptiques de Perlmurther ou un nom comme ça .


Alios

18/11/2017 à 21h11

Au vu des photos, ta taille semble timide et manquer de réduction : seule une couronne coulée métal peut convenir à ce genre de taille. Tu as du sous estimer l'épaisseur nécessaire au matériau pour sa solidité.
Au pire, quand tu hésites, demande à ton prothésiste si il a suffisamment de place avant de faire la couronne. Les modèles coulés ou une photo en occlusion te parleront sans doute.


Alios

18/11/2017 à 21h16

P.S. l'important c'est d'apprendre de ses erreurs.
Nous sommes nombreux à nous être plantés lors des premiers cas d'une nouvelle technique.


Alios

18/11/2017 à 21h17

P.S. l'important c'est d'apprendre de ses erreurs.
Nous sommes nombreux à nous être plantés lors des premiers cas d'une nouvelle technique.


Alios

18/11/2017 à 21h19

Ton patient t'en voudra moins de faire une séance supplémentaire que de voir son investissement se casser...


Alios

18/11/2017 à 21h19

Ton patient t'en voudra moins de faire une séance supplémentaire que de voir son investissement se casser...


Alios

18/11/2017 à 21h23

Au pire, explique lui que le matériau d'empreinte a foiré et rectifie les points que ton prothésiste t'aura indiqué. Cà t'arrivera une fois ou deux et tu seras serein sur les suivantes.


Alios

18/11/2017 à 21h26

Vas sur le site max

Modes d'emploi
Guide Clinique IPS e.max
Guide Clinique IPS e.max
Guide de préparation tout céramique
Guide de préparation tout céramique
Tout-céramique
Guide de préparation au cabinet dentaire
Restaurations postérieures
inlaY / onlaY
Préparation pour inlay
Préparation pour onlay
Fond de cavité de
1,0 à 1,5 mm de largeur
Isthme de 1,5 mm de largeur minimum
Finition sans congé, sans biseau
Angles internes arrondis
Fond de cavité de
1,0 à 1,5 mm de largeur
Epaisseur minimale
de 1,5 mm à l’aplomb
de la cuspide antagoniste
Isthme de 1,5 mm de largeur minimum
Limite cervicale
juxta ou supra gingivale
bridge 3 éléments
Préparation pour bridge 3 éléments
Réduction occlusale de 1,5 mm
Angles arrondis
Angle interne arrondi
Réduction périphérique cervicale de 0,8 à 1,0 mm
Réduction périphérique de 1,5 mm
Couronne unitaire
Préparation pour couronne postérieure
Angles arrondis
Réduction occlusale de 1,5 mm
Réduction occlusale de 1,5 mm
Réduction périphérique de 1,5 mm
Préparation en vue d’un scellement
Réduction périphérique de 1,5 mm
Réduction périphérique cervicale de 0,8 à 1,0 mm
Angle de 4 à8 °
Réduction périphérique cervicale
de 1,0 mm
Réduction occlusale de 2,0 mm dans la zone de contact
Hauteur du moignon d’au moins 4,0 mm
Une fraise diamantée cylindrique est utilisée pour réaliser l’angle interne de l’épaulement cervical.
AD 112013 - RCS Annecy B 326 420 544 - Sous réserve d’erreurs typographiques.
Visuels non contractuels. Imprimé en France - Booster Print
BP 118 | F-74410 Saint-Jorioz Cedex | Tél. : 04 50 88 64 00 | Fax : 04 50 68 91 52 www.facebook.com/ivoclarvivadentfrance
www.ivoclarvivadent.fr
www.ivoclarvivadent.fr
Ivoclar Vivadent SAS
Ivoclar Vivadent SAS I BP 118 I 74410 Saint Jorioz Cedex I Tél : 04 50 88 64 00 I Fax : 04 50 68 91 52
Dispositif médical Classe IIA /CE0123. Nous vous invitons à lire attentivement la notice. Produits non remboursés par les organismes de santé.

Tout-céramique
Guide de préparation au cabinet dentaire
Restaurations antérieures
Couronne unitaire
Préparation pour couronne antérieure
bridge 3 éléments
Préparation pour bridge 3 éléments
IPS e.max®
Limite cervicale juxta ou supra gingivale
Réduction
de 0,8 mm
du bord gingival
Préparation
à angle interne arrondi
Angles arrondis
Fraise à nir
de forme ronde
Préparation
à angle interne arrondi
Limite cervicale juxta ou supra gingivale
Réduction périphérique
de 1,2 à 1,5 mm
Réduction périphérique cervicale
de 0,8 à 1,0 mm
Réduction vestibulaire de 1,2 mm
Réduction linguale
de 1,2 mm
Réduction du bord libre de 1,5 mm
faCette
Préparation pour facette
Une fraise diamantée à extrémité arrondie et à grain moyen est utilisée pour retirer une couche uniforme d’émail.
Réduction
du bord libre de 1,5 mm
Préparation pour facette pelliculaire
Grâce à IPS e.max, il est possible de réaliser des facettes pelliculaires qui peuvent être collées sur les dents préparées à minima.
Si la place est suf sante, aucune préparation n’est nécessaire. Repecter une épaisseur minimale de 0,3 mm dans les zones cervicale et vestibulaire et de 0,4 mm au bord incisif.
Réduction du bord libre de 1,5 mm
Profondeur
de coupe
de 0,6 à 0,8 mm
*Note : Une réduction plus importante pourrait être nécessaire pour accroître les possibilités de maquillage ou de strati cation. Communiquez avec votre laboratoire pour plus d’information à ce sujet.


Alios

18/11/2017 à 21h27

Désolé pour le copier/coller, je n'ai pas pu avoir le lien : avec les schémas, c'est beaucoup plus parlant


12