Cookie Consent byPrivacyPolicies.comrestauration globale? - Eugenol
S2y2o1v7q53ws4r5wy6ou8czrpom - Eugenol
pxav

05/03/2018 à 11h44


oui, ça parait intéressant, mais tu parles d'inocclusion en propulsion ou plutôt sur tout le trajet?

--
xbk
La connaissance s'acquiert par l'expérience, tout le reste n'est que de l'information." ALBERT EINSTEIN


Vw campersurfvan bmnk1q - Eugenol
enlaye

05/03/2018 à 12h07

non , en OIM , ça suffira largement :-)
bien sur , des qu'il y aura mvt , il y aura contact ça ça ne changera pas .
je reviens


mr smith

05/03/2018 à 12h51

J'le dis , mais en fait j'dis rien ;o)

En regardant la photo initiale , est ce qu'un bout à bout incisif ne serait pas un compromis intéréssant ?

Ghk3noaqzjhzze1iz2qx wdavls - Eugenol
Img 6138 r05rky ijqylk - Eugenol

Vw campersurfvan bmnk1q - Eugenol
enlaye

05/03/2018 à 13h56

je te rassures , l'innoclusion ne dureras pas tres longtemps ,et ce , meme si tu ne touchais rien par la suite il y en a pour 2/3 mois max avant d'avoir des contacts de partout .
ce qui te laisses un peu de temps et de marge pour pouvoir équilibrer le tout .

je reprends ton cas + precisement :
--- on avait 1 guidage inverse
ce qui veut dire qu'elle avait pour habitude de propulser pour fermer . elle fonctionnait à l'envers ,quoi .
tu penses bien qu'elle en a gardé la memoire
+- anatomique d'une part , avec les atm assez plat pour pouvoir glisser dans 1 position tres proche de l'OIM .
+- et une memoire au niveau du citron qui gérait tout ça ( engramme )

---à l'heure d'aujourdhui , elle n'a plus du tout de guidage . en plus tu as surélevé , donc elle fonctionne comme 1 Cl 2 avec beance et elle se sert probablement de sa langue comme guidage .
comme toute ressemblance avec l’ancienne cinématique est éloignée , elle fonctionne différemment et elle ne te fait pas chier . elle est là tranquille , en attente .
elle a des mvts verticaux sans propulsion aucune pour la fermeture .
elle a des mvts verticaux pour la fermeture , certes , mais comme elle s'appuit sur la langue , elle en profite pour quand meme partir en lateral de l'arriere , car ne l'oublions pas , elle a des atm speciales ( memoire ) ,et surtout ,on lui a tout recréé .
or comme on n'etait pas sur du centrage lateral , on l'a fait un peu au pif , et elle "se fait ,les dents " pour se faire les finitions

donc , jusqu’à présent ( ç est presque comme si on avait rien fait d'un pt de vue occlusal ) ,tout vas très bien dans le meilleur des mondes , on a bien mangé le mouton ,on s'est bien regalé , mais maintenant on va en chier la laine .
ben oui pcq DES que l'on va lui mettre des dents devant , piouf ,la memoire va lui revenir , comme si elle avait mangé 3 tonnes de poisson .et là je te garantis q'elle va repartir en avant .
tu mets des dents neuves devant , hop les gens ne pensent qu'à les chopper , alors elle j'te dis pas .

donc elle va avoir ,en plus des mvts latéraux post , des mvts avant arr pour aller chopper ses incisives en inocclusions . elle vas user l'arr et au final elle va se retrouver en occlusion de partout toute seule . ça va très vite . d'autant plus que tu vas etre obligé de limer un peu par ci par là sur des accroches qui n’étaient pas en évidence tant que tu n'avais pas mis les dents de devant .



Vw campersurfvan bmnk1q - Eugenol
enlaye

05/03/2018 à 14h07

alors tu me diras :
" t es con ou quoi ? forcemement si tu lui mets les incisives en inocclusion ,ç est pour ça qu'elle partira en avant "

bien de toute façon elle partira en avant , et si il a contact des le debut , on ne sait pas avec quelle force elle appuiera .
et surtout le haut et le bas etant neuf , il faut que partie male et femelle se face par usure , comme dans la vraie vie , sauf que là cela risque de faire de gros degats .
puis usure post il y aura , et si le devant touche des le debut , t es mort .
PS : je fais faire de l'ortho chez l adulte , j'interdis l'occlusion des incisives , et j interdis le fil . apres la phase d'usure ç est impec , ça ne bronche pas .


Vw campersurfvan bmnk1q - Eugenol
enlaye

05/03/2018 à 14h09

mr smith écrivait:
--------
" J'le dis , mais en fait j'dis rien ;o)
En regardant la photo initiale , est ce qu'un bout à bout incisif ne serait pas un compromis intéréssant ?"

il vas y arriver ,ou pas loin , sans meme le vouloir .


S2y2o1v7q53ws4r5wy6ou8czrpom - Eugenol
pxav

05/03/2018 à 14h14



belle prose... sauf que la dame elle ne propulsait pas, uniquement latéro-deviation, elle est légèrement prognathe, ce que je n'ai pas changé comme tu l'imagines...
--
xbk
La connaissance s'acquiert par l'expérience, tout le reste n'est que de l'information." ALBERT EINSTEIN


S2y2o1v7q53ws4r5wy6ou8czrpom - Eugenol
pxav

05/03/2018 à 14h16

non, pas de bout à bout incisif , ni passé, ni à venir...enfin je pense.



--
xbk
La connaissance s'acquiert par l'expérience, tout le reste n'est que de l'information." ALBERT EINSTEIN


Vw campersurfvan bmnk1q - Eugenol
enlaye

05/03/2018 à 14h19

pxav écrivait:
----
" belle prose... sauf que la dame elle ne propulsait pas, uniquement latéro-deviation, elle est légèrement prognathe, ce que je n'ai pas changé comme tu l'imagines..."

Mouhahahaha , latero-deviation en avant pour la fermeture, ç est quoi , ç est du flamby ??
tu le fais exprès j espère !!!


mr smith

05/03/2018 à 14h41

pxav écrivait:
----
sauf que la dame elle ne propulsait pas, uniquement
> latéro-deviation, elle est légèrement prognathe

Depuis le temps que 22 et 33 s'aiment ;o))
Bon moi je suis là pour apprendre ! pxav tu vas travailler en unitaires ?

Ghk3noaqzjhzze1iz2qx ovkskv - Eugenol

Vw campersurfvan bmnk1q - Eugenol
enlaye

05/03/2018 à 18h35

mr smith écrivait:
--------
" Depuis le temps que 22 et 33 s'aiment ;o)) "

ah oui elles s'aiment mais le jour ou il va la prendre à l'envers , elle risque d’apprécier moyen .
ç est que les capteurs desmodontaux , depuis le temps , ç étaient organisés en fonction de leur 1er amour
alors au début ça fait tjs un peu mal . ce qui est tres perturbant pour l'analyse électronique du gps de fermeture .
enfin tout ça ç est reculer pour mieux sauter :-))


S2y2o1v7q53ws4r5wy6ou8czrpom - Eugenol
pxav

05/03/2018 à 18h41

mr smith écrivait:
--------

> Depuis le temps que 22 et 33 s'aiment ;o))
> Bon moi je suis là pour apprendre ! pxav tu vas travailler en unitaires ?

moi aussi je suis là pour apprendre!

oui 22 et 33 s'aimaient depuis longtemps mais c'est fini....sniff, dans ce cas là, effectivement unitaire sauf pour les deux petits bridges bien sur :-)

--
xbk
La connaissance s'acquiert par l'expérience, tout le reste n'est que de l'information." ALBERT EINSTEIN


S2y2o1v7q53ws4r5wy6ou8czrpom - Eugenol
pxav

05/03/2018 à 18h44

enlaye écrivait:
------

> Mouhahahaha , latero-deviation en avant pour la fermeture, ç est quoi , ç est
> du flamby ??
> tu le fais exprès j espère !!!

bien sûr qu'après la latéro-déviation elle a une légère propulsion, mais ce n'est que secondaire, le plus dur a comprendre est que le précédent avait soudé les 4 incisive, pourquoi?
Flamby, j' aime bien...:-))

--
xbk
La connaissance s'acquiert par l'expérience, tout le reste n'est que de l'information." ALBERT EINSTEIN


Vw campersurfvan bmnk1q - Eugenol
enlaye

05/03/2018 à 19h04

pxav écrivait:
----
" bien sûr qu'après la latéro-déviation elle a une légère propulsion, mais ce n'est que secondaire, "

alors qu'à l'ouverture la propulsion est primaire ( tout a l'envers )


Bebe 038 nf8eum - Eugenol
danteyeah

10/03/2018 à 22h31

Cela faisait un bail que je n'étais pas venu sur ce forum. Je suis un peu décontenancé par la nouvelle interface.
Il y a par contre un truc qui ne change pas, par contre, c'est la qualité et la complexité des cas clinique de Pxav. Je viens de finir les 10 pages...merci pour le partage.


S2y2o1v7q53ws4r5wy6ou8czrpom - Eugenol
pxav

11/03/2018 à 09h18


Stop les mecs je vais prendre la grosse tête... :-)) tout le monde peut faire ça, il suffit de prendre le temps de réfléchir, et tout les jours chasser la paranoïa, en regardant ce que font les autres, on peut toujours s'améliorer.
Le partage permet de progresser

danteyeah, merci quand même de flatter mon ego....



--
xbk
La connaissance s'acquiert par l'expérience, tout le reste n'est que de l'information." ALBERT EINSTEIN


S2y2o1v7q53ws4r5wy6ou8czrpom - Eugenol
pxav

12/03/2018 à 17h34

charge ton fusil enlaye.... taille + empreinte et provisoire résine (photos avant la finition des provisoires)


--
xbk
La connaissance s'acquiert par l'expérience, tout le reste n'est que de l'information." ALBERT EINSTEIN

Img 6226 utgefa - Eugenol
Img 6228 b5p87c - Eugenol
Img 6229 i2lw2n - Eugenol
Img 6230 rpgjbe - Eugenol
Img 6233 n2cbj7 - Eugenol
Img 6234 vjh1we - Eugenol

Generique fraisage r2rxmm - Eugenol
lardonbis

12/03/2018 à 18h24

ptain !
le suspense !

je dois être timbré, j'ai hâte de voir la suite, j'ai l'impression d’être coincé entre "objectif lune" et "on a marché sur la lune"


Vw campersurfvan bmnk1q - Eugenol
enlaye

12/03/2018 à 18h29

noonn , il n'y a pas de raison de tirer sur l'artiste .
avec les prov on verra apparaître les pistes de friction , il n'y a pas de pb , ils sont au contact , au fait ? ce qui ne serait pas gênant si ç est des provs
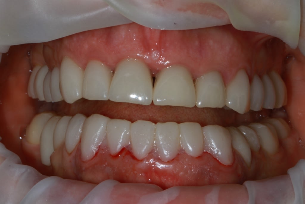
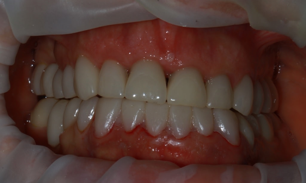
la 23 est un peu violente , non ,?


S2y2o1v7q53ws4r5wy6ou8czrpom - Eugenol
pxav

12/03/2018 à 18h49

Très légère souocclusion et on laisse tranquille .
23 un peu hot oui



--
xbk
La connaissance s'acquiert par l'expérience, tout le reste n'est que de l'information." ALBERT EINSTEIN


mr smith

12/03/2018 à 19h00

pxav écrivait:
----

> 23 un peu hot oui
>
moi j'appelle cela une coquetterie ;o)

tu es en protection de groupe ?
>


S2y2o1v7q53ws4r5wy6ou8czrpom - Eugenol
pxav

12/03/2018 à 19h33


du fait de la prognathie, la désocclusion ne ce fait pas de façon standard, je vais travailler là-dessus pour avoir un truc fiable dans le temps.
pour 23 c'est au départ pour le look effectivement en sachant que c'est simple à réduire, vs compliqué à rallonger

--
xbk
La connaissance s'acquiert par l'expérience, tout le reste n'est que de l'information." ALBERT EINSTEIN


Vw campersurfvan bmnk1q - Eugenol
enlaye

13/03/2018 à 08h31

De la desoclusion , on s en fout un peu , non ?


S2y2o1v7q53ws4r5wy6ou8czrpom - Eugenol
pxav

13/03/2018 à 09h41

oui et non, coté gauche mais ce n'est pas vital dans son cas


--
xbk
La connaissance s'acquiert par l'expérience, tout le reste n'est que de l'information." ALBERT EINSTEIN


Vw campersurfvan bmnk1q - Eugenol
enlaye

13/03/2018 à 10h41

bien ! nous voilà rassurés .:-)


1...9101112