Cookie Consent byPrivacyPolicies.comrestauration globale? - Eugenol
S2y2o1v7q53ws4r5wy6ou8czrpom - Eugenol
pxav

05/04/2018 à 13h06

le bas est posé, malheureusement je n'ai pas vérifié le réglage de l'appareil photo...donc je ferais mieux la prochaine fois.
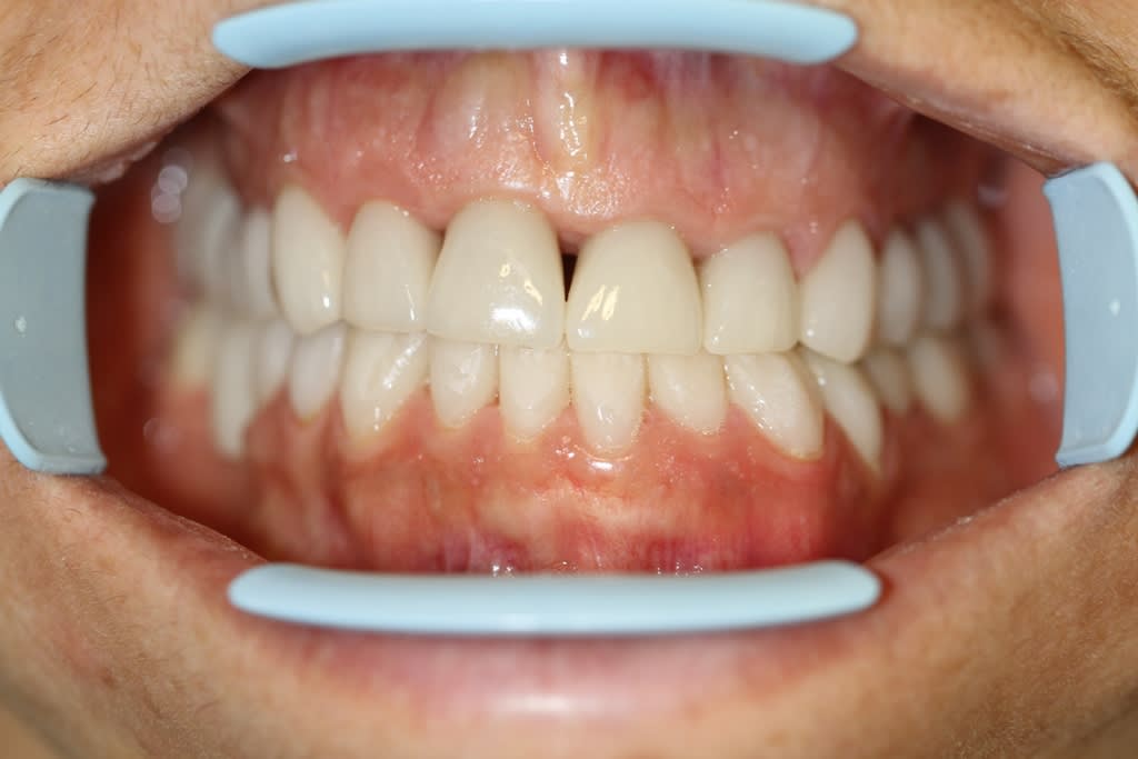
Petit soucis au niveau collet incisives, les pros de la paro vous me conseillez quoi comme technique?


--
xbk
La connaissance s'acquiert par l'expérience, tout le reste n'est que de l'information." ALBERT EINSTEIN

Img 6265 vjfkfa - Eugenol
Img 6268 wt25jy - Eugenol
Img 6269 fmlpob - Eugenol
Img 6270 vslnyx - Eugenol

Vw campersurfvan bmnk1q - Eugenol
enlaye

05/04/2018 à 13h42

ho , l'aut , qué bouchasse !:-) genre il demande conseil sur un pb où il n'y en a pas :-) pour bien qu'on lui dise qu'il est fort :-)
meuuu oui , que t'y es fort !


Vw campersurfvan bmnk1q - Eugenol
enlaye

05/04/2018 à 13h44

si fracture tu auras ce sera sur les faces proxy au niveau post . je dis bien si .


S2y2o1v7q53ws4r5wy6ou8czrpom - Eugenol
pxav

05/04/2018 à 13h53


non, il n'y aura pas de fracture, mauvais œil....
Par contre ce n'est pas trop visible sur la photo, mais la patiente est gênée par le "trou noir" entre les incisives, et je vais essayer de combler ça, mais je suis tout petit en remodelage de gencive, donc je cherche.

--
xbk
La connaissance s'acquiert par l'expérience, tout le reste n'est que de l'information." ALBERT EINSTEIN

Img 6273 pc9q6m - Eugenol

S2y2o1v7q53ws4r5wy6ou8czrpom - Eugenol
pxav

05/04/2018 à 13h56


sinon, j'avoue que globalement ça se passe bien, pas de douleur articulaire, et pas trop mal, fonction du départ.

--
xbk
La connaissance s'acquiert par l'expérience, tout le reste n'est que de l'information." ALBERT EINSTEIN


Vw campersurfvan bmnk1q - Eugenol
enlaye

05/04/2018 à 14h17

Elle fait chier celle là . Elle a perdue la memoire ou quoi ?
Surtout que ce n est pas un pb paro , ç est un pb de contour de la 21 , de bombé quoi .


S2y2o1v7q53ws4r5wy6ou8czrpom - Eugenol
pxav

05/04/2018 à 17h12


je ne pense pas, avant il y avait un mauvais environnement paro, donc inflammation... maintenant la papille est saine mais "plate".

--
xbk
La connaissance s'acquiert par l'expérience, tout le reste n'est que de l'information." ALBERT EINSTEIN

Img 5866r zdaenz - Eugenol

Vw campersurfvan bmnk1q - Eugenol
enlaye

05/04/2018 à 17h32

ouaip , mais au vu de la taille des embrasures , ç est pas une papille qu'il lui faudrait , ç est un membre :-))

Img 6265 vjfkfa otgxyz - Eugenol

Vw campersurfvan bmnk1q - Eugenol
enlaye

05/04/2018 à 17h49

celà vient du fait que la 11 est en avant ( ou normale ) et la 21 est en arrière par rapport au milieu .
de ce fait la 21 a + ( plus ) d'os autour , donc + ( plus ) de gencive en épaisseur , plus tonique et plus basse .
. ce qui fait que ce n'est pas que la papille est plate mais qu'elle est de traviol , oblique de la crete proxy osseuse mesiale de 11 à la la crete proxy mesiale de 21 qui est plus en arr et plus basse .

éventuellement , il aurait fallu tailler 1 poil plus profond la 21
mettre à égalité les contours osseux ,
et lui faire un contour du 1er tiers cervical + epais . pour repousser la gencive vers le haut et sur les cotés .
il y a un risque , ç est de reporter le pb sur la 22 , enfin entre 21 et 22 et faire de meme .
on risque de l'appeller Ignace , meme si ç est un tout petit nom charmant ...


sofica

05/04/2018 à 21h43

Pourquoi ne pas faire des injections d'acide hyaluronique? au niveau papillaire,,labo teoxane(Periosyal shape).Methode simple qui donne de très bons résultats . 3 injections à un mois d'intervalle...simple et efficace.


Macox

08/10/2019 à 01h36

Bonjour
Je cherche à acheter le produit que vous mentionnez
(teoxane(Periosyal shape).)
Pouvez vous m'indiquer un revendeur accessible svp


S2y2o1v7q53ws4r5wy6ou8czrpom - Eugenol
pxav

08/10/2019 à 08h00

Macox écrivait:
-----
> Bonjour
> Je cherche à acheter le produit que vous mentionnez
> (teoxane(Periosyal shape).)
> Pouvez vous m'indiquer un revendeur accessible svp
>

Je n'utilise pas, donc je ne peux pas t'aider...Par contre c'est sympa de ressortir ce cas, ça me fait penser que je n'ai rien fait d'équivalent depuis quelques temps... l'age? le RACO?
--
xbk
La connaissance s'acquiert par l'expérience, tout le reste n'est que de l'information." ALBERT EINSTEIN


Vw campersurfvan bmnk1q - Eugenol
enlaye

08/10/2019 à 08h15

eh , bonjour Pxav , ç est vrai ça , on t entend plus , tu fais la feignasse ? :-)
tu l as revu ce cas ?


S2y2o1v7q53ws4r5wy6ou8czrpom - Eugenol
pxav

08/10/2019 à 08h22

oui je l'ai revu, plus de soucis avec sa papille, mais je n'ai pas fait de photo, je vais essayer de la recontacter.
Pour les cas, de ce type, c'est la platitude en ce moment, il est possible que je sois en baisse de motivation ...ou bien ???


--
xbk
La connaissance s'acquiert par l'expérience, tout le reste n'est que de l'information." ALBERT EINSTEIN


Vw campersurfvan bmnk1q - Eugenol
enlaye

08/10/2019 à 08h29

pxav écrivait:
----
" Pour les cas, de ce type, c'est la platitude en ce moment, il est possible que je sois en baisse de motivation ...ou bien ??? "

j ai le meme pb et je sais d ou ça vient , ce n est pas une baisse de motivation de notre part .


S2y2o1v7q53ws4r5wy6ou8czrpom - Eugenol
pxav

08/10/2019 à 09h17

plusieurs causes comme souvent...


--
xbk
La connaissance s'acquiert par l'expérience, tout le reste n'est que de l'information." ALBERT EINSTEIN


Vw campersurfvan bmnk1q - Eugenol
enlaye

08/10/2019 à 09h46

ç est pcq il n y a plus d espèce à blanchir , voilà pourquoi .:-))


S2y2o1v7q53ws4r5wy6ou8czrpom - Eugenol
pxav

08/10/2019 à 10h01

non, franchement rien à voir avec ça, je n'ai pas l'occasion de voir ce genre de cas, donc ce n'est pas une question de devis ou autre.


--
xbk
La connaissance s'acquiert par l'expérience, tout le reste n'est que de l'information." ALBERT EINSTEIN


S2y2o1v7q53ws4r5wy6ou8czrpom - Eugenol
pxav

08/10/2019 à 10h01

non, franchement rien à voir avec ça, je n'ai pas l'occasion de voir ce genre de cas, donc ce n'est pas une question de devis ou autre.


--
xbk
La connaissance s'acquiert par l'expérience, tout le reste n'est que de l'information." ALBERT EINSTEIN


Pubg2 rjl8jc - Eugenol
lemondestvaste

08/10/2019 à 13h44

J ai profité du déterrage du post pour le relire. Encore merci pour le partage. C est vraiment eu beau boulot. C'est très inspirant 👍


S2y2o1v7q53ws4r5wy6ou8czrpom - Eugenol
pxav

08/10/2019 à 14h02

effectivement intéressant, :-)) j'en ai profité aussi pour le relire, ça motive pour continuer à bosser..


--
xbk
La connaissance s'acquiert par l'expérience, tout le reste n'est que de l'information." ALBERT EINSTEIN


S2y2o1v7q53ws4r5wy6ou8czrpom - Eugenol
pxav

08/10/2019 à 14h17

Par contre, qu'est ce qu'il est bavard enlaye ... 50 lignes d'explication qui tiendrait en 2 ;-)) et tout ça avec une baragouinage sur le haut, le bas... alors qu'il lui suffisait d'attendre...

Pub myriam fubtmi - Eugenol

Vw campersurfvan bmnk1q - Eugenol
enlaye

08/10/2019 à 14h32

plains toi , je te l ai fait vivre ton post . ç est une merveille au final .


S2y2o1v7q53ws4r5wy6ou8czrpom - Eugenol
pxav

08/10/2019 à 14h46


oui c'est vrai, au cours d'une formation Implanto sur l'expansion à Sallanches (petite pub, la prochaine sera les 26/27 Mars 2020) il y avait 2 nonoliens qui pensaient que tu étais important (rigolo?) dans les post d'eugenol... comme quoi effectivement tu sers à quelque chose...:-))
ok je sors

--
xbk
La connaissance s'acquiert par l'expérience, tout le reste n'est que de l'information." ALBERT EINSTEIN


Vw campersurfvan bmnk1q - Eugenol
enlaye

08/10/2019 à 14h58

avec toi ç est facile d animer , il y a du repondant .
au moment meme ou tu ecris tu sais dejà ce que je vais repondre et vice versa alors ça va vite .
ç est un peu un combat d initiés :-)


1...101112