Cookie Consent byPrivacyPolicies.comrestauration globale? - Eugenol
S2y2o1v7q53ws4r5wy6ou8czrpom - Eugenol
pxav

24/11/2017 à 09h02

lachmar écrivait:
-------
>
>
> le genre de cas qu'on aime tous
>
> le patient en forte demande
>
> de beaux geste techniques à faire : possibilité de garder un max vivant ( , et
> beaucoup moins compliqué que ca n'en a l'air , mêm si tu ne peux pas augmenter
> la hauteur tu fais quand même un boulot top les doigts dans le nez
>
> valorisant dès les premiers gestes (temporisation antérieure pour te faire
> plaisir)
> nous curieux de voir ce que ca donnera à la fin
>
> tu ne peux pas perdre
>
> régale toi

on peux toujours perdre...c'est vraiment ce qu'il faut garder à l'esprit, car nous travaillons sur du vivant... j'ai eu l'année dernière un cas de bouche pourrie que j'ai refaite du mieux possible....patient schizo... (non détecté au départ) persuadé après réalisation que les gens se fixaient sur ses nouvelles dents trop belles ....et il m'a demandé de le remettre comme il était à l'origine..... ce qui n'était pas possible dents pourries je ne sais pas faire...
--
xbk
La connaissance s'acquiert par l'expérience, tout le reste n'est que de l'information." ALBERT EINSTEIN


Nouveau image bitmap fz77zh - Eugenol
Sethef

24/11/2017 à 09h04

pxav écrivait:
----

> ceci me fait réfléchir, j'ai tendance à commencer par le maxillaire, car il est
> fixe dans l'espace, contrairement à la mandibule qui porte avec elle les défauts
> d'occlusions, latéro-déviation etc...accumulées pendant de nombreuses années,
> néanmoins ceci n'est pas forcement figé dans mon esprit, donc éventuellement....


D'habitude je suis d'accord, mais ici, le blocage de croissance, associé aux usures, palatino version et égression du parodonte en sect 2 risquent de dévier ton plan d'occlusion par illusion d'optique. Après, dans l'idée, le résultat final sera de toute manière le même.





Nouveau image bitmap fz77zh - Eugenol
Sethef

24/11/2017 à 09h06

enlaye écrivait:
------
> ou même une gouttière avec libération des dents de devant .
> pas propulser la mand , le contraire tu voulais dire , non?
>
Même pas forcément, je voulais surtout dire libérer dans le sens antéro postérieur, on verra bien à ce moment là comment se repositionne la mandibule.


Image r6habu - Eugenol
Thomas Crown

24/11/2017 à 09h18

L’os devient plus souple , Enlaye ?


Vw campersurfvan bmnk1q - Eugenol
enlaye

24/11/2017 à 12h06

oui , enfin je voulais dire tout le systeme d'attache de la dent qui en depend . le systeme lacunaire de Weld et toussa qui prend du jeu par l'etat inflamatoire ...
tu m'avais compris j'espere :-)


Vw campersurfvan bmnk1q - Eugenol
enlaye

24/11/2017 à 12h17

Sethef écrivait:
------
" je voulais surtout dire libérer dans le sens antéro
postérieur, on verra bien à ce moment là comment se repositionne la mandibule. "

ç est pour cela que l'historique est important .

pcq si elle a une occlusion de pince a sucre depuis des lustres voir d'origine ( grace à son verouillage ant ) ,
il y a peu de chance qu' elle bouge en antero post .


mr smith

24/11/2017 à 12h34

Et une gouttière de surélévation , après séparation des antérieures , ouverte en vestibulaire pour 11,21,22 avec cales de résine réajustables aux niveaux cingulaires pour les vestibuler ?


Vw campersurfvan bmnk1q - Eugenol
enlaye

24/11/2017 à 12h45

Pxav ne se les sent pas les cales , sais pas pourquoi .
pas mal aussi ton idée :
tu fais des prov plus progetés en avant grace à la sur elevation , ç est ça ?
bon faut qu'elle garde la gouttiere de longue ç est le pb .
par contre ç est plus joli ,en effet .
ç est un peu comme Sethef , mais tu veux pas tout tailler , t'es une feignasse , ç est ca ?:-)))


mr smith

24/11/2017 à 17h11

😁


mr smith

24/11/2017 à 17h11

mr smith écrivait:
--------
> enlaye écrivait:
> ------
> mais tu veux pas tout tailler , t'es une feignasse
> > , ç est ca ?:-)))
>
> Halte la je fais mes 26h/semaine , 10 mois/an , alors hein !
>
> Les provisoires , moi je les ferai lorsque les dents seront arrivées à l'aplomb
> d'un bout à bout incisif


Avatar transparent iqadnc - Eugenol
adhoc

24/11/2017 à 17h32

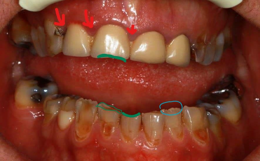
Je reprends le fil de départ:
- la patiente voudrait sourire: ok
-la patiente voudrait manger :?????? (je ne vois pas ce qui l'empeche, malgré un articulé inversé coté gauche qu'elle a toujours eu

Sans orthodontie, orthopédie, et peut etre chirurgie, je ne vois pas de solutions fiables pour annuler cet inversé qui correspond a un décalage squelettique tres important.

Le risque majeur en bidouillant les axes des protheses (qui peteront les racines...) est de créeer des douleurs d'atm en forcant la retrusion mandibulaire coté gauche.

Je sui persuadé que pxav va refaire des jolies ceramiques (ca , c'est sur) .... en conservant cet inversé d'articulé....


Vw campersurfvan bmnk1q - Eugenol
enlaye

24/11/2017 à 18h15

adhoc écrivait:
-----
" Je sui persuadé que pxav va refaire des jolies ceramiques (ca , c'est sur) .... en conservant cet inversé d'articulé....'"

mais bon sang mais ç est bien sur !!!
trop fort Adhoc !
ben oui ,on est bete , quand elle rigole ,ç est la bouche ouverte , elle voulait du blanc joli , et pi ç est tout :-))


Vw campersurfvan bmnk1q - Eugenol
enlaye

24/11/2017 à 18h18

heuuu , mais alors dans ce cas si désolidarisation il y a , on va rigoler


Avatar transparent iqadnc - Eugenol
adhoc

24/11/2017 à 18h30

>ben oui ,on est bete , quand elle rigole ,ç est la bouche ouverte , elle voulait du blanc joli , et pi ç est tout :-))<

ecroulé!!! :-)))) la théorie la mieux élaborée ne saurait remplacer la réalité la plus ...bancale!


Vw campersurfvan bmnk1q - Eugenol
enlaye

24/11/2017 à 19h17

du coup , il sert à quoi ce post , alors ?
a montrer sa voiture bleue ?
moi j'ai un combi de surfer ,bicolore bleu ciel et blanc , ça interresse quelqu'un ? :-)))


mr smith

24/11/2017 à 19h42

enlaye écrivait:
------
> moi j'ai un combi de surfer ,bicolore bleu ciel et blanc , ça interresse
> quelqu'un ? :-)))

y a du swell dans le pastis ? ;o))


Avatar transparent iqadnc - Eugenol
adhoc

24/11/2017 à 19h46

>du coup , il sert à quoi ce post , alors ? <

du coup , il sert à quoi ce post , alors ?

MDR :-)))))))))) On a le droit de mettre des garde-fous de type achtung!!!!!


S2y2o1v7q53ws4r5wy6ou8czrpom - Eugenol
pxav

24/11/2017 à 20h23

Vous êtes en forme les amis ça fait plaisir....
Franchement si c'est pour garder l'inversé et le bloc antérieur...je ne vois pas l’intérêt de ce cas, non je vais essayer de modifier tout ça , sans ortho, juste provisoire et dans la foulée ceram d'usage...
Photos demandées pas bonnes...désolé

--
xbk
La connaissance s'acquiert par l'expérience, tout le reste n'est que de l'information." ALBERT EINSTEIN

Img 5919 jykrpa - Eugenol
Img 5920 p5vken - Eugenol
Img 5916 awiinv - Eugenol
Img 5919 2 p5k5ky - Eugenol

Utilisateur banni

24/11/2017 à 20h27

Vous m’excuserez j’ai d’autres choses plus intéressantes à faire ce soir .... je ne peux pas répondre. Je sors ce soir avec ma nouvelle bagnole. À demain

3b8165e5 0c66 4992 b1cd 104fdaeb1528 wk0ori - Eugenol

Vw campersurfvan bmnk1q - Eugenol
enlaye

25/11/2017 à 00h04

lorsqu'il y a un cas avec embrouille ,et que vous prenez des photos ,eh bien , il vous manque tjs LA photo fondamentale .

quand il y a un bordel occlusal , il n'y a jamais qu'une position d'occlusion , jamais .
il y en a tjs 2 + le trajet entre les 2 .
- la 1ere , ç est la position bouche fermée , ok on l'a
- la 2eme ,ç est la position échappatoire au pb ( de confort ?) qui n'est PAS en intercuspidie maximum .
comment la determiner ?
ç est facile , tu regardes les usures de devant , et tu demandes au patient de mordre en avant ou de coté pour retrouver la correspondance male femelle .
comme il le fait de longue la nuit ,il va y aller tout seul , sans même s'en apercevoir .
et des que tu vois la correspondance ,tu lui dis STOP et tu shootes la photo .
idéalement , si tu peux lui prendre un mordu d'occlusion de cette position ,ç est le top .

eh bien ç est cette photo , et/ou ce montage en occluseur qui va te donner le plan de ttt .
dans le cas present le pb ,on le voit vite ,: ç est l'occlusion inverse ,ç est facile .

mais quand ,ç est moins evident , et que tu te retrouves apres avec les platres à la main ,ou pire montés en occluseur en OIM , ben t'es comme un con .
Alors que lorsque tu as la photo de la 2eme position , ( ou son enregistrement ) , même si tu ne connais pas encore le pb , tu en connais la position qui sert à EVITER le pb .
donc déjà ça t'oriente sur l'endroit du pb causal du départ .
je dis bien du départ , pcq le cas aurait tres bien pu partir en vrille par des adaptation successives , et ç est là que le cas est difficile à analyser .
alors que cette position d'évitement , est presque invariable , même après avoir tout modifié .
cette position te renseigne , certes ,mais elle pourra très bien détruire ton travail par la suite une fois le cas fini .
pour ça que je dis que les orthos sont des abrutis avec leurs fils de contention :-)))
ç est tres important , cette notion , il faut absolument me poser des questions ,si ce n'est pas clair !


Vw campersurfvan bmnk1q - Eugenol
enlaye

25/11/2017 à 00h24

.alors ,si maintenant tu supprimes totalement la cause initiale ,tu peux t'en sortir avec 1 bonne stabilité .
mais si tu fais des compromis , tout en faisant partie de l'académie des guignols souriants , tu es mal barré .

Inkedssfudtcocmdmgagrl1qu li o48g0u - Eugenol
Inkedimg 5919 jykrpa li usj4ma - Eugenol

S2y2o1v7q53ws4r5wy6ou8czrpom - Eugenol
pxav

25/11/2017 à 08h09


Super ton explication😥 je me rends compte de tout ce que je suis censé ignorer 😀
Il est bien évident que la patiente a des chemins d'occlusion differents et qu'ils sont notés .
Mais ce qui m'intéresse pour le waxe up c'est le chemin qu' il serait bon qu' elle suive.
La premiere partie de mon travail devrait permettre de valider cette occlusion
Si erreur bien sur je modifierai tout ça mais mon articulateur (clap clap) ne me permet pas d'enregistrer tout les chemins...

--
xbk
La connaissance s'acquiert par l'expérience, tout le reste n'est que de l'information." ALBERT EINSTEIN


S2y2o1v7q53ws4r5wy6ou8czrpom - Eugenol
pxav

25/11/2017 à 08h12


Et le chemin sur la partie platine des antérieures n'existe pas pour le moment vu le blocage en demi inversé

--
xbk
La connaissance s'acquiert par l'expérience, tout le reste n'est que de l'information." ALBERT EINSTEIN


S2y2o1v7q53ws4r5wy6ou8czrpom - Eugenol
pxav

25/11/2017 à 08h18

Bon je retourne au boulot....😂


--
xbk
La connaissance s'acquiert par l'expérience, tout le reste n'est que de l'information." ALBERT EINSTEIN

20171101 162441 x0sjpc - Eugenol

S2y2o1v7q53ws4r5wy6ou8czrpom - Eugenol
pxav

25/11/2017 à 08h18

Là au moins je fais ce que je sais faire....😝


--
xbk
La connaissance s'acquiert par l'expérience, tout le reste n'est que de l'information." ALBERT EINSTEIN

20171028 182652 gfu8ze - Eugenol

123...