Cookie Consent byPrivacyPolicies.comAlternative à Invisalign, 2D et autre - Eugenol

Alternative à Invisalign, 2D et autre

1309531 ours brun n5iukf - Eugenol
seespan

27/11/2017 à 15h11

Ca fait un moment que je voulais lancer le sujet et avec l'ouverture des premier centre invisalign en France le moment me semble bien choisie :-) .

A titre perso j'ai très peut d'expérience avec cette marque d'aligneur. Lors de mon master j'avais discuté avec quelque grosse pointure l'utilisant beaucoup voir exclusivement, regarder un paquet de conférences sur le sujet, lue des articles et visité les différents forum professionnel . Le résultat perçut à l'époque était le suivant

- Résultat clairement inférieur à un traitement fixe
- Dissatifaction affiché de la politique d'align par leur utilisateur ( j'ai deux anecdote marrante à ce sujet mais que je ne raconterais pas vue que le forum doit être lue par les représentant d'invisalign )
- Pas d'autre différenciation possible que celle d'être Platinium, Diamon ou autre. Invisalign insistant bien dans sa com que c'est leur produit qui est important plus que le dentiste.
- invisalign n'est vraiment rentable qu'avec un fort volume patient
- Les cas simple peuvent être traité sans connaissance majeur en ortho et avec la généralisation du système, de moins en moins de cas adresser
- Une fois que ta patientel avec invisalign représente une certain part tu devient très dépendant du produit ( raison pour la quelle un directeur d'un centre dentaire m'avait expliqué qu'il était hors de question d'orienté leur activité ortho sur ce produit )
- Forte puissance de com d'invisalign pour convaincre les dentistes/ortho que leur produit était le meilleur .

Bref ma conclusion de l'époque c'était qu'invisalign c'était très bien pour un minorité de praticien qui pour différente raison était en mesure de se faire adresser un nombre suffisant de patient pour atteindre un seuil de rentabilité élevé. Pour les autre c'était un gros PAC .
Apparemment je n'avais pas tord car le moins dernier un post lancé sur dentaltown porté sur la rentabilité d'invisalign, un généraliste se posant la question de comment faire pour augmenter la rentabilité faiblard avec les aligneurs. Tout les intervenant du fil reconnaissez que oui c'était pas terrible mais qu'a moins d'avoir un nombre de cas élevé ou se cantonner au cas ultra simple les bénéfices serait faible. Bien entendue vue que nos braves généraliste US se sont quasi tous lancé avec algin très peut avait l'expérience d'autre système qui pour les cas simples marche tout aussi bien en étant moins chère.

Le but de ce post est faire connaitre d'autre méthodologie de traitement qui permettent de même résultat ou meilleur , à moindre coût.

Je commence à utiliser pas mal les 2D.

Avantage :

- mise en place rapide. Peuvent être utiliser en collage direct pour les cas simple.
- Ultra confortable . Le volume en bouche est à peine supérieur à un fil de rétention. Si le patient peut casser un bracket, le décollage est rarissime. Quasi aucune problème d’élocution. Juste la question du confort m'on pousser à utiliser ces bracket, je n'ai aucun autre système équivalent niveau confort.
- Facile à réparer
- Facile à modifier
- Faible coût économique
- Pas de gros soucis au niveau clinique en cas de problème
- outil intéressant comme aide dans les cas de lingual, vestibulaire ou aligneur

Désavantage

- Pour autre chose que les cas simple demande une phase d'apprentissage
- Pour des cas complex le temps fauteuil peut être important




--
หมอจัดฟัน


1309531 ours brun n5iukf - Eugenol
seespan

27/11/2017 à 15h38

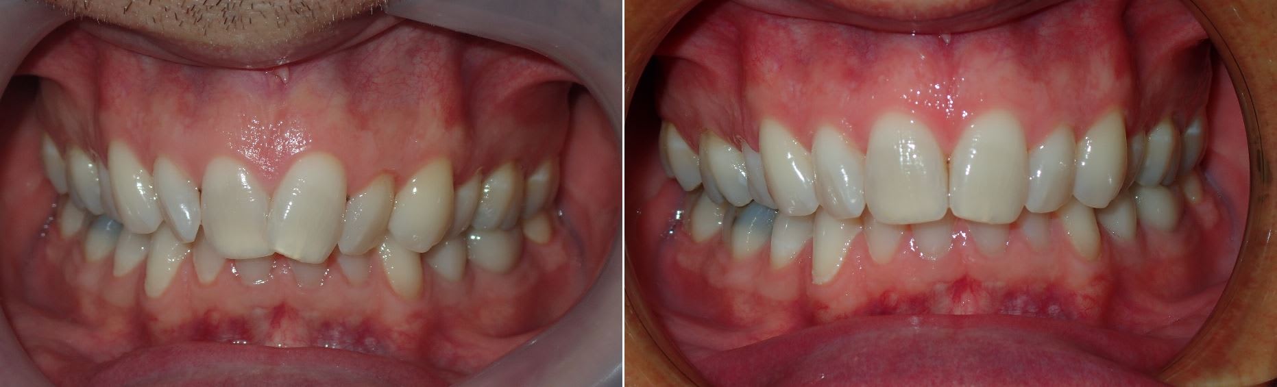
Un cas de 2D pour un simple alignement antérieur .



--
หมอจัดฟัน

1 mcwecs - Eugenol
11 aarc7j - Eugenol

1309531 ours brun n5iukf - Eugenol
seespan

27/11/2017 à 15h40

Ce cas je l'aime bien car la patiente à disparut dans la nature pendant six mois.
A son retour rien n'avait bouger :-)



--
หมอจัดฟัน

2 gde6sw - Eugenol
22 ggnsje - Eugenol

1309531 ours brun n5iukf - Eugenol
seespan

27/11/2017 à 15h42

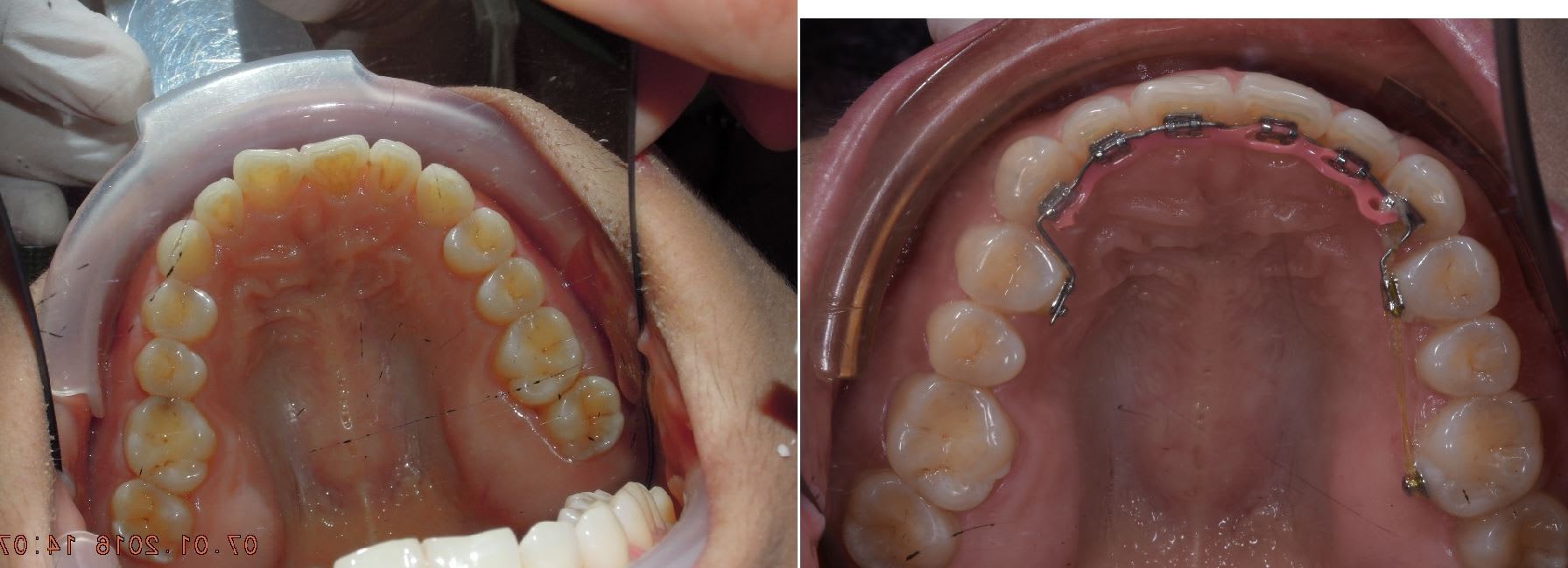
Un cas préprothétique.
Je me sert de l'implant pour mesialier 44 43.
Le monsieur est tellement content qu'il m'a envoyé ça maman pour un alignement des incisive inf aussi post pose d'implant.


--
หมอจัดฟัน

5 fc8ud8 - Eugenol

1309531 ours brun n5iukf - Eugenol
seespan

27/11/2017 à 15h44

Cas simple d'alignement
Patient aussi sujet à l’absentéisme ( bizarement mes cas de 3D eux ne me loupe pas les rendez vous pendant 1 ou 2 mois , mais vue que les 2D ne se sente quasiment pas, les patientes m'oublie facilement )


--
หมอจัดฟัน

4 ifcpxw - Eugenol
44 d2nafl - Eugenol

1309531 ours brun n5iukf - Eugenol
seespan

27/11/2017 à 15h51

Celui là c'est un cas " faussement " simple.
On dirait un simple alignement mais en faite 43 est incliné 45° et je dois la redresser pour pouvoir réaliser une couronne avec tenon suivant un axe correct.
Ceux qui connaissent un peut l'ortho savent que faire ça avec un " straight wire " ça ne passe pas vue que l'on avoir de fort effet parasite sur les incisives.
Je suis dans la phase de redressement de l'axe en utilisant une variante du piggy back.


--
หมอจัดฟัน

55 o12j2a - Eugenol
6 cgxjum - Eugenol

Avatar transparent iqadnc - Eugenol
adhoc

27/11/2017 à 18h01

Bravo pour l'ortho linguale, seespan. J'ai deux trois trucs a te demander:
-entre canine inf et premiere premolaire on a le plus souvent, morphologie oblige, un gros décroché pour l'arc.
Est ce qu'il faut "plier" ou non un peu l'arc?
-tu 'es servi astucieusement d'un implant, mais la photo n'est pas évidente a comprendre, tu as un paté vert (????), mais on ne voit pas plus et je n'ai pas compris comment tu as fait au niveau ce cette couronne implantaire. Tu as collé un bracket lingual sur de la céramique? Ca ne doit pas etre coton quand meme.....Et avec quoi as tu diminué le diasteme?
-une autre question, le tartre, c idiot, mais peut on coller immediatement apres un detartrage des dents inf ou alors tu attends le rv suivant?


Vw campersurfvan bmnk1q - Eugenol
enlaye

27/11/2017 à 20h13

tres beaux cas 6pan .
chapeau ! et pourtant tu connais ma mauvaise foi :-)))
par contre je n'ai pas compris pourquoi tu dis que les aligneurs ne sont pas rentable si t'en fait pas des tonnes ?? çe n'est pas réglé au labo au coup le coup pour chaque cas ?


ken

27/11/2017 à 22h22

Bravo seespan,
le premier cas est une reprise de traitement orthodontique ?


1309531 ours brun n5iukf - Eugenol
seespan

28/11/2017 à 00h11

enlaye écrivait:
------
> tres beaux cas 6pan .
> chapeau ! et pourtant tu connais ma mauvaise foi :-)))
> par contre je n'ai pas compris pourquoi tu dis que les aligneurs ne sont pas
> rentable si t'en fait pas des tonnes ?? çe n'est pas réglé au labo au coup le
> coup pour chaque cas ?

C'est pas mois qui dis que c'est pas rentable c'est les généralistes US.
Phase 1 : Invisalign est réservé au ortho ou généralistes avec forte activité ortho car c'est perçut comme un produit de luxe. Les prix du traitement sont chère ( par exemple si tu le fait au Cambodge ou Thailande ça sera probablement plus chère qu'au US )
Phase 2 invisalign se met à faire du marketing agressif vers les généralistes ( ce qui se passe en France ) en leur expliquant que c'est pas compliqué et qu'il n'ont pas de raison de référer; L'augmentation du nombre de praticien utilisant invisalign à deux effet. Un le produit n'est plus perçut comme " haut de gamme ", les prix baisse .
3 Forte proportion de dentiste utilisant invisalign (c'est l'appareillage ortho le plus utilisé au US par les généraliste) . La chute des prix est telle que la rentabilité baisse .

Si tu fais des petit cas simple pas trop de soucie ( mais comme l'indique mon post tu as d'autre produit qu'invisalign pour ces cas. Mais quand la complexité augmente le temps fauteuil augmente luis aussi. Et quand tu fais le calcul temps passé au fauteuil, cout matériel , la rentabilité est dans les chaussette.

l'exemple donnée était par un généraliste Canadien qui facturé 5500$ US pour un cas et qui payé un peut plus de 1100 $ US de matos.


--
หมอจัดฟัน


1309531 ours brun n5iukf - Eugenol
seespan

28/11/2017 à 01h32

adhoc écrivait:
-----
> Bravo pour l'ortho linguale, seespan. J'ai deux trois trucs a te demander:
> -entre canine inf et premiere premolaire on a le plus souvent, morphologie
> oblige, un gros décroché pour l'arc.
> Est ce qu'il faut "plier" ou non un peu l'arc?

Oui bien entendue le pliage de file est incontournable. Mais ça reste basique surtout si tu fait un cas mandibulaire
> -tu 'es servi astucieusement d'un implant, mais la photo n'est pas évidente a
> comprendre, tu as un paté vert (????), mais on ne voit pas plus et je n'ai pas
> compris comment tu as fait au niveau ce cette couronne implantaire. Tu as collé
> un bracket lingual sur de la céramique? Ca ne doit pas etre coton quand
> meme.....Et avec quoi as tu diminué le diasteme?

Je te posterais d'autre photo plus tard mais

- je mesialise 4 et 3 avec un ressort niti qui est sous le gros pâté vert
- le gros pâté vert c'est un gel silicone utilisé pour une question de confort
- la couronne sur implant est une provisoire et serait faite en céram quand j'aurais finie le cas.

- Il n'y a rien de sorcier à coller sur de la céram. Lors d'un échange sur FB j'ai eu la surprise d'apprendre que certain de mes collègue Français utilisé de l'acide hydrofluorohydrique. Sans est suivie un échange bref du à la forte modération exercé sur le groupe en question mais :
Aucun avantage à utilisé un tell produit, c'est dangeureux, ça t'augmente le temps fauteuil et tu dois gérer l'état de surface de la céram derrière.
Perso porcelain primer d'ormoc, le seul défaut je dois passer 45 second de plus que sur une dent classique.
> -une autre question, le tartre, c idiot, mais peut on coller immediatement apres
> un detartrage des dents inf ou alors tu attends le rv suivant?

Je fais du collage indirect le plus souvent donc la question ne se pose pas, mais pour un collage direct pas de soucis si tu contrôle l’hémostase ( l'acide va aider )


--
หมอจัดฟัน


1309531 ours brun n5iukf - Eugenol
seespan

28/11/2017 à 01h33

ken écrivait:
---
> Bravo seespan,
> le premier cas est une reprise de traitement orthodontique ?

Non le patient n'a jamais fais d'ortho et aurais du faire un traitement complet mais pas intéresser. Il voulait un simple alignement des antérieurs .
--
หมอจัดฟัน


1309531 ours brun n5iukf - Eugenol
seespan

28/11/2017 à 13h49

Pour Adhoc une photo avec le ressort en niti

Sinon personne d'autre n'utilise les 2D ou un autre système qu'invisalign pour les alignement simple esthétique ?

Inman, clear correct , Roc ?

Juste pour info quand je vous disais que Align c'était un PAC, ça n'est pas que j'ai une dent pour contre la compagnie. Mais d'un point de vue résultat clinique si leur système est bon et facile d'utilisation ç'est loin d'être le seul sur le marché. Et se former avec d'autre système est toujours une bonne option pour l'avenir.

Si il y a des nonolien intéressé je peux ouvrir un autre post pour expliqué les bases importante pour commencé avec la 2D ( les conneries conne à ne pas faire pour ne pas se sentir con ) .
- les type de cas à choisir
- le matériel de bases
- les étapes labo eventuelle et clinique

--
หมอจัดฟัน

7 tz6tu8 - Eugenol

Avatar transparent iqadnc - Eugenol
adhoc

28/11/2017 à 17h51

Merci seespan pour la photo de ton ressort à a action expansive et pour tes explications.
C'est quoi la 2D??? :-)))


Images 1 qtgoxf - Eugenol
ciwil

28/11/2017 à 21h38

tu peux laisser ces forestadent en contention, ils sont bien supportés


1309531 ours brun n5iukf - Eugenol
seespan

29/11/2017 à 01h46

ciwil écrivait:
-----
> tu peux laisser ces forestadent en contention, ils sont bien supportés

Non ça je ne suis pas fan. Tu as un jeux important entre le slot et le fil et aucun contrôle du torque . Bref tu alignes les dents à l'instant T mais sur le long terme tu auras une possibilité de jeux.
Une contention c'est fixe ou ça casse.
J'ai vue en consultation une Taiwainaise qui 20 ans auparavant avait fait un alignement incisif avec les précurseur des 2D ( bracket type incisive du bas ). Ca avait était laissé en contention mais un petit encombrement c'était développé.
Plus le problème de l'entretien se pose car il faut voir quelqu'un qui sais comment utilisé les 2D.
Bref moins performant qu'une contention fixe et soucie potentiel dans le future.
--
หมอจัดฟัน


1309531 ours brun n5iukf - Eugenol
seespan

29/11/2017 à 01h53

adhoc écrivait:
-----
> Merci seespan pour la photo de ton ressort à a action expansive et pour tes
> explications.
> C'est quoi la 2D??? :-)))

Les 2D c'est soit :

- faire un traitement lingual sans contrôle de torque. Tu positionne tes brackets pour avoir un bon alignement mesio distal + occluso apical . Tu ne met aucune compensation dans la base en résine pour le torque.
- Terme aussi utilisé pour les 2D de Forestatdent vue que leur bracket on un slot rond et ne peuvent pas contrôler le torque.

Perso je vois mal l’intérêt de faire de la 2D avec des bracket linguaux classique ( je connais des labo qui propose l'option) Je ne vois que des désavantages Moins confortable ( ça c'est le point fort de forestadent aucun système aussi confortable ), plus volumineux avec un risque de décollement ( idou aussi les 2D de Forestadent ne se décollent que très très rarement) , plus compliqué à repositionner. Plus compliquer a gérer au niveau de stock.
--
หมอจัดฟัน


1309531 ours brun n5iukf - Eugenol
seespan

29/11/2017 à 01h58

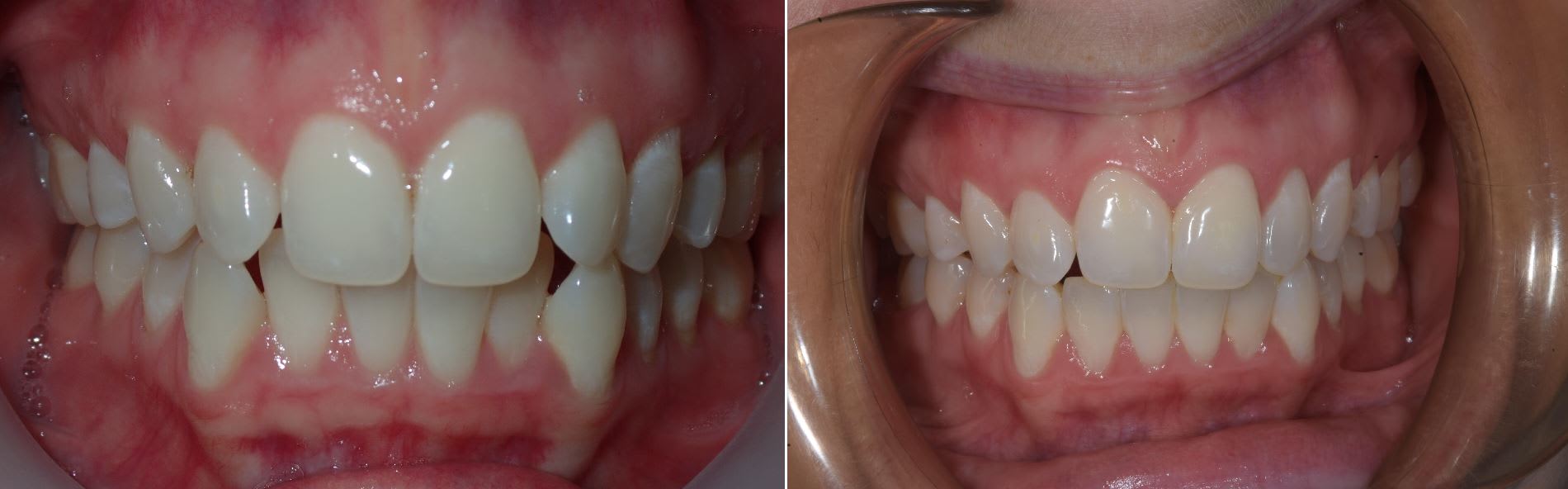
Et un petit cas que je colle demains.
Strictement pas ce que je conseil de faire pour débuter mais la ou la 2D se démarque avec un peut d'expérience au niveau clinique.

- Mise en oeuvre rapide, entre la prise d'empreinte et le collage en bouche peut se faire en 24h
- coût matériel faible
- Cas nécessitant à la fois de bouger toute les dents mais simple au niveau des mouvements. Bref un peut overkill à la fois pour invisalign, incognito ou Win
- Aucune interférence occlusal, le confort sera maximal.


--
หมอจัดฟัน

Dsc 8560 gpt4rm - Eugenol

1309531 ours brun n5iukf - Eugenol
seespan

29/11/2017 à 02h00

Sinon personne n'utilise d'autre système qu'invisalign pour les petits encombrement ?

Inman à excellente réputation, idou pour Clear correct.


--
หมอจัดฟัน


1309531 ours brun n5iukf - Eugenol
seespan

29/11/2017 à 02h12

Et pour la petite histoire j'ai deux généralistes de mon hosto qui commence des cas 2D de bases cette semaine.
Le truc marrant c'est que les deux ont commencé par faire des formations sur le linguale classique 3D, je leur avait expliqué qu'a part claquer du fric ( les dépenses pro ne sont pas déductible pour les salariés ) ça n'aller déboucher sur rien de concret, mais ils ne m'avaient pas crue.

2000 ou 3000$ plus tard ils sont devenue plus raisonnable.


--
หมอจัดฟัน


Images 1 qtgoxf - Eugenol
ciwil

29/11/2017 à 08h26

"mais ils ne m'avaient pas crue."
t'es devenu(e) ladyboy ? :)


1309531 ours brun n5iukf - Eugenol
seespan

29/11/2017 à 08h31

Mon dieux l'amis Ciwil participe encore une fois sans parler clinique.
Mon amis vue que tu bases une grosse partie de ton activité sur un système d'aligneur développé par tes soins tu pourrais peut être non faire partager ton expérience et montré quelque cas.

Je me souviens que tu me critiquer sur mon manque d'expérience en début d'exercice. Le truc c'est que mois des cas j'en montre. Avec tes X années d'expérience d'avance tu devrais avoir autre chose pour participé qu'une saillie drolatique pas drôle de si de là non ?


--
หมอจัดฟัน


Avatar transparent iqadnc - Eugenol
adhoc

29/11/2017 à 09h43

Toujours des questions!!!!
Tu fais une empreinte directe, je ne sais pas faire!
Avec quel produit fixes tu tes brackets sur le platre?
Qu'utilises tu comme materiau d'empreinte pour prendre en empreinte ton modele en platre et les brackets fixés dessus?
Y a t il des choses importantes a savoir losque tu repositionnes ton empreinte avec les brackets collés?
Utilises tu des brackets préencollés ou alors disposes tu ton composite toi meme sur les brackets.
Si tu pouvais faire des photos ^pour qu'on suive ce cas, meme des photos qui ne te semblent pas importantes, ca m'intéresserait bien!!!!

J'ai bien envie de me mettre un petit chouia (je ne suis pas spé) a la linguale, mais j'ai un peu la trouille, ca me parait tres difficile....


Directionsasuivre3   copie cxr7lb - Eugenol
ailleurs

29/11/2017 à 09h45

A la lecture du post, je crois que j'ai besoin d'une sérieuse remise à niveau en ortho; pour invisilign je sais où m'adresser avec mon chèque de 990; mais pour 2D, je fais comment?
Sinon, merci de nous faire découvrir d'autres voies.


Pubg2 rjl8jc - Eugenol
lemondestvaste

29/11/2017 à 10h39

Merci Seespan pour le partage de cas !

Pour une formation en France sur le 2 D il y a :

http://www.slot-concept.com/formation-orthodontie-dento-faciale/orthodontie-linguale-autoligaturante-simplifiee.php