Tous les forums
Alternative à Invisalign, 2D et autre
29/11/2017 à 12h49
adhoc écrivait:
-----
> Toujours des questions!!!!
> Tu fais une empreinte directe, je ne sais pas faire!
> Avec quel produit fixes tu tes brackets sur le platre?
> Qu'utilises tu comme materiau d'empreinte pour prendre en empreinte ton modele
> en platre et les brackets fixés dessus?
> Y a t il des choses importantes a savoir losque tu repositionnes ton empreinte
> avec les brackets collés?
> Utilises tu des brackets préencollés ou alors disposes tu ton composite toi meme
> sur les brackets.
> Si tu pouvais faire des photos ^pour qu'on suive ce cas, meme des photos qui ne
> te semblent pas importantes, ca m'intéresserait bien!!!!
>
> J'ai bien envie de me mettre un petit chouia (je ne suis pas spé) a la linguale,
> mais j'ai un peu la trouille, ca me parait tres difficile....
Je vais ouvrir un autre post, centré sur la 2D pour les débutants. Ici c'est plus pour faire connaitre d'autre système qu'invisalign qui est omniprésent principalement grâce à la pub.
--
หมอจัดฟัน
29/11/2017 à 12h55
ailleurs écrivait:
--------
> A la lecture du post, je crois que j'ai besoin d'une sérieuse remise à niveau en
> ortho; pour invisilign je sais où m'adresser avec mon chèque de 990; mais pour
> 2D, je fais comment?
> Sinon, merci de nous faire découvrir d'autres voies.
Quasi tout les labo faisant du lingual doivent avoir une option 2D. Sinon c'est relativement à faire chez sois avec du petit matos, mais il faut savoir ce que l'on fait.
Les cas que j'ai posté paraisse simple mais il y a des étapes en aval auquel il faut se former.
Perso j'ai fais avec un de mes prothésistes une formation de 5 jours sur les étapes de laboratoire pour faire un cas lingual 3D et j'y retourne re 5 jours en février. Le laboratoire en question offre différentes option
- full lingual avec set up et fil pré plier façon incognito
- simple prescription ( j'ai fait un court avec un orthodontiste lingual exclusif qui fait tout ses cas avec une simple préscription, ça lui prend 40 minutes pour faire le labo pour un cas ). C'est à dire que les seul pliure necessaire dans le fil (en théorie ) sont dans les sens vestibulo palatin .
- 2D dans la methode présenter plus haut il y a des compensation de résine sur certain dent pour minimiser le nombre pliure. Perso je ne suis pas fan car ça veut dire moins de confort pour le patient et le confort est super important pour une patientel adulte. Le patient s'habitue avec le temps , mais les traitement 2D sont par définition relativement rapide.
--
หมอจัดฟัน
29/11/2017 à 13h00
Et c'est revenue du labo en fin de journée.
L'impression 3D du set up final ( sert de modèle pour plier le file )
Le tray pour impression indirecte. Ici j'utilise un gel siliconé transparent qui est super pour les 2D .
Le truc le plus chronophage c'est de faire le set up 3D car il faut faire des mouvement réalistes. Le tray se fait en 5 minutes .
--
หมอจัดฟัน
29/11/2017 à 15h21
seespan écrivait:
-------
> Mon dieux l'amis Ciwil participe encore une fois sans parler clinique.
> Mon amis vue que tu bases une grosse partie de ton activité sur un système
> d'aligneur développé par tes soins tu pourrais peut être non faire partager ton
> expérience et montré quelque cas.
> หมอจัดฟัน
29/11/2017 à 15h41
Mais dans la série aligneur, vue que les finitions avec les 2D peuvent être délicate je commence à finir mes cas en vestibulaire avec des aligneurs.
Mouvement simple bien entendue :
Tipping, rotation , extrusion , intrusion.
J'ai commencé en faisant des set up que j'imprimé en 3D pour faire des aligneur et avec l'expérience de plus en plus c'est directement modification sur un model en plâtre.
Pour des petits mouvement c'est plus prévisible que plier le file ou repositionner les bagues ( enfin avec mois en tout cas ), le patient est content car on retire plus tôt , le temps fauteuil est réduit et le coût proche de zéro vue que je fais toujours une phase de rétention amovible avant de mettre une contention fixe.
Cette après midi j'ai tenté rotation et extrusion d'une 22 avec un seul aligneur.
Les 2D c'est un ortho US sur orthotown qui m'avait donnée la piste. Il nous disait que pour les cas simple type reprise de traitement, c'était plus prévisible, confortable et moins chère qu'invisalign. Je confirme.
Le même ortho c'est mis à combiner aligneur ( mais pas invisalign ) et bague. Clear correct pour la phase de nivellement, suivit de bague pour la partie inter arch et finition.
J'aurais bien tenté mais Clear correct n'est pas disponible au Cambodge , mais je fais passer l'idée .
--
หมอจัดฟัน
30/11/2017 à 08h13
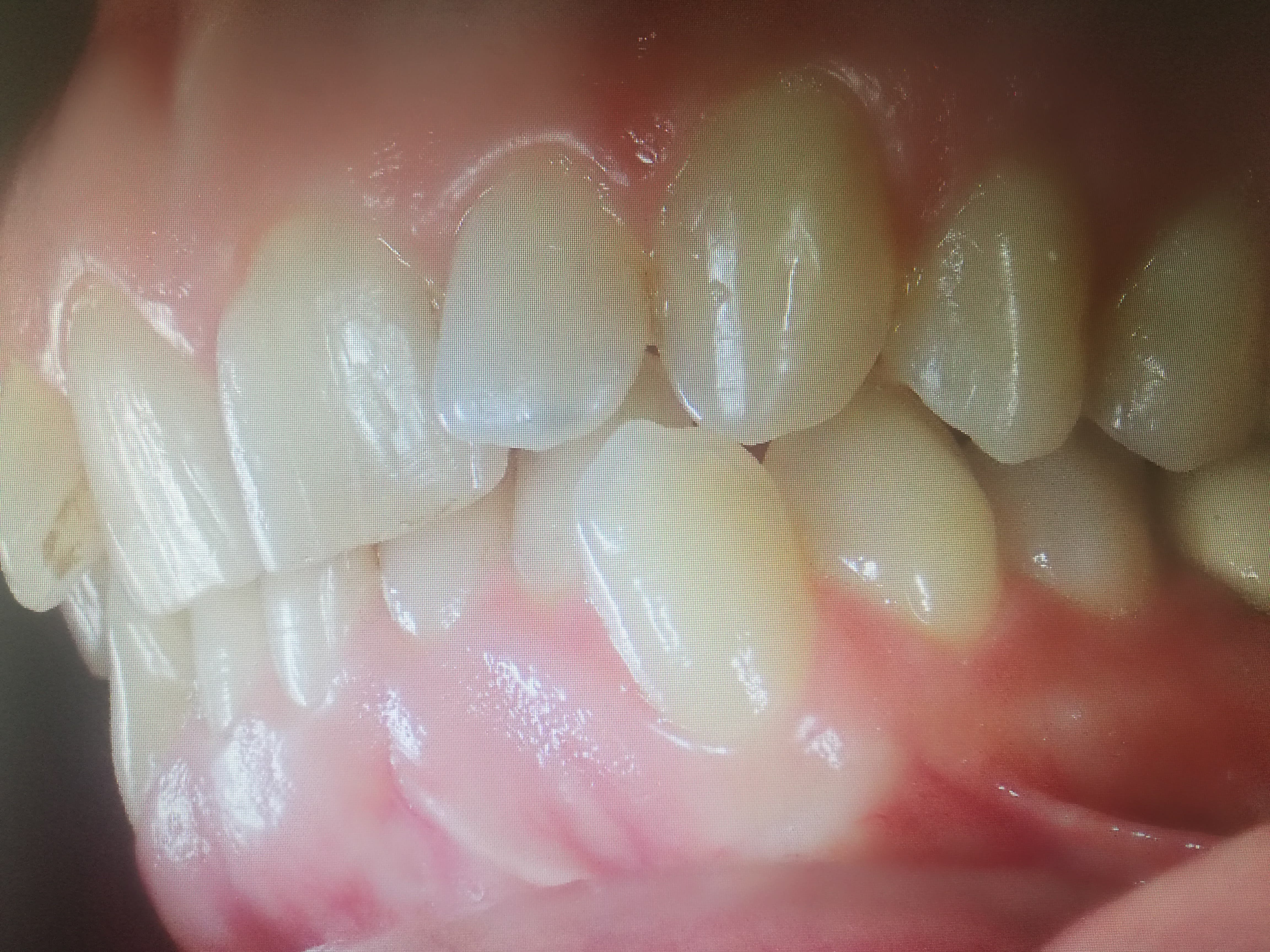
Et voilà collé ce matin.
Pour Adhoc tu observeras qu'il y a quatre couronne céramique en bouche et aucun soucies.
Lors de l'insertion du fil j'ai un peut bourriné et un bracket c'est décoller mais c'était au niveau d'une canine. Vue qu'il y a une base en résine adapté à l'anatomie de la dent , repositionner le bracket en bouche ne pose pas de soucie.
--
หมอจัดฟัน
30/11/2017 à 13h49
Généralement 0.12 niti
Pour mes deux derniers cas j'ai peut attaquer directement avec un 0.14 en haut, mais j'avais plié un niti 0.12 juste au cas ou...
--
หมอจัดฟัน
30/11/2017 à 15h49
dans le groupe fb on a déjà évoqué le sujet mais pour la manipulation des arcs niti et/ou thermiques, je ne peux que conseiller l'utilisation du Memory Maker distribué par Forestadent, même si tu avais parlé d'un système fait maison
30/11/2017 à 15h56
https://www.ncbi.nlm.nih.gov/pubmed/21536186
https://www.researchgate.net/publication/320179654_Mechanical_Properties_of_Curved_Nickel-Titanium_Orthodontic_Archwires_Prepared_by_Cold_Bending_and_Heat_Bending_Techniques
Le deuxième articles deux de mes prof à Mahidol y ont participé :-)
Les machines type Memory Maker on leur utilité mais pas pour les pliages de bases. Même résulutat voir meilleur en pliant à froid.
Perso je m'en sert surtout pour le stain less steel quand je veux augmenter la rigidité
PS : le système fait maison c'est une batterie avec deux pince et une pédale pour activer avec le pied.
--
หมอจัดฟัน
01/12/2017 à 06h52
Un exemple d'usage du traitement thermique.
Cas lingual, on à eu un effondrement de la molaire dans l'espace d'extraction . Ici soucis si j'utilise un fil niti continue je vais avoir des effet secondaire sur la prémolaire, utiliser un uprighting spring serait bien sur idéal mais en lingual pas évident à mettre en place .
Avec un SS on peut faire des boucles mais seul soucie en lingual pas évident de faire de grosse bouche car on touche rapidement le palais. Of course un très bon plieur peut s'en tirer mais je ne suis pas un dieux du pliage de fil.
Ici j'ai plié un arc SS 16 22 classique et ai fait une petite boucle ( notez que malgré la taille réduite l'on pouvais difficilement faire plus gros. Puis traitement thermique du file jusqu'a la boucle. Résultat mon file devient plus rigide en sur la partie qui n'est pas censé bouger. Mécaniquement ça équivaut à augmenter la taille de la boucle.
--
หมอจัดฟัน
02/12/2017 à 19h35
moi jutilise beaucoup de win.
parfois que de 5 à 5 pour les petits alignements.
il y a fks orthodontics ou comme comiro qui individualisent des brackets et fils et qui proposent du collage indirect avec un cout plus raisonnable.
je nai qu'un cas pour linstant de fks et plus de win.
03/12/2017 à 02h31
Win c'est le gold standard niveau precision mais la technique à ses défaut . Coût mis à part comme incognito ça n'est pas le mieux adapté à mon sens pour les petit encombrement ou les travaux pré prothétique
FKS c'est plus ou moins ce que fais le labo sur Chang Mai mais je ne sais pas qu'elles méthode de labo ils utilisent.
http://www.torque-angulationlab.com/
Petter Sheffield est un peut incontournable en lingual dès que tu sort des système clèe en main. C'est là qu'on à fait notre formation sur les étapes de labo en lingual et acheter les machines. Il à un profil assez particulier, c'est le seul prothésiste à ma connaissance qui est inviter comme conférencier dans les congrées sur le lingual et qui publie régulierement des articles de recherche.
Les machines qu'il à créé sont très populaire, ça coute pas des tonnes et ça permet un travail de précision.
Pour l'instant j'ai fais le travail de labo pour six cas de lingual 3D. Deux ou je n'ai fais qu'une simple préscription et quatre avec full set up.
Ma première patiente ça à était la réceptionniste à mon étage, je te dis pas le potentiel com pour expliqué l’intérêt du lingual au patient. Ils commencent tous par parler avec elle avant de me voir et aucun qui ne s'aperçoit qu'elle à un appareillage en bouche.
--
หมอจัดฟัน
04/12/2017 à 13h29
Il semble que Kevin'o Brien soit sur le même rythme que mois
http://kevinobrienorthoblog.com/invisalign/
--
หมอจัดฟัน
04/12/2017 à 15h15
Exactement Seespan
Kevin O'brien est contre la dérive de l'orthodontie vers le coté commercial .
A partir de ses blogs , il n’hésite pas a critiquer les pubs sur les accélérateurs des traitements orthosontiques ( autoligaturants passifs ou actifs, gouttières , acceldent .....).
Défenseur du Twin block et pour lui les gouttières d’éducation fonctionnelle doivent donner plus d'argumentation pour qu'elles soient intégrer dans nos plans de traitement ...
04/12/2017 à 15h23
Dans le cas d'invisalign l'on est dans une situation unique à ma connaissance dans le domaine dentaire. Un fournisseur de matériel se lance dans la réalisation de traitement dentaire.
Pour les dentistes se pose la question de l’intérêt de se former à une technique qui les concurrences directement pour moins chère.
Si encore c'était incontournable mais d'autre système existe.
--
หมอจัดฟัน
04/12/2017 à 16h11
seespan écrivait:
-------
> Dans le cas d'invisalign l'on est dans une situation unique à ma connaissance
> dans le domaine dentaire. Un fournisseur de matériel se lance dans la
> réalisation de traitement dentaire.
>
> Pour les dentistes se pose la question de l’intérêt de se former à une technique
> qui les concurrences directement pour moins chère.
> Si encore c'était incontournable mais d'autre système existe.
>
invisalign joue pour sa pomme et ils sont bien obligé de le faire.
Leurs clients via l’évolution des techno vont devenir rapidement leurs concurrents directs.
Frappe préventive, c'est à la mode :D
03/01/2018 à 21h24
Comme adoc, j'ai toujours refuse le lingual, meme les 2D.
pour les petit cas simple, et parce que il ne faut pas completement negliger les aligneurs, je suis inscrit a invisalign go en janvier.
Mais je vais contacter jean françois ernoult, cela me donnera l'occasion de le revoir ( j'avais fait le cursus du cranium )
04/01/2018 à 01h32
Les 2D ça demande un investissement temps/ formation.
Mais l'avantage c'est que tu peut les utiliser avec un investissement labo très faible. Niveau confort c'est aussi inégalé.
Douleur au début comme avec tout système faisant bouger les dents, mais aucune gène à l'élocution ( enfin mois en 3 ans pas encore eu un cas ), aucune limitation dans l'alimentation.
Le soucis majeur c'est l'apprentissage, il n' y a aucune formation sérieuse existant pour ce système, donc tout doit s'apprendre en autodidactes et sans bases solide en orthodontie c'est le plantages quasi assuré.
Sinon question aligneur pour les alignement simples il y a d'autre boite qu'invisalign.
--
หมอจัดฟัน
08/01/2018 à 14h35
Et une petit video sympa :-)
Le service com à fait une video pour le FB de l'hopital sur l'orthodontie lingual, of course c'est en Khmer.
C'était le sixième patient ou j'ai fait mois même tout seul comme un grand le travail de labo.
On a due faire le collage en deux séances ( c'est la raison pour laquelle les attentif verons qu'entre le moment ou le patient rentre dans la salle de soins et le moment ou il s'assoit sur le fauteuil l'assistante à changée :-) .
Ici cas de camouflage class II. Due à la forte proclination des incisives je me suis retrouvé avec des pad en résine un peut trop épais donc j'ai préféré faire un collage directe de 2D pour le bloc incisivo canin inférieure.
L'interview à lieux juste après le collage de l'appareilage du bas.
Bien sure faire son labo c'est pas tellement réaliste en France, mais avoir des connaissance de bases rend quand même service.
Pour la technique d'intendo les machines coutent 7000$ la paire, comparé au cout d'un appareillage invisaligne c'est peanuts. Et sans faire tout le labo sois même, elle peuvent rendrent bien service pour modifier une attache, ou un traitement en corut de route.
--
หมอจัดฟัน
08/01/2018 à 19h49
Bonsoir seespan
C’est magnifique, bravo .
Rregardes le blog d’aujourd’hui , Kevin o’brien a critiqué acceldent et a confirmé qu’il ne sert à rien !
http://kevinobrienorthoblog.com/no-evidence-that-acceledent-increases-the-rate-of-space-closure/
09/01/2018 à 06h18
C'est pas nouveau qu'acceladent ne marche pas :-) .
Quand j'était en master je voyais pas mal d'ortho US qui l'utilisé, puis les études montrant que ça ne marchait pas sont tombé et très rapidement je n'ai plus vue mention de l'appareil.
Nos amis US / canadien / Australian sont très évidence based :-)
--
หมอจัดฟัน