Cookie Consent byPrivacyPolicies.comDébuter en 2D Forestadent ou autre - Eugenol

Débuter en 2D Forestadent ou autre

1309531 ours brun n5iukf - Eugenol
seespan

29/11/2017 à 13h59

Guide pour commencer en lingual 2D

Lors du premier court que j'ai suivie en orthodontie lingual ( Faculté de Daegu en Corée ) le Pr Hee Moon Kyung à commencé par nous dire que chaque année il y avait une trentaine de participant et environs 10% aller faire du lingual par la suite.
Pas mal de praticien qui essaye mais peut qui dévellope réellement une activité régulière.
Pour avoir investie énormément dans le lingual dès mon master et discuté avec des praticiens ayant essayé d'avoir une activité lingual et abandonné il apparait que les deux sources d'échec principal sont :

- Mauvais travail de laboratoire ( ou attente irréaliste du praticien ) qui fait exploser le temps fauteuil et rend quasi impossible l'obtention d'un résultat satisfaisant
- MAUVAISE SELECTION DE CAS

Faite une erreur sur votre premier cas et vous êtes quasi assurer d'un échec ou d'une expérience qui ne vous donne pas envie de persévérer.

Je vais vous d'écrire ici tout le matériel nécessaire (pas grand chose) et quel type de cas sélectionner pour réaliser un traitement 2D de base. L'idée étant de commencer sur des cas facile à gérer pour acquérir l’expérience nécessaire pour gagner en complexité si vous le souhaiter.

Sélection de cas :

Encombrement incisif mandibulaire pouvant être traiter par simple alignement/ stripping. Prévenir le patient que vous essayer une nouvelle technique et que si ça ne marche pas vous devrez finir avec sois des bague soit des aligneurs.

Meme si tout est simple en théorie, il y a de nombreux nouveau élément à gérer ( collage indirect ou direct en lingual, nouveau bracket, pliage de file, ect ) , sans expérience personnel impossible de garantir que vous allez pouvoir finir ( ou que vous n'aller pas en avoir marre ) . Prévenir le patient que vous débuter et prévoir une porte de sortie avec une méthode que vous maîtriser c'est un cas qui ne vous stressera pas quoi qu'il arrive.

Important de commencer en bas car :

- le dégrée d'attente du patient niveau résultat sera bas. Vous pouvez viser plus une amélioration qu'un résultat parfait. Si joint une photo d'un " échec " clinique après six semaine de nivellement initial ( quand j'avais dis à la patiente de revenir après deux semaine ) . La faute ? Ben il y a un black triangle et les dents ne sont pas toute à fait au meme niveau.

- Niveau collage c'est très simple en direct ou en indirect . En haut c'est déjà plus délicat

- pliage de file ultra simple vue qu'il n'y a qu'une courbure au niveau Canine incisive. Mécaniquement aussi plus simple qu'en haut.

Matériel

Bracket 2D forestadent : un seul modèle pour débuter le 760 1026 , une vingtaine sa suffit pour faire trois cas d'alignement simple.
Pour un collage indirect : Maximum cure de reliance

Protocole :

- Prise d'empreinte alginate. laisser en bouche 30 seconde après la prise et retirer en basculant sur les cotés. Si vous retirer trop tôt vous risquer de retirer le model dans la phase de déformation plastique.
- Sur le modèle en plâtre marquer l'axe des dents et la hauteur ou vous voulez situer situer le slote . Reporter la même hauteur sur chaque incisive et descendez 0.5 mm plus bas pour les canines.
- Diluer de l'isolant à plâtre avec 50% d'eau, mettre deux couches et laisser sécher.
- Coller les brackets avec votre colle a bracket habituel sur le modèle en plâtre.
- Faite une clé en silicone . vous pouvez faire light et lourd mais seulement du lourd ça suffit.
- Laissez tremper dans l'eau 30 minutes.
- Retirer la clés en silionne
- nettoyez l'intrado des bracket avec de l'alcool
- Plier un fil de niti 12 et 14 pour suivre la forme d'arcade naturel au niveau des incisive.

- Coller en bouche
- Mettre un point de composite entre la canine et la première prémolaire.
Insérer le fil.

--
หมอจัดฟัน

Mawd8aqedx1ieirnenka - Eugenol
Wouq2u9u1af3qeavdwxv - Eugenol

ken

29/11/2017 à 19h10

Bonsoir Seespan,
Merci beaucoup pour toutes ces infos !
Bravo pour les résultats .
Je n’hésiterai pas essayer la technique lingual 2D avant d’assister à un cours qui sera diriger par le professeur Kyung ici au maroc en février 2018 .
Il y a aussi un cours qui sera animé par le professeur Fillon sur le lingual.
Bonne continuation .


ken

29/11/2017 à 20h16

http://www.forestadent.com/documentpool/online-katalog34/html5/index.html?&pn=29&locale=FRA


Avatar transparent iqadnc - Eugenol
adhoc

29/11/2017 à 22h14

Merci infiniment, seespan, pour le temps que tu nous donnes. J'ai une autre question, ca te paraitra peut etre idiot, mais tant pis.
Tu as bien répondu a ma question sur cette méthode de collage direct.
Mais quand meme, les brackets, ca revient cher, si on les colle sur le platre avec notre composite , ils sont perdus, non? Et le composite de collage est aussi tres cher....Et en dehors du pognon qui m'indiffère un peu, je n'aime pas le gachis des ressources!!!!
Est ce qu'il existerait un moyen, seespan, de coller tres faiblement ces brackets (par exemple avec de la colle de bureau ou de la cire ) sur le platre, et de les récupérer directement sur la clef en sillicone?


1309531 ours brun n5iukf - Eugenol
seespan

30/11/2017 à 01h54

Tu colles les bracket sur le plâtre et ils restent dans la clèe en silicone. C'est pour ça que tu met une couche d'isolant qui est soluble dans l'eau et laisse tremper pendant une demie heure.
Au passage tu peut aussi le faire sans isolant ( ce que faisait le labo du Dr Fillion avant de connaitre la méthode pour l'utiliser correctement ) mais il faut faire tremper dans l'eau toute la nuit et nettoyer la base après.

Tu utilises exactement la même quantité de bracket et de colle que tu fasses du collage direct ou indirect.

Après il y a deux methode pour le collage indirect.

- Custome base : c'est ce que je fais. Tu colles le bracket sur le model en plâtre et transfert le tout en bouche.
Avantage : le bracket est parfaitement adapté à la dent et le positionnement est parfait si tu peut inséré le tray correctement ( si il y a des contre dépouille les combler avec de la cire avant de faire le tray . Tu peut utiliser à la fois de la colle auto ou photo .
C'est la méthode de choix pour le lingual car tu dois avoir une base customisé dans tout les cas.

Base propre : tu positionnes tes bracket avec un produit soluble dans l'eau ( bonbon collant ou dure que tu ramollis à la flamme. ) . Tu fais ton tray par dessus puis tu laisse tremper dans l'eau.

Avantage : c'est super facile à mettre en place et tu n'as besoin d'aucun produit particulier à part du caramel , même pas besoin d'isolant sur le platre. C'est historiquement comment les premier collage indirect on était réaliser.

Désavantage :

- Putain c'est chiant : j'ai fais quelque cas comme ça avant d'avoir des produits plus adapté et c'est très chronophage. Le temps de travail du sucre chaud est court
- Tu as des espaces variable entre la base du bracket et la dent. Bonne chance pour mettre la bonne quantité de colle sur la base. SI tu n'en met pas assez tu as un espace et le bracket tombe, si tu en met trop tu à un excés qu'il va falloir nettoyer.
- Tu est plus ou moins obligé de travailler avec une colle photo et donc d'avoir un tray transparent. Travailler avec une résine auto c'est trop délicat.

Pour le collage indirect j'utilise Therma cure de Reliance.

Ca prend à 190°. Donc tu peut positionner tes bracket en toute sérénité et changer la position même un ou deux jours plus tard.
Un four à 30 euro suffit pour polymériser le produit.


--
หมอจัดฟัน

Dsc 8619 w8h3ys - Eugenol

1309531 ours brun n5iukf - Eugenol
seespan

30/11/2017 à 02h27

ken écrivait:
---
> Bonsoir Seespan,
> Merci beaucoup pour toutes ces infos !
> Bravo pour les résultats .
> Je n’hésiterai pas essayer la technique lingual 2D avant d’assister à un cours
> qui sera diriger par le professeur Kyung ici au maroc en février 2018 .
> Il y a aussi un cours qui sera animé par le professeur Fillon sur le lingual.
> Bonne continuation .

Par expérience aller à ce genre de court est inutiles si tu n'as pas une bonne connaissance du sujet à la base ( livre et articles sur le lingual ) . Il y a énormément d'information à digérer ( labo, collage, mécanique, ect ) et le cerveau sature très vite. Tu peut prendre des notes of course mais c'est plus malin de faire le travail d'intégration des bases théorique avant la dite formation.

Le meilleur livre sur le lingual est à mon avis celui de Hee Moon Kyung distribué par dentos

http://dentos.co.kr/2010/catalogues/2015_Book_Catalog_2ed_L.pdf

Je l'avais commandé quand j'était en master et c'est beaucoup mieux structuré et didactique que les autres sur le marcher.

Avoir quelque cas en court de lingual même si c'est de la 2D c'est aussi un gros plus, car tu as déjà un pied dans le bain.

L'idée pour un débutant voulant se lancer dans le lingual 3D étant de faire un cas qu'il sait qu'il peut finir en 2D en cas de besoins .

J'ai commencé à faire mon labo pour des cas de 3D, ne n'ai commencé que des cas simples qu'en cas de besoin je peut traiter en 2D + aligneur si nécessaire.

--
หมอจัดฟัน


Vw campersurfvan bmnk1q - Eugenol
enlaye

30/11/2017 à 08h17

adhoc écrivait:
-----
" Merci infiniment, seespan, pour le temps que tu nous donnes."
+1


ken

30/11/2017 à 12h28

Bonjour Seespan,
merci beaucoup pour toutes ces informations et conseils.
il y a aussi un livre que je n'ai pas encore lu même si je l'ai dans dans ma biblio.
(Orthodontie linguale par pierre canal , laurent desol, Dirk Wiechmann)
un autre livre lingual orthodontic de Romano


1309531 ours brun n5iukf - Eugenol
seespan

30/11/2017 à 14h09

Le livre de Dentos est le meilleur à mon avis. Très synthétique et systématique dans ses explications sur la mécanique de base.
Après il décrit une mécanique utilisant double slote + Auxillary et si c'est très séduisant d'un point de vue intellectuel en pratique c'est trop compliqué et n'apporte pas d'avantage réel.

Le lingual il y a des éléments nouveaux/ différent par rapport au vestibulaire mais ça n'est pas une science ésotérique .

- étape labo obligé sauf cas simplissime. Connaitre les bases du collage indirect et les différentes option. Connaitre les différentes écoles en lingual . straight wire, mushroom arc , edge wise, Ribon wise . Déjà si tu connais pas ça choisir un labo ou discuté avec eux ça risque d'être compliquer .

- Mécanique un peut différent. Par exemple si tu as un cas avec extraction tu dois avoir un fil droit obligatoirement durant la phase de retraction ( a moins que tu ne veuille fermer en pliant un file avec des boucles ... ), moins d'espace entre les bracket ce qui change pas mal de chose. des effets secondaire différent du vestibulaire

- Matériel et méthode de travail différente.

Mais normallement n'importe quel livre un peut bien construit aborde tout ces sujet.

PS : le lingual c'est surtout des articles .
-


--
หมอจัดฟัน


1309531 ours brun n5iukf - Eugenol
seespan

30/11/2017 à 14h36

enlaye écrivait:
------
> adhoc écrivait:
> -----
> " Merci infiniment, seespan, pour le temps que tu nous donnes."
> +1

No soucie. Le département d'orthodontie de ma fac m'a demandé de faire un court sur la 2D pour les cas simple ( je leur poste des cas de 2D depuis plus de 2 ans ), le mois prochain.
Pas mal d'enseignant du département on fait ou on eu fait du lingual mais aucun qui utilise les 2D qui est quasi inconnue en Asie du Sud Est. Et comme indiqué le système si il a des limitations à aussi de gros avantages par rapport au système linguaux plus conventionnel. Notamment le confort , le prix et la vitesse de mise en oeuvre.
Par exemple ce matin nouvelle patiente. Cas classique de récidive orthodontique. Engrènement occlusal parfait de 7 a canine et encombrement incisal haut et bas. Patient pas sure de vouloir vestibulaire ou lingual. J'ai pris une empreinte alginate et un acompte avec rendez vous pour la pose ce Samedi. Il m'indiquera son choix demains. Si c'est lingual collage indirect dans la soirée et pose le lendemain, si c'est vestibulaire collage direct.
Au mieux avec invisalign, incognito ou Win tu aurais put prendre en scan intra oral et n'envoyé qu'après confirmation du patient mais niveau acompte vue le prix de la facture labo on ne parle pas des même somme, idem pour les délais pour recevoir le matos.

Enfin bref je béta test les éléments du court avec vous :-) . N'hésiter pas à poser plein de question niveau matos, protocol ect .

--
หมอจัดฟัน


1309531 ours brun n5iukf - Eugenol
seespan

30/11/2017 à 14h45

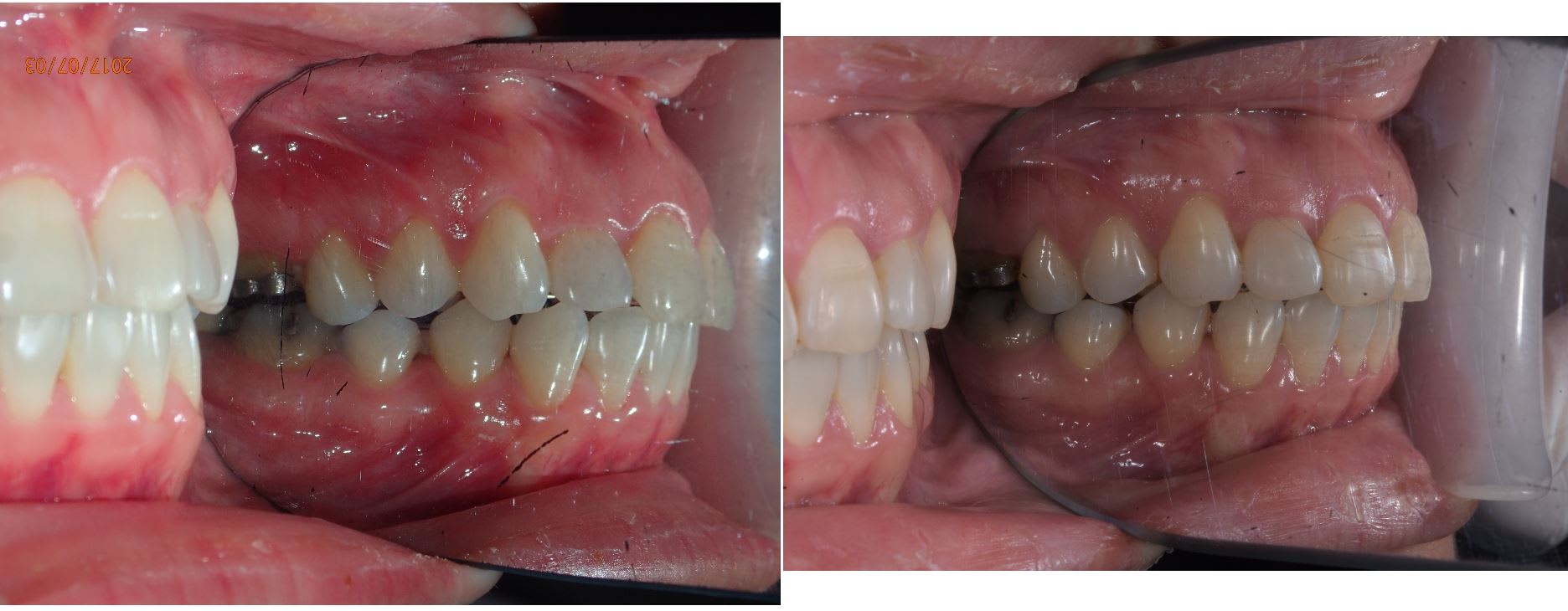
Patiente ou j'ai collé les bagues la semaine dernière.
Pour le lingual je fais toujours un contrôle à une semaine si possible.
Illustration parfaite de pourquoi je vous dis de ne pas commencer avec un cas maxillaire. A une semaine on est toujours dans la mobilité physiologique ( la dent bouge dans l'espace ligamentaire ) pas dans le vrais mouvement osseux.
Mais vous voyer déjà avec l’alignement des incisives sup un espace interdentaire ( black triangle ) auparavant invisible. Sur un traitement vestibulaire les patients en s'en aperçoive le plus souvent pas, mais sur du lingual vue que les dents ne sont pas masqué par les bagues ça leur saute souvent au yeux et ils se plaignent . Sur ce cas la patiente ne l'avais pas remarqué , mais je l'ai prévenue du phénomène et lui ai indiqué que si c'était un soucie l'on pourrait le supprimer au prochain rendez vous .
C'est pas ultra compliqué à gérer mais si vous pouvez éviter ce genre de complication avec un patient au exigence élevé sur vos premier cas c'est mieux.


--
หมอจัดฟัน

8 ixdynm - Eugenol
88 qqsscz - Eugenol

ken

30/11/2017 à 18h49

Bravo seespan,
Et merci encore
Tes conseils me sont très utile pour démarrer le lingual.

Pour le trou noir : son apparition est le résultat d’une DDD (12 et 22 ont une formes proche aux grains de riz et la 11/21 sont triangulaires !)
Un stripping entre 11/21 et une coronoplastie de la 12/22 fermeront les espaces mais avec un contrôle de torque pour ne pas vestibuler ( je crois qu’une chaînette de la 13/23 passant par des boutons en vestibulaire 11,12,21,22 jouera le rôle de contrôle de torque antérieur en même temps fermera les espaces.


1309531 ours brun n5iukf - Eugenol
seespan

01/12/2017 à 06h40

La question ici n'est pas tellement l'origine du black triangle vue que c'est très fréquent chez l'adulte. Ni la question ou non d'une coronoplastie ( je rappelle que j'ai fait un set up virtuel pour ce cas :- ) ) , ici la patiente à une agénésie d'une incisive inférieur ce qui explique que l'on a une occlusion initial correct avec des 12 et 22 riziforme qui corrige l'inbalance de bolton qui aurai du se produire.

La question est comment gérer le black triangle dés le début du traitement car pour le patient ça peut être un réelle problème ( genre elle t'alpague à un mariage et t'explique qu'elle ne peut pas sourire mais qu'elle ne t'en veut pas et que pour son fils par contre tu t'ais pas loupé )
Utilisé des élastique en vestibulaire pour torquer ça peut se faire mais deux défauts :

1 je n'ais vue la technique utilisé qu'avec du SS 16 22 , pour rappel je n'en suis qu'au niti 14 ici et il m'arrive de ne pas dépasser le niti 16, tu essayes de faire ça ici et tout s'effondre.
2 Ca passe sur un cas vestibulaire car il y a des bagues mais en lingual ça serait moche et non accepté par le patient

Non ici il suffit de faire un stripping léger et d'utiliser du fil élastique avec faible tension

--
หมอจัดฟัน


1309531 ours brun n5iukf - Eugenol
seespan

01/12/2017 à 13h47


Et un deuxième généralistes de mon hosto a poser des 2D aujourd'hui ( il avait prévue large, bloqué deux heure sur le planning :-) . Bilan des courses :

- un cas qui était l'indications parfaite pour débuter, petit encombrement léger mandibulaire et ou la dentiste n'a pas écouter ce que je luis avait pourtant expliqué très clairement et choisit le mauvais type de bracket ( je vous met la photo demains ) . D'autant plus étonnant que je luis avait indiqué encore plus clairement que j'avais mois même fait la connerie sur un de mes premier cas :-) .

- Un cas qui n'était pas du tout l'indication idéal pour la 2D . Léger crowding sup, gros crowding inf et relation edge to edge, ce qui se traduit si vous mettez les bracket haut bas en même temps par un cross bite antérieur.
Aussi très étonnant car le généraliste en question touche quand même pas mal en ortho et n'aurais jamais fait la gaffe de poser les bracket en haut et en bas en vestibulaire sur ce genre de cas.

Bref ça confirme ce que je vous disais. Les deux sources d'erreur majeur sont un mauvais travail de labo et une mauvaise sélection de cas. Ici si non encadré aucun des deux n'aurais eux une expérience satisfaisante avec ce système.

Si des nonolien sont intéresse pour se lancer vous pouvez m'envoyer la doc du cas en mp pour avis ou la poster sur ce file.
Les photo des modèles en occlusions de face, coté droit , coté gauche et vue occlusal suffisent. Vous pouvez aussi tracer au crayons la position ou vous voulez placer le slot des bracket. Mais enfin sur un modelé mandibulaire inf il n'a que les canines ou vous pouvez vraiment vous planter.

--
หมอจัดฟัน


1309531 ours brun n5iukf - Eugenol
seespan

03/12/2017 à 08h36

Je voulais vous poster une photo du cas posé avec les mauvais bracket mais même pas besoins comme indiqué j'ai fait exactement la même gaffe quand j'ai débuté avec les 2D .
Je pensé que les bracket avec une seul boucle serait plus confortable et que vue que je faisais une mécanique par tipping suffisant.
1 C'est pas plus confortable
2 Vous perdez le contrôle de la rotation et de l'angulation mésio distal de la dent
3 finish quasi impossible.

C'est petit bracket c'est pour quand l'encombrement est trop important pour mettre un bracket plus gros


--
หมอจัดฟัน

999 qgd19j - Eugenol

1309531 ours brun n5iukf - Eugenol
seespan

03/12/2017 à 08h41

Le cas commencé par l'autre généralistes.
Ici ça se traite avec la 2D , mais le cas est loin d'être simple et pas conseiller pour débuter due à la forte propension qu'il va avoir à partir en crosse bite.



--
หมอจัดฟัน

2d d photos to classify 1 lidenz - Eugenol
2d d photos to classify 2 c1jmuq - Eugenol
2d d photos to classify 3 qpbzrj - Eugenol

1309531 ours brun n5iukf - Eugenol
seespan

03/12/2017 à 08h44

L'exemple type du cas parfait pour débuter.
Simple crowding, cas qui se traite par simple tipping and contrôle de la rotation.
les 2D sont un excellent système mais avec une courbe d'apprentissage.

- Bracket sans aucune prescription
- mécanique lingual
- Gestion du collage en direct ou indirect
- patient avec un niveau d'attente élevé

Commencez avec des cas simples.


--
หมอจัดฟัน

2d d photos to classify 4 xjkpfy - Eugenol
2d d photos to classify 5 jvybwm - Eugenol
2d d photos to classify 6 w3nxvm - Eugenol

Gariane

03/12/2017 à 10h40

Bonjour
Débutante en lingual , la difficulté est d’abord pour moi la sélection du cas à traiter en 2D ou 3D . Le patient vient toujours pour les incisives , mais peut on en rester là lorsque l’on voit en plus un cross bite postérieur , une supra , une bipro avec incompétence labiale hyper divergence ? Perte de chance de traiter en 2D plutôt que 3D ?


1309531 ours brun n5iukf - Eugenol
seespan

03/12/2017 à 10h49

Ca il faut en discuter avec le patient.
J'ai eux plusieurs cas ou le patient à refuser un traitement complet et ne voulais qu'un alignement antérieur.
Les raisons sont multiples : financière, manque de temps et " I didn't come for this "
Dans ce cas là pas vraiment de perte de chance car l'alignement n’empêche pas un traitement complet par la suite.

Pour la sélection entre 2D et 3D ça ne se fait pas avec la logique : traitement complet ou simple alignement antérieur, mais suivant des critère mécanique et technique.
Pour faire simple : pense tu pouvoir traiter le cas avec des 2D les mouvement à réaliser nécessite t'il la 3D.
Ne pas oublier que la 2D peut se faire avec des bracket classique, c'est juste que le labo ne controle pas le torque.


--
หมอจัดฟัน


Gariane

03/12/2017 à 11h17

Je suis d’accord avec toi . Proposes tu toujours un traitement complet au patient ? Le cross bite post uni ou bilatéral est il à traiter systématiquement ou occlusalement acceptable ? Merci de tes conseils


1309531 ours brun n5iukf - Eugenol
seespan

03/12/2017 à 11h26

Je fais une analyse de cas avec toute la documentation standard et discute ensuite avec le patientes des différentes option possible.
Un patient qui ne veut qu'un simple alignement c'est pas forcement 2D , ça peut aussi être céramique, bague métal ou plastique. .
Pour les différent type de mouvement c'est à toi de voir ce que tu penses possible.

Ici un petit cross bite sur un cas full 2D . Plus compliqué j'ai jamais essayé. Ici avec de simple crosse elastic il n' y avait aucune raison qu'une correction ne soit pas possible et pas de justification pour la 3D


--
หมอจัดฟัน

Cb1 qnzota - Eugenol

Gariane

03/12/2017 à 12h45

Joli petit cas !
Je vais surtout revoir mes cours d’occluso .....
C’est vrai que la technique dépend de ce que tu veux faire .
J’ai récemment raté un cas de lingual 2D > dans le traitement d’un articulé inverse d’une 12 .j’ai corrigé le pb , mais par version de la 12 donc sans torque et la patiente s’est plainte du collet trop rentré . Erreur de débutant.


1309531 ours brun n5iukf - Eugenol
seespan

03/12/2017 à 12h53

Oui les patients ont un fort niveau d'exigence au maxillaire sup en anterieur. C'est la raison pour laquelle je dis de commencer en bas.
Ensuite l'on peut torquer une dent avec les 2D sur la patiente en question je suis en train torquer la 22
Ne pas oublier que les Australien on utiliser une mécanique de Begg pendant plusieur décade. Et Begg ça n'est qu'avec du file rond dans un slot rond.
Donc il est parfaitement possible de torquer avec les 2D


--
หมอจัดฟัน

T ab4hm3 - Eugenol

Gariane

03/12/2017 à 22h45

Superbe! J’admire !
Tu n’aurais pas une photo en palatin montrant le système ?
Je sais qu’il y a une revue d’odf Qui explique comment faire du torque avec’du Fil rond mais je ne sais plus laquelle .
Et j’ai jamais fait de Begg . En tous cas , nos anciens confrères étaient rudement ingénieux et bien meilleurs que moi en biomeca . Respect!


1309531 ours brun n5iukf - Eugenol
seespan

04/12/2017 à 01h47

Une piste pour trouver comment torquer avec du file rond.

https://www.eugenol.com/sujets/399722-devinette-odf-interdit-aux-anciens


--
หมอจัดฟัน


12...

Ce sujet est verrouillé

Les réponses à ce sujet sont désactivées