Cookie Consent byPrivacyPolicies.comBridges grande portée sur armature zircone - Eugenol

Bridges grande portée sur armature zircone

Nouveau image bitmap fz77zh - Eugenol
Sethef

09/12/2017 à 12h04

Yo.

Je viens de récupérer le cas d'une patiente que j'aime bien, qui nécessitera probablement à court terme un grand bridge de contention, genre de 6 à 6, j'hésite encore à tout réaliser d'un seul bloc ou en 3.

Pour des questions esthétiques principalement, j'aurais aimé bosser sur ceram pure, et on ne me prendra pas à réaliser des inter sur emax.

Donc 2 questions: certains ont-ils l'expérience de bridge postérieurs full zircone, sur 1 ou 2 inters, avec de larges sections de pontique, paro oblige?
-surtout, y'a-t-il une limite à la taille de ce que l'on peut usiner sur un seul bloc zircone? 1 élément, 6, 12?

J'en suis encore à bosser le truc, donc je cherche déjà à savoir ce qui est techniquement faisable avant de pousser plus loin.


Vw campersurfvan bmnk1q - Eugenol
enlaye

09/12/2017 à 13h43

en gros ç est pareil qu'un bridge ccm , en plus facile .
je te conseillerais vivement un bridge prettau zirkonzhan.
googuelise la dessus .


Nouveau image bitmap fz77zh - Eugenol
Sethef

09/12/2017 à 14h32

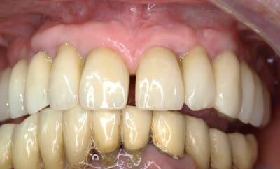
Tu as des retours au long terme? C'est surtout la casse qui m'effraye, sur la section la plus longue j'aurais 14 15 absentes et du fixe (sur implants) en face.

Par ailleurs, techniquement, comment transférer ton montage provisoire en définitif? Classiquement, le prothésiste me sort une prévisualisation résine sur l'armature métal, sauf que là d'armature il n'y a point.

Merci, comme d'hab.


Vw campersurfvan bmnk1q - Eugenol
enlaye

09/12/2017 à 14h43

oui oui , avec le prettau , suis pas inquiet pour la grande portée entre 2 piliers .
et tu peux aussi avoir une maquette en résine (tendre ou autre d'ailleurs) que tu peux retoucher ,qu'il rescane ,et te faire le def à l'identique de tes retouches .

tu sais , avec le modernisme ,tout est prévu pour le blaireau .:-) leur but étant d'avoir un max de clients .


Vw campersurfvan bmnk1q - Eugenol
enlaye

09/12/2017 à 14h46

si si ,il ya quand meme 1 armature , bien sur . bien sur elle est plus massive que sur une armature classique zircon , mais ç est tout


Jack 2 wm3tqs - Eugenol
Treponem

09/12/2017 à 15h49

enlaye écrivait:
------
> et tu peux aussi avoir une maquette en résine (tendre ou autre d'ailleurs) que
> tu peux retoucher ,qu'il rescane ,et te faire le def à l'identique de tes
> retouches .

Ça se fait ça ? Vu que je suis un blaireau j'avais déjà imaginé ce genre d'astuce dans mes rêves les plus fous.
En effet, quelle déception quand tu as un joli provisoire fait par tes soins (forcément joli vu qu'il est fait par tes soins), et que quand tu reçois le definitif, tu es déçu par, rayez la mention inutile, l'ajustement, les limites, l'occlusion ...
Tu te dis bon sang, mais je vais y laisser mon prov oui ...

Désolé pour le hs


Nouveau image bitmap fz77zh - Eugenol
Sethef

09/12/2017 à 16h12

Sur du ceramo metal classique, je peux te confirmer que oui; chaque fois que je réalise un travail de maréchal ferrand, je passe toujours par un duplicata en résine, qui me permet de valider une dernière fois la RIM, et les morpho.
Même si idéalement, je préfère quand je le peux le faire en 3 blocs, et passer par deux étapes prothésiste, postérieures puis antérieures.


Smile beach jgh0a1 - Eugenol
Céramik

09/12/2017 à 17h20

Zircone pas de soucis, mais bosse avec un labo qui sait faire.
Bridge provisoire usiné en PMMA,(tu peux en avoir 2) tu retourne celui ajusté et labo scan pour faire le vrai bridge (ne jamais dire définitif, rien n'est définitif, tout est temporaire).
Après, en 3 sections, pourquoi pas, je préfère, ça dépend du cas clinique, des dents restantes, etc.


--
Céramik


Vw campersurfvan bmnk1q - Eugenol
enlaye

09/12/2017 à 17h23

Non Trepo tu n es pas hs .
C est le pb de toute prothese .c est un drame permanent ce que tu racontes.
Pour la fixe , je n ai pas fais le systeme dont j ai parlé , je ne l ai fait que pour les gros boulots implantaires vissés .


Utilisateur banni

09/12/2017 à 17h31

Ouuuuu 14-15 en inter , antagoniste à des couronnes sur implants .... faut aimer le risque... t’auras pas l’air d’un con si ça casse.
14-15 en inter moi je ferais de la CCM si y a des couronnes sur Implant en antagonistes.
Entre nous des belles CCM dans pas mal de cas c’est plus beau que du full ..... (sauf pour l’anatomque O qui est toujours un peu mieux pour du full)

Sinon j’ai déjà fait du full avec 6 éléments mais avec des inter d’un seul élément mais aussi avec des antagonistes dents naturelles


Vw campersurfvan bmnk1q - Eugenol
enlaye

09/12/2017 à 17h43

Non non Junior , c est tranquille costaud .


Nouveau image bitmap fz77zh - Eugenol
Sethef

09/12/2017 à 17h45

Céramik écrivait:
> Après, en 3 sections, pourquoi pas, je préfère, ça dépend du cas clinique, des
> dents restantes, etc.
>
>
> --
> Céramik

Ben moi aussi je préfère, mais là j'hésite.
Dans l'idée, j'ai les piliers pour, ne manquent que 14 15, peut-être 25.
Pas de forces occlusales majeures.
Par contre, alvéolyse majeure, paro "biologiquement gérée", et un schéma occlusal avec recouvrement incisif important, et une petite mandibule qui me vestibulise les postérieures maxillaires. Si je sépare, j'ai peur de voir à long terme les 3 secteurs foutre le camp en éventail, et la DV s'enfoncer rapidement.

Quant à savoir si le bridge est définitif... Disons qu'il n'y aura pas de second tour, l'étape d'après c'est le complet.


Nouveau image bitmap fz77zh - Eugenol
Sethef

09/12/2017 à 17h48

junior® écrivait:
-------
> Ouuuuu 14-15 en inter , antagoniste à des couronnes sur implants .... faut
> aimer le risque... t’auras pas l’air d’un con si ça casse.
> 14-15 en inter moi je ferais de la CCM si y a des couronnes sur Implant en
> antagonistes.
> Entre nous des belles CCM dans pas mal de cas c’est plus beau que du full .....
> (sauf pour l’anatomque O qui est toujours un peu mieux pour du full)
>
> Sinon j’ai déjà fait du full avec 6 éléments mais avec des inter d’un seul
> élément mais aussi avec des antagonistes dents naturelles


Ben justement, j'hésite, faut que je budgétise aussi, vu que je vais probablement lui faire à l'oeil/tarif mutuelle.
Je crois que le sourire découvre les collets, c'est ça qui m'emmerde avec la CCM. En zircone, je peux rester supra/juxta.


Vw campersurfvan bmnk1q - Eugenol
enlaye

09/12/2017 à 17h52

Alors là par contre ca coûte un bras .
Chaques fois j en ai pour 1 petit billet de presque 5000.


Nouveau image bitmap fz77zh - Eugenol
Sethef

09/12/2017 à 17h57

Sur dents naturelles?

Je pose la question lundi à mon labo, effectivement là je ne vais pas suivre.


Vw campersurfvan bmnk1q - Eugenol
enlaye

09/12/2017 à 18h33

non sur implant , mais c est du kif


Vw campersurfvan bmnk1q - Eugenol
enlaye

09/12/2017 à 18h45

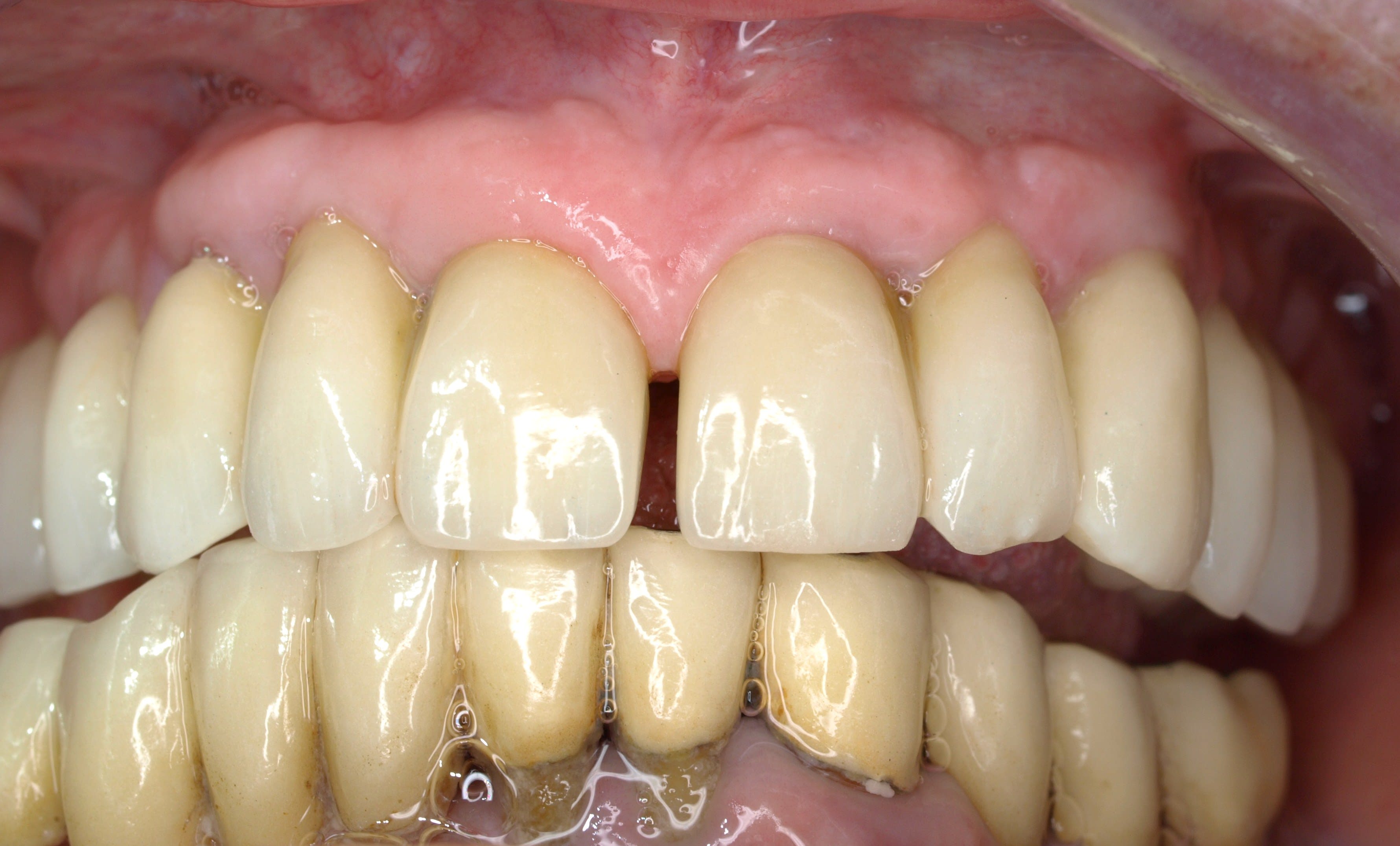
ça te donne ce genre de truc .

P7266748 opiorj - Eugenol

Vw campersurfvan bmnk1q - Eugenol
enlaye

09/12/2017 à 18h48

et le truc en plastoc , ç est ça

P9076767 hrlkrr - Eugenol

Utilisateur banni

09/12/2017 à 19h22

C’est quoi exactement ta première photo ? Du full zircone ? Y a pas de cosmétique par dessus ?


Vw campersurfvan bmnk1q - Eugenol
enlaye

09/12/2017 à 19h29

oui ç est ça du full avec ceram dessus


carident

09/12/2017 à 19h29

junior® écrivait:
-------
> Ouuuuu 14-15 en inter , antagoniste à des couronnes sur implants .... faut
> aimer le risque... t’auras pas l’air d’un con si ça casse.

Au contraire... C'est la certitude de pouvoir les mettre en très très légère sous-occlusion par rapport au reste du bridge, et ce de façon perenne ; le bridge jouant un rôle de contention et les implants n'égressant pas ;-)

Les forces occlusales n'étant pas excessive pourquoi pas... Même s'il n'y aura aucun intérêt esthétique par rapport à un bridge CCM, à mon avis : le full zircone est trop moche, les zircones "translucides" actuels sont moins résistants, il faudrait faire du stratifié sur armature zircone ou au moins du cut back en antérieur en laissant toutes les zones de connexion en full zircone.

Des limites supragingivales seront toujours moches sur des dents nécrosées ou en voie de l'être... C'est pas l'absence de métal qui rendra les racines colorées moins visible.


Vw campersurfvan bmnk1q - Eugenol
enlaye

09/12/2017 à 19h32

la ceram ç est pour faire beau et les faces occlusales aussi

05.03 - Eugenol

Vw campersurfvan bmnk1q - Eugenol
enlaye

09/12/2017 à 19h34

on ne doit pas parler de la meme chose Carident .


carident

09/12/2017 à 19h38

enlaye écrivait:
------
> la ceram ç est pour faire beau et les faces occlusales aussi

Très joli ton bridge


carident

09/12/2017 à 19h39

Je répondais à Sethef:

> Je crois que le sourire découvre les collets, c'est ça qui m'emmerde avec la
> CCM. En zircone, je peux rester supra/juxta.


12