Cookie Consent byPrivacyPolicies.comLes bitewings-compter 4 radios?? - Eugenol

Les bitewings-compter 4 radios??

yopa

11/12/2017 à 06h44

Je suppose que si la CNSD s'engage officiellement sur le BW = 2 secteurs, elle doit quand même avoir du répondant la dessus. D'ailleurs, une analyse objective de la CCAM confirme cette façon de voir les choses. Il n'y a ainsi rien d'illicite à coter de la sorte et les appréciations subjectives des CDC ne résisteraient pas au Tass.


RépondreCiter
moritooth

11/12/2017 à 07h44

chicot29 écrivait:
--------
> Donc tu les fais gratuitement ou pas du tout. Alors ne dis pas que tu cotes un
> secteur. Ou alors détartrage + radio et là c'est la consult qui est gratuite ou
> alors tu ne la fais pas.

Ne fais pas celui qui ne comprends pas...

En tout cas pour ceux qui veulent absolument commencer leurs feuilles par une C, ne postdatez pas les radios prises ce jour là, car maintenant on vous demandera les fichiers sources en cas de contrôle (idem pour les panos biensur). Par contre, on peut tout à fait récupérer une radio prise lors d'une C dans un forfait endo ultérieur.


moritooth

11/12/2017 à 07h59

yopa écrivait:
----
> Je suppose que si la CNSD s'engage officiellement sur le BW = 2 secteurs, elle
> doit quand même avoir du répondant la dessus. D'ailleurs, une analyse objective
> de la CCAM confirme cette façon de voir les choses. Il n'y a ainsi rien
> d'illicite à coter de la sorte et les appréciations subjectives des CDC ne
> résisteraient pas au Tass.

L'interpretation de la CNSD c'est :
-1BW = 1 secteur = 7,98€
-2BW = 4 secteurs= 31.42€

vas comprendre...


Avatar transparent iqadnc - Eugenol
adhoc

11/12/2017 à 08h07

>, car maintenant on vous demandera les fichiers sources en cas de contrôle (idem pour les panos biensur)<

Et alors? :-))))

touch -t 201712111847 ~/maRadio.jpg


Vw campersurfvan bmnk1q - Eugenol
enlaye

11/12/2017 à 08h10

chicot29 écrivait:
--------
" Donc tu les fais gratuitement ou pas du tout. Alors ne dis pas que tu cotes un secteur. Ou alors détartrage + radio et là c'est la consult qui est gratuite ou alors tu ne la fais pas. "

et surement , il a raison le Chicot .



X ray 03 medium zvq18j - Eugenol
cyber_quenottes

11/12/2017 à 08h15

Il existe un "spécialiste" de la nomenclature à la csnd

spécialiste qui fait payer ses sources, ses confrontations professionnelles avec la sécu, fort cher dans un bouquin

vous ne trouvez pas surprenant qu'on ne voit JAMAIS son avis technique publié sur les espaces professionnels en accès libre ?

mais NAAANNN la csnd ne fait pas de pognon avec la CCAM qu'elle nous a imposé...


Capture d  cran 2015 03 12 12.28 - Eugenol
chicot29

11/12/2017 à 08h22

Il n'y a rien à comprendre c'est ce qui est stipulé dans la CCAM. Pour un secteur c'est une radio car radio au singulier. Pour 4 secteurs il n'en est pas précisé le nombre. Tu sais lire ? Pour une fois que la CNSD entreprend une action de masse contre la sécu il faudrait rester le froc baissé ?








--
En cas d'échec des négociations conventionnelles, seriez-vous prêt à suivre la promotion d'un déconventionnement massif de la profession par les syndicats représentatifs ? OUI - NON
Participez, anonymement, sur https://goo.gl/forms/nAO0htnsVmxotjYm1


Le Rosbif

11/12/2017 à 08h34

Maybe we should have a vote for this lol


Capture d  cran 2015 03 12 12.28 - Eugenol
chicot29

11/12/2017 à 08h37

Tu fais une rétro coronaire centrée sur 16 donc 2 secteurs coté un seul. Si tu fais en plus une rétro alvéolaire centrée sur 46 dévitalisée est elle aussi gratuite ?














--
En cas d'échec des négociations conventionnelles, seriez-vous prêt à suivre la promotion d'un déconventionnement massif de la profession par les syndicats représentatifs ? OUI - NON
Participez, anonymement, sur https://goo.gl/forms/nAO0htnsVmxotjYm1


Capture d  cran 2015 03 12 12.28 - Eugenol
chicot29

11/12/2017 à 08h39

Le Rosbif écrivait:
---------
> Maybe we should have a vote for this lol

Un vote aussi pour ou contre la TVA sur les implants et le NPC. -Inclure les patients dans le vote ils étaient facturés hors tva avant et maintenant il vont prendre 20 %, c'est pour la solidarité nationale. ))))
--
En cas d'échec des négociations conventionnelles, seriez-vous prêt à suivre la promotion d'un déconventionnement massif de la profession par les syndicats représentatifs ? OUI - NON
Participez, anonymement, sur https://goo.gl/forms/nAO0htnsVmxotjYm1


Avatar transparent iqadnc - Eugenol
adhoc

11/12/2017 à 08h39

Il suffirait de définir avec précision ce que signifie et ce que doit contenir un secteur et de l'inclure dans les libellés de la ccam. Tant que ce n'est pas fait, les interprétations restent infinies.
La définition arrangeante cnsd n'a d'égale que la définition jusqueboutiste d'un CDC.
Tu oublies, chicot29, que la ccam, c'est la cnsd-ccam.


moritooth

11/12/2017 à 09h02

chicot29 écrivait:
--------
> Il n'y a rien à comprendre c'est ce qui est stipulé dans la CCAM. Pour un
> secteur c'est une radio car radio au singulier. Pour 4 secteurs il n'en est pas
> précisé le nombre. Tu sais lire ? Pour une fois que la CNSD entreprend une
> action de masse contre la sécu il faudrait rester le froc baissé ?
>

Bon alors merci la CNSD !, ça va comme ça ? Est-ce qui faut prendre sa carte pour être défendu en cas de soucis?

Perso, c'est pas cette interprétation sur les radios, même si elle est peut-être défendable, qui me fera changer d'avis sur le merdier dans lequel ils nous ont mis avec Cette CCAM. Pour ce problème je suis les recommandations de mon CDC, j'ai pas envie de perdre mon temps en procédure pour des actes à 8 balles !


Capture d  cran 2015 03 12 12.28 - Eugenol
chicot29

11/12/2017 à 09h04

Un secteur est défini par la dent au centre du cliché. Pour une rétro coronaire 2 secteurs sauf si elle est seule. -))))


--
En cas d'échec des négociations conventionnelles, seriez-vous prêt à suivre la promotion d'un déconventionnement massif de la profession par les syndicats représentatifs ? OUI - NON
Participez, anonymement, sur https://goo.gl/forms/nAO0htnsVmxotjYm1

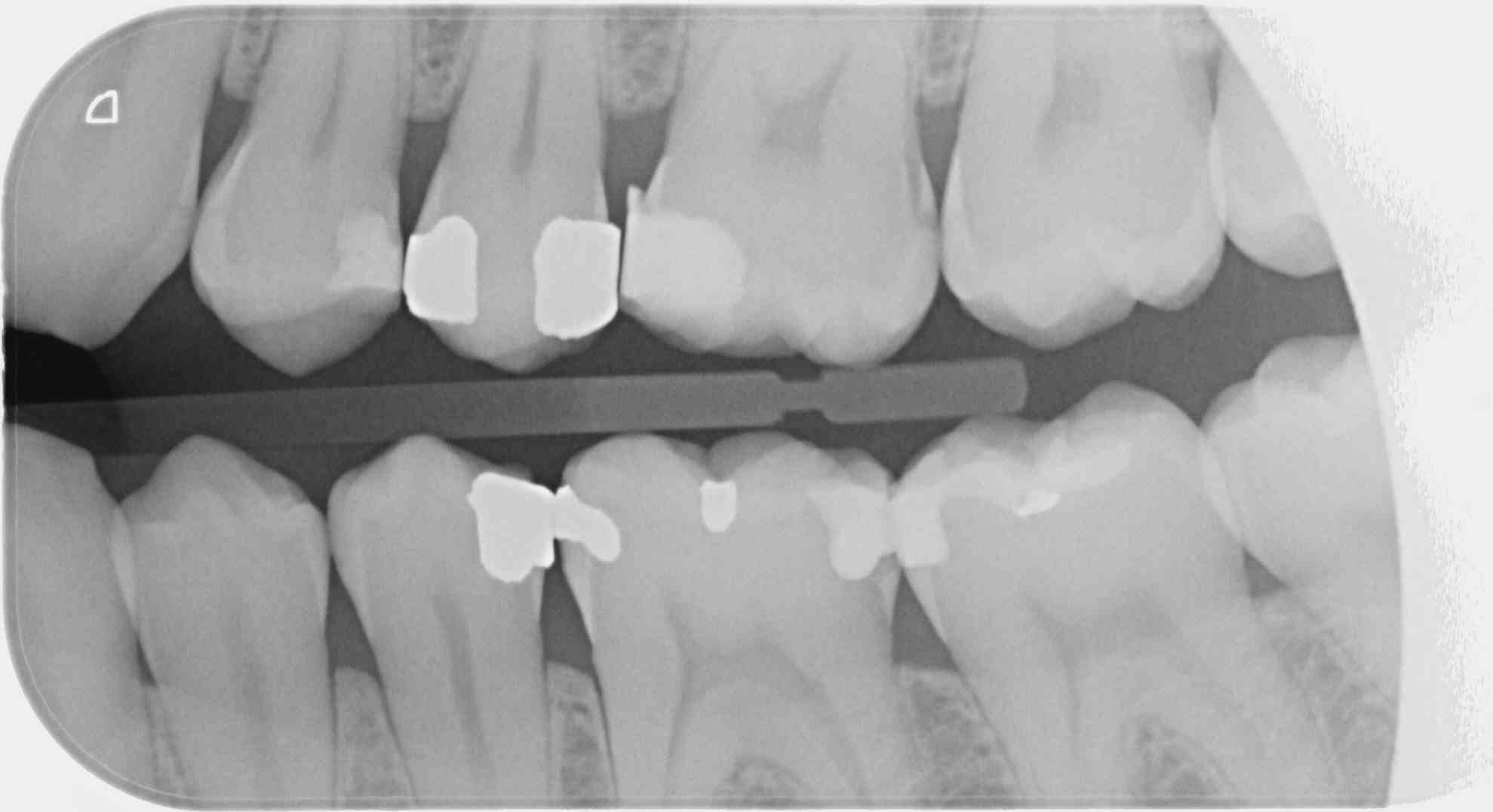
Capture d écran 2017 12 11 09.04 - Eugenol

Hok 1b hgd3rj - Eugenol
Hokusai

11/12/2017 à 09h07

Sur un film 3+ je vois toutes les couronnes de la 7 a la 3... si je fais bite wing gauche et droit ca fait 20 couronnes, je peux compter combien de secteurs ?


Capture d  cran 2015 03 12 12.28 - Eugenol
chicot29

11/12/2017 à 09h08

moritooth écrivait:
---------
> chicot29 écrivait:
> --------
> > Il n'y a rien à comprendre c'est ce qui est stipulé dans la CCAM. Pour un
> > secteur c'est une radio car radio au singulier. Pour 4 secteurs il n'en est
> pas
> > précisé le nombre. Tu sais lire ? Pour une fois que la CNSD entreprend une
> > action de masse contre la sécu il faudrait rester le froc baissé ?
> >
>
> Bon alors merci la CNSD !, ça va comme ça ? Est-ce qui faut prendre sa carte
> pour être défendu en cas de soucis?
>
> Perso, c'est pas cette interprétation sur les radios, même si elle est peut-être
> défendable, qui me fera changer d'avis sur le merdier dans lequel ils nous ont
> mis avec Cette CCAM. Pour ce problème je suis les recommandations de mon CDC,
> j'ai pas envie de perdre mon temps en procédure pour des actes à 8 balles !

Il est content but atteint : radiographies gratuites. 8 balles + 8 balles .+ 8balles..... Passons au contrôle de vos consultations maintenant justifiez les.....Ah ! je vois que vous avez fait des rétrocoronaires gratuites mais ça ne suffit pas. -)))


--
En cas d'échec des négociations conventionnelles, seriez-vous prêt à suivre la promotion d'un déconventionnement massif de la profession par les syndicats représentatifs ? OUI - NON
Participez, anonymement, sur https://goo.gl/forms/nAO0htnsVmxotjYm1


Bagheera tudzjy - Eugenol
bagheerra

11/12/2017 à 09h10

Sujet déjà pas mal débattu sur Eugénol.
C'est une faille de la CCAM qui permet, avec un peu de mauvaise foi, de coder 4 secteurs avec seulement 2 clichés, le nombre de clichés n'étant pas précisé dans le libellé.
1 radio (au singulier) en bite-wing secteur 1 et 4 = 7.98€ (HBQK389, 2 secteurs mais 1 seul cliché)
2 radioS (au pluriel) en bite-wing secteurs 1, 2 , 3 et 4 = 31.92€ (HBQK443, 4 secteurs, plusieurs clichés sans précision sur leur nombre).
Certains trouvent qu'on joue avec le feu. Chez nous, les CDC n'ont rien trouvé à redire à ça.
Je considère que la nomenclature ne nous fait pas de cadeau, je ne lui en fais pas non plus.

C9 wn2yww - Eugenol
C10 aasf63 - Eugenol

Avatar transparent iqadnc - Eugenol
adhoc

11/12/2017 à 09h12

Ce n'est pas une définition précise, chicot29.
Par dent, tu entends "dent dans son entier" ou non? Rien n'est précisé. Seule la notion de groupage est un peu plus définie.


Generique fraisage r2rxmm - Eugenol
lardonbis

11/12/2017 à 09h18

bagheerra écrivait:
---------
>Chez nous, les CDC n'ont rien trouvés
> à redire à ça.

c'est un peu le probleme avec les CDC, les avis changent du tout au tout avec le N° de département.


Capture d  cran 2015 03 12 12.28 - Eugenol
chicot29

11/12/2017 à 09h54

bagheerra écrivait:
---------
> Sujet déjà pas mal débattu sur Eugénol.
> C'est une faille de la CCAM qui permet, avec un peu de mauvaise foi, de coder 4
> secteurs avec seulement 2 clichés, le nombre de clichés n'étant pas précisé dans
> le libellé.
> 1 radio (au singulier) en bite-wing secteur 1 et 4 = 7.98€ (HBQK389, 2 secteurs
> mais 1 seul cliché)
> 2 radioS (au pluriel) en bite-wing secteurs 1, 2 , 3 et 4 = 31.92€ (HBQK443, 4
> secteurs, plusieurs clichés sans précision sur leur nombre).
> Certains trouvent qu'on joue avec le feu. Chez nous, les CDC n'ont rien trouvés
> à redire à ça.
> Je considère que la nomenclature ne nous fait pas de cadeau, je ne lui en fais
> pas non plus.

T'es con d'utiliser des films taille 3 surtout avec des CDC de bonne composition. ca fait que 2 secteurs ou 4. Alors que 4 clichés ca fait 4 secteurs....ou 8. Les rétro alvéolaires sont offertes. -)
--
En cas d'échec des négociations conventionnelles, seriez-vous prêt à suivre la promotion d'un déconventionnement massif de la profession par les syndicats représentatifs ? OUI - NON
Participez, anonymement, sur https://goo.gl/forms/nAO0htnsVmxotjYm1

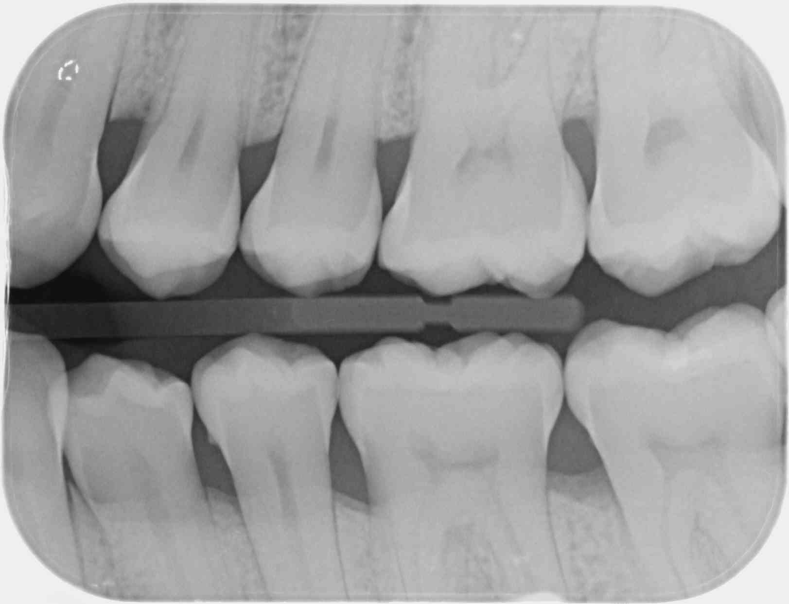
Capture d écran 2017 12 11 09.50 - Eugenol

Bagheera tudzjy - Eugenol
bagheerra

11/12/2017 à 12h12

Sans commentaire.


Generique fraisage r2rxmm - Eugenol
lardonbis

11/12/2017 à 12h35

chicot29 tu l'imprimes quand ton "guide de survie post RA" ?


Capture d  cran 2015 03 12 12.28 - Eugenol
chicot29

11/12/2017 à 14h03

bagheerra écrivait:
---------
> Sans commentaire.

Allez un petit dernier pour la route : avec des taille 3 tu n'as pas forcément l'os alvéolaire bien visible et ça mon garçon c'est un indu. -))))

--
En cas d'échec des négociations conventionnelles, seriez-vous prêt à suivre la promotion d'un déconventionnement massif de la profession par les syndicats représentatifs ? OUI - NON
Participez, anonymement, sur https://goo.gl/forms/nAO0htnsVmxotjYm1


Capture d  cran 2015 03 12 12.28 - Eugenol
chicot29

11/12/2017 à 14h37

Le problème vois tu avec ces films étendus c'est que moins tu as de clichés moins tu as de dents au centre d'un cliché et moins tu as de secteurs. -)))


--
En cas d'échec des négociations conventionnelles, seriez-vous prêt à suivre la promotion d'un déconventionnement massif de la profession par les syndicats représentatifs ? OUI - NON
Participez, anonymement, sur https://goo.gl/forms/nAO0htnsVmxotjYm1

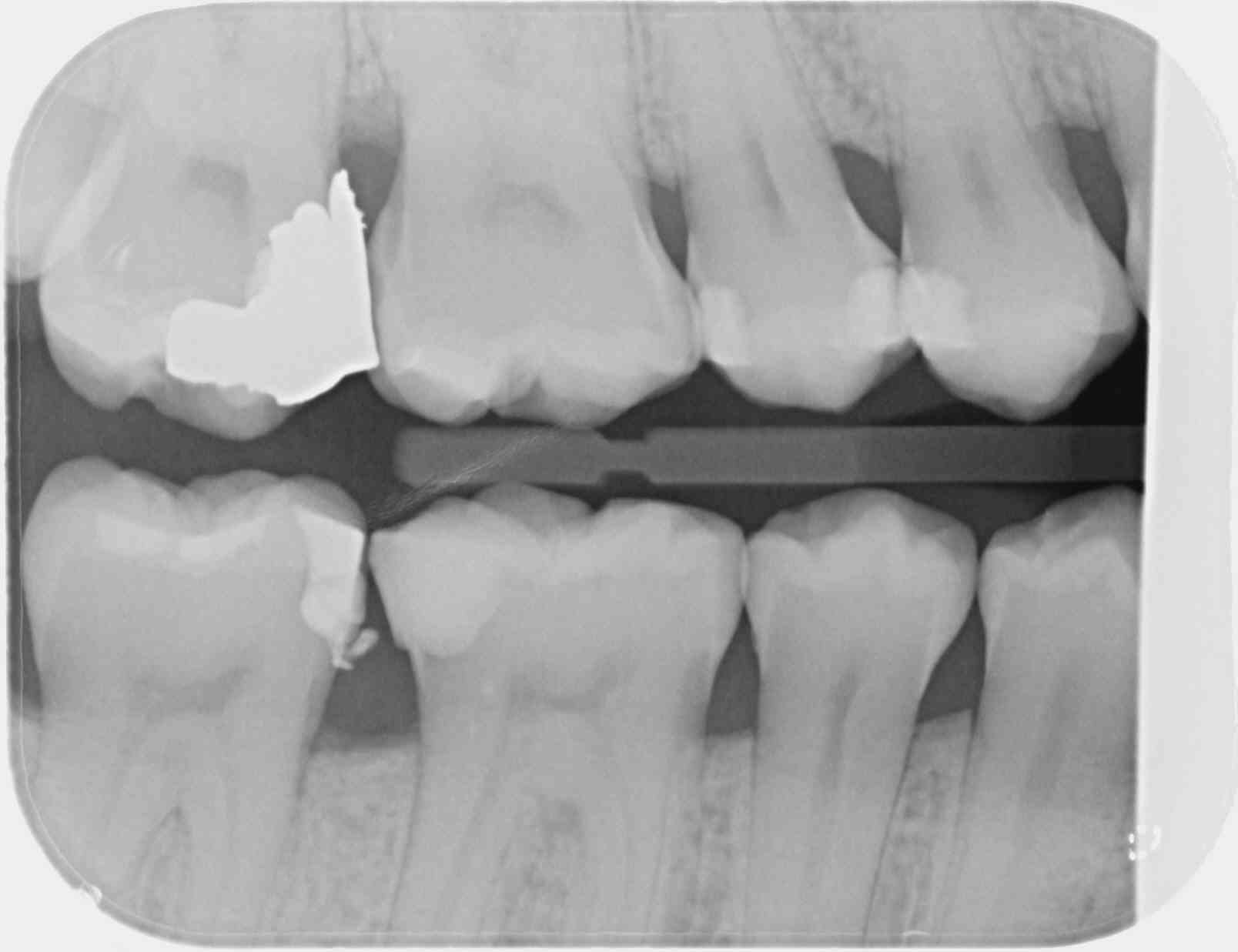
Capture d écran 2017 12 11 14.35 - Eugenol

Bagheera tudzjy - Eugenol
bagheerra

11/12/2017 à 17h12

chicot29 écrivait:
--------
> bagheerra écrivait:
> ---------
> > Sans commentaire.
>
> Allez un petit dernier pour la route : avec des taille 3 tu n'as pas forcément
> l'os alvéolaire bien visible et ça mon garçon c'est un indu. -))))
>

Effectivement. C'est pour ça que sur les patients plus âgés je sors le taille 2, qui a l'avantage de permettre l'utilisation du collimateur. Par contre, on ne peut pas avoir en même temps les canines et les DDS. Le taille 1 suffit souvent sur les patients jeunes sans DDS.

C3 oyf3rk - Eugenol
C4 k6wnxd - Eugenol
C5 xexma2 - Eugenol
C8 ysiyf8 - Eugenol

Capture d  cran 2015 03 12 12.28 - Eugenol
chicot29

11/12/2017 à 19h46

Faut reculer au max la première RXX BW. pour bien avoir les 7 et les 8 sinon tu risques d'avoir les 4. . -)))


--
En cas d'échec des négociations conventionnelles, seriez-vous prêt à suivre la promotion d'un déconventionnement massif de la profession par les syndicats représentatifs ? OUI - NON
Participez, anonymement, sur https://goo.gl/forms/nAO0htnsVmxotjYm1

Capture d écran 2017 12 11 19.44 - Eugenol