Cookie Consent byPrivacyPolicies.comCouronne transvissée - Eugenol

Couronne transvissée

Utilisateur banni

12/12/2017 à 11h31

Bien entendu que quand ça casse les mecs ils vont voir ailleurs.
Comment ça se fait docteur ça a été posé l’année dernière, et ça se casse déjà ? Cherche pas ma grande c’est du Zircone + cosmétique en postérieur et sur implant. Y a pas besoin de faire maths sup pour comprendre


Vw campersurfvan bmnk1q - Eugenol
enlaye

12/12/2017 à 11h50

mr smith écrivait:
--------
" L’occlusion , tu la règles avant ou après la fracture ? ;0)))) "

apres le reglement de la facture :-)




6szjws718sv1jksw54v4mpj3a6cu - Eugenol
vulpi

12/12/2017 à 12h07

tiens hors sujet ( désolé Bill) mais un autre truc:
"Docteur le petit il faudrait lui faire un détartrage et enlever la colle de l'orthodontie"
"Alors pour la colle ce n'est pas remboursé et c'est 190€ de l'heure, vous comprenez pour la sécu ce n'est pas un détartrage, ce n'est pas pris en charge, je vous ferai une facture et vous verrez avec votre mutuelle mais souvent elles ne remboursent pas, ou alors vous voyez avec votre orthodontiste, la colle ce n'est pas moi qui l'ai mise..."
Bin ils m'embêtent plus avec la colle.


Utilisateur banni

12/12/2017 à 12h08

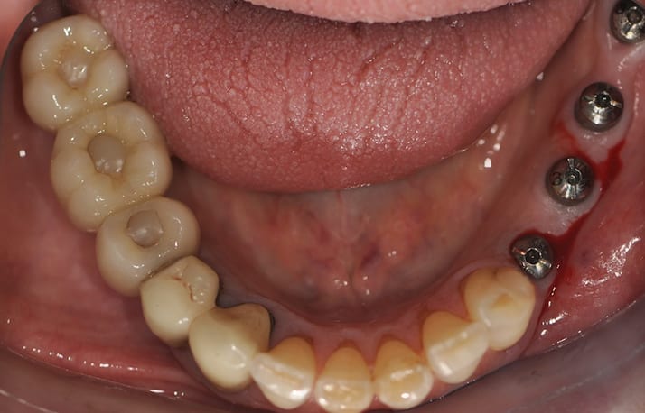
Ze comprends pas. C’est très zoli. Mais c’est cassé et ça me coupe la langue .
Un ptit coup d’oeil en bouche
1) oh dis donc une couronne sur Implant. Comme par hasard...
2) oh tiens c’est une transvissée
3) oh tiens une tout céramique
4) oh mince alors comme c’est bizarre Zircone + cosmétique
5) oh ! En postérieur ! Tiens donc !:)))
6) oh Bin mince alors une brachyfaciale avec des beaux masseters

Ze comprends vraiment pas ! Suis toute paniquée ! Suis toute émotionnée de partout! Comment l’expliquez vous docteur ? Je ne sais pas madame mais effectivement il faut refaire, ça arrive , c’ est la faute à pas de chance, ne vous inquiétez pas, on va faire un autre type de couronne


mr smith

12/12/2017 à 12h19

enlaye écrivait:
------
> mr smith écrivait:
> --------
> " L’occlusion , tu la règles avant ou après la fracture ? ;0)))) "
>
> apres le reglement de la facture :-)
>
Houais , la double facture du protho ;o)
>
>


mr smith

12/12/2017 à 12h26

Moi je trouve cela vraiment moche cette histoire de compo , notamment à la mandi . Alors je me suis toujours demandé pourquoi on ne nous réalisait pas des bouchons de ceram à coller ? Cela ne devrait etre très compliquer à standardiser ....


Vw campersurfvan bmnk1q - Eugenol
enlaye

12/12/2017 à 12h41

pinoche chio que tu es :-))


Vw campersurfvan bmnk1q - Eugenol
enlaye

12/12/2017 à 12h42

Junior , on ne t'aurais pas greffé des oreilles de gonzesse par hasard ?


Utilisateur banni

12/12/2017 à 13h25

enlaye écrivait:
------
> pinoche chio que tu es :-))

Je regrette de ne pas avoir sorti cette bêtise. Ça aurait paru plus crédible venant de moi.
Entre nous un bon vieux amalgame pour boucher et op c’est réglé ^^


6szjws718sv1jksw54v4mpj3a6cu - Eugenol
vulpi

12/12/2017 à 13h41

Il faut aussi savoir gérer l'épaisseur de cosmétique sur la zircone.


mr smith

12/12/2017 à 13h47

quoi d'autre ?

Fig - Eugenol

Vw campersurfvan bmnk1q - Eugenol
enlaye

12/12/2017 à 13h51

Putain . Mais y en a plein :-)
Ah ouiii , Je comprends mieux la question de Bill .


Vw campersurfvan bmnk1q - Eugenol
enlaye

12/12/2017 à 13h55

Pas habitué à ca .
J ai tjs fait des bridges sur 2 multi et 1de plus si affinités.
Du coup il n y a au max qu un trou par coté qui est visible :-)))


6szjws718sv1jksw54v4mpj3a6cu - Eugenol
vulpi

12/12/2017 à 14h02

Un implant, une dent, une couronne: remboursement. Pour ce qui est de la sculpture :-)))) pas perdu de temps le Smith.

Cette histoire de Junior me fait penser à une patiente bruxo, avec plein de tori, je lui ai fait de l'emax collé, deux de recul, c'est déjà ça!


Utilisateur banni

12/12/2017 à 14h09

Sur ta photo , c’est du biomet3i Smith et wesson ?


mr smith

12/12/2017 à 14h35

junior® écrivait:
-------
> Sur ta photo , c’est du biomet3i Smith et wesson ?

Bande de nazes ;0)) c’est du Google , je ne fais que du scellé pour cette raison !

7*2000 pour se trimballer ça ;0))€


Utilisateur banni

12/12/2017 à 14h37

Oui mais n’empêche que je dirais bien que c’est du biomet 3i


6szjws718sv1jksw54v4mpj3a6cu - Eugenol
vulpi

12/12/2017 à 14h48

Bin Junior il peut pas faire du scellé à cause du chiping!-)))


12