Cookie Consent byPrivacyPolicies.comJamais vu,conseils sur conduite à tenir bienvenue ;) - Eugenol

Jamais vu,conseils sur conduite à tenir bienvenue ;)

lap'tite souris

15/12/2017 à 17h02

Chers confrères,

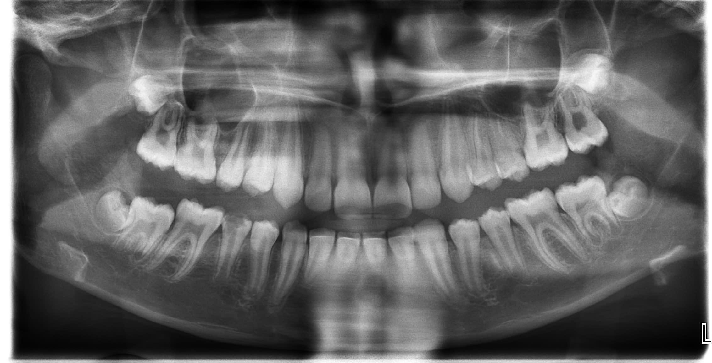
Je sollicite vos lumières pour ma jeune patiente de 11 ans en traitement orthodontique pour une classe 2.
L'hygiène bucco dentaire est correcte. Chez le grand frère il y a une agénésie de 14/24/25 et chez la grande soeur agénésie de 14/24/45.

A l'éruption,la couronne de 45 est constituée de son émail,sauf sur la face occlusale qui laisse apparaitre du "tissu conjonctif dentinaire" non minéralisé.
Il n'y a aucun symptomatologie
A la radio panoramique,la racine de 45 semble s'édifier normalement.

Pour ma culture générale, comment peut qualifier cette anomalie ?
Pratiquement:
- est ce que cette 45 est raisonnablement conservable ? (pronostic à moyen terme réservé je pense)
- si avulsion profite- t- on du traitement orthodontique pour:
1- fermer l'espace entre 46 et 44
2- maintenir l'espace entre 46 et 44 en vue de la pose d'implant vers 18/20 ans?

Enfin,cette charmante patiente est ma fille.

Merci


https://res-5.cloudinary.com/abcdent/image/upload/c_fill,h_75,w_75/v1513353595/45_dltb8s.jpg


https://res-2.cloudinary.com/abcdent/image/upload/c_fill,h_75,w_75/v1513353629/35890.jpg_2_qchlyp.jpg

Rrnhfz5r9eb3wfdkecnt - Eugenol
Oijjh8qtkre27czodpst - Eugenol

145 kssowa - Eugenol
Zuhurragin

15/12/2017 à 17h12

Vu la dent je pense qu'il serai préférable de ne pas la conserver car la racine ne s'édifiera probablement jamais normalement et l'émail semble être de très mauvaise qualité. Bref le pronostic est moche.
Après voir avec l'ortho si il est utile d'extraire les dents dans son plan de ttt ou si ça va le compliquer.
Sinon conservation de l'espace et implant plus tard.


--
"C'est parce que la vitesse de la lumière est supérieure à celle du son que certains paraissent brillants avant d'avoir l'air cons."


Jack 2 wm3tqs - Eugenol
Treponem

15/12/2017 à 17h17

Pour moi exo et fermeture d'espace si c'était ma gamine. C'est bête que ça démarre en Cl 2, mais il y aura les 8. A voir avec l'ortho mais moi je ne garderais pas ça ... nid à m..


lap'tite souris

15/12/2017 à 17h35

On est d'accord sur l'extraction de 45 ...ça m'ennuie de m'y coller mais bon :(((


Ylfwcw979cz1jnx9gfqeaxndiuzk - Eugenol
Algi

15/12/2017 à 18h02


Et avec les deux premiers de la portée qui étaient pas bien finis t'as pas songé à l'adoption?

Ok je sors. ;0))

--
On a toujours le choix mais entre quoi et quoi?
Vas-y boulégue et l'avenir te le dira!


gloglo

15/12/2017 à 18h22

lap'tite souris écrivait:
---------------
> On est d'accord sur l'extraction de 45 ...ça m'ennuie de m'y coller mais bon
> :(((

Moi je ne suis pas du tout d accord. Je développe rais toute à l heure


P2eqdh3csim6s7nb09ktdq3e7ev8 - Eugenol
barbabapat

15/12/2017 à 18h34

L'autre solution? Une pulpo haute avec un coiffage pulpaire et une obturation étanche le temps de suivre une édification radiculaire dans un premier temps et de faire une couronne à terme. Il faut une bonne coopération de l'enfant et de la famille et une bonne compréhension des risques.


doagui

15/12/2017 à 18h41

Franchement c'est impossible de te répondre avec aussi peu d'informations, il faudrait au minimum voir la téléradiographie de profil.


lap'tite souris

15/12/2017 à 19h05

Algi : non j’en ai fait un 4ème à priori il a toute ses dents ( mais il lui manque un bras)

Doagui : je demande à ma consœur Odf une télé radio de profil

Pour l’alternive , je me sens moyennement prête à l’acharnement thérapeutique pour cette 45


gloglo

15/12/2017 à 21h01

si la dent est vitale et asymptomatique un coiffage indirect est le traitement recommandé pour un lésions carieuse profonde. Vu que la lésion n est pas vraiment carieuse le chance de succès sont augmentés. Donc sans besoin ortho je garderais la dent sans hésitation avec un pronostic plutôt bon. Après c est sur que si extraire va dans le sens du plan de traitement ortho c est une autre histoire


mr smith

16/12/2017 à 00h30

gloglo écrivait:
------
> Vu que la lésion n est pas
> vraiment carieuse le chance de succès sont augmentés.

A la vue de cette lésion carieuse , je pense que les chances de succès sont particulièrement ...........


1309531 ours brun n5iukf - Eugenol
seespan

16/12/2017 à 01h49

Quelque soit la configuration clinique cet espace peut se fermer.
Aucune raison de garder cette 5.


--
หมอจัดฟัน


elje

16/12/2017 à 08h55

La petite à 11ans et vue la taille de la lésion , je vois mal la pulpe ne pas être infestée de bactéries. pour l’instant apex ouvert ça tient mais combien de temps? mes 30 ans d’expérience me laissent à penser que moins on tripote une dent , plus elle a des chances de rester sur l’arcade.
Si les solutions conservatrices évoquées ci dessus marchent correctement, il y aura de toutes façons à l’arrivée une dent affaiblie. A mon sens il est impératif de discuter avec l’ortho pour imaginer un traitement avec l'exo de cette dent qui de toutes façons a très peu de chance d’être conservée sur l’arcade. si c’est ma fille je n’hésite pas un quart de millième de seconde, la dent dégage.


lap'tite souris

16/12/2017 à 11h02

Merci pour vos réponses et conseils avisés.
Pour l'alternative conservatrice: j'ai une sorte de pseudo tissu dentinaire genre tissu de granulation qui je pense va être très hémmoragique à l'éviction. une fois ce tissu bizaroide enlevé -et à mon avis je n'éviterais pas l'effraction pulpaire,je ne sais pas sur quelle qualité de dentine corronaire je tombe et puis quid du potentiel de cicatrisation d'une pulpe dont les odontoblastes sont d'emblée in-foutus de produire une dentine primaire correcte (c'est le moins que l'on puisse dire) ?

Sur le plan histologique,je serai curieuse de savoir de quoi est constitué le tissu dentinaire pathologique et la pulpe en regard ;)


gloglo

16/12/2017 à 12h37

seespan écrivait:
-------
> Quelque soit la configuration clinique cet espace peut se fermer.
> Aucune raison de garder cette 5.
>
>
Si il y a déjà un besoin ortho, je suis tout à fait d accord. Sans traitement ortho a prévoir, je ne suis pas certain que la décision soit si tranché. Combien de temps d ortho (coût) tu prévois pour fermer l espace?


Index vakr2r - Eugenol
pgc

16/12/2017 à 12h59

lap'tite souris écrivait:
---------------
>
> Sur le plan histologique,je serai curieuse de savoir de quoi est constitué le
> tissu dentinaire pathologique et la pulpe en regard ;)

Le tissu dentinaire ne saigne pas. Si ça saigne, c'est soit de la gencive (ou du ligament), soit de la pulpe.
Si c'est hémorragique et qu'il n'y a pas de communication avec la gencive c'est du conjonctif pulpaire qui s'est dé-différencié.
De fait l'effraction pulpaire est probablement déjà faite.



--
Ne met pas tes doigts dans la Convention! Tu risques de te faire pincer très fort.