Cookie Consent byPrivacyPolicies.comMCI Blueskyplan form2 - Eugenol

MCI Blueskyplan form2

Icon poker h4nm2d - Eugenol
jeff

19/05/2019 à 19h59

alors j'ai trouvé une autre solution. a voir le plus solide, et le moins cher entre :

solution 1 : un bridge PMMA complet usiné avec pilier collé en bouche.

solution 2 : armature en frittage laser, pilier collé en bouche , puis coque de résine nexdent FMH imprimé au cab, finition en dehors de la bouche.
un peu plus de travail de finition dans ce cas.
Mais avantage : quasi pas de retouche occlusal, car 0.4 mm entre le dessus de l’armature et le bridge, et je réfléchis a un systeme pour relié l'armature au guide implantaire, pour avoir un positionnement idéal de l'armature.

( j'avais aussi pensé a faire l'armature directement en bouche avec de la fibre de verre FiberForce, mais plus délicat en bouche, et repositionnement de la coque plus approximatif, a moins de faire un guide ).

Pour ton bridge, tu n'as qu'un seul inter entre les piliers, alors que j'en ai deux entre canine et première molaire, c'est ce qui m’inquiète un peu avec la solution 1 ( niveau solidité et rigidité, mais je n'ai aucune expérience avec le PMMA ).

( molinarus, tu en penses quoi ? )

merci pour l'invitation :)

Armature d0pyjn - Eugenol
Bridge armature gnpvfp - Eugenol
Bridge pour armature z4t0q9 - Eugenol

Icon poker h4nm2d - Eugenol
jeff

19/05/2019 à 20h22

j'avais aussi pensé a me servir du palais pour fixer la coque a l'armature ...

En fait, je crois que je vais preparer plusieurs solution, car, ayant des pilier a 17 °, il suffit d'un rien en positionnement ou rotation de l'implant pour que l'armature ne rentre pas sur les piliers prov.

Coque palais pthagb - Eugenol

pierre31

22/05/2019 à 10h46

Toutes les solutions que tu envisages sont bonnes.
La moins chronophage est l'armature en PMMA ( pour moi aucune fracture jusqu'à maintenant avec des gros connecteurs ) . Aucune fracture non plus avec la mfh d'ailleurs. Le plus délicat est la liaison pilier résine.
Tu peux aussi faire un scale de ton armature PMMA puis une boolean différence avec ton guide ; mettre des tiges pour combler le gap ; ça te donne un guide de repositionnement avec la bonne occlusion (très rapide en chirurgie ) .
En tout cas joli travail et beau niveau de compétence .


pierre31

22/05/2019 à 10h47

Pardon pour la réponse tardive ; j'ai beaucoup de déplacements en ce moment...


ceel

22/05/2019 à 15h34

bonjour,
j'ai un cas prochainement, bien plus simple pour placer deux locators à la mandibule.
on m' avait conseillé de prendre une empreinte avec un pei adapté en résine avec 6 points metalliques radio opaques.
on fait le scan du patient avec le PEI et matériau d"empreinte en bouche.
mais je n'arrive toujours pas à comprendre comment fait on le maching, entre la radio et le modéle en platre. Merci à ceux qui pourront m'aider


Icon poker h4nm2d - Eugenol
jeff

22/05/2019 à 16h50

merci de ton retour, pierre . :)
je ferais surement un post apres l'intervention.


pierre31

22/05/2019 à 20h03

Pour CEEL

ce n'est pas la meilleure méthode . Il vaut mieux faire un scan avec la PAT en bouche rebasée (+marqueurs) en occlusion . Sinon pour le principe après avoir fait ton scan tu scannes ta PAT (ou ton pei pour toi ) et tu matches tes repères.
Un peu de lecture : https://www.nobelbiocare.com/fr/fr/home/products-and-solutions/treatment-concepts/guided-surgery.html


ceel

22/05/2019 à 21h07

Merci beaucoup


Icon poker h4nm2d - Eugenol
jeff

23/05/2019 à 18h58

J’envoie le fichier du bridge PMMA avec support a mon labo, pour voir s'il peut l'usiner.


Dr juju

23/05/2019 à 19h33

Impressionnant le travail sur meshmixer si un jour tu fais un tuto je suis preneur . Bravo


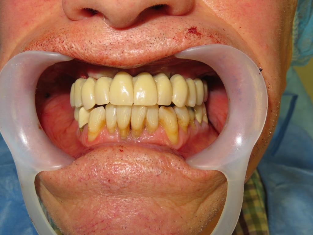
Photo pluton1b h9n4ea - Eugenol
pluton

23/05/2019 à 22h35

c'est bien joli jeff, mais permet moi quelques questions techniques:

-donc si j'ai bien compris tu vas faire usiner le guide chir et la prothèse par le labo? une idée du coût?
-une idée de la rigidité finale de ton bridge? parce qu'en MCI l'armature du dit bridge est censée permettre une inter-protection des implants entre eux en répartissant les forces...
-temps passé derrière ton ordi pour préparer tout çà?


Icon poker h4nm2d - Eugenol
jeff

24/05/2019 à 08h34

Je vais imprimer le guide au cab . Coût du bridge PMMA : aucune idée encore , le fichier est au labo . Je ne sais même pas si c’est possible avec mes petites tiges de fixation .
la rigidité : c’est ma grande inconnue. Pierre nous dit que c’est ok . C’est pour cela que j’hesite avec un bridge avec armature métal . ( armature imprimé en résine cast puis coulé , ou frittage laser : la non plus pas d’idéee du coût , je me renseigne. Puis bridge imprimé en résine nextdent MFH solidarisé à l’armature.
Le temps passé : des heures ... voir plus :)
Pour l’instant , cela ne me dérange pas. J’aime la 3D et me creuser la tête. :)
. Quand c’est sortis il y a 20 ans , je m’amusais à modéliser des motos, juste pour le fun sur mon ordi.
Je pense réduire le temps quand je serais bien au point. Il m’arrive encore de chercher un tuto meshmixer pour concrétiser une idée.
Mais c’est sur que si on préfère allez à la pêche , il vaut mieux déléguer à Alain.
En l’occurrence , je un devis à moins de 10k, donc , pas possible .
Le temps à regarder les tuto est d’ailleurs assez important .
Il y a les chaînes YouTube de n Cory Glenn, Baron grutter DDS, Orthodontic 3D, 3Ddentist et Christian brenes ( qui a fait une bibliothèque de dent pour insérer dans meshmixer.
J’ai deux autres cas avec devis accepté, mais si j’en avais deux par semaine , cela serait compliqué.


Photo pluton1b h9n4ea - Eugenol
pluton

24/05/2019 à 08h56

jeff écrivait:
----
> Je vais imprimer le guide au cab . Coût du bridge PMMA : aucune idée encore ,
> le fichier est au labo . Je ne sais même pas si c’est possible avec mes petites
> tiges de fixation .

donc il faut prendre aussi en considération le coût de ton imprimante, des consommables (résine), çà n'est pas négligeable et il faut bien que le lecteur de ce sujet en prenne pleinement conscience....

> la rigidité : c’est ma grande inconnue. Pierre nous dit que c’est ok . C’est
> pour cela que j’hesite avec un bridge avec armature métal . ( armature imprimé
> en résine cast puis coulé , ou frittage laser : la non plus pas d’idéee du coût
> , je me renseigne. Puis bridge imprimé en résine nextdent MFH solidarisé à
> l’armature.

çà c'est ma plus grande crainte: la rigidité de ton bridge...
ma deuxième: la solidité de ton guide imprimé....vu son design, mécaniquement si un seul de tes implants dévie de sa trajectoire, il casse....(ou alors il te faudra finir l'insertion sans et/ou non guidé)

> Le temps passé : des heures ... voir plus :)
> Pour l’instant , cela ne me dérange pas. J’aime la 3D et me creuser la tête. :)
> . Quand c’est sortis il y a 20 ans , je m’amusais à modéliser des motos, juste
> pour le fun sur mon ordi.
> Je pense réduire le temps quand je serais bien au point. Il m’arrive encore de
> chercher un tuto meshmixer pour concrétiser une idée.
> Mais c’est sur que si on préfère allez à la pêche , il vaut mieux déléguer à
> Alain.

même chose que plus haut: le temps que tu passes, tu t'en moques, mais çà n'est pas vrai pour tout le monde et çà peut avoir un coût qu'il faut aussi prendre en compte pour le lecteur du sujet

> En l’occurrence , je un devis à moins de 10k, donc , pas possible .

si si....mais pour çà faut creuser dans d'autres directions...(matériel)

perso, je préfère ne pas perdre de temps (cf les repère chronologiques début-fin d'intervention) because time is money (et pour ce cas fait avec Alain, pas plus tard qu'hier, je ne suis pas à beaucoup plus de 10k€....)

Img 0001 axxxt4 - Eugenol
Img 0006 xdcmx3 - Eugenol
Img 0014 n2v53o - Eugenol
Img 0015 brdpvh - Eugenol
Img 0025 kzv3w5 - Eugenol
Img 0027 fwlgnt - Eugenol
Img 0037 n9s4o6 - Eugenol
Img 0038 yrxw5n - Eugenol
Img 0055 c9kovc - Eugenol
Img 0056 wzvlkq - Eugenol
Img 0063 vsmdns - Eugenol
Img 0072 irdf5w - Eugenol

Paul Pitt

24/05/2019 à 10h10

Bonjour pluton
Ton bridge provisoire n'est pas transvissé mais emboité sur les piliers ?


Photo pluton1b h9n4ea - Eugenol
pluton

24/05/2019 à 10h20

fixe sans ciment de scellement....cône morse....
par contre çà implique que l'ensemble des implants n'aient pas plus de 3° de divergence....


Paul Pitt

24/05/2019 à 10h36

et tu prevois le meme type de fixation pour le definitif ?


Photo pluton1b h9n4ea - Eugenol
pluton

24/05/2019 à 10h44

c'est déjà une prothèse d'usage....
j'ai des cas qui ont toujours la prothèse en bouche depuis plus de 5 ans...
donc remplacement quand la prothèse sera fatiguée ou si besoin esthétique seulement...


Icon poker h4nm2d - Eugenol
jeff

24/05/2019 à 12h06

C'est vrai que imprimante a pas loin de 5000, près de 1000 euro de résine en stock…
Je fais surtout beaucoup d'économie en faisant mes aligneur d'odf moi meme.

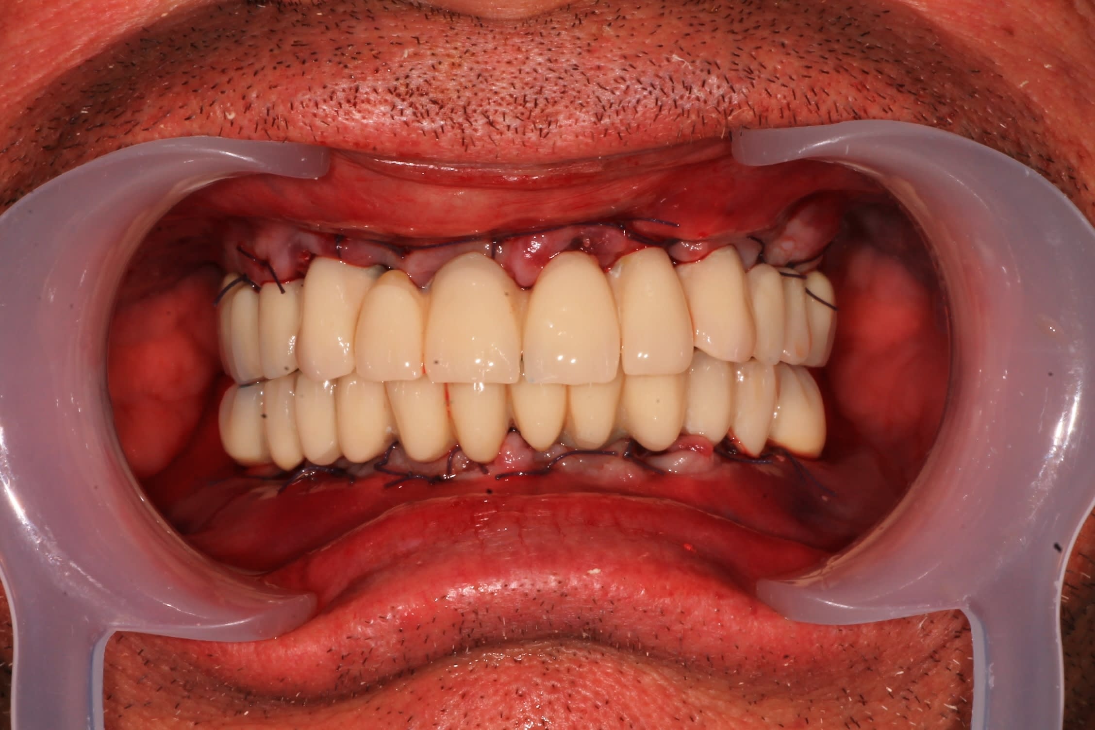
quelques photo de la préparation : modele osseux avec une premiere version du guide, guide d'incision , modelé en fin de chir, pour évaluer le projet, bridge 42 32 près a rebasaser.

Img 2810 2 ezjg9y - Eugenol
Img 2811 2 b6t3lw - Eugenol

Icon poker h4nm2d - Eugenol
jeff

24/05/2019 à 12h11

sinon, j'ai déjà fais comme toi.
mais plus jamais non vissé , car quand 15 jours apres la chir le bridge bouge, et bien , c'est la merde ...

Haut et bas - Eugenol
Img 1758 2 kokgwr - Eugenol
Img 9086 2 i3o2up - Eugenol
Img 9096 2 pu4q7y - Eugenol
Img 9099 2 2 mkjikn - Eugenol

Photo pluton1b h9n4ea - Eugenol
pluton

24/05/2019 à 13h24

çà m'est arrivé une fois....bridge remis en place, percuteur (Leone) et roule ma poule...
c'est le bridge maxillaire qui c'est fait la malle?
remarque, c'était quand Alain modifiait peu/pas les piliers...çà n'a plus rien à voir maintenant...et on utilise des piliers qui sont bien plus appropriés que ceux là....

ah ouais quand même, 6k€ de matos....plus l'ordi qu'il faut un peu costaud pour le développement 3D....
malgré ton utilisation odf, c'est pas vraiment rentable surtout que c'est chronophage et que tu dis toi même que çà te limiterais vite si les cas devenaient plus nombreux....(amha car temps d'impression long....)


Icon poker h4nm2d - Eugenol
jeff

24/05/2019 à 14h45

il me semble que c'était le haut. remis avec percution arrache couronne : repartis la semaine suivante, j'ai finis par scellé en prov, trouver le bon scellement, qui tient mais pas trop... Je finis avec un bridge def scellé, avec tous les pb qui penvent arriver. Au bout de 15 jours : il pete un eclat de céram : descellement... galere.
Pour ce patient, j'avais imprimé les bridges haut et bas pour faire les essayages.
Donc, le numerique, je trouve quand meme cela super pratique. l'ideal serait d'avoir quelqu'un au cab qui gere cela ( 3D, chairside, impression ,nettoyage de l'imprimante, thermoformage et coupe des aligneurs..., il y a de quoi s'occuper )


Photo pluton1b h9n4ea - Eugenol
pluton

24/05/2019 à 16h22

je pense que certains copings se sont déplacés ou que tu les a mal positionnés avant le scellement...c'est en tout cas ce qu'il me semble voir avec ta pano (et voilà pourquoi je t'ai parlé du haut....)
du coup, t'es pas rétentif...
après l'autre piège possible c'est de suturer trop serré....donc tu peux plus faire descendre le bridge à fond...

je ne nie pas que le numérique est pratique....mais à faire le calcul, je ne vois pas la réelle différence de coût avec Posit....
sauf que son protocole est reproductible, que son guide ne risque pas de péter, etc....
donc pourquoi prendre des risques?
et qu'en est-il aussi question traçabilité des "dispositifs médicaux" (guide)....là au moins Posit me fournit tout çà....

P.S: il y a quand même un truc qui me gène dans ton guide imprimé...on en reparle en MP si tu veux...


Icon poker h4nm2d - Eugenol
jeff

24/05/2019 à 16h57

Avec posit, le fait de faire faire un scanner au patient alors que j'ai mon cone beam est un peu chiant.

Pour le cout, si tu comptes mon tarif horaire et le temps que j'y passe, posit est moins cher :)
Sinon, tout depend du nombre d'element que tu sors par an. il y a un moment ou l'imprimante est vite amortis. Et puis, pour l'instant, cela m'amuse d'explorer toutes les possibilité de la médit . je ne m'en sers pas que pour supprimer le silicone.

Pour la tracabilité, la resine est faite pour. je ne pense pas que tu as une fiche de tracabilité a chaque fois que tu fait une provisoire en automoulage .


Icon poker h4nm2d - Eugenol
jeff

26/05/2019 à 23h22

Petit repere a poser sur le guide vestibulaire pour parfaitement indexer la rotation de l'implant en cas de pilier angulé.
Idée perso , mis gracieusement à disposition de tous ceux qui souhaite l'utiliser.

Repere2 smmyyu - Eugenol

Icon poker h4nm2d - Eugenol
jeff

21/06/2019 à 22h22

version final du guide ( en fait, non, j'ai une autre version a imprimer en métal, mais je ne pense pas la faire faire ).
Pas de pb avec ce guide , pluton ?
Guide vestibulaire pour mettre des accessoires, indexation des implants puisque piliers angulés .
Intervention prevu jeudi.

Guide dlou3r - Eugenol