Cookie Consent byPrivacyPolicies.comRestauration globale et CMU - Eugenol

Restauration globale et CMU

3395 40 umvzjn - Eugenol
Aspius

10/01/2018 à 19h26

Patient 45 ans, pas d'ATCD médicaux, CMU-C suite à licenciement.

Porte actuellement un complet provisoire maxillaire au-dessus de ses racines, laissées en jachère il y a 4 ans (il n'avait pas la CMU à l'époque, et pas les moyens financiers de faire de la fixée)

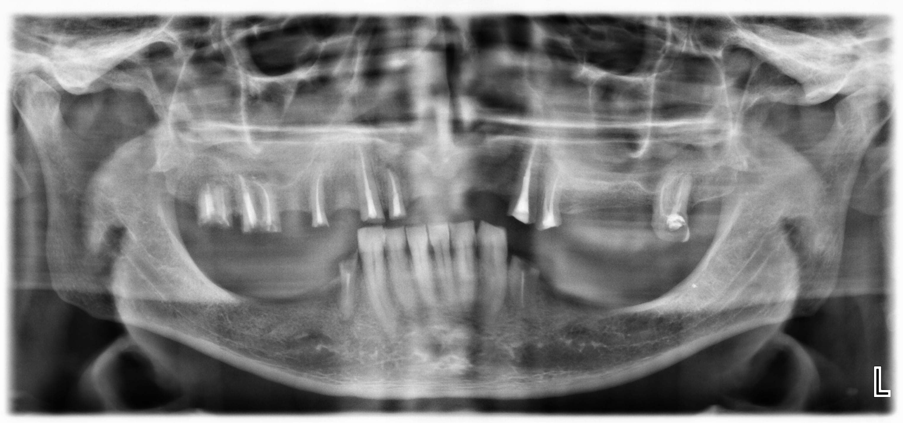
Les dents résiduelles sont les vestiges de bridges déposés et d'avulsions

17, 18 et 27 récidive de carie dans le plancher pulpaire, à extraire.
Pas de lésion péri-apicales sur les autres dents (confirmé par rétro-alvéolaires, y compris sur 12)
Pas de mobilités.
Pas de sourire gingival.

Quel est votre plan de traitement ?
Un bon complet et un stellite?
Quelques couronnes/bridge et 2 stellites ?

A vos méninges !

Fay1dww9dgdhenh8mpzu - Eugenol

Tozzi

10/01/2018 à 20h27

Cà serait dommage de ne pas faire de bridge antérieur 15->24
Faut juste payer ce que la CMU ne paye pas...
En plus les endo sont déjà faites !


moritooth

10/01/2018 à 22h36

Tozzi écrivait:
-----
> En plus les endo sont déjà faites !

T'as minimum une désobturation (NPC) et reprise sur 12.
Sur les autres, est-ce qu'il y a une obturation étanche sur les racines ( genre overdenture en compo) ? parce que si ça barbotte depuis 4 ans...

Pour le plan de traitement, c'est les possibilités financières de ton patient qui vont décider. Si elles sont nulles t'as pas le choix c'est panier CMUC !


3395 40 umvzjn - Eugenol
Aspius

10/01/2018 à 23h15

Y'a rien sur 12, confirmé par la TIB (ça m'a aussi surpris)

Les endo étaient recouvertes d'IRM, de 15 à 24 la gutta est dure à la réouverture comme si ça datait de la veille.

Le patient a pas les ronds pour claquer de l'implanto de partout, mais un RAC sur quelques inters ça n' a pas l'air de lui faire peur, il en a trop marre de sa situation avec son provisoire qui s’éternise.


Ylfwcw979cz1jnx9gfqeaxndiuzk - Eugenol
Algi

12/01/2018 à 11h08

Sans vouloir être rabat joie les molaires me semblent compromises dans l'optique d'une prothèse fixe de grande étendue.....

Les furcations semblent pas loin et le plancher résiduel faiblard ou vu de tes radios me paraissent peu propices à la réalisation de piliers d'appui pour des bridges durables.

Du coup tu pourras, peut être bridger jusqu'aux prémolaires.... mais faudra gérer les postérieures

En face t'as prevu quoi?

Ici j'essaierai un complet sur télescopes en haut. Tu conserves tes racines que tu chapeautes avec des chappes parallèles et tu fais réaliser une plaque par dessus.

Avantage: peut être ça lui coutera moins cher même si tu devras faire un devis pour des trucs pas forcément pris en charge comme les copings ou le surcout usinage du châssis.

Autre avantage: tu te poses sur des racines et le jour où t'en perds une tu extraies et tu rebases.

Certes ce sera pas fixé mais ça peut être une bonne alternative, notamment parce que tu peux éventuellement éviter de faire un palais à ton complet.

ps: il est partant pour le stellite en bas? Parceque sinon avec juste les dents de devant ça risque de foirer ton cas....


J'ai trouvé ça:

https://www.eugenol.com/sujets/369985-couronnes-et-stellitte?page=1

--
On a toujours le choix mais entre quoi et quoi?
Vas-y boulégue et l'avenir te le dira!