Cookie Consent byPrivacyPolicies.comdouleur post devitalisation - Eugenol

douleur post devitalisation

Facom

23/01/2018 à 10h11

Bonjour à tous, j'ai dévitalisé cette dent jeudi dernier, et depuis le patient a de grosses douleurs, qui irradient même vers l'oreille et avec des douleurs à la percussion.
Il en dort pas la nuit, je lui ai donc donné des antibio avec du solupred depuis lundi et aujourd'hui rien n'a vraiment changé.
Pour infos, dévitallisation sous digue avec obturation au sealite et condensation verticale à chaud ( 4 canaux).
Merci pour vos conseils

Ieq7llpflolmfubrkehp - Eugenol
Aona2qgebmd7qovcpagr - Eugenol

JUAN

23/01/2018 à 10h18

Mise en sous occlusion de la dent? Là je vais voir une barge qui a mal à la gencive et à la dent 27 pour une carie occlusale avec juste irm et para apicale. Plus banal tu meurs... On ne fait vraiment pas un job de science exacte...pfff


lachmar

23/01/2018 à 10h28


c'est un cas de merde
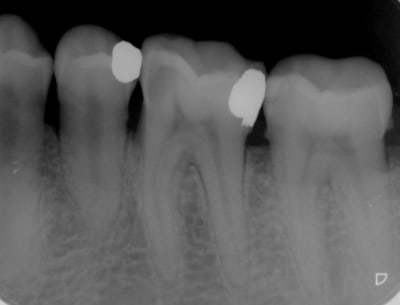
il y avait un epaississement au niveau de la racine D avec un début de furcation avec retraction de la corne pulpaire distale en regard de l'amalgame ancien signant une pulpite chronique

ca va finir par passer avec le traitement

ca va se finir de la manière suivante : ton patient va aller voir un confrère qui lui dira / .... pf je vais vous donner ce qu'il faut ... et ca passera avec sa prescription , comme ca serait passé avec la tienne ))))

mais ca sera lui le sauveur ... et il va surement rajouter "mais pourquoi a-t-il dévitalisé cette dent ????


Zorba le grec 1373406512 108 lfk5ey - Eugenol
zorbalegrec

23/01/2018 à 10h37

Peut être une réaction à l'anesthésie
as tu regardé si nécrose au point de l'anesthésie


Facom

23/01/2018 à 11h11

Non, pas plus de rougeur que ça au point de l'anesthésie ( spix plus para apicale)


akenao

23/01/2018 à 11h18

tu as obturé 3 ou 4 canaux ?
canal oublié ?


aimpi

23/01/2018 à 11h53

ce que je ferais: enlever l'obturation temporaire, mettre une boulette imbibée d'eugénol dans la cavité d'accès, cavit. Des fois ça marche bien, c'est le geste qui compte. Il est toujours temps, une fois les symptômes passés, de ré-évaluer ou pas l'obturation


Rape p0as4f - Eugenol
rapelapente

23/01/2018 à 12h22

Mon diagnostic : ça doit être une MGEN ! :-))
Ton endo est superbe. Ça lui passera.

Un MGEN sort de mon cab, trentaine, a refusé l'extraction d'un chicot infecté hier, sous AB,.
Se pointe ce matin pour avoir un arrêt de travail ...

Micron c'est quand que tu remets le jour de carence ????
Je ne supporte plus cette engeance !


2 n2dlt7 - Eugenol
2+2®

23/01/2018 à 13h44

je vote pour une réaction suite à ton ALR
question subsidiaire ...tu fais souvent des spix pour des endos?


Facom

23/01/2018 à 14h57

assez souvent et je n'ai jamais eu de soucis( ou alors juste petite douleur dans la zone) ... jusqu'à présent, mais je ne pense pas que ce soit un problème de spix


lachmar

23/01/2018 à 17h40


ca passera : le boulot est correct
le seul problème c'est de garder la confiance du patient si tu ne fais pas de geste : aimpi a raison


Tozzi

23/01/2018 à 17h58

Pas de pulpe nécrosée quand tu as fait le traitement ?


Facom

24/01/2018 à 12h24

Non, la pulpe était bien saine!
Et hier soir il allait beaucoup mieux ( corticoïdes ont fait effet?)
Par contre, hier matin je lui ai fait une para-apicale en me disant que ça pourrait diminuer la réponse nociceptive, et il m’a reporté qu’au réveil de l’anesthesie, ça lui faisait quasiment plus mal...


Dolan donald duck weird wqjham bw43ju - Eugenol
GéPé

24/01/2018 à 13h34

Tu utilises un localisateur d'apex ? Sur la radio ça me parait un peu court en distal... mais bon c'est une radio.

Autre piste irrigation un peu forte avec projection dans le périapex ?


Facom

24/01/2018 à 14h47

Oui, j’utilise le morita mini root, très fiable je trouve.
En distal , je suis un peu court, mais ça ne doit pas occasionner plus de douleurs que ça, voir aucune.


Palmier25

02/03/2018 à 11h44

4eme canal .


S8ysxdzhdqgw00w4q6m07a5d47q2 - Eugenol
Gai-Luron

11/03/2018 à 11h09

Un 5ème alors, parce qu'il en a déjà obturés 4.
(Faut lire :) )


carident

11/03/2018 à 11h35

Quels étaient les symptômes avant la dévitalisation. Y avait-il déjà une desmodontite? Y a-t’il eu un complément intra-ligamentaire?

Le plus probable est une desmodontite qui est souvent entretenu par l'occlusion et/ou une poussée linguale... ça passe avec des anti inflammatoires (flanid, nifluril).

Cela dit, une radio de contrôle désaxée aurait permis de mieux voir les 2 canaux distaux.

Quelle est le diamètre d'obturation en distal? 25/100? Parce qu'on voit clairement que le canal s'élargie dans le tiers apicale, et qu'il n'est pas assez obturé... En général il faut obturer avec au moins du 40/100 les canaux distaux des molaires mandibulaires.

Mais on est d'accord, la sous-obturation n'explique pas la douleur.

http://www.dentistrytoday.com/Media/EditLiveJava/1003_Senia_03.jpg