Cookie Consent byPrivacyPolicies.comCas multidisciplinaire - Eugenol

Cas multidisciplinaire

kölsch

28/01/2018 à 17h29

Bonjour a tous,

J'aimerais avoir vos avis quant à un plan de traitement pour ce patient.

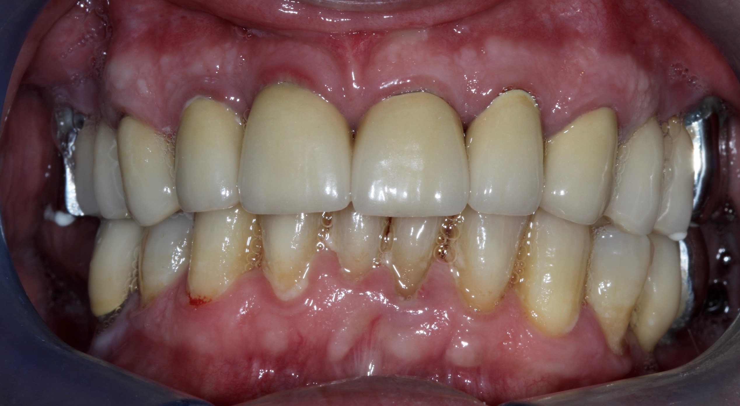
Patient de 69 ans, retraité et disponible. N'a pas réellement de limites financière (en étant raisonnable). Vient pour réhabilitation globale, les précédentes restaurations datant de plus de 15 ans. Souhaite retrouver une mastication correcte en postérieur et un sourire esthétique.

Hygiène bucco-dentaire défaillante, diabète type 2 équilibré
Parodontite sévère généralisée diagnostiquée il y a des années, sans suivi depuis quelques temps.

Symptomatologie nulle (sauf légère douleur à la percussion sur 45).

Voilà ce que je me disais pour l'instant :
1. Motivation à l'hygiène BD, enseignement des techniques et des moyens complémentaires de brossage. Importance dans la réussite du traitement futur.
2. Détartrage supra-radiculaire, thérapeutique parodontal initiale (2 à 3 séances de débridement ultrasonores) puis si ok : passage à TPS
3. Extraction de toutes les molaires

Après je suis un peu perdu, la courbe de SPEE a gauche est inversée : on pourrait revoir les couronnes de 24-25 et 35-36 (avec peut etre une petite extension sur 36 pour gagner en potentiel masticatoire).
Le patient serait plus pour une solution implantaire (quand la paro sera stabilisée) : implant en place de 16, 26 (soulèvement de sinus) et 46

Que pensez vous des CCM en antérieur au maxillaire ? Vous y toucheriez ? parce que les traitements endo sont un peu défaillants si on souhaite refaire quelque chose par dessus et puis après traitement paro, on aura surement une belle denudation radiculaire.

Comment gérez vous les phases de temporisations ?

Désolé je suis encore étudiant, je n'ai toujours pas vraiment cette "vision globale" et établir un plan de traitement concret est encore une tache compliquée pour moi :)

Merci pour vos réponses !

Iw5q5h4nrdsqubyahffg - Eugenol
Rupalkkwjy8hidjljczl - Eugenol
Xwzjsytp6bxey3vdponx - Eugenol
Nmkrzuhq9bkqtkja5irx - Eugenol
I1lcnjd2yqy5ocxmatfp - Eugenol
Xzfcl97ewtxxr3yho7qt - Eugenol
Kss8tdqsszdyerhyj80i - Eugenol
B0fj4eeqexj0tdroveio - Eugenol
Status paro dx7c4p - Eugenol

Nouveau image bitmap fz77zh - Eugenol
Sethef

28/01/2018 à 17h42

Dans l'ordre: tu gères déjà ta paro et tes extractions, pour une fois les prothèses précédentes sont suffisamment correctes pour ne pas t'embêter en cours de route.

Vois tout de même si tu ne peux pas conserver 27, un petit bridge entre 25 et 27 te simplifiera la vie et évitera un sinus à ton patient.

Puis implants en post.

Puis, si l'esthétique le justifie et que le patient le demande, tu pourras toujours revoir les antérieures, mais à ce moment là, tu revois tout en ceram pure, ce sera beaucoup mieux toléré par le parodonte.


kölsch

28/01/2018 à 19h02


D'accord merci de votre réponse !
Et du coup, que pensez vous de la petite extension en distal de la 36 ? On aurait donc une prémolaire en 35, une molaire en 36 et une molaire en 37.
et par contre côté droit je resterais sur un implant en haut et un en bas en 16 et 46

Dans tous les cas je pensais passer pas une phase de temporisation avec de l'amovible pour voir un peu l'évolution du parodonte et régler l'occlusion est-ce correct ?


Nouveau image bitmap fz77zh - Eugenol
Sethef

28/01/2018 à 19h31

Les extensions distales, c'est souvent tentant mais franchement, c'est risqué.
L'amovible, c'est encore le plus sûr moyen de fusiller un parodonte. Qu'est ce que tu veux tester dans ton occlusion?


(fais simple, c'est encore souvent le mieux)


mr smith

28/01/2018 à 23h03

Sethef écrivait:
------
> Dans l'ordre: tu gères déjà ta paro et tes extractions, pour une fois les
> prothèses précédentes sont suffisamment correctes pour ne pas t'embêter en cours
> de route.
>
> Vois tout de même si tu ne peux pas conserver 27, un petit bridge entre 25 et 27
> te simplifiera la vie et évitera un sinus à ton patient.
>

La 27 , y a pas bon gout , ça pue la mort ;o)

Nmkrzuhq9bkqtkja5irx bii0u2 - Eugenol

Smile beach jgh0a1 - Eugenol
Céramik

29/01/2018 à 02h45

Bridge avec 25 ? ah bon


--
Céramik


Nouveau image bitmap fz77zh - Eugenol
Sethef

29/01/2018 à 10h51

mr smith écrivait:
--------
> Sethef écrivait:
> ------
> > Dans l'ordre: tu gères déjà ta paro et tes extractions, pour une fois les
> > prothèses précédentes sont suffisamment correctes pour ne pas t'embêter en
> cours
> > de route.
> >
> > Vois tout de même si tu ne peux pas conserver 27, un petit bridge entre 25 et
> 27
> > te simplifiera la vie et évitera un sinus à ton patient.
> >
>
> La 27 , y a pas bon gout , ça pue la mort ;o)

La radio est moins moche que la photo, à voir après ex de la 26 et cica paro


mr smith

29/01/2018 à 15h09

Sethef écrivait:
------
>
> La radio est moins moche que la photo, à voir après ex de la 26 et cica paro

céramik a raison , la 25 ne sent pas bon non plus .

implants 25/27 sans sinus lift ?


mr smith

30/01/2018 à 19h35

C'est quand meme marrant les collègues , y a un p'tit jeune qui poste un cas bien étayé , photos , radios et qui demande un peu d'aide . Ben rien ....

il aurait écrit en franco roumain il faisait le buzz .


Nouveau image bitmap fz77zh - Eugenol
Sethef

30/01/2018 à 20h43

Me suis dit la même chose, c'est du cas bien propre comme on n'en fait plus, on sent le jeune consciencieux.

Eh doudou didon, viens voir ce que c'est une vraie question et tu comprendras pourquoi tout le monde rigole sur ton post.


mr smith

30/01/2018 à 22h33

Sethef écrivait:
------
> Me suis dit la même chose, c'est du cas bien propre comme on n'en fait plus, on
> sent le jeune consciencieux.
>
Comme toi , au moins le gamin il saura ce qu'est la fraternité dans ce job !!! pipi, caca ;o)


Smile beach jgh0a1 - Eugenol
Céramik

18/02/2018 à 23h07

Photo top, on voit la qualité du brossage.
2 kilos de plaque, parodonte amoché.

1-Tx paro, vire les moches dents
2- comblement/sinus
3-implanto
4-maintenance aux 3 mois (vive les hygiénistes)



La 16 est moche, la 24-25-26-27 aussi
La 46 out.



--
Céramik