Cookie Consent byPrivacyPolicies.comEsthétique, rétrusion, riziforme, dent de lait... - Eugenol

Esthétique, rétrusion, riziforme, dent de lait...

Thermos

30/01/2018 à 15h22

Bonjour,
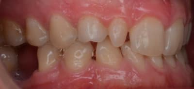
Voici un jeune homme de 20 ans et demi très complexé par l'esthétique de ses dents : fronts supérieur et inférieur en rétrusion, les centrales qui descendent trop, les latérales riziformes, les canines de lait toutes blanches et toutes petites, les canines définitives bien logées dans l'os au dessus. En plus d'être complexé par son sourire, il voudrait entrer dans une voie professionnelle où l'apparence a beaucoup d'importance.

Après avis, l'ortho conseille de ne pas faire de ttmt ortho visant à aller chercher les canines définitives.

Que proposeriez-vous à ce patient pour améliorer sa situation esthétique ? Facettes 12 à 22 pour réharmoniser tout ça et facette compo sur les canines de lait (j'imagine que proposer des facettes céramiques sur des dents de lait n'est pas une bonne idée !) ? Facettes seulement sur les latérales et compo canines ? Extraction canines de lait et implants ?.... J'ai bien peur de vite tomber dans le surtraitement...
Merci !

Ftryrsuak5zbvwa7strj - Eugenol
Qh6a760opkeozqdfskql - Eugenol
Lf0byhsbzq0i3rn3i2ml - Eugenol
Qmxtbhbrbrzsrylbotrj - Eugenol
Wasxlyxgv0q4h2qemw1z - Eugenol
Lwyooihvdnvanw3czzrb - Eugenol
Mzg2iji5fvwu6muiagsh - Eugenol

2 n2dlt7 - Eugenol
2+2®

30/01/2018 à 16h57

t'as l'impression que ses problèmes ne concernent que les 6 antérieures?


Thermos

30/01/2018 à 19h43

Bonsoir 2+2, j'ai fait toute l'éducation à l'hygiène, tout les soins à faire sont en cours, et prochain rdv je lui donne une lettre pour avis implanto pour les 6 du bas si il est ok. Il est clair que l'esthétique du front antérieur n'est pas prioritaire par rapport aux autres soins, ça sera fait après (si je fais quelque chose).
Mais oui je demandais surtout conseil pour les 6 antérieurs, que peut-on proposer à un patient comme ça ?


Tozzi

30/01/2018 à 21h53

Pourquoi l'ortho conseille de ne pas toucher aux canines ?
Sans ortho pour replacer 13 23 et sans implant 36 46 ce cas va dans le mur esthétiquement et fonctionnellement.


Thermos

30/01/2018 à 22h26

Voici son explication :
"Je ne conseille pas de traitement ODF car le succès pour la mise en place des canines n'est pas garanti du tout. Je pense qu'il faut laisser 13 et 23 telles quelles, les racines des dents adjacentes n'étant pas atteintes."
Dans tout les cas, je me concentre en premier sur les soins et remplacement des dents manquantes, mais je me pose la question de ce qu'il est possible de faire en antérieur


1309531 ours brun n5iukf - Eugenol
seespan

31/01/2018 à 01h27

Change d'ortho c'est une buse.
1 le taux de succés pour remettre ces canine en place est excellent, due au jeune age du patient et à leur positionnement " raz de la gencive y a qu'a tater "
2 si tu ne peut pas les remettre en place tu vois sois pour une fermeture d'espace, soit pour des implants. Chose qui sera de toute façon nécessaire dans la future.

L'ortho pour redresser 37 47 ca serait pas mal aussi.


--
หมอจัดฟัน


Avatar uy05sg - Eugenol
guest100

31/01/2018 à 09h16

Je pense aussi que tu devrais demander un deuxième avis auprès d'un autre ortho...


Ylfwcw979cz1jnx9gfqeaxndiuzk - Eugenol
Algi

31/01/2018 à 19h02

Faut prioritairement lever la supraclusion et faire de l'expansion, il est tout "en dedans" ton bonhomme, tu m'étonnes qu'il soit complexé!

Du coup, si ça s'ouvre et si il léve sa supra tu gagnes de la place pour caser des laterales et des canines correctes en diametre, tu peux aussi envisager de les rallonger pour rattraper les centrales bugs bunny qui, si tu fais des facettes en l'état vont cogner sur les anterieures du bas et exploser.

D'autre part si une expansion est envisageable pense à pas poser d'implants trop vite car ils bougeront pas, eux. Et tu te retrouveras comme un couillon avec des 6 pas au bon endroit....

Concernant les canines: soit quelqu'un qui sait va chercher 13 et 23 soit tu géres avec les lacteales mais faudra un jour penser à les remplacer.....

Perso je travaillerais tout ça en Planas ou au Soulet et Besombes mais c'est perso et seespan te dira de surtout pas le faire ;0)


--
On a toujours le choix mais entre quoi et quoi?
Vas-y boulégue et l'avenir te le dira!


Ylfwcw979cz1jnx9gfqeaxndiuzk - Eugenol
Algi

31/01/2018 à 19h04

Heu..... Planas ou Soulet Besombes te fera pas sortir les canines incluses mais peut permettre déjà d'avancer.


--
On a toujours le choix mais entre quoi et quoi?
Vas-y boulégue et l'avenir te le dira!


Ylfwcw979cz1jnx9gfqeaxndiuzk - Eugenol
Algi

31/01/2018 à 19h07

Et sinon...... qu'est ce que tu t'emmerdes????

Tu lui raccourcis 11 21, tu fais un blanchiment pour assortir les definitives aux lacteales et tout soudain le voilà devenu mag nifaïque.


--
On a toujours le choix mais entre quoi et quoi?
Vas-y boulégue et l'avenir te le dira!


Nouveau image bitmap fz77zh - Eugenol
Sethef

31/01/2018 à 20h04

Au delà de l'aspect odf, au sujet duquel je n'ai pas d'avis compétent, j'en ai un peu ras le bol de cette société de complexés. Ce gosse a des dents qui vont très bien, hormis les 6 manquantes et les soins à faire, ce qu'il lui faut c'est pas de l'ortho, mais un dentiste qui ne se prenne pas pour une esthéticienne et un peu de confiance en lui.
Au pire tu meules 2mm de centrales, mais bon.

Et c'est la même pour les gamines du même âge qui arrivent au cab parce qu'on les a persuadées que leurs dents étaient jaunes, et qui je n'en doute pas, trouveront sans problème une oreille complaisante pour les peroxyder.

Bref, faites ce que vous voulez. L'avantage avec l'odf, c'est que dans 20 ça fera du boulot pour gérer les atm.


Nouveau image bitmap fz77zh - Eugenol
Sethef

31/01/2018 à 20h08

Et d'ailleurs, vu les racines des lactéales résiduelles, je parierais gros qu'elles sont encore en place dans 20 ans.


Jack 2 wm3tqs - Eugenol
Treponem

31/01/2018 à 20h15

Sethef écrivait:
------

> Bref, faites ce que vous voulez. L'avantage avec l'odf, c'est que dans 20 ça
> fera du boulot pour gérer les atm.

A mon avis sans ODF également.
Après globalement, je serais du même avis que toi.


Thermos

02/02/2018 à 00h10

Merci pour les réponses, c'est très intéressant de voir les angles d'approche de différents praticiens quand on débute. Si j'arrive à faire quelque chose de sympa (sans jouer les esthéticiennes ;) ) je vous enverrai une petite photo.


1309531 ours brun n5iukf - Eugenol
seespan

02/02/2018 à 03h29

Sethef écrivait:
------
> Et d'ailleurs, vu les racines des lactéales résiduelles, je parierais gros
> qu'elles sont encore en place dans 20 ans.

Un petit message evidence based pour la France

1 il n'y a aucune relation prouvée entre traitement orthodontique ( bien conduit ) et ATM, en faite même les relations entre ATM et occlusion sont très ténu quand on fait une experimentation scientifique ( opposé à j'ai appris avec un pote qui sais ce qu'il fait et par mois même car je suis docteur et il y a des truc que c'est pas si compliqué à comprendre ) .

2 Les racines des dents de lait se résorbe spontanément même en l’absence de dent définitive, les dents de lait sont aussi très sujette à des ankyloses spontanée. Ca aussi ça à fait l'objet d'étude.
Garder une dent de lait en postérieur peut se faire et l'on à des études qui on montré une bonne stabilité sur une dizaine d'année. En antérieur c'est quand même beaucoup plus casse gueule.


--
หมอจัดฟัน


1309531 ours brun n5iukf - Eugenol
seespan

02/02/2018 à 03h32

Pour sethef je sais qu'avec le RA c'est pas trop le moment de pousser vers l'excellence mais le traitement des agénésie dentaire par orthodontie, chirurgie et prothèse ont fait l'objet de plusieurs livres ( sans parler d'encore plus nombreuse publication ) .


--
หมอจัดฟัน