Cookie Consent byPrivacyPolicies.comQuésaco?! - Eugenol
carident

02/02/2018 à 15h19

Pas de douleur...

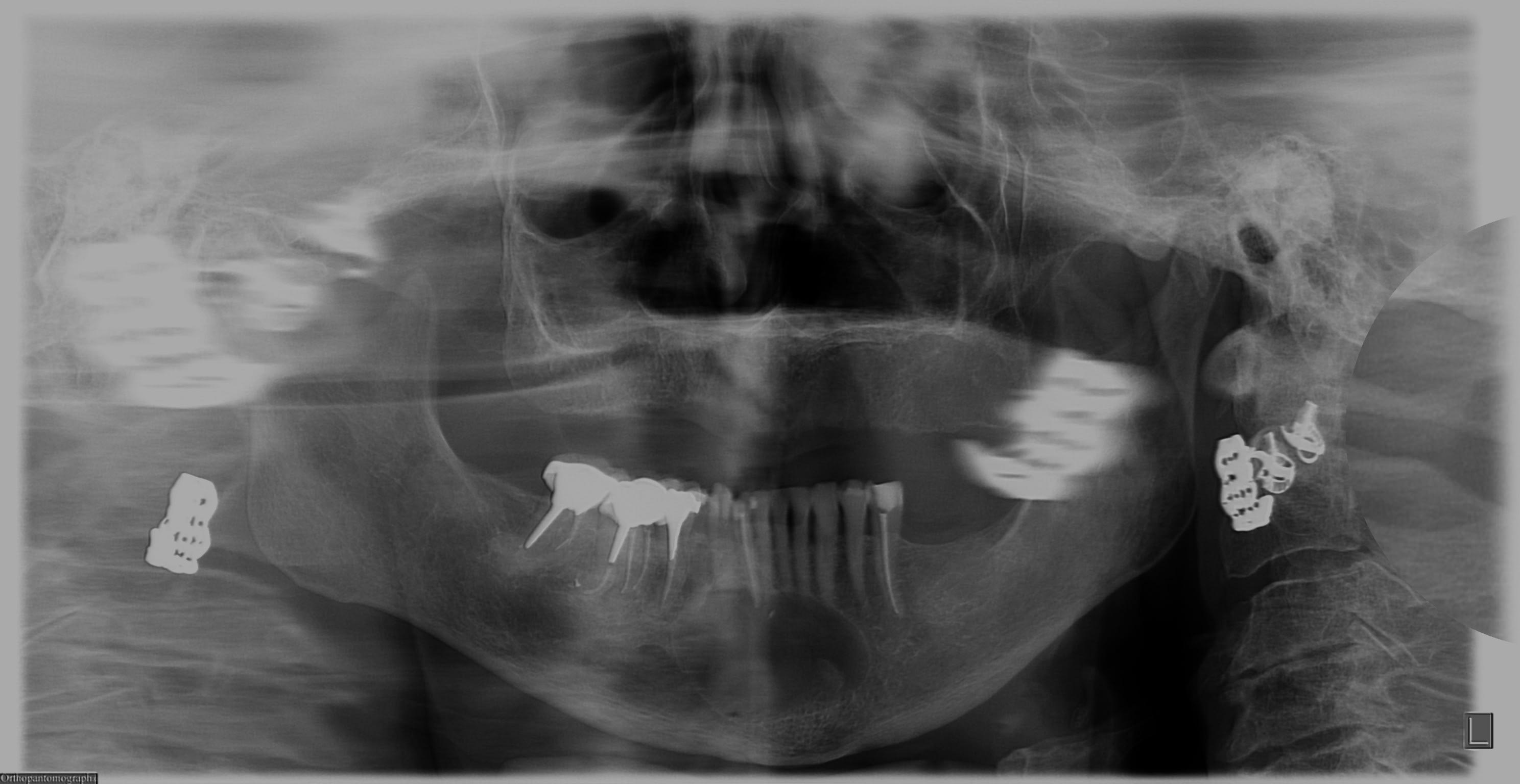
ps : désolé pour la qualité des radios / j'ai pas réussi à faire de belles radio sur cette patiente, qui est vraisemblablement réfractaire au contraste (en plus d'avoir bougée lors de la pano faite avec les boucles d'oreilles)

Bc8ybv2g39sgml0w6ej3 - Eugenol
M6bw1omg4ikpycapx4xt - Eugenol

Photo pluton1b h9n4ea - Eugenol
pluton

02/02/2018 à 16h05

un scan et un rdv chez le stomato!!!

joli kyste....mais là maintenant tu as un risque de fracture mandibulaire+++


Ylfwcw979cz1jnx9gfqeaxndiuzk - Eugenol
Algi

02/02/2018 à 16h05

A priori je dirais le truc à la mode en ce moment: un zoli kystre, mais pas aux yeux vairs, à l’amant d’Ibule.


--
On a toujours le choix mais entre quoi et quoi?
Vas-y boulégue et l'avenir te le dira!


mr smith

02/02/2018 à 16h06

Il n’y a que l’anapath qui te le dira .
Direct chez un chir maxillo


carident

02/02/2018 à 16h24

Elle a été envoyé, par son dentiste, à l’hôpital pour un scanner, et l'interne qui l'a vue, lui a dit qu'elle n'avait rien, et qu'il fallait juste que son dentiste refasse éventuellement le traitement canalaire de sa 42.

A l'anamnèse, elle me dit que sa fille lui a rappelée qu'elle était tombée un an auparavant, lors d'une réunion familiale.

Quésacorétro2 q9go1e - Eugenol
Quésacorétro1 cdknjw - Eugenol

Generique fraisage r2rxmm - Eugenol
lardonbis

02/02/2018 à 16h42

l'image de la première radio de la deuxième serie.... bizarre...
ça peut cristalliser le contenu d'un kyste ? :D

45a2b3f0 j2wd2o - Eugenol

mr smith

02/02/2018 à 16h46

carident écrivait:
--------
> Elle a été envoyé, par son dentiste, à l’hôpital pour un scanner, et l'interne
> qui l'a vue, lui a dit qu'elle n'avait rien, et qu'il fallait juste que son
> dentiste refasse éventuellement le traitement canalaire de sa 42.
>

Le radiologue devait être en pose déjeuner/sieste pour l’interpretatIon .

Ce genre de merde cela donne cela quand tu ouvres le capot ( déjà montré )

E31c175b bd57 4967 84df fc21f3896013 dlsxt1 - Eugenol

carident

02/02/2018 à 16h52

Bonne technique d'irrigation :-)))


Generique fraisage r2rxmm - Eugenol
lardonbis

02/02/2018 à 17h54

avec un peu plus de boulot y'a moyen de faire un truc bien

20171004 17 28 06 cornemuse i01 xqbigh - Eugenol

mr smith

02/02/2018 à 19h48

lardonbis écrivait:
---------
> avec un peu plus de boulot y'a moyen de faire un truc bien

on en est pas très loin , cela fait 3 mois que le drain superieur lui sort de la commissure des lèvres .


Images mg2jvu - Eugenol
zorg

03/02/2018 à 11h34

Pas besoin d'un chir maxillo pour çà, la pano déforme énormément. Le risque de fracture est assez peu important car l'os basal n'est pas atteint. Un chir oral ou un MBD s'en sortira sans pb, "suffit" d'ouvrir par 2 incisions de décharge en avant des trous mentonniers et décollement du lambeau, on tombe sur la bête directement, en général çà n'est retenu que par l'apex en cause que l'on sectionne et hop anapath de principe et on referme. Le plus long c'est de suturer correctement. LBFA030, 73,21€, mdr...


allaskan

01/03/2018 à 11h25

Mais endo canine d'abord!