Cookie Consent byPrivacyPolicies.comdeux implants un peu trop copains - Eugenol

deux implants un peu trop copains

Kams34

10/02/2018 à 20h54

Bonjour à tous,

Vous lisant depuis un petit moment Je tenais tout d abord à remercier tout les membres de ce forum pour leur entraide .
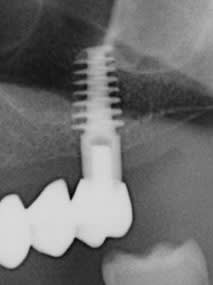
Je me décide enfin à venir vous demander votre avis sur ma pose d'implant du jour. Je les trouve un peu trop proche.. qu'en pensez vous? J'ai placé des Implants anthogyr reg 4*10 en 23 et 24. Trois couronnes solidarisées transvissées seront prévues sur 23-24-26.

Merci d'avance.

Hpyhknssff3aba336rn8 - Eugenol
Dafjpopxyferiie8fx5s - Eugenol

Dolan donald duck weird wqjham bw43ju - Eugenol
GéPé

10/02/2018 à 21h15

Je les trouve surtout très infra osseux o_O Tu t'es trompé de repère sur tes forêts ou bien ?
Sinon si t'as 2mm entre les deux no problemo, ca sera juste pas facile de passer la brossette ;)


3395 40 umvzjn - Eugenol
Aspius

10/02/2018 à 21h55

Il a voulu aligner la pointe de l'implant avec l'apex de 22 :)

Plus sérieusement, c'est effectivement très, très infra osseux.
T'as prévu quoi d'ici à l'ostéointégration, une vis de cicat ou une mise en nourrice?


Photo pluton1b h9n4ea - Eugenol
pluton

10/02/2018 à 21h56

sont plutôt bien //....donc çà devrait aller...même si un peu trop enfouis...

par contre t'aurais pas oublié la vis de couverture sur celui en 24?
si oui, dépêche toi d'y retourner sinon le nonos va aller dedans et là, çà va être la merde à gérer...


Utilisateur banni

10/02/2018 à 22h15

Il est quand même pas assez con pour ne pas avoir posé la vis de couverture. :)
Si c’est du 4 mm de largeur au niveau des deux implants PM . Il faut 3mm entre les bords des 2 implants. Soit 7 mm entre les 2 centres des 2 implants. Ça n’est qu’une estimation.

Ce qui veut dire qu’à moins d’avoir beaucoup d’experience, ou d’etre Doué, c’est préférable de travailler avec un guide. Ça te permet d’implanter au bon endroit et dans le bon axe. Perso c’est ce que je fais. Sinon je ferais comme toi et j’implanterais pas là où il faut. Et ça te permet de ne pas te poser de questions.


Photo pluton1b h9n4ea - Eugenol
pluton

10/02/2018 à 22h22

junior® écrivait:
-------
> Il est quand même pas assez con pour ne pas avoir posé la vis de couverture. :)

je pose la question car il y a quand même 2 radios avec cet implant en 24 où il manque la vis de couv....
donc "con"...non, mais çà peut arriver à tout le monde dans le feu de l'action d'oublier de faire quelque chose....comme placer la vis de couv surtout si le saignement en un peu abondant...et l'implant bien sous crestal...


ReDentek

10/02/2018 à 22h27

Il en manque un en palatin ;-)


Kams34

10/02/2018 à 22h29

Merci pour vos réponses.
Pour la vis de couverture , je m'en suis rendu compte à temps et je l ai mise apres La radio. Merci pluton :-)
Effectivement , il sont un peu trop enfouis . Pour quelles raisons : mise en place des implants quelques semaines apres les extractions. J'ai voulu anticiper la résorption osseuse , peut être un peu trop . Je prendrais en compte vos réflexions lors de mes prochaines poses.
Junior no comment ( pas envie que tu deviennes encore La star de cette discussion )
Merci.


Utilisateur banni

10/02/2018 à 22h29

J’ai pas encore fait cette connerie (oublier la vis de couverture) . Ça m’arrivera sûrement un jour .
Sinon j’arrive pas à retrouver l’étude , allez savoir si je ne confonds pas avec une autre marque , mais il me semble qu’en sous crestal les REG/axiom peuvent se placer à 0,5 mm ou 1,5 mm sans avoir de conséquence. Faut que je recherche l’étude.
Là il est à 3-4 mm ça fait beaucoup. Quelle conséquence ça peut avoir ? Difficultés pour prendre l'empreinte Pluton ? Quelles autres problèmes ça engendre ?
Va falloir sortir la fraise pour retrouver les implants dans 3 mois :)


Photo pluton1b h9n4ea - Eugenol
pluton

10/02/2018 à 22h42

il y a des chances que Kams soit obligé de sortir la fraise pour virer l'os au dessus des implants...et faire un profil osseux pour pouvoir placer correctement les vis de cicat et transferts/piliers...

un ptit truc au passage, les fraises boules CA en céramique de chez Komet sont redoutables à ce petit jeu...et vu que c'est de la céramique, aucun risque d'abîmer le titane....;-)


PopHip

10/02/2018 à 22h42

Il n'y avait rien à anticiper dans le sens vertical. Mais maintenant tu vas perdre de l'os parce qu'ils sont trop enfouis. Sinon oui ils sont un peu trop proches 😢. La distance idéale entre 2 implants est de 3mm.


S2y2o1v7q53ws4r5wy6ou8czrpom - Eugenol
pxav

10/02/2018 à 22h48


Ils sont en effet légèrement trop sous crestal, solutions :

soit tu y retournes (, lundi tes radios sont du 10 ) et tu dévisses tranquillement de 2 tours,

soit tu avance la date de vis de cicatrisation

soit tu attends et il te faudra éventuellement gratter un peu d'os qui ne devrait pas recouvrir les vis de fermetures en principe si tu surveilles (radios).

éventuellement tu ne solidarise pas les couronnes pour une meilleur hygiène .

sinon c'est propre (axe)

merci de poster ça permet de réfléchir, passes nous les radios à l'ouverture pour que l'on sache ce qui se passe...

pour l'empreinte en principe aucun problème.

--
xbk
La connaissance s'acquiert par l'expérience, tout le reste n'est que de l'information." ALBERT EINSTEIN


S2y2o1v7q53ws4r5wy6ou8czrpom - Eugenol
pxav

10/02/2018 à 22h51

et à priori tu ne devrais pas perdre d'os, les axioms sont prévu pour que le col soit intra osseux (sablés)


--
xbk
La connaissance s'acquiert par l'expérience, tout le reste n'est que de l'information." ALBERT EINSTEIN


PopHip

10/02/2018 à 22h55

Oui mais les piliers prothétiques sont lisses.


Photo pluton1b h9n4ea - Eugenol
pluton

10/02/2018 à 23h02

PopHip écrivait:
------
> Oui mais les piliers prothétiques sont lisses.

et????
il y a le plateform switching qui est là pour la conservation de l'os...
faut juste prévoir des piliers avec une émergence proth très haute... (amha 5 voir 7mm en transgingival...)


PopHip

10/02/2018 à 23h09

Bah une surface lisse n'a pas de sens en infra-osseux.
Pour l'instant il n'y a pas de platform switching puisqu'il fait une chir 2 temps.
Il aurait été sinon intéressant de visser des piliers immédiatement. Ca va être galère à positionner.


Photo pluton1b h9n4ea - Eugenol
pluton

10/02/2018 à 23h19

PopHip écrivait:
------
> Bah une surface lisse n'a pas de sens en infra-osseux.

parce que les implants Branemark usinés çà marche pas?
parce que certaines "nouveautés" avec surfaces hybrides rugueuses/usinées n'ont pas d'intérêt non plus...???
un peu de sérieux stp!!!

alors oui, çà va être un peu plus délicat à gérer et positionner les transferts et autres éléments prothétiques...mais bon, çà se fait quand même...


Utilisateur banni

10/02/2018 à 23h20

Pophip qu’est que tu fais des keystone et consorts lisse en haut (lisse abus de langage d’ailleurs) ? La surface lisse est en contact avec de l’os ....


PopHip

10/02/2018 à 23h24

Bah tu peux lire cette étude fondatrice aussi https://www.ncbi.nlm.nih.gov/pubmed/11022770

Pour moi (et pas que), un col lisse c'est juxta ou supra osseux.


PopHip

10/02/2018 à 23h36

pluton écrivait:
------

> parce que les implants Branemark usinés çà marche pas?
> parce que certaines "nouveautés" avec surfaces hybrides rugueuses/usinées n'ont
> pas d'intérêt non plus...???
> un peu de sérieux stp!!!

Sérieusement, c'est un débat qui risque d'être stérile puisqu'il n'y a pas de consensus.
Il y a sinon des papiers à haut niveau de preuve comme https://www.ncbi.nlm.nih.gov/pmc/articles/PMC4963580/ qui montrent moins de perte osseuse avec des surfaces sablées. Le reste n'est que principes et expériences personnels de chacun.


S2y2o1v7q53ws4r5wy6ou8czrpom - Eugenol
pxav

10/02/2018 à 23h55

PopHip écrivait:
------
> Bah une surface lisse n'a pas de sens en infra-osseux.
> Pour l'instant il n'y a pas de platform switching puisqu'il fait une chir 2
> temps.
> Il aurait été sinon intéressant de visser des piliers immédiatement. Ca va être
> galère à positionner.

un col lisse ne présente pas d’intérêt particulier en sous crestal, nous sommes d'accord mais il ne pose justement pas de problème non plus, on ne demande pas au pilier de s'ostéo-intégrer on lui demande de supporter la prothèse sans favoriser la plaque.
la plateforme switching tire bénéfice de la chir en 2 temps et positionner les piliers peut poser de petit problèmes mais ce n'est pas très compliqué de fraiser un peu d'os, beaucoup moins difficile que d'en fabriquer...
exemple d'un Tatum D3 je crois qui a une vingtaine d'année implant sablé et col qui est lisse juste après les ailettes.....

--
xbk
La connaissance s'acquiert par l'expérience, tout le reste n'est que de l'information." ALBERT EINSTEIN

Brma19.01 - Eugenol

Photo pluton1b h9n4ea - Eugenol
pluton

11/02/2018 à 00h01

+1 pxav, c'est exactement ce que je pense...


Utilisateur banni

11/02/2018 à 07h15

implants « lisses »

7c16ea1b c9af 4d00 8e4d 6cbd67ef6e93 imhjmu - Eugenol
278464fc ba2f 4c9a 9501 50d2559efe94 fwbswq - Eugenol

Pierre logo clykpp - Eugenol
Denteo33

11/02/2018 à 07h45

Il faut se méfier sur une radio -RVG et encore plus sur une panoramique- de la proximité apparente entre la canine et la 1ère prémolaire maxillaire : l'arcade "tourne" à cet endroit.


S2y2o1v7q53ws4r5wy6ou8czrpom - Eugenol
pxav

11/02/2018 à 09h22

pluton écrivait:
------
> +1 pxav, c'est exactement ce que je pense...

salut Pluton, fait attention, tu vieillis :-)) tes commentaires et appréciations deviennent posées et réfléchies, ça sent le "vieux briscard..."

et c'est plus sympas que les avis hyper-tranchés que nous avons tous au début.

--
xbk
La connaissance s'acquiert par l'expérience, tout le reste n'est que de l'information." ALBERT EINSTEIN


12