Cookie Consent byPrivacyPolicies.comCross bite posterieur et antérieur - Eugenol

Cross bite posterieur et antérieur

1309531 ours brun n5iukf - Eugenol
seespan

09/03/2018 à 13h59

Deux patients vue Samedi dernier , deux cas un peut compliquer et un des deux ou je n'avais jamais vue de cas équivalent. Les deux sont en vois de finalisation pour la partie " hard "

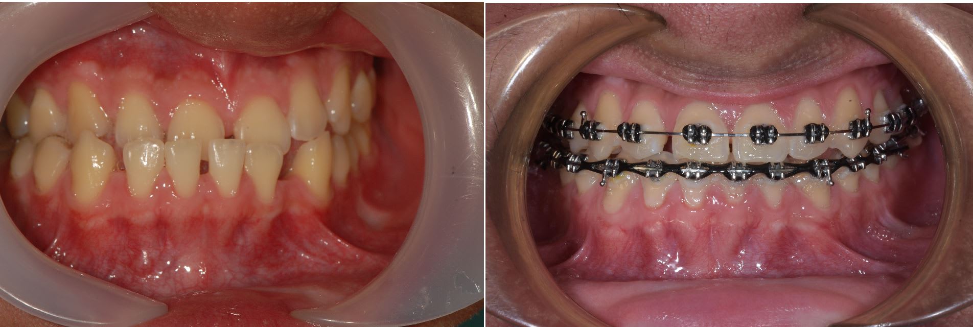
Un cas de cross bite ( déjà montré ) postérieur pas le pire que j'ai eux mais ça reste quand même assez costaux.
Occlusion rétablie du coté cross bite et présque rétablie du coté " normal "

Un cas plus inhabituel Patient class III avec cross bite antérieur. Ici gros espaces en antérieur à la mandible. Vue le coté inhabituel j'ai fait un set up qui m'a indiqué qu'il fallait à la fois mésialer les secteurs postérieur supérieur et inférieure. Traduction pas de mécanique class III classique.

Pour la distalisation j'ai utilisé deux minivisse en palatin avec un fil de 0.8 mm en boucle. Le design est simple , économique , ne necessite pas de matos particulier ( important au Cambodge ) et est très efficace.




--
หมอจัดฟัน

Scfvaeadu7v7qyxyhrhw - Eugenol
Whk8xi583h0dy7kc7p5s - Eugenol
U7bkuj7zcz8kzsder3cu - Eugenol
Eqqlclbr0vdh7tjshvlq - Eugenol
Qcaoppfitbgonfwthmt3 - Eugenol
Xzygbs4jtel64heljmvl - Eugenol
Kuwzeulhfmosonswmnnh - Eugenol

1309531 ours brun n5iukf - Eugenol
seespan

09/03/2018 à 14h00




--
หมอจัดฟัน


Gariane

09/03/2018 à 22h25

Bonsoir seespan
Effectivement tes 2 cas sont assez hard
Si je comprends bien , t’as mis des vis dans les 2 cas . Pour le cross bite latéral , je dis bravo ( je pose pas encore de vis alors j’admire ) . Par contre ,
Je vois pas trop l’interet Pour le cross bite antérieur d’autant que sur la télé , tes inc Sup se sont vestibulees . Pour moi , c’est un cas chir , sauf si refus du patient alors j’aurais fait une mécanique classique de classe 3 .


1309531 ours brun n5iukf - Eugenol
seespan

10/03/2018 à 01h58

Hello Gariane la ou le quasi seul nonolien intervenant sur les post ortho :-) .

Pour les minivisse je délégue, je voulais me former mais je n'ai tout simplement pas le temps , je me concentre sur le linguale ( mon laboratoir est en train de faire notre premier cas ) et les aligneur.

Pour le deuxième cas oui le patient à refusé la chirurgie, les Cambodgien refuse quasiment toujours les traitement chirurgicaux , préférant une abscence de tout traitement à un chir.
Cette année seulement quatre cas chir en court et trois d'entre eux n'avais tout simplement pas d'autre option .
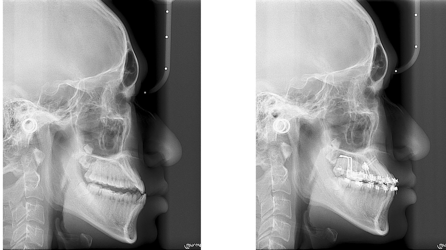
Pour ce patient il y a avait des espaces important à la mandibule. Visuellement je trouvais le cas inhabituel donc j'ai fait un set up 3D. Résultat il fallait mesialé à la fois à la mandibule et au maxillaire.
Une mécanique classique de class III était out ici à moins de vouloir faire sortir les incisives de la corticale.
J'ai choisie les minivisse palatine car j'ai eu de bon résultat pour mesialé avec ce type de configuration , mais je cherche encore un système prédictible à la mandibule.

La mécanique inhabituel est la raison pour laquelle j'ai présenté ce cas.
Avec une mécanique class III classique pas de stress car j'ai beaucoup de patient class III donc résultat prédictible. Ici c'était le premier patient de ce type que je traité et je n'avais jamais entendue parler de cas équivalent.
Depuis j'ai eu un deuxième patient à peut près équivalent, son ortho en Nouvelle Zélande avait préféré ne pas toucher le cas :-)


--
หมอจัดฟัน


Images 1 qtgoxf - Eugenol
ciwil

10/03/2018 à 02h02

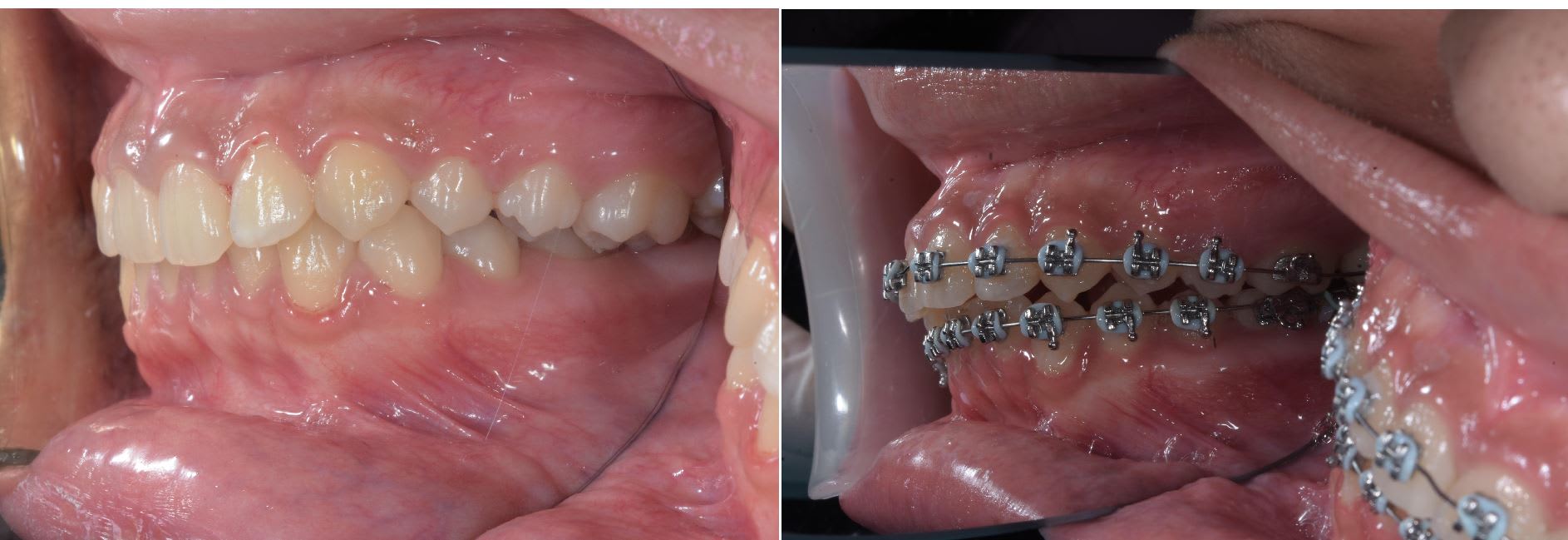
à quoi t'ont servi les attaches palatines sur 12 et 13?


1309531 ours brun n5iukf - Eugenol
seespan

10/03/2018 à 02h19

ciwil écrivait:
-----
> à quoi t'ont servi les attaches palatines sur 12 et 13?

Correction du cross bite laterale au niveau de la canine. Ca n'a pas était simple...


--
หมอจัดฟัน


ken

10/03/2018 à 17h00

Bonjour,
Du bon travail !
Bravo seespan.
Pourquoi ne pas opter pour les extractions des deuxièmes prémolaires supérieures et inférieures après correction de l’articulé Inversé et l’egression des molaires.
Il y a trop de compensation orthodontique ( proalveolie importante afin de corriger l’articulé Inversé antérieur) .
Les espaces postérieures crée auraient servi à décongestionner la biproalveolie et aussi decompenser la proalveolie sup du un une retromaxillie .


Gariane

10/03/2018 à 20h36

Au vu de la télé , sans chir , j’aurais reculé les inc inf au Max et pas mésiale les secteurs latéraux inf (??)
Tant pis pour les rapports latéraux . Équilibration occlusal finale et basta. Pas d’ext non plus pour moi histoire de garder le volume de la boîte à langue sûrement volumineuse dans cette ethnie et sans doute a l’origine des diastemes......


Images 1 qtgoxf - Eugenol
ciwil

10/03/2018 à 22h34

le résultat obtenu pas seespan est sympa, en espérant qu'il ne soit pas trop récidivant


atrax

10/03/2018 à 22h52

La boite à langue...


1309531 ours brun n5iukf - Eugenol
seespan

11/03/2018 à 06h02

Il n'était pas possible de fermer les espaces en ramenant les incisives en arriére ici.
Comme indiqué j'ai fait un set up pour ce cas et c'était mesialé les secteurs post ou sortir les incisives mandibulaire de l'os ( ce qui est tout à fait faisable malheureusement )

je sais que ce type de cas peut surprendre en Europe et US ( grosse discussion avec un colégue texan sur un autre forum ) ou les chirurgies ne sont pas souvent refusé par les patient et les class III rare.
Mais en Asie les class III c'est 30 50% des cas. Donc les options non chirurgical sont plus fréquent/ plus developée .
Ce type de résultat est assez fréquent ici et un autre collègue US m'a dit que suite a présentation à l' AAO de traitement class III non chirurigicaux en asie ( chine, Japon , Thailand ) il avait était forcé de réevaluer ce qui était faisable.
Lors de ses conférences le Pr Kim l'inventeur du MEAW disait étre choqué par la pose d'indication chirurgical de cas qui était tout à fait traitable sans.

Pour ce cas
- comparé l'inclinaison post et durant traitement des incisives il y a eu compensation mais pas de changement majeurs
- le profile est amélioré
- la fonction ok

A part pour des considérations esthétique quel avantages voyer vous à faire un chir ici ?

--
หมอจัดฟัน


Gariane

11/03/2018 à 08h19

Avec tout le respect que je dois à ton travail , Il me semble que sur ta radio , t’as quand même eu un repositionnement incisif inf . Faudrait faire des superpositions pour savoir ce qui s’est vraiment passé mais je ne suis pas sure que tu aies bien mesiale les secteurs lat Inf non plus.
Je n’ai jamais vu d’inc inf sortir de la corticale par linguoversion .......( mais je n’ai pas fait les scan non plus ) sauf évidemment avec des forces trop grandes .
La chir ( avancée maxillaire ) améliorerait surtout l’espace pour la langue en plus de l’esthétique . Prévois peut être dans ta contention de contenir ta langue ( + rééducation) sinon à mon avis tes incisives vont souffrir à +/- long terme .


1309531 ours brun n5iukf - Eugenol
seespan

11/03/2018 à 09h15

La langue à tout l'espace qui l'ui faut vue que je distalize la dentition maxillaire
Et je n'ai jamais dis que je ne voulais pas compenser les incisives inf , j'ai dit qu'il fallait mesialer les secteur post mandibulaire. et qu'une méchanique classique , power chaine + class III elastique ça risquer de ne pas passer.


--
หมอจัดฟัน

Kit omeit2 - Eugenol
Kit2 sgiqnn - Eugenol

doagui

11/03/2018 à 11h01

Gariane écrivait:
-------
> Je n’ai jamais vu d’inc inf sortir de la corticale par linguoversion .......(
> mais je n’ai pas fait les scan non plus )

Je l'ai vu, enfin j'ai vu une énorme récession jusqu'à la moitié de la racine en lingual d'une incisive inf trop versée.

J'ai aussi vu des incisives maxillaires sortir de la corticale palatine (palais très creux) lors d'un traitement de classe II par extraction de 14-24 et recul du secteur incisivocanin... Pas de signe particulier pendant le traitement, pas de douleurs signalées, mais au moment de poser la contention (phase où je suis intervenu en l'occurrence) une inflammation marquée en palatin et qui ne se réglait pas, donc scanner et hop, jolie surprise !


1309531 ours brun n5iukf - Eugenol
seespan

11/03/2018 à 11h11

Si tu fais sortir les racines de la cortical en lingual tu peut les re rentrer à l'intérieur.
Si tu traverse la cortical en palatin, si tu attend de l'os va se reformer. Le Pr Park nous à montré plusieurs cas traité de la sorte lors de sa formation en Corée.
CBCT après traitement et un ou deux ans plus tard.


--
หมอจัดฟัน


doagui

11/03/2018 à 11h36

seespan écrivait:
-------
> Si tu fais sortir les racines de la cortical en lingual tu peut les re rentrer à
> l'intérieur.
> Si tu traverse la cortical en palatin, si tu attend de l'os va se reformer. Le
> Pr Park nous à montré plusieurs cas traité de la sorte lors de sa formation en
> Corée.
> CBCT après traitement et un ou deux ans plus tard.

Je ne sais pas ce que ça a donné, la patiente a été confiée à un paro exclusif. J'espère que ça s'est terminé comme tu le racontes.


Gariane

12/03/2018 à 00h31

Ceci dit je pense que si on faisait des CBCT à tous nos patients en traitement on aurait sûrement plusieurs mauvaises surprises ; Les damoniens y compris !
Mais il est vrai aussi que le déplacement dentaire bien piloté crée de l’os alors on peut penser que nos erreurs sont réparables . A éviter malgré tout si possible .


1309531 ours brun n5iukf - Eugenol
seespan

23/08/2018 à 10h37

Et le patient avec le crosse bite antérieur m'a annoncé il y a un mois qu'il partait à l'étranger pour 10 mois.
J'ai tout débaguer et on reprendra à son retour

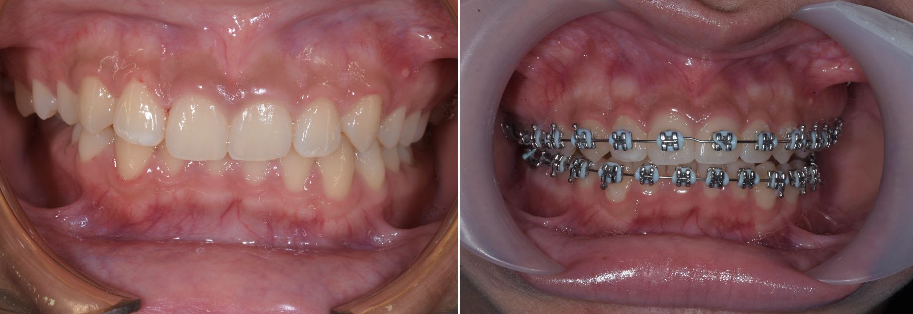
Quelque photo avant après. Les pano sont intéressante car elles montre bien que l'on à mesialé l'ensemble des secteurs post, que sa soit à la mandibule ou au maxillaire.
--
หมอจัดฟัน

57fa6a41 8aea 4ffa 80a0 e83152504d3d urndv1 - Eugenol
5290773c 9786 4d1f bc08 d1ab468aaa1c czzc0l - Eugenol
A431d42a 3d7a 4ea9 8220 0b1bda668ee9 egtn5n - Eugenol
3b508878 e5ba 4c58 be03 e8f352eb2722 ae8myr - Eugenol