Cookie Consent byPrivacyPolicies.comtentative de conciliation à l'amiable - Eugenol

tentative de conciliation à l'amiable

Vw campersurfvan bmnk1q - Eugenol
enlaye

15/03/2018 à 16h08

Ça ne tient pas la route ce post .


Fouilla h6plsy - Eugenol
fouilla

15/03/2018 à 17h24



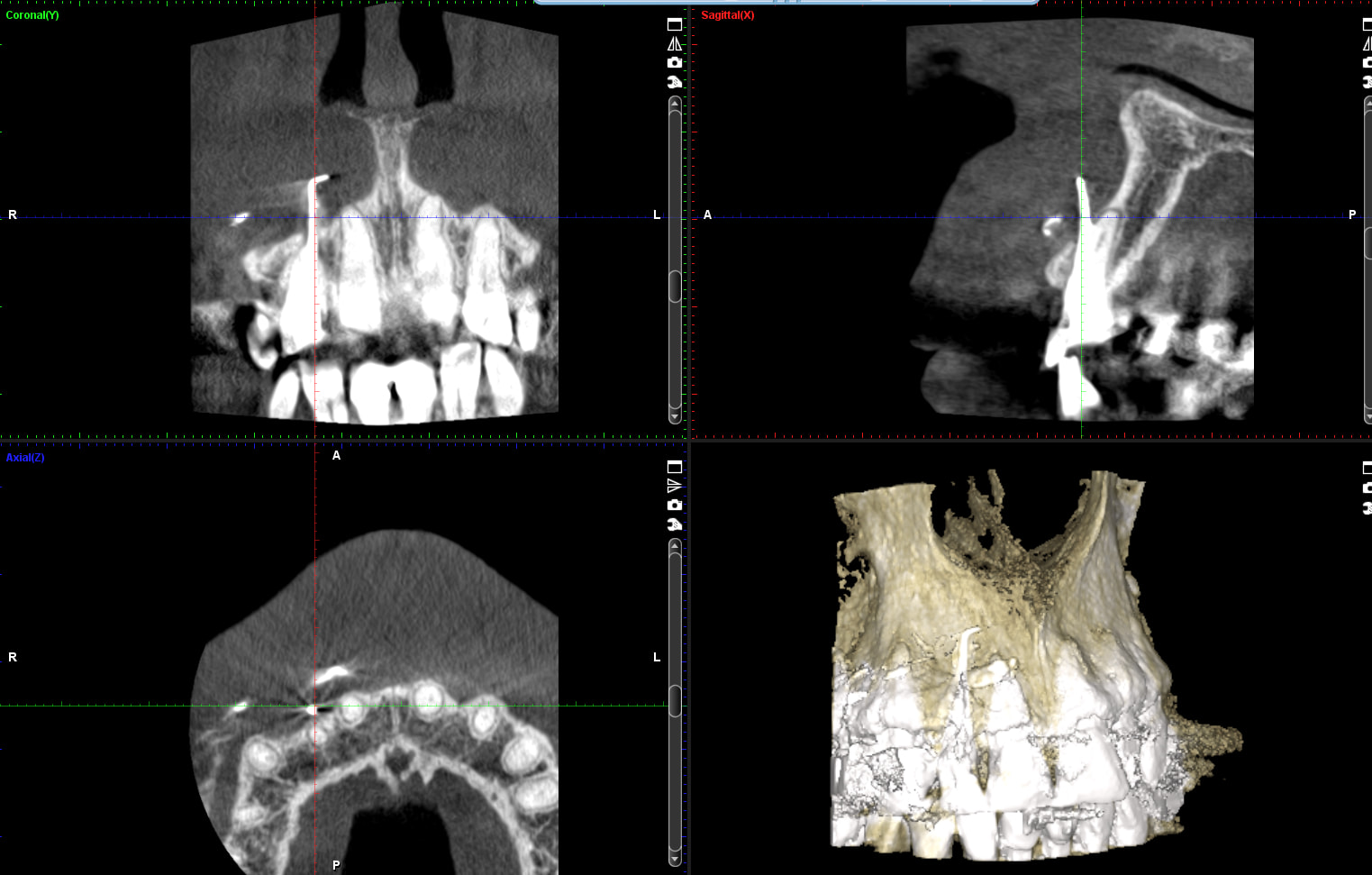
franchement ton truc va vite faire pschitt, ben oui faux canal , léger emphysème lié à l'hypochlorite, après c'est certain ça a été géré (même par quelqu'un d'autre ça a été géré) donc pas de perte de chance à priori , juste douleur mais quantifiable ? tu t'es déjà expliqué avec le patient qui en veut peut être plus tu verras bien ... tiens pour te dire que parfois ça peut aller plus loin je te mets une petite photo d'un cas "extrême" dent mise en attente de cicatrisation après deux injection d'hypochlorite en deux séances une sous al et une sans "pour voir" ... la indemnisation il y a eu
--
.

Capture d écran 82 x5i4y5 - Eugenol

che7

15/03/2018 à 21h20

N importe quoi lachmar! À ma place tu ne la mettrais pas . Quand cette histoire sera fini je la mettrais. De toute facon là j ai pas de radio avec lime et qui mettent en evidence le faux canal. La dent au dernier nouvelle a été traité endodontiquement , le faux canal aussi. Il y a aura peut être greffe paro. Je n ai pas vraiment de nouvelle concernant l état du patient depuis longtps. Du coup paresthesie ou hypoesthesie je sais pas trop. Je pense plus a l hypo mais j en sais rien. Merci à ceux qui ont répondu à ma question!!😉.
Certains d entre vous sont vraiment des commères! ahah merci quand même!


Utilisateur banni

15/03/2018 à 21h45

De toute façon c’est pas compliqué . Normalement on te demandera tôt ou tard :
- la radio pré op pour voir si le traitement était justifié
- et la radio après pour voir si t’as carrément mutilé la dent
- ce que tu as fait et prescrit

Dès fois on se dit : tiens le mec a une pulpite , pas besoin de faire une radio pré op .... grosse erreur. Car on pourra toujours te reprocher d’avoir injustement dépulpé une dent et de l’avoir délabrée pour rien dans le but de faire de l’argent ensuite. Surtout qu’un patient peut être de mauvaise foi et dire qu’il n’avait pas mal à sa dent .


lachmar

16/03/2018 à 09h22

che7 écrivait:
----
> N importe quoi lachmar! À ma place tu ne la mettrais pas .


bien au contraire : j'ai déjà mis des radios de dents ou j'avais fait de grosses conneries

quand tu sollicites un conseil il faut donner tous les éléments en ta possession

l'absence de radio lime en place sous digue te place clairement en position fautive


CHIRDENT

17/03/2018 à 07h59

Il existe un document de la HAS qui dit "........ le traitement endodontique requiert au moins trois radiographies........." . C'est la référence en matière expertise en France.

https://www.has-sante.fr/portail/upload/docs/application/pdf/2009-01/fiche_butm_traitement_endodontique.pdf


Hok 1b hgd3rj - Eugenol
Hokusai

17/03/2018 à 08h04

CHIRDENT écrivait:
--------
> Il existe un document de la HAS qui dit "........ le traitement endodontique
> requiert au moins trois radiographies........." . C'est la référence en matière
> expertise en France.

et sur le per-op vaut mieux voir un crampon...
l'endo française a 40e faut la faire comme dans les pays développés à 200e.


Glenn

17/03/2018 à 09h51

Le document de la HAS stipule egalement :

"Le nombre de clichés peut être réduit par l’utilisation de localisateurs
électroniques d’apex."

Donc on peut se passer de la perop si on utilise un localisateur ?


elje

17/03/2018 à 09h57

Glenn écrivait:
-----
> Le document de la HAS stipule egalement :
>
> "Le nombre de clichés peut être réduit par l’utilisation de localisateurs
> électroniques d’apex."
>
> Donc on peut se passer de la perop si on utilise un localisateur ?

Pour moi systématiquement c’est le localisateur pas de radio per op dans la plupart des cas .


Hok 1b hgd3rj - Eugenol
Hokusai

17/03/2018 à 10h48

Glenn écrivait:
-----
> "Le nombre de clichés peut être réduit par l’utilisation de localisateurs
> électroniques d’apex."

Oui mais avec "au moins" 3 cliches... 3 c'est le mini (je fais toujours cône en place)
Y'en a qui font plein de radios per-op... mais ce sont ceux qui n'ont pas confiance en eux... ;)


CHIRDENT

17/03/2018 à 10h55

Je fais pré-op, puis cône en place avant obturation pour être sûr de ne pas être trop long au cas où le localisateur se trompe (car trop long c'est plus embêtant que trop court) puis obturation apex puis contrôle final


Hok 1b hgd3rj - Eugenol
Hokusai

17/03/2018 à 11h01

L'absence de radio per op + l'absence de digue constituent des fautes au sens des recommandations de la HAS.
Et la on change de registre.


Avatar transparent iqadnc - Eugenol
adhoc

17/03/2018 à 11h13

Ne pas oublier que les gonzes qui ecrivent en HAS pratiquent peu, car ils apprtiennent a plein de sociétés honorifiques, avec des quolifichets au veston. On ne peut pas tout faire!!!
Est ce bien raisonnable de calquer notre bonne conduite sur la leur, alors qu'ils conduisent peu (ou pas!!!)????


P2eqdh3csim6s7nb09ktdq3e7ev8 - Eugenol
barbabapat

17/03/2018 à 11h59

adhoc écrivait:
-----
> Ne pas oublier que les gonzes qui ecrivent en HAS pratiquent peu, car ils
> apprtiennent a plein de sociétés honorifiques, avec des quolifichets au veston.
> On ne peut pas tout faire!!!
> Est ce bien raisonnable de calquer notre bonne conduite sur la leur, alors
> qu'ils conduisent peu (ou pas!!!)????

Le gros problème étant que même si leur vision est totalement théorique et très éthérée, elle peut nous être opposée en cas de litiges.

C'est un peu comme les limitations de vitesse sur autoroutes. Les personnes qui les ont conçus avaient prévus l’amélioration possible des véhicules dans le futur et les règles de constructions tablent sur globalement du 200 km/h sur les véhicules de l’époque. Il n'en reste pas moins qu'elles restent limitées à 130.


lachmar

17/03/2018 à 14h06



mais on reste dans le theorique

puisqu'on n'a pas droit aux radios


chicotine30

17/03/2018 à 14h28

Bonjour à tous ;

En cas de litige avec un patient, la procédure se passe comment si un confrère a modifié une prescription de médicaments en aval ?

Et ça se passe comment si le pharmacien a utilisé son droit légal de véto ( refus de délivrance ) du premier médicament prescrit, ce qui a eu des conséquence néfastes (pour moi) ? La procédure devant le CO fonctionne avec d'autre professionnels de santé ?


lachmar

17/03/2018 à 14h53

chicotine30 écrivait:
-----------
> Bonjour à tous ;
>
> En cas de litige avec un patient, la procédure se passe comment si un confrère a
> modifié une prescription de médicaments en aval ?
>
> Et ça se passe comment si le pharmacien a utilisé son droit légal de véto (
> refus de délivrance ) du premier médicament prescrit, ce qui a eu des
> conséquence néfastes (pour moi) ? La procédure devant le CO fonctionne avec
> d'autre professionnels de santé ?

ta demande n'est pas claire
peux-tu expliquer les faits avec plus de précsion ?

tu peux attaquer chaque profession de santé devant son ordre
mais tout le monde peut t'attaquer devant ton ordre


lachmar

17/03/2018 à 14h54

Hokusai écrivait:
-------
> L'absence de radio per op + l'absence de digue constituent des fautes au sens
> des recommandations de la HAS.
> Et la on change de registre.


non seulement au niveau de la HAS , mais au niveau de tous les experts devant la Cour d'Appel

et effectivement on atteint un domaine plus cohercitif que simplement financier


X ray 03 medium zvq18j - Eugenol
cyber_quenottes

17/03/2018 à 15h43

la radio per op n'est pas mentionnée comme obligatoire
( montrez moi l'extrait de texte = je reconnaitrais mon erreur, ce sera pas ma première, mais contrairement à certain syndicaliste ici, moi je fais amende honorable )

sinon la secu exigerait 3 cliché
Or, elle en demande 2 OU 3


--
==================
la csnd a voulu le "fromage" de la CCAM
la SECU a ajouté une tapette autour


Hok 1b hgd3rj - Eugenol
Hokusai

17/03/2018 à 17h32

cyber_quenottes écrivait:
---------------
> sinon la secu exigerait 3 cliché
> Or, elle en demande 2 OU 3

La pre op et post op sont obligatoites d un point de vue conventionnel, la per op obligatoire selon les recommandations de bonnes pratiques est prise en charge... les suivantes sont réalisées gracieusement.
Sans aucune radio per op... tu es en dehors des recommandations de bonnes pratiques et de fait en position fautive.


rat

18/03/2018 à 10h11

La radio c' est le dentiste que le patient a vu après qui la lui aura fourni "confraternellement" qui sera donnée ...

Vas y avec un avocat .
Explique que canal calcifié et aléa thérapeutique .
Tu peux demander de t' entretenir 5mn avec ton avocat histoire de reprendre tes esprits.

Relativise, tu en verras d' autres


X ray 03 medium zvq18j - Eugenol
cyber_quenottes

18/03/2018 à 11h51

Hokusai écrivait:
Sans aucune radio per op... tu es en dehors des recommandations de bonnes
pratiques et de fait en position fautive.
=============================================================
NON, NON et encore NON

il y en a marre des affirmations péremptoires non vérifiées

extrait du guide
2.2.3
Diagnostic endodontique
Les clichés rétro-alvéolaires pré-opératoires sont des examens qui permettent d’obtenir
les informations nécessaires à l’analyse de l’anatomie canalaire. Ils fournissent, de plus, des
données sur l’intégrité du parodonte. Les éléments fournis par cet examen initial sont
susceptibles d’influer sur le plan de traitement. Ces clichés sont idéalement réalisés en T.I.B.
Sur les dents pluri-radiculées, l’estimation de la longueur de tous les canaux peut nécessiter la
réalisation de plusieurs clichés rétro-alvéolaires.
Niveau de recommandation B

L’utilisation de localisateurs électroniques d’apex peut permettre de diminuer le
nombre de clichés lors de l’estimation de la longueur de travail.
S’il existe un doute sur l’intégrité de la constriction apicale, une radiographie rétro-
alvéolaire de contrôle peut être réalisée avant l’étape d’obturation canalaire.
Niveau de recommandation B


Une radiographie post-opératoire doit être réalisée, à la suite de l’obturation, afin de
vérifier sa qualité et de constituer une image de référence pour le suivi du patient.
Niveau de recommandation B

======================
encore une fois la sécu mentionne comme obligatoire ce qui l'est seon les recos

si les recos ne donnent qu'un caractère facultatif, la secu est OBLIGEE de ne pas le rendre obligatoire


seule exception couronnes et bridges où une radio est exigée alors que le libellé ne dit que : " la ou les radios médicalement justifiées...."

si la couronne en elle même ou le bridge en lui même exigeait une radio ce serait écrit une radio est obligatitre ( avant pendant ou apres la pose ) mais RIEN de tel n'est écrit simplement parce que cette mention est un "résidu" de la radio apres reconstitution qui était ILLEGALE


lachmar

18/03/2018 à 13h11

cyber_quenottes écrivait:

> S’il existe un doute sur l’intégrité de la constriction apicale, une
> radiographie rétro-
> alvéolaire de contrôle peut être réalisée avant l’étape d’obturation canalaire.


on est en plein dedans : il existait un tel doute sur l'integrité de la constriction apicale qu'on est passé à côté

la radio perop etait donc impérative

il vaut mieux comprendre les textes avant de les publier


Hok 1b hgd3rj - Eugenol
Hokusai

18/03/2018 à 13h24

lachmar écrivait:
-------
> cyber_quenottes écrivait:
>
> > S’il existe un doute sur l’intégrité de la constriction apicale, une
> > radiographie rétro-
> > alvéolaire de contrôle peut être réalisée avant l’étape d’obturation
> canalaire.
>
>
> on est en plein dedans : il existait un tel doute sur l'integrité de la
> constriction apicale qu'on est passé à côté
>
> la radio perop etait donc impérative
>
> il vaut mieux comprendre les textes avant de les publier

Et c'est ca qu'on va lui reprocher... c'est pas l'absence de résultat ou le faux canal le pbm... c'est de pas avoir suivi et appliqué les recommandations.
Et la, c'est clairement pas la même histoire... le primum non nocere n'est pas respecté... Tu changes carrément de dimension.
Le non respect des recommandations, c'est considéré comme une perte de chance pour le patient.