Cookie Consent byPrivacyPolicies.comImprimante 3D - Eugenol

Imprimante 3D

1309531 ours brun n5iukf - Eugenol
seespan

10/07/2018 à 11h00

Trop compliqué à priorie.
Il nous faut quelque chose qui soit utilisable à la fois par les dentistes et les protho donc on veut rester sur du simple.
Là il faudrait utiliser onyxceph + un autre logiciel pour la partie support et ça pour chaque impression.
Pour des traitement par aligneur tu peut te retrouver à imprimer plus de 10 arcades facile.
C'est pas comme un guide d'implanto ou une chir = un guide = plus d'une heure de boulot au cab.

Simplification/ rapidité c'est ce que l'on cherche.


--
หมอจัดฟัน


Generique fraisage r2rxmm - Eugenol
lardonbis

10/07/2018 à 12h31

le positionnement des supports sécable à partir du STL de tes 10 arcades est automatique. En plus le slicing sur ce soft est sans doute l'un des plus rapide qui soit.
Autre chose: chaque soft de slicing va te créer des stratégies et paramètre de constructions de ta pièce différente. Il y a vraiment un gros impact sur la qualité finale.


1309531 ours brun n5iukf - Eugenol
seespan

10/07/2018 à 15h30

Bon après quelle que recherche.
Le software que j'utilise Slic3r prusa est équivalent à Simplify3D.

https://www.akeric.com/blog/?p=4164


Autant que possible je préfére utiliser de l'open source. Rien à voir avec le coté payant/ gratuit mais plus dans des soucis de continuité.
Si tu te forme avec un payant, tu dois travailler avec, donc payer une nouvelle licences à chaque fois que tu changes d'ordinateur ou le veux sur un ordi suplémentaire.

Plus si tu veux former/travailler avec d'autre personne, c'est tout de suite plus simple d'avoir une solution non payante.
Dans mon cas :

Imprimante perso donc je le veux sur mon portable mais aussi sur mon fixe, deux ordi donc deux licence, et je viens de changer de portable. Donc trois licences juste pour mon domicile.
Avec du libre no soucie, je télécharge et j'installe.

Slic3d fait aussi les supports , mais je doute que ça soit très pratique dans mon cas. Mais gros avantage d'avoir l'imprimante à domicile et d'imprimer pour un cout faible, je peux expérimenter.

30 à 50 centime d'euro l'impression c'est pas la même chose que 7 euro .



--
หมอจัดฟัน


Images 1 qtgoxf - Eugenol
ciwil

10/07/2018 à 17h07

tu ne peux pas t'offrir Ortho Analyzer ou équivalent ?


Icon poker h4nm2d - Eugenol
jeff

10/07/2018 à 22h33

Je n’ai pas encore essayé, mais cela peut être sympa pour des cas simples.


1309531 ours brun n5iukf - Eugenol
seespan

11/07/2018 à 01h06

ciwil écrivait:
-----
> tu ne peux pas t'offrir Ortho Analyzer ou équivalent ?

Pourquoi faire j'ai déjà onyceph, qui est un logiciel plus puissant pour réaliser des gouttiére qu'orthoanalyser.
Onyxceph à était conçut spécifiquement pour la réalisation de gouttiére quand orthoanalyser est plus généraliste.

Ortho analyser te permet de créer tes attaches ou tu as juste une bibliotéque ?



Sinon nos amis US sont remonté à mort contre invisalign et très focus sur la réalisation d'aligner maison.
Ca m'a donnée l'occasion d'avoir différent écho sur les différentes solutions existante à l'heure actuelle

Pour l'instant je n'ai rien vue de mieux qu'onyxceph.

Orthoanayser et la 3Shape c'est jolie mais objectivement tu as moins de fonction pour les gouttiére qu'onyxceph.
Le coté polie du software c'est sympa, mais c'est comme la couleur, fondamentalement ça n'apporte rien pour mes applications.

Un exemple de truc inutiles, la supperposition avec le CBCT Mis à part que ça va te prendre du temps à réaliser, le coté inutiles en clinique peut être quasi démontré d'un point de vue évidence based.

La seul fois ou je suis aller à l'AAO, il y avait un paquet de conf sur la CBCT ( et autant de vendeur ), la majorité des conférenciers expliquer que la 3D avait changé leur pratique et qu'ils faisait des clichés 3D quasi à chaque patient. Le soucie c'est que je ne voyais pas un cas ou la 3D semblait faire une différence.
Only deux conférences évidences based montrant que oui, à part cas particulier ( genre impaction ) la 3D en ortho ne servait pas à grand chose.

Enfin bref si ortho analyser est sympa ça n'est pas la premiére solution mis en avant par nos amis US pour la réalisation de gouttiére.


--
หมอจัดฟัน


1309531 ours brun n5iukf - Eugenol
seespan

11/07/2018 à 02h46

Pour la petite histoire onyxceph à aussi des modules qui ne servent à rien IMO.

Genre le placement automatique de bracket pour faire des gouttiéres de collage indirect. On à le module jamais utilisé.
- c'est long
- ça coute chère
- c'est pas pratique
- ça va durer plus longtemps au fauteuil.

Typique l'exemple ou la technologie présente zero avantage.

J'ai trouvé un Allemand qui utilisé le module pour faire du lingual, j'attend toujours qu'il me montre ne serait ce qu'un de ses cas :-) .
Le module est déjà foireux en vestibulaire mais en lingual pour différente raison c'est pire.


--
หมอจัดฟัน


1309531 ours brun n5iukf - Eugenol
seespan

11/07/2018 à 03h02

jeff écrivait:
----
> Je n’ai pas encore essayé, mais cela peut être sympa pour des cas simples.
>



Si c'est pour des cas simples tu as plus vite fait de modifier le modèle en plâtre. Tu le meule ou tu veux pousser et tu met de la résine pour faire de la place et une gouttière par dessus.

Ca ne coute rien et c'est très rapide. C'est aussi ultra prédictible pour les mouvement simple. Je tournais avec ça et puis depuis que j'ai commencé le court sur les gouttiéres j'ai voulue m'attaqué à des cas plus compliqué.
La tu as besoins de la 3D ( en faite tu peut le faire avec des techniciens et du plâtre ).

Par contre si c'est pour bouger une dent ou deux, fermer un diastème, je modifie toujours le modèle en plâtre.

Attention aussi à ce qui peut sembler simple mais ne l'ai pas.
Bouger une incisive lateral sup par exemple c'est pas simple, surtout si tu veux faire du tipping. La rotation d'une canine idou.
Le soucie de la 3D c'est que c'est un peut un PAC, " ho regardez comme c'est simple, tu bouges les dents sur l'ordi avec mon software magique, tu imprimes avec mon imprimante extraordinaire, tu fais la gouttière avec la presseuse héroïque et tout s'alignera " .

Donc ça te donne ce truc marrant, des dentiste / ortho qui se sont lancé dans la réalisation de gouttière maison j'en connais un paquet. Par contre des résultats concret publié j'en ai vue peut, très très peut . Le truc marrant c'est que même en ayant relativement peut de cas avec la 2D, je n'ais aucun soucie pour montrer la progression de ma technique :-) .

Bref utiliser le plastique ça n'est pas si simple.
--
หมอจัดฟัน


Olieve

11/07/2018 à 10h45

seespan écrivait:
-------
> Si c'est pour des cas simples tu as plus vite fait de modifier le modèle en
> plâtre. Tu le meule ou tu veux pousser et tu met de la résine pour faire de la
> place et une gouttière par dessus.

En pratique, tu meules quel volume ?
Moi en tant qu'omni, ce qui m'intéresserait c'est, par example, de redresser une 37 avant d'implanter 36. Tu classes cela dans les cas faciles ?


1309531 ours brun n5iukf - Eugenol
seespan

11/07/2018 à 12h47

Tu meules un demis millimétre.
Après pour activé plus tu peut déformer le plastique avec des pinces spéciale.
Par exemple si tu veux tipper d'un millimètre normalement ça passe avec une gouttière. Tu crée l'espace avec de la résine et tu meules sur 1/2 millimètre, tu gagnes le 1/2 millimètre suivant en activant avec des pinces.

Redresser une 7 avec du plastique pure je ne conseille pas. Perso je fais ça avec des bagues ça marche mieux.




--
หมอจัดฟัน


Icon poker h4nm2d - Eugenol
jeff

11/07/2018 à 13h12

Tu dis que tu aime l’open source, mais de ce que j’ai pu voir, onyxceph est payant, je crois.
Actuellement, pour de petite recidive, je fractionne la dent sur le plâtre , la replace avec une clef et de la cire, déplace la dent, prend un empreinte, redeplace...
J’ai été jusque 4 aligner comme ça .
C’est long et chiant.
Mais pas envie non plus de mettre 5 k dans un logiciel. D’ou Blueskyplan.


1309531 ours brun n5iukf - Eugenol
seespan

11/07/2018 à 13h40

Je n'ai rien contre les payants, mais si j'ai une alternative opensource qui marche c'est ce que j'essais d'utiliser.
Pour modifier un modéle en plâtre le plus gros soucie c'est que tu es limité à des mouvement de tipping.
Ici deux cas pour illustrer.
Le premier j'ai commencé par modifier le modéle en plâtre haut et bas. Tendency oppen bite donc faire du tipping c'est ok car l'augmentation de l'overjet est favorable.
Le deuxième tu ne veut pas augmenter le bite donc tu ne peut pas faire du tipping. Utilisation d'attache dans les secteurs postérieurs et mouvement complexe facile à faire sur un ordinateur mais dure dans un labo.


--
หมอจัดฟัน

Caaa jgesru - Eugenol
Caa su7vth - Eugenol

Icon poker h4nm2d - Eugenol
jeff

11/07/2018 à 18h07

Je viens de faire la demande de téléchargement onyxceph pour voir : version trial.
C’est donc vraisemblablement payant. J’attends le mail avec d’autre info.


Images 1 qtgoxf - Eugenol
ciwil

11/07/2018 à 20h59

seespan écrivait:
-------
> Ortho analyser te permet de créer tes attaches ou tu as juste une bibliotéque ?

je ne me sers pas de la bibliothèque de 3Shape, j'ai créé la mienne



Bracket ezlegq - Eugenol
Dr. Greenthumb

11/07/2018 à 23h00

Bonsoir,
Je suis votre discussion avec intérêt et j'aimerai essayer de manipuler un fichier STL dans Blue Sky Plan, une bonne âme serait-elle prête à m'en faire parvenir un par Wetransfer ou autre ?
Bonne soirée.


1309531 ours brun n5iukf - Eugenol
seespan

12/07/2018 à 02h54

jeff écrivait:
----
> Je viens de faire la demande de téléchargement onyxceph pour voir : version
> trial.
> C’est donc vraisemblablement payant. J’attends le mail avec d’autre info.

Oui of course que c'est payant, c'est un logiciel pro.

Par contre ne pas confondre l'outils et le savoir faire. En ortho le mouvement le plus simple à réaliser, celui qui se produit naturellement avec une force simple ( genre poussé une dent avec du plastique ) c'est le tipping.
Tout autre mouvement vas demandé une système mécanique plus complexe, il y a différente stratégie pour créer se système de force avec du plastique mais aucun qui ne soit " simple " c'est a dire qu'il faut se former.
Le soucie c'est que trouver les sources pour les formation n''est pas si simple, la formation que je fait est très sympa, il y a quelque bouquin ect.

J'ai vue pas mal d'essais réalisé avec la 3D et aligneur par des ortho et des dentistes, les résultats sont comment dire... Pour faire simple deux exemples.

1 Si tu t'intéresse à l'ortho et va sur les forums pro tu verras rapidement que les aligneurs in-house ont le vent en poupe. Achat d'imprimante, scanner, logiciel ect. Par contre niveau cas clinique présenté tu vas tombé sur un gros kedalle.
S'en ait au point sur sur un groupe US ou quasi aucun membre ne fait de lingual et ou le grale est trouvé un successeur à invisalign, je vois plus de cas de lingual que d'aligneur fait in-house.

2 J'ai fait une formation avec un prof de fac faisant la promotion d'un système in-house que je ne nommerais pas. Le gars avait sont propre labo avec trois techniciens, avait écrit plusieurs articles sur la mecanique avec aligneurs et mit au point plusieurs design pour les attaches.
Quand j'ai vue ses cas, j'ai décidé de laisser tomber le plastique hors correction mineurs. Ses résultats était moins bon que les miens avec 2D sachant que je n'avais pas son nombre de cas.

Ce que j'essais de te dire c'est que le logiciel tout seul ne fait pas tout. Pour des mouvement mineurs que tu utilises Onyxceph ou Bluesky c'est kif kif.
Onyxceph c'ests plus pour l'utilisation d'attache et faire plusieurs gouttière d'affilé.
Perso je l'ai utilisé jusqu'a présent surtout pour faire des set up pour la 2D. Je suppose que bluesky marcherait idem pour ça, mais j'ai le logiciel à disposition et les technicien du labo me font tout le travail ( Scann, segmentation, envois par mail )


--
หมอจัดฟัน


1309531 ours brun n5iukf - Eugenol
seespan

02/10/2018 à 16h04


Et je remonte le sujet pour faire un petit bilan de la Prusa.

Après un peut plus de trois mois j'ai du imprimer entre 500 et 600 modèle avec et l'ai fait tourner à ce jour l'équivalent de 37 jours :-).
Utilisation ultra simple, tourne toute seul, super discréte dans l'apart.
Une SLA mise à part le cout du matériel d'impression , aurait demandé un temps technicien plus important due au deux étapes nécessaire pour préparer les modèle.

Toute mes gouttières active, passive ou template d'attache rentre nickel ( sauf une fois mais c'était une erreurs lors de l'impression.

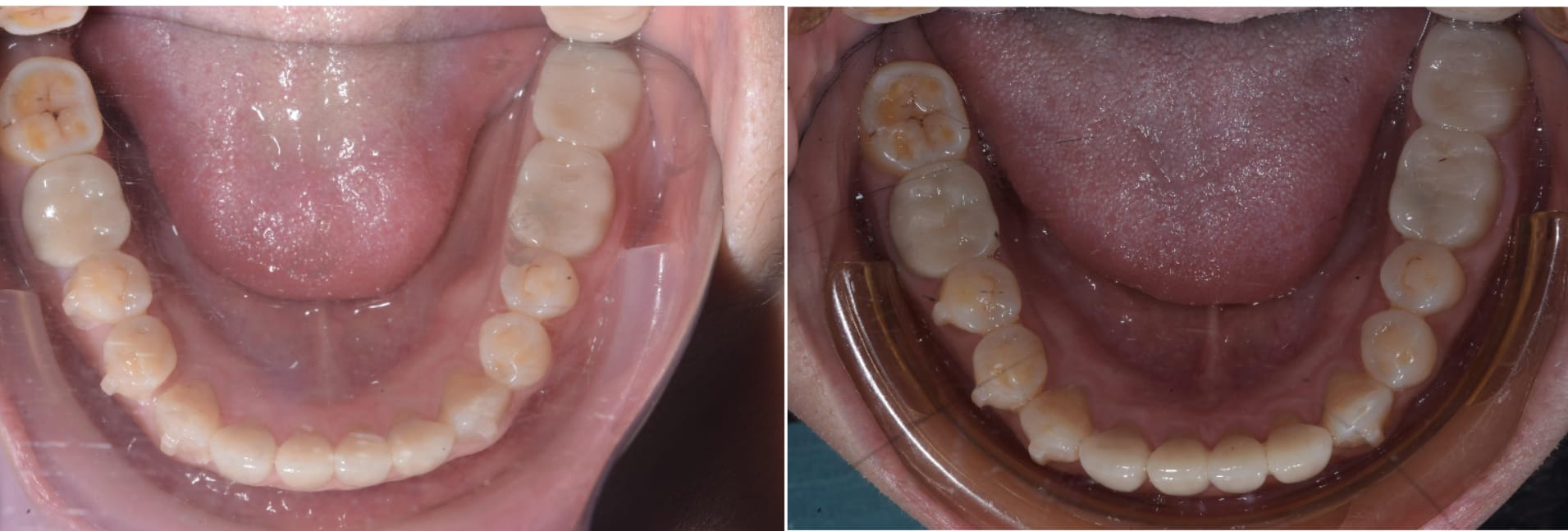
En bonus les photos avant après et set up initial set up sixième gouttières d'une patiente vue aujourd’hui.
Un des premier cas que j'ai commencé avec attache. Si c'était à refaire je ferais des mouvements plus rapide et en six semaine se serait finie. Ici encore quatre gouttière de prévue.




--
หมอจัดฟัน

63fc42f4 0943 41c1 b2fe 2c7b7963fe6c nruurn - Eugenol
Simm onxhtq - Eugenol
Un1 e47yvd - Eugenol

3f3boxni50k58rq7e9ce9ddqrxgk - Eugenol
dentiste57

02/10/2018 à 17h59

tu fais quoi avec en ortho ? tu prépares la position de tes bagues et colle avec le guide ? tu peux m'en dire plus ?


1309531 ours brun n5iukf - Eugenol
seespan

03/10/2018 à 01h06

Je fais des traitement par gouttiére pour les cas simples ou la finition de cas de fixe.
Je dois avoir une quarantaine de cas actif depuis trois mois :-)


--
หมอจัดฟัน


1309531 ours brun n5iukf - Eugenol
seespan

03/10/2018 à 02h44

dentiste57 écrivait:
----------
> tu fais quoi avec en ortho ? tu prépares la position de tes bagues et colle avec
> le guide ? tu peux m'en dire plus ?

Les guides de collage réalisé par ordinateur ça ne présente malheureusement aucun avantage que des inconvénients.
Mais enfin pour discuté du sujet il faudrait utilisé des mots qui choque certain utilisateur/ice du site comme " evidence based " , " rentability " , " workflow ".


--
หมอจัดฟัน


1309531 ours brun n5iukf - Eugenol
seespan

03/10/2018 à 08h01


Et de l'impression à la clinique :-) . Les cas pour cette aprèm ( y a pas ceux de ce matin déjà posé en bouche )

--
หมอจัดฟัน

4ddd117a 170e 4840 808e abe82a06f5ab fx207m - Eugenol

Image001 e0kg9q - Eugenol
clemsdent

04/10/2018 à 07h35

Seespan, tu imprimes des modèles pour fabriquer des aligneurs maison. Quel est ton matériel pour thermoformer (type de plaque et type d'appareil ) stp ? Merci


1309531 ours brun n5iukf - Eugenol
seespan

04/10/2018 à 08h01

Le plastique CA medium de Scheu + isofolan
La biostar de Scheu


--
หมอจัดฟัน


Images 1 qtgoxf - Eugenol
ciwil

04/10/2018 à 08h54

quelle épaisseur font ces plaques?


Mon avatar msn jgkit1 - Eugenol
Ewing

20/10/2018 à 02h05

Tout d’abord, un grand merci à Seespan pour son partage.
As-tu de la littérature à conseiller ou des sites web, surtout pour l’utilisation des taquets (forme, position ...)