Tous les forums
Bad day...
27/03/2018 à 17h20
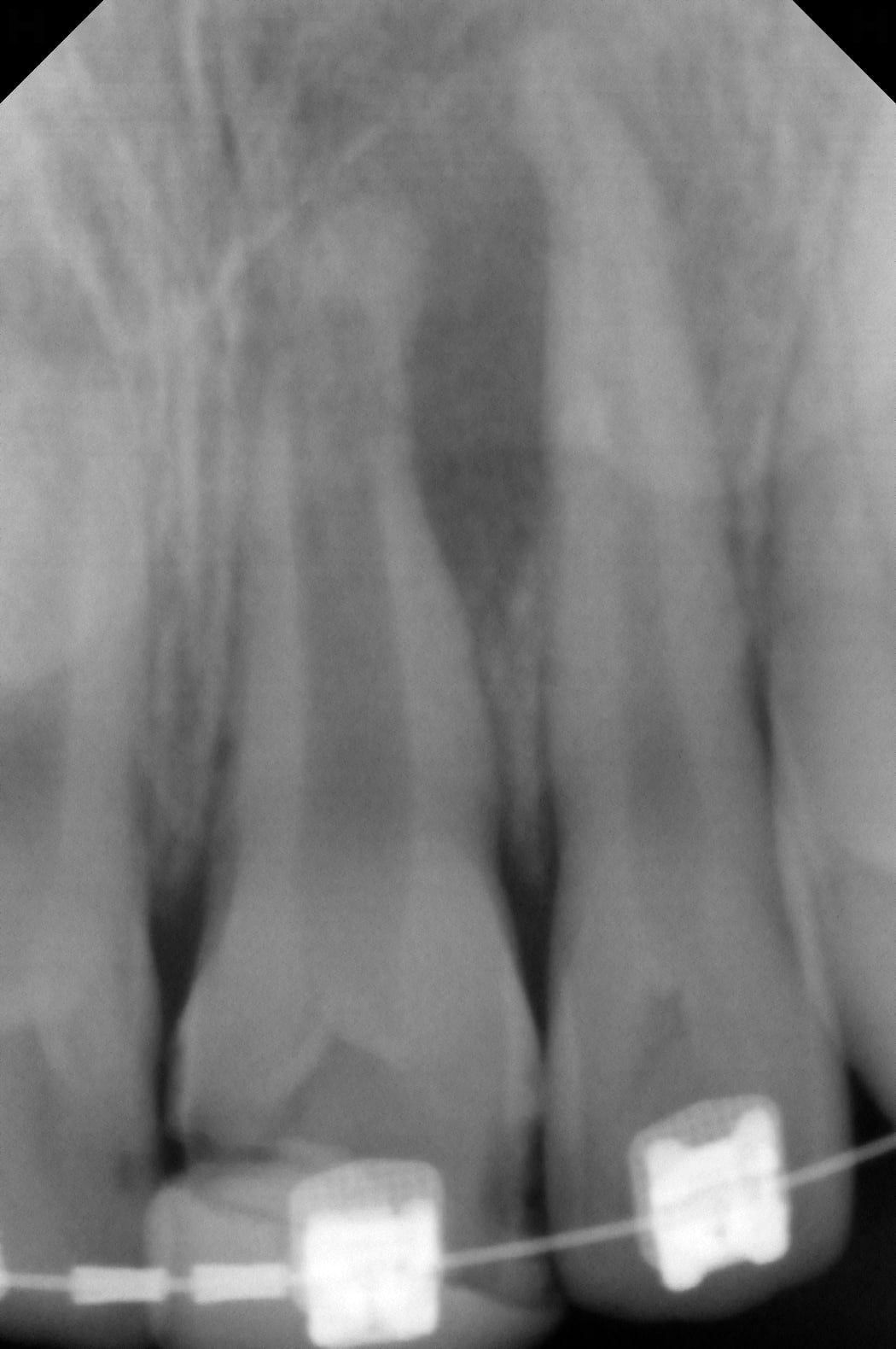
A l'instant, je reçois pour la première fois 2 frangins de 10 et 14 ans.
Le premier consulte pour un petit abcès récurrent en regard de la 21 (radio avec lime en place).
Le second consulte parce que son compo sur 21 ne tient plus que parce qu'il est solidarisé à l'arc de son multibague (radio sans la lime).
Les 2 dents ont subi un choc voici plusieurs années.
Bien entendu, mon localisateur d'apex devient fou dés que la lime pénètre dans la canal. Par ailleurs, il semble illusoire de penser assécher.
Mon but serait au moins de conserver les 2 dents jusqu'à leur majorité.
Des idées de traitement?
Merci d'avance
27/03/2018 à 18h01
au bout !
un cône moulé ( plusieurs cône aggloméré à l'eucalyptol par exemple) fait un super fouloir. tapote - radio - tapote - radio -tapote - merde ça dépasse.
perso j'ai toujours fait de la merde ou au mieux de la semi-merde.
pour la LT le CBCT c'est le top
27/03/2018 à 18h04
Au bout, cela ce discute, sur le bout cela s'évase comme une trompette (en simpliffiant) alors 1 mm à 0.5 en deçà c'est déjà pas mal, le bout du bout c'est quand tu passes par l’autre coté, à rétro. En plus c'est tout mâchouillé et souvent plus haut d'un coté que de l'autre...
27/03/2018 à 18h16
j'ai vu qu'il y avait des pros de la seringue qui arrivaient à poser direct à l'apex...
C'est quelqu’un d'ici ? me souvient plus.
27/03/2018 à 18h59
Voici une 11 d'un patient dont la majorité est passée depuisbien longtemps... et ça tient toujours très bien.
27/03/2018 à 19h13
Je ne me souviens plus du nom de l'endo ( Cochet??? cab pas loin du parc Monceau), mais j'avais vu des cas improbables et effectivement ça marche bien avec du MTA.
27/03/2018 à 21h01
Jamais fait mais vu :
1- ajustage d'éponge en apical, pour bloquer le mta, et contrôle de la longueur avec le blocage de la gutta à la radio
2- placer le mta
3-obturation à la séance suivante
27/03/2018 à 22h41
Ch'Bill écrivait:
-------
> A l'instant, je reçois pour la première fois 2 frangins de 10 et 14 ans.
>
>
> Le premier consulte pour un petit abcès récurrent en regard de la 21 (radio avec
> lime en place).
> Le second consulte parce que son compo sur 21 ne tient plus que parce qu'il est
> solidarisé à l'arc de son multibague (radio sans la lime).
>
> Les 2 dents ont subi un choc voici plusieurs années.
>
> Bien entendu, mon localisateur d'apex devient fou dés que la lime pénètre dans
> la canal. Par ailleurs, il semble illusoire de penser assécher.
>
> Mon but serait au moins de conserver les 2 dents jusqu'à leur majorité.
>
> Des idées de traitement?
>
> Merci d'avance
Est ce que tu as un conebeam de ces 2 dents?
C est très étrange d'avoir une lésion infectieuse à l'apex de ce genre de dents avec apex fermé.
L'apexogénèse ne se termine pas dans les cas de trauma avec nécrose radiculaire. Et de plus il y a souvent des phénomènes de résorption externe le long des racines et aux apex que l'on ne semble pas retrouver ici.
Si c'est bien fermé il n'y a aucune difficulté dans tes traitements tu fais une endo classique sans aucun risque de dépassement. Il vaut mieux obturer avec de la biocéramique car plus de solidité pour la dent.
Mais attention si apex totalement fermé et pas de perméabilité apicale, peu de chance d'avoir une cicatrisation de tes lésions.
D'où mon idée de faire un 3D dans ce cas voilà
28/03/2018 à 01h40
Voir pour extraire la central et faire un traitement de substitution.
Option thérapeutique largement documenté dans la littérature.
La latérale se transforme facilement en central, et pour la substitution canine en latéral et pré mo en canine c'est plus que largement documenté.
Un seul cas ou j'ai fais ça jusqu'a présent.
Hazard hazard aujourd'hui je pose les bagues à la niéce d'un dentiste à qui je dois extraire 11 21 34 44. j'ai du faire une simulation 3D pour convaincre le dentiste que l'extraction des centrals était la meilleurs option
--
หมอจัดฟัน
28/03/2018 à 08h39
bagheerra écrivait:
---------
> Voici une 11 d'un patient dont la majorité est passée depuisbien longtemps... et
> ça tient toujours très bien.
C'est beau !
28/03/2018 à 09h09
lardonbis écrivait:
---------
> bagheerra écrivait:
> ---------
> > Voici une 11 d'un patient dont la majorité est passée depuisbien longtemps...
> et
> > ça tient toujours très bien.
>
> C'est beau !
Très beau et le premier cab ou j'ai travailler en France j'ai vue la même chose, sur une 11 patiente de 18 ans. La couronne c'est décéller et la racine c'est fracturé lors du recellement .
Il a fallut faire un implant.
Bien entendu l'option substitution quand l'ortho n'est pas necessaire c'est dure à placer. Mais si un traitement est prévue ça enfonce niveau durée de vie toute les autres solution.
Dans la même série j'ai aussi la pano de mon père qui c'était fait faire des bridge sertie en bouche à 18 ans ( dans l'armée ) , ça a tenue jusqu'a plus de 60 ans. Comme quoi soit les brdiges certie on une excellent durée de vie, soit jugé sur un cas unique c'est une méthodologie foireuse
--
หมอจัดฟัน
28/03/2018 à 09h43
on est en France ici mec, pas au Cambodge ;) .... la substitution c'est bien mais ici c'est le tiers monde.
D'entré y'a un blocage pour la moitié des gamins :
-on ne paye pas pour la santé
-encore moins pour celle ses gosses
-d’ailleurs si c'est pas 100% remboursé c'est bien que c'est une arnaque.
J'ai pas mal de gosses avec des touches en moins sur le clavier ( agénésie, trauma, carie ) pour qui la substitution s’arrête à la première consultation avec l'ortho.
28/03/2018 à 13h44
Ha c'est sure que si tu présentes ça comme un traitement normal peut de chance que ça soit accepté.
Enfin là ça rentrerais dans le cadre d'un traitement orthodontique classique donc pas de soucie d'argent.
Sinon tu indiques au patient :
- le cout et la longeur du traitement orthodontique + traitement prothétique esthétique pour la central
- le cout pour les options thérapeutique pour la central si il faut intervenir dessus
La substitution c'est une relative tranquilité dans le future.
Pour la patiente à qui j'ai posé les bagues aujourd'huit 11 et 21 on un traitement racine qui n'est pas top.
L'aternative c'est extraire 14 24 + re endo + IC + CCM ( of course le trio gagnant n'est pas 100% prit en charge ici ) , et dans les deux cas le prix tu traitement orhto est le même.
--
หมอจัดฟัน
28/03/2018 à 13h53
pour mes cas d'agénésie par exemple. depuis le début de l'année j'ai deux gamins qui ne feront pas d'ortho pour raison €€€ .
Je bataille même plus.
29/03/2018 à 15h43
nicklebenou écrivait:
-----------
> Est ce que tu as un conebeam de ces 2 dents?
> C est très étrange d'avoir une lésion infectieuse à l'apex de ce genre de dents
> avec apex fermé.
> L'apexogénèse ne se termine pas dans les cas de trauma avec nécrose radiculaire.
> Et de plus il y a souvent des phénomènes de résorption externe le long des
> racines et aux apex que l'on ne semble pas retrouver ici.
> Si c'est bien fermé il n'y a aucune difficulté dans tes traitements tu fais une
> endo classique sans aucun risque de dépassement. Il vaut mieux obturer avec de
> la biocéramique car plus de solidité pour la dent.
> Mais attention si apex totalement fermé et pas de perméabilité apicale, peu de
> chance d'avoir une cicatrisation de tes lésions.
> D'où mon idée de faire un 3D dans ce cas voilà
Ben non, pas de conebeam à ma disposition pour la bonne et simple raison que la mère des 2 gamins est une mère célibataire qui, bien que pleine de bonne volonté quant aux soins de ses gosses, manque clairement de tunes... (elle a pourtant un boulot à plein temps et ne compte pas ses heures)
Je pense que je vais lui faire les traitements MTA à prix d'achat car elle le mérite.
Vive la France!