Cookie Consent byPrivacyPolicies.comRhizalyse externe 11/21 asympto et sans cause apparente - Eugenol

Rhizalyse externe 11/21 asympto et sans cause apparente

yutak

29/03/2018 à 10h38

Tout d'abord bonjour,
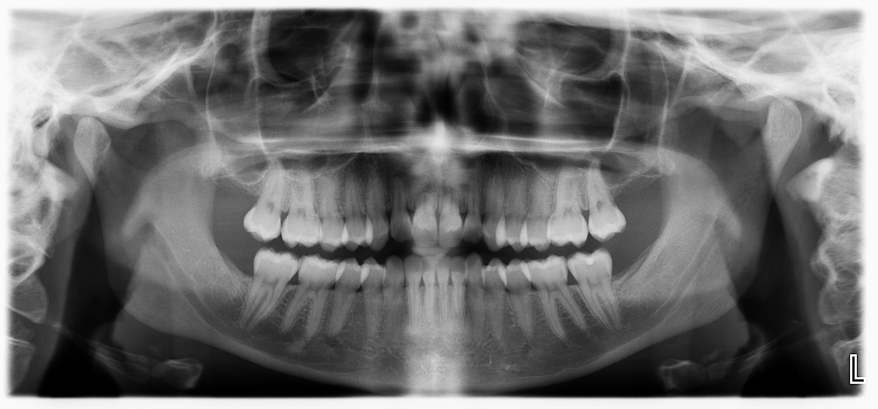
j'espère ne pas mettre trompé de rubrique , je souhait vos avis concernant 11/21 de ma patiente,
en 2 ans et demi les racines se sont considérablement rapetissées... c'est une découverte fortuite, pas de mobilité.

Un avis , une aide , une action?

merci bcp
cdlt

Y7am7grwhqkccx30ovvd - Eugenol
Hqnlsfoki5nwi23dkhix - Eugenol

JUAN

29/03/2018 à 10h41

La vache!!!! Problème d'occlusion? Tic trauma occlusal?


Cynthia

29/03/2018 à 10h54

C'est le ttt ODF qui a fait cela.
Je posterai la pano chez une de mes patientes adultes.
pour elle rhizalyze du bloc antéro sup: 12 dents!!!


Cynthia

29/03/2018 à 10h56

Les ortho tirent trop sur les dents et ne font pas de pano régulièrement ; alors on s'aperçoit de la rhizalyze en fin de ttt mais c'est trop tard


Jack 2 wm3tqs - Eugenol
Treponem

29/03/2018 à 11h45

Effectivement, avec ce genre d'image on pense à l'ortho ... mais sur la pano 1, il y a une contention sur le bloc IC inf, le TT ortho devait être terminé (en général, les rhizalyses apparaissent assez vite, et sont objectivables en fin de TT) ?!
Y a t'il eu un nouveau traitement ortho ?
Sinon oui choc, tic ... ?


lachmar

29/03/2018 à 11h49


c'est clair que c'est l'ortho, même si c'est occlusal

la déontologie et la confraternite t'interdisent de faire quoi que ce soit
l'ethique et la morale t'imposent d'aviser le patient

bon courage


yutak

29/03/2018 à 13h09

merci pour vos réponses !
je me doutais un peu sans être sûr , il n'y a pas eu de choc d'après la patiente, sinon je ne fais rien?, pas de contention etc ? je renvoi chez ortho?
c'est asympto et pas mobile

(bon courage pour ta patiente cynthia)


Cynthia

29/03/2018 à 14h15

yutak écrivait:
-----
> merci pour vos réponses !
> je me doutais un peu sans être sûr , il n'y a pas eu de choc d'après la
> patiente, sinon je ne fais rien?, pas de contention etc ? je renvoi chez ortho?
> c'est asympto et pas mobile
>
> (bon courage pour ta patiente cynthia)

Je te mets le cas dès que je peux et t'explique ce qu'il faut faire et ne pas faire


yutak

30/03/2018 à 09h20

ok merci beaucoup


calou340

30/03/2018 à 10h18

la premiere pano montre bien que que le tt ortho est terminé depuis longtemps.
Si les resorptions avaient été causées par l'ortho, elles auraient débutées en cours de traitement
il existe forcement une autre cause (tic traumatique, onycophagie....)
Quand a ceux qui disent encore que les ortho tirent trop fort et qu 'ils créent des resorptions, sachez que nous utilisons tous des forces très légères et que l apparition des resorption reste dans 99% des cas un aléa thérapeutique ! c'est donc insupportable d'entendre encore ces vieilles théories ...


Photo pluton1b h9n4ea - Eugenol
pluton

30/03/2018 à 10h35

+1 calou340...peu probable que le ttm ODF soit en cause avec une contention visible sur la première radio sans aucun pb à ce moment là...et vu la vitesse d'évolution (2ans) il y a obligatoirement autre chose...


yutak

30/03/2018 à 14h02

c'est pas faux non plus :-) , et vous vous faites quoi dans ce cas? surveillance ou? (après avior recherché la cause traumatique etc)
merci :)


lachmar

30/03/2018 à 18h40


les resoprtion radiculaires post traumatiques peuvent etre retard

la cause la plus évidente est ortho malgré les protestations de notre ami


parcque, quoi qu'il en dise , la plupart du temps quand on voit des merdes comme ca elles sont post ortho


après il y a d'autres possibilités : traumatisme, problème occlusal (du a l'ortho ?) , parafonction (due à l'ortho ?) .....

avant tout faire une observation clinique fouillée comme on l'a appris à la fac , et si elle est bien conduite le diagnostic devrait suivre

quant au plan de traitement ... c'est pas gagné


moritooth

30/03/2018 à 20h57

Ce genre de resorptions radiculaires avec une zone apicale bien arrondie, je les observe quasi systématiquement chez des jeunes de moins de25 ans, qui ont toujours eu des ttt ortho quelques années auparavant. Donc on ne m'enlèvera pas de l'idée que l'ortho est en cause la dedans. C'est une image que l'on voit toujours sur plusieurs dents symétriques, et bien différente de la classique rhizalyse d'origine traumatique. Sur le cas de Yutak, les 12 et 22 sont en train de morfler aussi.

J' ai l'impression d'ailleurs d'en voir beaucoup plus qu'il y a quelques années. Mon ortho m'avait vaguement expliqué que ce n'était pas toujours la force appliquée qui était en cause, mais parfois l'amplitude du déplacement, et l'age tardif de certains traitements ...


calou340

31/03/2018 à 16h36

on voit sur la 2eme pano que la contention a été déposée ou décollée, en tout cas n'existe plus, avec déplacement des incisives inf visible par rapport a la pano initiale.
Tous ces elements pourraient être typiques d'une contention fracturée par une habitude néfaste type oncophagie, avec resorptions radiculaires associées. En tout cas c 'est une piste...


lachmar

31/03/2018 à 18h14


il y a des trucs curieux entre les 2 panos :

-reduction du cementome de 46

-migration spontanée de 43 , 44 et 34 en mésial avec redressement de l'axe

- denisté osseuse tres faible en bas de la mandibule

et massacre des tuberosités par le chirurgien qui a fait les extractions de 8


loulout

31/03/2018 à 22h28

ces deux pano sembles venir de deux patients distincts, pas la même forme des racines des molaires , pas la même forme des sinus et des condyles , une "super cicatrisation" des extractions des dents de sagesse .......


imposture

01/04/2018 à 22h14

Pour rassurer peut-être...
J ai plus de 50 ans et une rhizalyse +++ de 12 à 22 suite à un traitement ODF. A part une centrale un peu jaune car calcifiée et la crainte d'un choc, tout va bien.


yutak

03/04/2018 à 16h30

Bravo et bien vu à Lachmar et Loulout! Effectivement les 2 panos ne sont pas les mêmes patients , désolé, c'est indépendant de ma volonté , et ce n'était pas un test!
Pour m'expliquer, la première pano n'a pas était réalisée par mes soins, par une ancienne collègue , qui a vu un patient "homonyme"au mien à une lettre près, presque le même âge, bouche très saine etc... et ma collègue s'est trompée dans l'écriture de son patient (elle a mis le nom exacte de mon patient) comme c'est un logiciel à part qui gère les panos je n'ai pas vu la petite différence d'âge etc...
BREF JE M'EN EXCUSE MILLE FOIS,
néanmoins le patient n'a pas eu de choc ni de tic oncophagie ou... un traitement ortho mais je n'ai pas de date précise ni de radio du coup pour voir évolution avant pendant et après ortho...
en tout cas merci pour vos réponses!