Tous les forums
Cas implant antérieur maxillaire avec diasthème important.
29/03/2018 à 17h29
Voilà un cas qui me pose problème. J'aurais besoin de vos lumières pour gérer ça comme il faut.
Je suis une patiente de 50 ans depuis 2013 pour un bloc incisif antérieur sup qui a migré suite à des problème paro et un tabagisme +++.
J'ai réalisé un stellite avec 3 dents antérieures et un joli diastème pour gérer l'espace 12 23.
J'avais fait un essai en provisoire avec 4 dents avec une mais la patiente n'était pas contente de l’asymétrie des milieux inter-incisifs.
Aujourd'hui, elle me demande d'enlever la 12 qui est déchaussée, elle a enfin arrêté de fumer et elle voudrait une solution sans crochets sur 13 et 23 .
J'ai fait une simulation esthétique pour des dents sur implants mais il y a une perte osseuse assez importante.
Quelle solution proposeriez-vous dans ce cas?
29/03/2018 à 22h19
Qu'est-ce qu'il y a actuellement à la mandibule ? une PAP ?
Gros problème paro, gros problème occlusal, je crois que c'est typiquement un cas qu'il faut voir avec une planification globale, surtout si on envisage de l'implanto...
30/03/2018 à 08h17
Je pense que la bonne question a se poser est : combien de temps vont encore tenir les postérieures ?
30/03/2018 à 08h40
Ahhh oui j ai compris le pb .
Elle elle se plaint du decalage des millieux , ç est ça ? Enfin que tu crois
A+
30/03/2018 à 08h44
réfection totale, sinon botte en touche, 2 implants antérieurs, ça ne servira à rien.
--
xbk
La connaissance s'acquiert par l'expérience, tout le reste n'est que de l'information." ALBERT EINSTEIN
30/03/2018 à 11h07
Donchico écrivait:
--------
" J'avais fait un essai en provisoire avec 4 dents avec une mais la patiente n'était pas contente de l’asymétrie des milieux inter-incisifs. Aujourd'hui, elle me demande d'enlever la 12 qui est déchaussée, "
??? tu peux repréciser l'ordre des choses ? et la photo qui va avec .
30/03/2018 à 15h28
Ok on reprends tout dans l'ordre :)
Cette patiente, je la suis depuis 2005. 2 paquets par jours et des problèmes paro en veux-tu en voilà qui déchaussent gentiment les dents depuis 15 ans au moins.
En 2011 elle revient pour des dents antérieures sup qui commencent à migrer et une esthétique qui lui déplait. voici l'OPT de départ.
Le temps qu'elle se décide à faire quelque chose on se retrouve en 2013 avec cette photo du secteur antérieur.
L'occlusion est en classe II +++.
30/03/2018 à 15h34
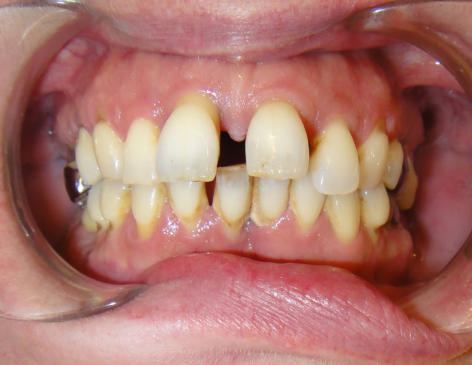
La patiente n'envisage pas l'arrêt du tabac. Je fais ce qu'il faut au niveau paro avec les moyens du bord, je fais des provisoires sur 15 16 17, puis un partiel résine avec 4 dents antérieures 11 21 22 23bis pour diminuer le diastème antérieur et tester le résultat esthétique comme ça.
Je laisse 3 mois avec les provisoires en rebasant régulièrement pour suivre la résorption de cicatrisation.
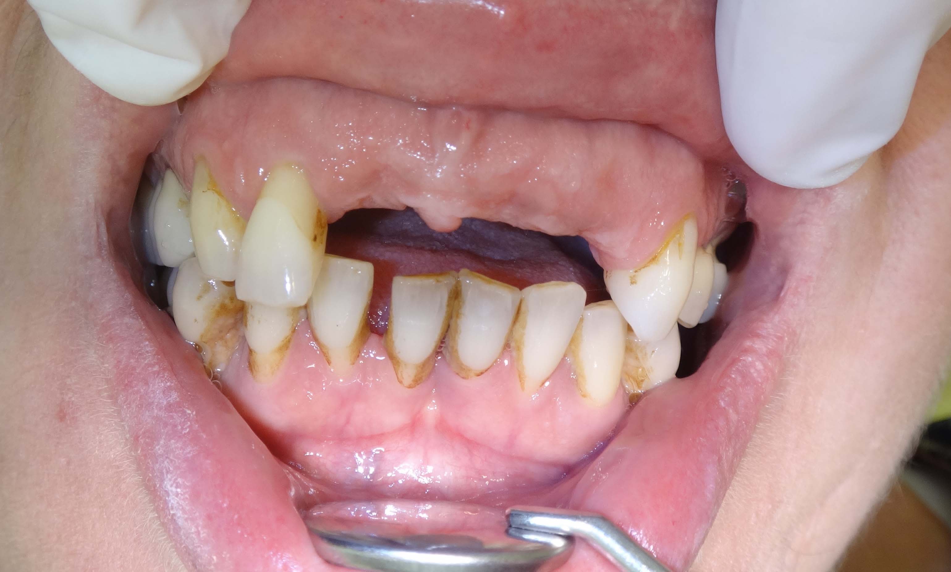
Toujours du tabac à gogo et une hygiène bof bof. Je fais 3 couronnes solidarisées 15 16 17 et un stellite haut .
Le stellite est réalisé avec 11 21 22 et un gros diastème qui lui plait plus.
Elle ne veut pas qu'on remplace les dents du bas.
30/03/2018 à 15h35
Les années passent avec toujours autant de cigarettes, et elle revient me voir en juillet 2017 avec un soucis esthétique au niveau de sa 12 plus les crochets du stellite qu'elle trouve très moches (et accessoirement 2 prémolaires en bas qui ne tiennent plus)
Je refais un bilan paro complet et lui décris l'étendue des dégâts. Je lui parle complet supérieur, prothèse sur implants. Et arrêt du tabac.
J'ai fait un partiel résine 5 dents mandibulaire, rajouté la 12 sur le stellite, fait le traitement paro non chirurgical pour assainir tout ça .
Et j'en viens à ma grande question.
Comment gérer le secteur antérieur au niveau esthétique en prothèse fixe sur implant sachant qu'elle veut garder un diastème antérieur et que la résorption osseuse est assez importante.
Elle a un sourire qui découvre bien le collet des dents. Est-il possible d'obtenir un résultat correct avec une prothèse complète sur implants sans avoir des dents antérieures trop longues?
Bridge sur pilotis ? oui mais quid de l'hygiène en dessous si la résine ou la céramique rose est contre la crête pour qu'on ne voit pas la limite ?
30/03/2018 à 16h52
si tu lui colle un stellite avec un vrai diastème de fumeuse: dent longue et plaque "fendue" jusqu'en palatin ?
et dit à ton prothésiste de rajouter un peu de couleur enmésial des centrale ( genre D4 comme Dunhill4 )
les implants t'as l'air de trouver que ça pue un peu non? suis ta première impression ;)
30/03/2018 à 17h59
oui pour les implants vu l'évolution paro, je suis prudent.
J'en suis au stade de la temporisation pour voir si l'arrêt du tabac perdure et si l'hygiène s'améliore.
Elle ne veut pas de dents longues justement d'où les petites centrales sur le stellite, ni de zones noires entre les racines déchaussées...)
Et elle voudrait que les crochets disparaissent.
Elle ne supporte pas trop le partiel bas. Donc je suis à la recherche de solutions alternatives pour le bas aussi. Il y a de l'os mais le haut ne durera pas éternellement....
Il y a aussi l'option couronnes 13 23 avec attachements mais j'ai peur que ça accélère la chute des canines.
Bref je coince un peu au niveau proposition de solutions esthétiques durables qui répondent à ses souhaits. (d'où ma temporisation d'ailleurs pour tester le terrain avec de l'amovible en bas )
30/03/2018 à 19h56
ah bon, ce n'est pas le décalage du point inter incisif qui la gène , finalement .
je passe .
30/03/2018 à 21h15
Ouh la...!
Madame a perdu la moitié de ses dents à cause d'un tabagisme effreiné, et d'un manque d'hygiène, et maintenant elle a des exigences esthetiques, ne supporte pas les crochets, ni un partiel en bas...
Attention tous les voyants sont au rouge sur ce cas!!