Cookie Consent byPrivacyPolicies.comparodontite chronique stabilisée et avis esthétique - Eugenol

parodontite chronique stabilisée et avis esthétique

matouille74

09/04/2018 à 13h50

Bonjour,

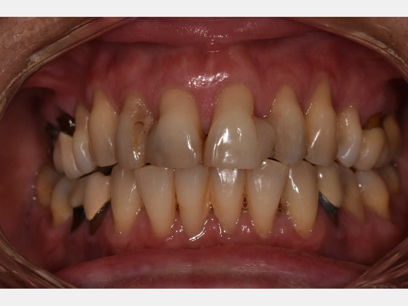
J'ai vu cette patiente de 60 ans ce matin et je sèche un peu sur le traitement, surtout par rapport aux récessions antérieures, elle a surtout une demande esthétique au niveau de la zone antérieure maxillaire.

La parodontite est stabilisée pas de poches au sondage, mais la contention antérieure qui a été faite il y a 20 ans suite à un traitement ortho-paro vieillie mal.

Des avis? peut on gérer ce cas avec en recouvrant les récessions avec de la mucco gingivale et ensuite des recontitutions? ou alors fausse gencive céramique?

Merci

Lfdqw88kharlm5ekroid - Eugenol
Giorxwyvfd8rktn41nok - Eugenol
M6ibzukdh1la6ouzwt2x - Eugenol

Image r6habu - Eugenol
Thomas Crown

09/04/2018 à 17h21

T’as pas lésion osseuse angulaire , sur les Canines notamment ? Et ça saigne pas en bas , sur ? Vas y mollo , ça m’a l’air stable du tout la paro , vu d’ici..


matouille74

09/04/2018 à 18h39

non j'ai sondé partout, c'est nickel, le dernier det remonte un peu.


Nouveau image bitmap fz77zh - Eugenol
Sethef

09/04/2018 à 18h47

Même avis sur la paro qui semble limite. Par contre, un joli bridge de contention 3-3 en zircone donnerait un joli résultat esthétique, la fausse gencive c'est rarement génial, sauf à créer des zones de rétention de plaque.
Point de vue morpho, 11 21 seront légèrement raccourcies, et la récession masquée de ce fait, et les embrasures seront facilement fermées...


145 kssowa - Eugenol
Zuhurragin

10/04/2018 à 08h39

Je suis d'accord pour le bridge ou des facettes mais oublie la fausse gencive c'est moche. Juste des dents un peu plus large et plus longues, fait un wax up et un essayage avec mockup. Pour moi les facettes avec minimum de délabrement seraient le mieux mais si des dents sont mobiles bridge qui servira de contention sera une solution acceptable.


--
"C'est parce que la vitesse de la lumière est supérieure à celle du son que certains paraissent brillants avant d'avoir l'air cons."


Vw campersurfvan bmnk1q - Eugenol
enlaye

10/04/2018 à 08h55

ça ressemble à une béance qui a mal tourné chez un ortho .
on dirait qu il a descendu et rentré le bloc ant pour fermer les espaces .
sont rigolos :-)
donc contrairement à Zuhurragin , je dirais plutôt baisser la dvo et raccourcir le bloc ant


Dolan donald duck weird wqjham bw43ju - Eugenol
GéPé

10/04/2018 à 09h15

Faudrait songer à extraire la 16 aussi


Avatar transparent iqadnc - Eugenol
adhoc

10/04/2018 à 11h40

... et accepter ses 60 balais....


Vw campersurfvan bmnk1q - Eugenol
enlaye

10/04/2018 à 12h12

adhoc écrivait:
-----
" ... et accepter ses 60 balais.... "

+1 bien sur , bien vu Adhoc , comme quoi la lecture est sélective


Utilisateur banni

10/04/2018 à 12h41

Je veux bien me faire pendre si en M et D des incisives supérieures on a pas de poches.
Et si tu fais des couronnes, ça va lui faire des sacrés chicots hyper longs. À moins de bien lui raboter tout ça.
Et enfin y a un diastème de 5 mm entre 21 et 22. Ce qui veut dire que sur les futures couronnes il y aura des couronnes plus larges à gauche qu’ à droite.

À moins que tu te contentes de juste détartrer,d’enlever les tâches, et de juste refaire les compos à la bonne teinte.


Vw campersurfvan bmnk1q - Eugenol
enlaye

10/04/2018 à 12h47

junior® écrivait:
-------
" et de juste refaire les compos à la bonne teinte. "
les compos sont juste là pour cacher les fils de fer .


Utilisateur banni

10/04/2018 à 12h54

Ben dans ce cas faut refermer les espaces. Qu’elle sorte son carnet de chèques :))). Paro + ortho + prothèse.


Vw campersurfvan bmnk1q - Eugenol
enlaye

10/04/2018 à 13h25

Ou lui remettre les 4 qu on lui a enlevé :-)))


Utilisateur banni

10/04/2018 à 13h33

Je me disais bien sur la photo , y a comme qui dirait un souci. Ce sont en fait les 4 qu’ils ont virées... ce qui expliquerait le bloc antérieur trop rentré. J’avais pas assez regardé la pano. Et même en rentrant tout ça, y a des diastemes pas uniquement imputables à la paro


3395 40 umvzjn - Eugenol
Aspius

10/04/2018 à 13h58

Très difficile d'imputer à tel ou tel traitement l'origine de la situation actuelle sans les bilans radios d'époque.

Mais le mix paro-ortho, dans le genre peau de banane sur laquelle t'as vite fait de te gauffrer, y'a pas beaucoup mieux


Vw campersurfvan bmnk1q - Eugenol
enlaye

10/04/2018 à 14h13

et où il est 6pan ? allo allo un otho ,quoi ;-))))


Utilisateur banni

10/04/2018 à 15h19

Fo maître une atel é tou va rantré dent lordre


Vw campersurfvan bmnk1q - Eugenol
enlaye

10/04/2018 à 17h24

Zuhurragin écrivait:
----------
" fait un wax up et un essayage avec mockup. "

j'adore cette phrase :-) ,
cette phrase qui se propage , est pleine d'optimisme , presqu'une preuve d'amour , tellement elle est remplie d’espérance universelle .
mais quel métier fantastique , il est de plus en facile . ç est booo le progrès qui nous remplit de grâces .
;-)))))))

y a rien contre toi , hein , Zuhurragin .


Nouveau image bitmap fz77zh - Eugenol
Sethef

10/04/2018 à 21h24

(je me rappelle avoir vu passer sur le forum une photo intra buccale de gingivite hyperplasique balèze, genre on ne voyait plus que les bords libres des incisives, la réponse immédiate avait été d'augmenter la DV d'1cm. Au moins.)


Vw campersurfvan bmnk1q - Eugenol
enlaye

10/04/2018 à 21h51

que veux tu tout augmente aujourd'hui , faute à la croissance :-)


Tozzi

10/04/2018 à 22h04

la question était : la chir muco peut-elle permettre de recouvrir les récessions
les papilles sont bien conservées


Nouveau image bitmap fz77zh - Eugenol
Sethef

10/04/2018 à 22h16

Non elle ne peut pas, parce qu'une fois la paro traitée, les papilles seront à dache.


Nouveau image bitmap fz77zh - Eugenol
Sethef

10/04/2018 à 22h25

Tu as une alvéolyse périphérique de presque 50%, associée à des lésions infra osseuses, dont au moins une majeure en palatin de 12, tout cela n'étant masqué que parce que le biotype parodontal est favorable. Ce n'est pas grave, si le boulot est bien fait elle pourra le mener au bout, mais à moins d'avancées majeures en paro dont je n'ai pas eu connaissance, on ne fait pas encore repousser l'os, et quand on a de la gencive à 5mm au-dessus du niveau osseux, ça s'appelle une poche.


Vw campersurfvan bmnk1q - Eugenol
enlaye

10/04/2018 à 23h26

il y a 1 truc qui est étonnant , ç est qu'il n'y a pas de fil de fer en bas .
j'en déduis que l'ortho n'y a pas touché .
s'il n'y a pas touché , ç est qu'il n 'y avait qu'1 pb esthétique à ces yeux , il y a 20 ans , .
je ne vois comme point de départ qu'une béance avec dysfonction linguale .
j'en déduis donc que le haut ne peut être en bonne occlusion avec le bas s'il n'y a pas touché .

je ne pense pas qu'il y avait un un pb paro majeur à l'époque , sinon , il ne se serait pas lancé dans ce délire .
en tout cas , il a du le regretter au vu des nombreux bricolages de fil de fer pour essayer de maintenir les dents du haut .
1 femme , motivée pour accepter ce ttt ,et qui n'a pas de pb paro à 40 ans ne déclenche pas une maladie parodontale subitement .
ç est donc qu'il y a eu une réponse tissulaire à 1 gros pb d'occlusion + 1 grosse interposition linguale de compensation ( on remarquera les inc inf latérales rikiki ) .
Comment une chirurgie réparatrice peut elle réparer un effet iatrogène si l'on en supprime pas la cause ?
ç est de la fiction que je fais là ,mais on vit un métier tellement fantastique :-))))


Smile beach jgh0a1 - Eugenol
Céramik

30/04/2018 à 03h44

adhoc écrivait:
-----
> ... et accepter ses 60 balais....

Faut avoir des dents pourries à 60 ans ? ah bon


--
Céramik


12