Tous les forums
Carcinome épidermoïde
09/04/2018 à 19h21
Bonjour à tous,
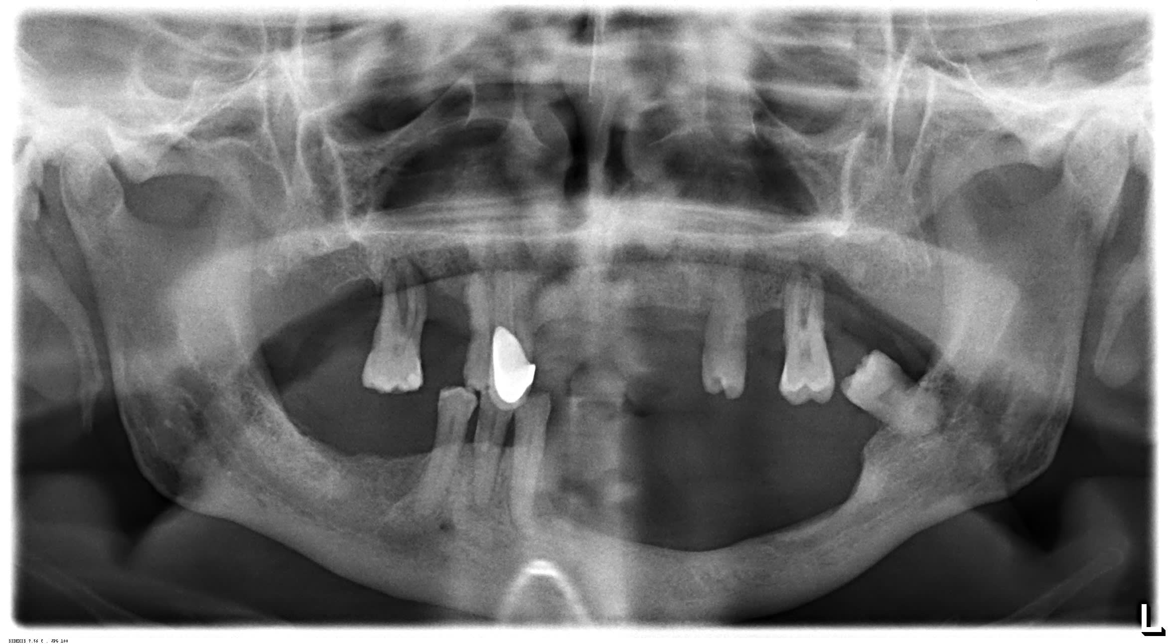
je me permets de poster pour vous demander quelles sont les solutions envisageables pour une reconstitution prothétique pour ce patient qui a été opéré il y a deux ans de ça à la mandibule secteur 30 pour un carcinome epidermoïde.
je n'ai pas encore contacté le medecin traitant.
comment gérer les éventuelles douleurs au niveau de trou mentonnier, si les conditions anatomiques, et s'il n'a pas eu de rayons, est-il possible de lui poser des implants pour locators.
quelles sont les précautions à prendre avant de traiter un tel cas ?
je vous remercie
09/04/2018 à 20h00
Je partirai sur un partiel resine avec une assise souple et surtout une bonne equilibration pour ne pas decapsuler les dents restantes.
10/04/2018 à 06h25
Trouve un bon maxillo-facial, ne pense meme pas a poser des implants, c'est ingerable en l'etat.
10/04/2018 à 11h21
Au vu de l' état du maxillaire, j'espère qu'il n'y a pas eu de rayons !!!!!Sinon les exos vont être Coton!
En bas partiel , moi je ferai une selle métal pour la rigidité et la meilleure fixation sur les dents restantes mais , comme Zorba, bonne épaisseur de résine souple pour ménager au mieux l'émergence du nerf