Cookie Consent byPrivacyPolicies.com2eme tuto occluso - Eugenol
Capture d écran 2018 05 16 à 21.30 - Eugenol
Daryl

13/04/2018 à 11h00

Qué fayotte ????

La personne te dit qu'elle était pas au TP !!!!


Darmon - Eugenol
latin

13/04/2018 à 11h25

Hello,
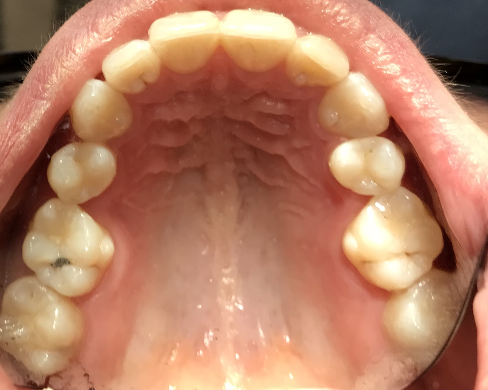
As-tu une photo en occlusion avec l'objectif calé entre les deux amygdales?


Capture d écran 2018 05 16 à 21.30 - Eugenol
Daryl

13/04/2018 à 11h30

@ latin : c'est à moi que tu parles ? :)))

Passque, bahhh, j'ai pu d'amydales et l'objectif, jvois pas comment y va pouvoir rentrer si on est en occlusion !!!


Orezza gazeuse verre litre ocoxey - Eugenol
casa

13/04/2018 à 11h40

ouep Daryl ; pas en cours mais lèche b...otte après ! c'est tout comme . pis qu'à bien lu son court , et tout et tout . repérée ....

#justepourrire.


Utilisateur banni

13/04/2018 à 12h00

Daryl écrivait:
-----
> @ latin : c'est à moi que tu parles ? :)))
>
> Passque, bahhh, j'ai pu d'amydales et l'objectif, jvois pas comment y va
> pouvoir rentrer si on est en occlusion !!!

Je suis certain qu’un jour ils inventeront dans les films pour adultes des prises de vue où une mini caméra viendra filmer les diverses choses qui rentrent dans la bouche


Darmon - Eugenol
latin

13/04/2018 à 12h15

Daryl écrivait:
-----
> @ latin : c'est à moi que tu parles ? :)))
> Passque, bahhh, j'ai pu d'amydales et l'objectif, jvois pas comment y va
> pouvoir rentrer si on est en occlusion !!!

Désolé pour tes amygdales.
Je suis sûr qu'Enlaye saura répondre!


Vw campersurfvan bmnk1q - Eugenol
enlaye

13/04/2018 à 12h22

ahhh , le Latin , te revoilà !! ça fait plaisir que tu reviennes voir tes petits camarades , alors que tu as été reçu brillamment dans la grande école :))
je n'ai pas de photos des modèles , sinon bien sur , j'aurais montré l occlusion par derrière , comme d'ab .
a propos des amygdales , il n'en a pas de grosses , même s'il a tendance a avoir une langue basse , je trouve .

je pense qu'il se sert de sa langue comme un guide souple lors de la fermeture . il ne faut pas voir en cela comme une parafonction , mais une aide de centrage lors de la cinématique de fermeture .


Vw campersurfvan bmnk1q - Eugenol
enlaye

13/04/2018 à 12h42

casa écrivait:
----
". Par contre Enlaye c'est bien la 22 qui est abîmée , et les 26 36 sont bien du côté 22 ??? "

oui la 22 est un peu usée , mais depuis 2013 , il ne s'est plus passé grand chose .
bon , bien sur elle est du meme coté que 26 36 , mais comme on l'a dit ç est tjs multifactoriel et en 2013 , j avais fait une équilibration globale .
entre temps il a eu des inlays de fait , et il est passé me les montrer et me demander de faire l inspecteur des travaux finis . :-) et que je lui redonne 1 peu de confort .


Vw campersurfvan bmnk1q - Eugenol
enlaye

13/04/2018 à 12h51

Daryl mais qu'as tu fait à Vulpi ?? depuis ,il est tout retourné ,
quand je lui ai dit :
" tu me feras 100 lignes : on ne doit pas regarder derrière tant qu'on a pas fini devant "
je ne parlais pas de toi :-)))
ici , ç est tuto occluso et non pas tuto clito !!


Capture d écran 2018 05 16 à 21.30 - Eugenol
Daryl

13/04/2018 à 13h27

enlaye écrivait:
---
>
> Oui c est plus cool comme exam , vous pouvez meme pomper ,ben tiens mais ou est
> Daryl , elle a taillé ?

Ah Ouais et là aussi tu ne parlais pas de moi et de mes talents cachés ??

Pas de tuto clito ok mais c'est où le tuto sodo ???
Enfin, c'est pas pour moi je précise, c'est pour Vulpi, mais jsais pas si c'est pour Madame !!! :)))


Darmon - Eugenol
latin

13/04/2018 à 13h53

Haha je savais que tu comprendrais Enlaye!

Une fois qu'on a trouvé le pan cuspidien ou la crête marginale qui pose problème, corriger le torque de toute l'arcade sup ne serait-il pas le moyen le plus sûr de lui donner la liberté de serrer les dents de la manière la plus confortable?


Utilisateur banni

13/04/2018 à 19h06

Je sais plus dans quel post , il y avait le cas avec une personne âgée avec des PM qui avaient été extraites pour corriger une béance, tu sais le cas où il y avait un gros compo pour cacher l’attelle Enlaye. Dans le même style : patiente qui a eu un traitement ortho avec des PM retirées. Patiente avec cervicalgies .

27f57ee0 70f7 47d6 92eb c4835a86a2dd bqhv0g - Eugenol
6989fc40 2c4f 46e0 9164 889f4d8a88d3 erz4m7 - Eugenol
Fa9eab55 e2b5 41a6 a7df a803bb95e86a mdydd8 - Eugenol

Vw campersurfvan bmnk1q - Eugenol
enlaye

13/04/2018 à 19h51

@ Latin
oui bien sur , quand ç est possible .

- sur denture naturelle , une petite erreur se rattrape facilement . surtout que la forme de la dent est adaptée d'origine à celle de son antago , de par la loi du bon dieu :-) . donc si tu modifies une pente cela créera un peu de force orthodontique qui finira le travail .
ç est ce que je fais pour fignoler un ttt ortho :-)

- sur une couronne c’est quasi impossible pcq le plus souvent :
soit la chape n est pas homothétique à ce que tu dois enlever donc tu tombes sur le métal
soit ç est toute la dent qui est décalée et ç est mort
soit ç est le sillon central qui est decalé comme
par exemple dans le cas dela 26 , ç est la cuspide vest qui est trop rentrante . donc si tu la grattes eh bien fatalement sa hauteur diminue et tu finis avec 1 casserole .
mais ç est tres souvent le labo qui a merdé en faisant 1 mauvais inlay core .


Vw campersurfvan bmnk1q - Eugenol
enlaye

13/04/2018 à 19h57

et alors ? Junior , ou veux tu en venir ?
en plus , tu le sais que je n'ai pas le droit de critiquer un travail d ortho . moi j ai pas le droit :-)
et de toute façon , ce n'est pas le sujet du tuto .


Utilisateur banni

13/04/2018 à 20h11

Bah je sais pas on dirait que l’extraction des PM a peut être plus empiré les choses qu’autre chose , non ? Y a comme qui dirait un problème. Mesioversion de 26 et 16 , et rotation des PM. :)


6szjws718sv1jksw54v4mpj3a6cu - Eugenol
vulpi

13/04/2018 à 20h16

enlaye écrivait:
------
> @ Latin
> oui bien sur , quand ç est possible .
>
> - sur denture naturelle , une petite erreur se rattrape facilement . surtout
> que la forme de la dent est adaptée d'origine à celle de son antago , de par
> la loi du bon dieu :-) . donc si tu modifies une pente cela créera un peu de
> force orthodontique qui finira le travail .
> ç est ce que je fais pour fignoler un ttt ortho :-)
>
> - sur une couronne c’est quasi impossible pcq le plus souvent :
> soit la chape n est pas homothétique à ce que tu dois enlever donc tu tombes
> sur le métal
> soit ç est toute la dent qui est décalée et ç est mort
> soit ç est le sillon central qui est decalé comme
> par exemple dans le cas dela 26 , ç est la cuspide vest qui est trop rentrante
> . donc si tu la grattes eh bien fatalement sa hauteur diminue et tu finis avec 1
> casserole .
> mais ç est tres souvent le labo qui a merdé en faisant 1 mauvais inlay core .

Il faut te faire rémunérer pour ces judicieuses remarques.


Vw campersurfvan bmnk1q - Eugenol
enlaye

13/04/2018 à 20h27

junior® écrivait:
-------
" Bah je sais pas on dirait que l’extraction des PM a peut être plus empiré les choses qu’autre chose , non ? Y a comme qui dirait un problème. Mesioversion de 26 et 16 , et rotation des PM. "

bien dans ce cas , si tu vois le pb ç est que ç est 1 cas facile :
tout le monde peut le voir , on a pas besoin de moi ou de vous aujourd’hui :-))

là ou ç est intéressant ç est quand tu peux voir le loup avant qu'il n'arrive . ç est plus confortable .


Vw campersurfvan bmnk1q - Eugenol
enlaye

13/04/2018 à 20h29

vulpi écrivait:
-----
" Il faut te faire rémunérer pour ces judicieuses remarques. "

??? par qui ? et pourquoi ?:-)))))


6szjws718sv1jksw54v4mpj3a6cu - Eugenol
vulpi

13/04/2018 à 21h54

Tiens, un truc, pourquoi faire des couronnes prothétiques avec des anatomies pires que les dents naturelles, très caractérisées avec des sillons, des ponts... tout cela fait plein de contacts non souhaités et est source de "blocages". Des faces occlusales simples, mais pas simplistes, pour que cela coulisse bien, désengrène facilement avec les bons angles ce serait pas mal et suffisant je pense.
Tu me donnes une céram, je la customise vachement avant de la sceller!-))


Vw campersurfvan bmnk1q - Eugenol
enlaye

14/04/2018 à 09h30

oui ,parfois ils sont très étranges ces protos .
ils vont jusqu'en maitrise pour apprendre , et on se demande si certains ne se sont pas arrêtés à la licence .
mais à la licence 4 alors , hein :-))))