Cookie Consent byPrivacyPolicies.comcherche confrere serieux sur chambery - Eugenol

cherche confrere serieux sur chambery

1 okqrab - Eugenol
Léonard

17/04/2018 à 18h13

Bonjour

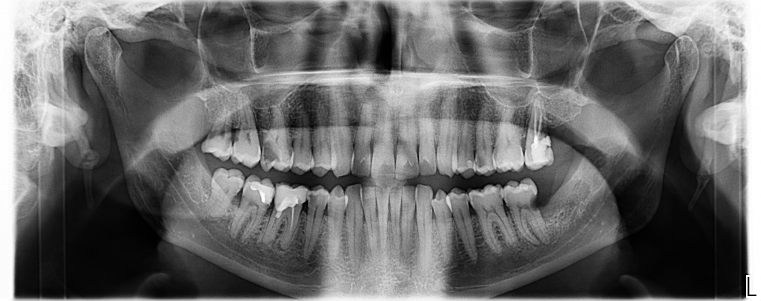
j'ai un patient (50ans) très sympa (et solvable!) de passage chez moi et qui est de Chambery
Son praticien semble passer à coté des choses...
Je l'ai mis au courant de ses multiples problèmes

Une bonne âme pour ce patient qui ne se plaint de rien mais qui est motivé pour faire les choses correctement

Reponse en MP
Merci

Gimpphrnv2yz4quy3fyg - Eugenol