Cookie Consent byPrivacyPolicies.com3 eme p'tit tuto : t'es flon ou quoi ? - Eugenol

3 eme p'tit tuto : t'es flon ou quoi ?

Orezza gazeuse verre litre ocoxey - Eugenol
casa

12/03/2019 à 15h49

un liquide pour les resines , genre duralay ?


Utilisateur banni

12/03/2019 à 15h51

Tu veux dire le monomère pour les résines Casa?


Vw campersurfvan bmnk1q - Eugenol
enlaye

12/03/2019 à 15h54

Bien joué Paulman :-)
Mais pourquoi modifié ??
Alcool a 90 pour mes tests .
ce qui permet en passant à travers le teflon de faire ventouse ,et de pouvoir lui faire passer les courbures sans pli .
2eme effet kiss cool : comme il devient transparent , de pouvoir mieux faire passer la lumiere au travers du teflon .


Utilisateur banni

12/03/2019 à 15h57

C’est comme quand vous mettez de l’alcool (genre du manugel) sur les gants en plostoc qu’on utilise, l’alcool traverse


6szjws718sv1jksw54v4mpj3a6cu - Eugenol
vulpi

12/03/2019 à 15h59

Y a Enlaye qui nous fait un concours de Tshirts mouillés!


Vw campersurfvan bmnk1q - Eugenol
enlaye

12/03/2019 à 15h59

casa écrivait:
----
" un liquide pour les resines , genre duralay ? "

Pas interessant , le monomere etant de la resine acrylique , cela collerait et enleverait son utilisation demoulante . Je n ai pas essayé en tout cas .


Vw campersurfvan bmnk1q - Eugenol
enlaye

12/03/2019 à 16h02

junior® écrivait:
-------
" C’est comme quand vous mettez de l’alcool (genre du manugel) sur les gants en plostoc qu’on utilise, l’alcool traverse "

A part que sur le teflon , lorsque l alcool seche rapidement ( d ou l interet de ne pas le prendre denaturé ) lui , revient a son etat initial .


Vw campersurfvan bmnk1q - Eugenol
enlaye

12/03/2019 à 16h07

vulpi écrivait:
-----
" Y a Enlaye qui nous fait un concours de Tshirts mouillés! "

:-)))) exactement ça ! :-).
Quand c est mouillé , c est tjs mieux .


Vw campersurfvan bmnk1q - Eugenol
enlaye

12/03/2019 à 16h11

Ho les p'tits gars , vous vous rendez compte que je reflechi pour vous quand meme ?
Pcq toutes ces conneries , je m en branle , en fait , une fois que c est trouvé , ca ne m interesse plus :-))


6szjws718sv1jksw54v4mpj3a6cu - Eugenol
vulpi

12/03/2019 à 16h12

enlaye écrivait:
------

> :-)))) exactement ça ! :-).
> Quand c est mouillé , c est tjs mieux .

si tu l'dis :-)))


Orezza gazeuse verre litre ocoxey - Eugenol
casa

12/03/2019 à 16h19

oui voilà monomère !! je cherchais le nom entre 2 patients ....!


6szjws718sv1jksw54v4mpj3a6cu - Eugenol
vulpi

12/03/2019 à 16h26

Perso que ce soit opaque ne me gène pas.


paulman2

12/03/2019 à 16h28

Pourquoi modifié ?
Car avec l'alcool modifié tu ne peux pas t'en servir dans ton alambic, et que dans ma pharmacie je ne trouve plus d'alcool à 90°, mais seulement du 70°modifié.


Devil wxz6j6 - Eugenol
devil s dare

12/03/2019 à 20h55

mais pourquoi veux tu mettre de l alcool dans un alambic???? chez moi c est pas comme ça qu on fait!


Vw campersurfvan bmnk1q - Eugenol
enlaye

12/03/2019 à 22h51

peuchère , pas assez que Paulman se fait refiler de l alcool denaturé , ou modifié , il se fait camphrer par ses collègues :-))


Vw campersurfvan bmnk1q - Eugenol
enlaye

12/03/2019 à 22h59

ah , au fait , il y a plusieurs téflons :
des petits , des gros , des fins et des épais , il y en a pour tous les gouts et les usages .

par exemple les plus épais , ç est pour les empreintes ou rebaser les faces occlusales des prov , les fins et large pour les isolations des faces proximales , etc etc ...

 mg 1687 i7b1g5 - Eugenol

Rape p0as4f - Eugenol
rapelapente

12/03/2019 à 23h35

Enlaye tu es un génie !
Il me tarde d'essayer ça !
Ça règle le pb du Téflon épais.
Vivement fin avril que je retourne bosser :-))
Parce que là je bosse sur ma barque...


--
Schooner For Ever


Vw campersurfvan bmnk1q - Eugenol
enlaye

02/05/2019 à 18h58

quand on doit faire des compos lorsqu' il y a une supra avec de forts contacts , ç est pénible à cause des faces très concaves palatines .
tjs on gratte , on regarde , on gratte , on regarde , ç est épuisant .
ben si ç est chiant , non ?
surtout quand il se lève que tu as tout débarrassé et qu il te dit " ça me gêne làààààà ! "

 mg 1743 ymhtuw - Eugenol

6szjws718sv1jksw54v4mpj3a6cu - Eugenol
vulpi

02/05/2019 à 19h05

Ah bin chapeau! Tu l'as bien réussi çui-là;-)


Utilisateur banni

02/05/2019 à 19h06

Moi déjà sa bouche dégueu, et les dépôts sur les chicots, c'est "vous allez vous brosser 3 mn, fil dentaire et après j'avise".


Vw campersurfvan bmnk1q - Eugenol
enlaye

02/05/2019 à 19h11

alors qu avec le téflon , on s en fout . tu en mets bien en bas ,
tu bourres bien par devant , en occlusion et après , il ne te reste plus qu à limer un petit coup par derrière histoire de faire les finitions occlusales et basta .
bien sur , plus tu en mets , du téflon , plus tu aura de tolérance au trajet de fermeture , mais surtout plus tu auras d effet ressort pour bien plaquer le joint de compo sur la limite lorsque tu bourres .
après devant tu fais le niveau de finition nécessaire au cas :-))

 mg 1744 p9ymhk - Eugenol
 mg 1746 z4my4e - Eugenol

6szjws718sv1jksw54v4mpj3a6cu - Eugenol
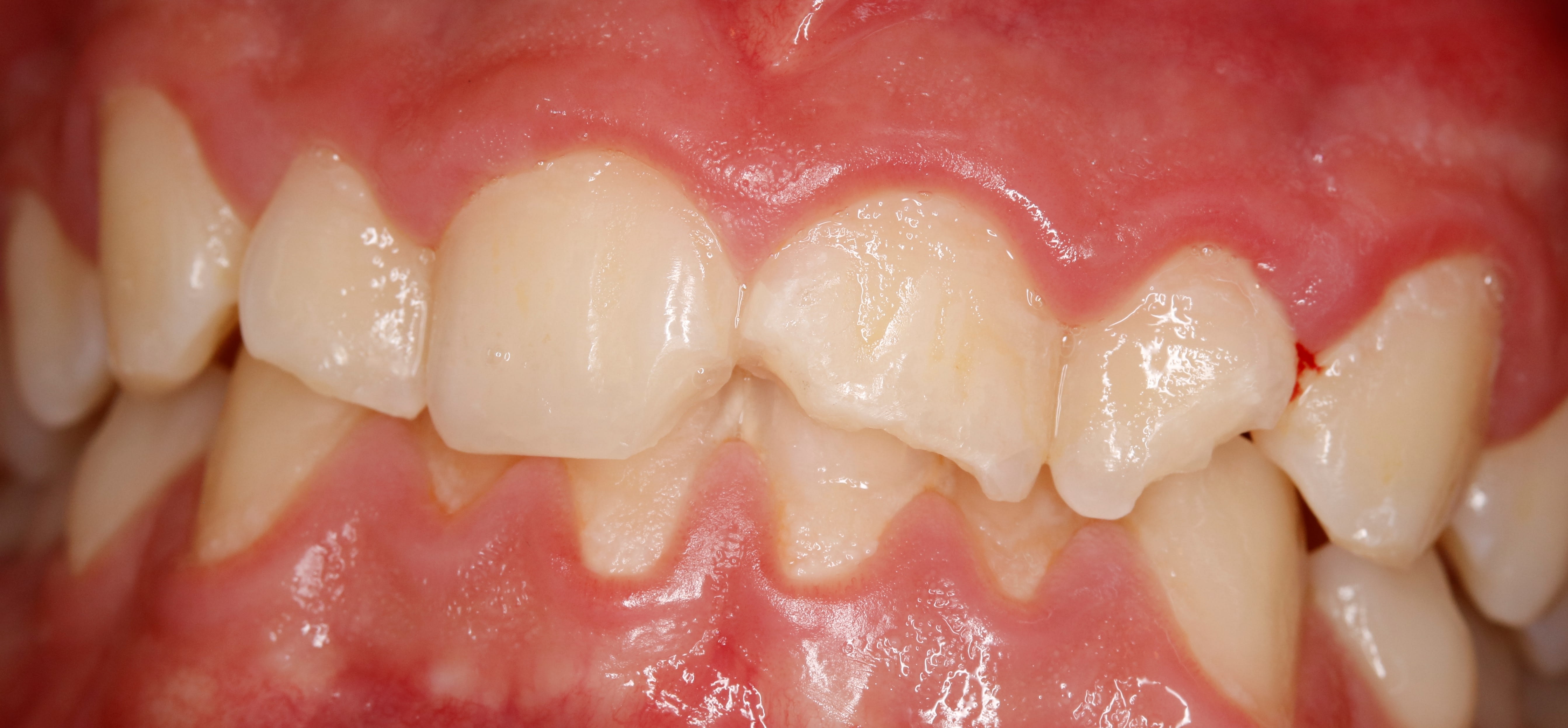
vulpi

02/05/2019 à 19h22

Regarde! L'empreinte est dégueu je sais! C'est pour un prov, je vais pas me casser.
Mais 12, 11 alvéolyses terminales, tu tires ça vient, moi j'ai pas de truc du vingt et unième siècle, je fais tout de façon "physique".
Un point de totalcem pour coller 12 à 11, idem 11 à 21... un petit chapeau en téflon et zou empreinte.

Img 20190502 191751 hsotvz - Eugenol

Fond net de dent 1270 86 cyav5h - Eugenol
Dr_EG

03/05/2019 à 15h52

enlaye écrivait:
------
> alors qu avec le téflon , on s en fout . tu en mets bien en bas ,
> tu bourres bien par devant ... et après , il ne te reste plus qu à
> limer un petit coup par derrière histoire de faire les finitions ... et
> basta .
> bien sur , plus tu en mets ... plus tu auras d effet ressort ... sur la limite lorsque tu bourres .
> ...

Aaahhhh ... quel beau métier nous faisons ;-)))
Et quelle âme de poête cet Enlaye avec son langage si fleuri !!!
On l'adore ... Merci pour ce moment comme dirait l'autre ... ;-)))

... on n'est pas carabin pour rien ...


--
Le RAC pour les nuls ;-) : sur https://docs.google.com/spreadsheets/d/1uS3lJkkXLeSiN0adPR5I0aY1bJXvCK7-KAhe3UVpJAo/edit?usp=sharing

Suite à l'échec des négociations conventionnelles et la mise en place d'un règlement arbitral, seriez-vous prêt à suivre la promotion d'un déconventionnement massif de la profession par les syndicats représentatifs ? OUI - NON
Participez, anonymement, sur https://goo.gl/forms/nAO0htnsVmxotjYm1


6szjws718sv1jksw54v4mpj3a6cu - Eugenol
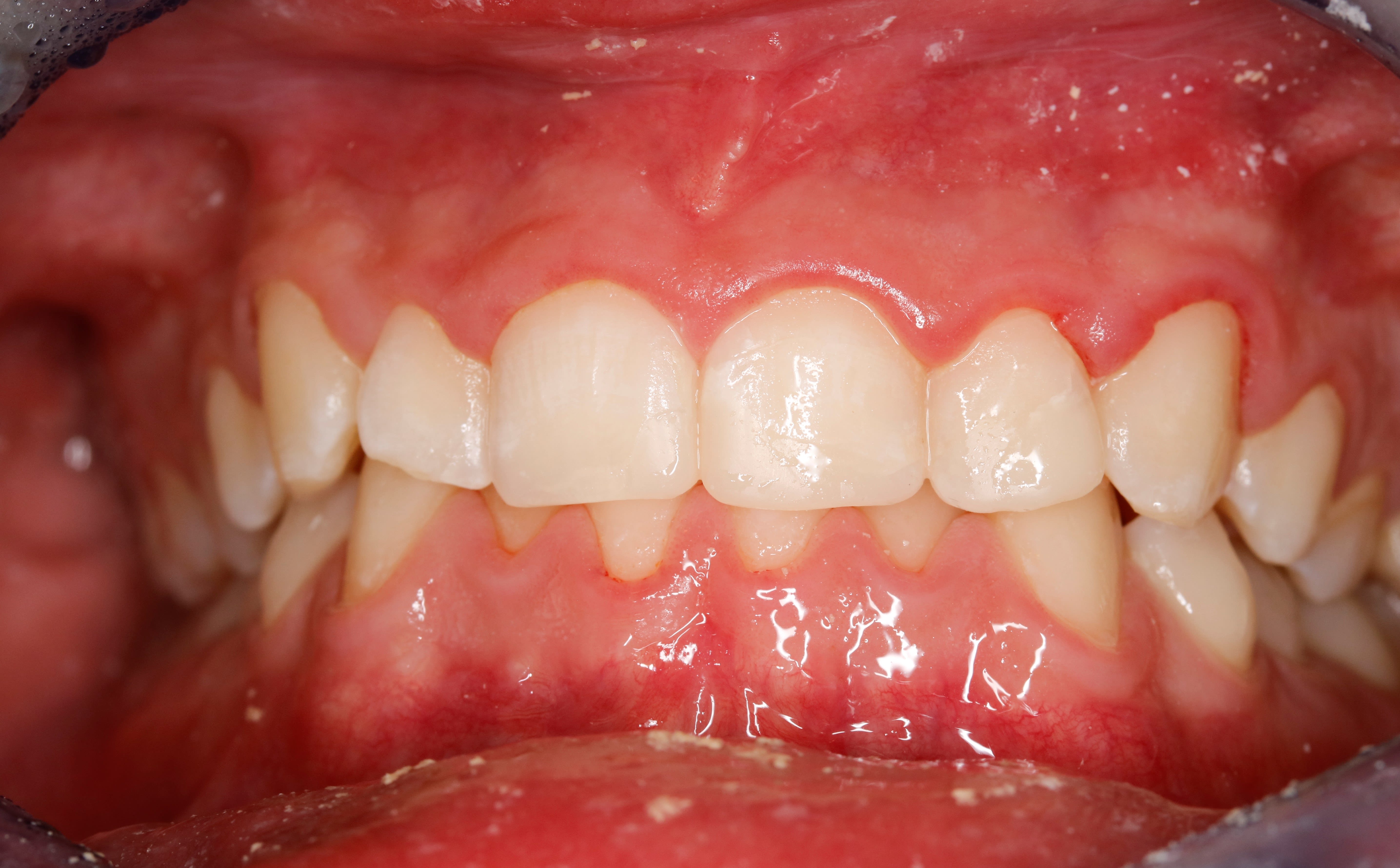
vulpi

17/08/2020 à 15h03

😁

Img 20200817 145948 aqwers - Eugenol

Et7jtaj0pdi18gzjlxjiamlx15gs - Eugenol
Prunelles

17/08/2020 à 18h47

Du grand Art. Pas de plis. Rien qui dépasse. Bravo !


1...151617