Cookie Consent byPrivacyPolicies.comCas de dyschromie : quel diagnostic ? - Eugenol

Cas de dyschromie : quel diagnostic ?

Capture d écran 2018 01 18 à 17.51 - Eugenol
dentistador

10/05/2018 à 14h28

Bonjour,

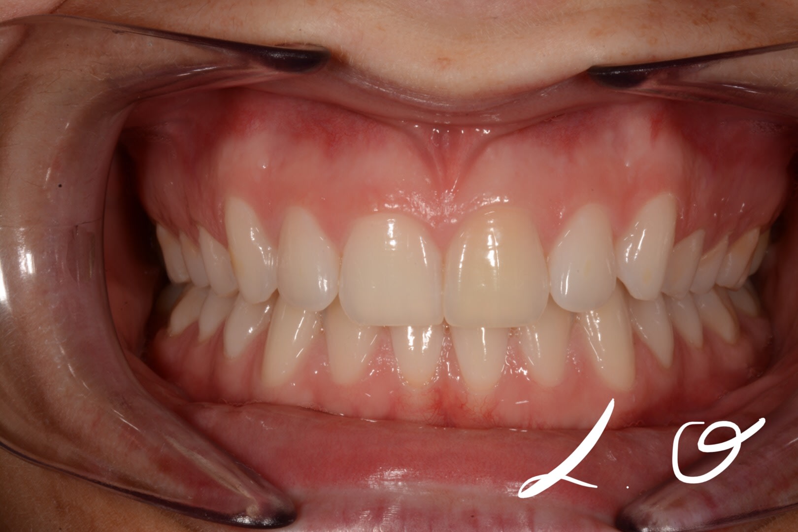
Une de mes amie âgée de 25 ans s'inquiète de voir sa dent 21 changer de couleur et me demande mon avis. Elle ne présente pas de souci de santé et ne fume pas.

Le changement de couleur de la dent s'est initié il y a un an environ et s'accentue selon ses dires.
Forcément je lui ai demandé si elle avait reçu un choc mais strictement rien.

A l'examen : pas de douleur à la percussion, pas de douleur à la palpation vestibulaire. Le test au froid est positif non douloureux, mais quand meme plus difficile (long) à obtenir que sur la 11.

A la rétro alvéolaire, je n'ai rien vu de particulier (la radio est au cabinet, je la posterai quand meme ultérieurement).
Je m'attendais à avoir une lumière canalaire réduite pour expliquer le changement de teinte, mais meme pas ...

Quels examens complémentaires me conseillez vous ? Une idée du diag ?

Je pense continuer de surveiller la vitalité de la dent mais, à supposer que la vitalité reste stable, que me conseillez vous pour palier au défaut esthétique ?

Certains d'entre vous ont il déjà eu des cas similaires ?

Merci pour votre aide !

--
Son genre, pas son genre .... Moi : je suis du genre HUMAIN !

Vpskfdls8jh1gsg79ogl - Eugenol

Capture d écran 2018 01 18 à 17.51 - Eugenol
dentistador

10/05/2018 à 14h38


Voilà la rétro :)

--
Son genre, pas son genre .... Moi : je suis du genre HUMAIN !

R7 afxj9v - Eugenol

Blue eye thumb medium dx1i0w - Eugenol
bill

10/05/2018 à 16h50

Demande lui si elle a eu de l'ortho...


Jack 2 wm3tqs - Eugenol
Treponem

10/05/2018 à 18h27

Elle a eu de l'ortho, il reste de la colle ... ;)
Si vitalité ok, surveiller.
J'ai déjà fait un éclaircissement par gouttière sur une dent (réservoir uniquement sur cette dent), ça avait pas mal fonctionné.


mr smith

10/05/2018 à 18h41

J'ai l’impression de voir 2 boulettes de résorption interne dans les 1/3 apicaux sur les centrales ?


Jack 2 wm3tqs - Eugenol
Treponem

10/05/2018 à 18h54

mr smith écrivait:
--------
> J'ai l’impression de voir 2 boulettes de résorption interne dans les 1/3 apicaux
> sur les centrales ?

Idem, mais en cherchant on voit toujours des trucs louches, faire un CBeam ?!


carident

10/05/2018 à 19h05

N'est ce pas juste une usure plus importante de l'émail sur la 21, due à une position plus vestibulée? (elle me parait légèrement en rotation et en position plus vestibulée que la 11)
Après, la patiente a aussi pu insister plus sur cette dent au niveau du brossage (voir a peut-être utilisé des produits pour blanchir la dent) pour atténuer le "jaunissement", mais n'a fait qu'aggraver le cas en faisant plus ressortir la tonalité de sa dentine...


superjim35

10/05/2018 à 19h59

Parafontion ou alors cigarette +++ sur cette dent moi je pense qu’il faut la dépulper et la BNV derrière . Peut être qu’elle a eu un trauma passé sous silence mais un BV ne fera rien .


carident

10/05/2018 à 20h01

superjim35 écrivait:
----------
> Parafontion ou alors cigarette +++ sur cette dent moi je pense qu’il faut la
> dépulper et la BNV derrière . Peut être qu’elle a eu un trauma passé sous
> silence mais un BV ne fera rien .

Pas d'accord... Que perd-on à essayer un éclaircissement externe en vestibulaire?

Certainement moins que de dévitaliser une dent qui répond encore positivement au test de vitalité...

ps : c'est écrit qu'elle ne fume pas...


superjim35

10/05/2018 à 20h36

Effectivement on peut tenter leBV mais je pense que c’est un trauma passé Inaperçu du fait de la vitalité diminuée . J’ai eu le cas qui c’est terminé comme cité ci dessus


carident

10/05/2018 à 20h45

superjim35 écrivait:
----------
> Effectivement on peut tenter leBV mais je pense que c’est un trauma passé
> Inaperçu du fait de la vitalité diminuée . J’ai eu le cas qui c’est terminé
> comme cité ci dessus

La diminution de la vitalité :
- peut faire suite à une agression chronique quelconque (parafonction, bruxisme, chaud-froid répété, etc...),
- n'est pas forcément due à un choc brutale,
- n'aboutit pas forcément à une nécrose (à court ou moyen terme).


superjim35

10/05/2018 à 20h59

Oui mais ae stade avec cette dyschromie je pense qu’en vitale c’est irréversible


carident

10/05/2018 à 21h09

superjim35 écrivait:
----------
> Oui mais ae stade avec cette dyschromie je pense qu’en vitale c’est irréversible

Il n'y a aucune douleur, aucun symptôme hormis un changement de couleur léger, et aucun signe radiologique net...
Ou est le signe d'une pulpite irréversible ou d'une nécrose future??!

Depuis quand est-ce qu'on enseigne de dévitaliser une dent juste parce qu'elle est un peu plus jaune que les autres?

Tu ne serais pas du genre à dévitaliser toutes les canines? :-)


superjim35

10/05/2018 à 21h16

Diminution de la vitalité sur plusieurs mois sans symptômes c’est totalement un symptôme d’une nécrose à bas bruit .mais oui essayer un BV mais je pense que ce sera un coup dans l’eau . Essayer n’est pas renoncer


superjim35

10/05/2018 à 21h21

Eh mange merde je dévitalise pas les canines car elle sont plus jaunes car effectivement elles sont plus jaunes cf cours d’embrio


RépondreCiter
superjim35

10/05/2018 à 21h28

Sinon attend 2 ans dent calcifiée BV + BNV inactifs = facette rac0


mr smith

10/05/2018 à 22h06

superjim35 écrivait:
----------
> Eh mange merde je dévitalise pas les canines car elle sont plus jaunes car
> effectivement elles sont plus jaunes cf cours d’embrio

EmbrYo , elles ne sont ni plus jaunes , ni plus grises , ni plus marrons !!! juste une teinte au dessus . Tu as mangé quoi ce soir pour être désagréable ?


superjim35

10/05/2018 à 22h19

Pas désagréable juste réaliste faut arrêter avec les conneries de grand praticien le cas présenté ne peut Être qu’une nécrose à bas bruit .


RépondreCiter
carident

11/05/2018 à 00h50

https://pocketdentistry.com/5-vital-or-nonvital-single-discolored-tooth/

https://www.ncbi.nlm.nih.gov/pmc/articles/PMC3916509/


Utilisateur banni

11/05/2018 à 06h22

Ça arrive aussi parfois qu’il y ait des illuminées qui vous disent qu’elles sentent le froid quand on fait le test de vitalité , puis une fois que vous avez fraisé vous remarquez que finalement elles ne sentent rien puisque la dent est nécrosée et qu’elles ont crû sentir du froid.
T’as qu’ à faire semblant de mettre du froid sur sa dent . Elle va sentir le froid :))). Ou alors peut-être sent elle le froid qui irradie sur sa gencive ou sur la dent d’à coté.
Après ça se trouve elle n’est pas du tout nécrosée , c’est juste une piste de réflexion

C’est comme les patients qui font « aïe aïe aïe j’ai mal docteur quand vous fraisez » , sauf que j’ai fait semblant de fraiser et de toucher la dent , ce qui me permet de leur dire ensuite qu’il faut arrêter de me prendre pour un con.


Index vakr2r - Eugenol
pgc

11/05/2018 à 07h22

superjim35 écrivait:
----------
> Eh mange merde je dévitalise pas les canines car elle sont plus jaunes car
> effectivement elles sont plus jaunes cf cours d’embrio

L'élégance et la simplicité.
Bienvenue cher confrère.
N'hésitez pas à nous régaler de votre ironie féroce et de vos analyses percutantes.


Vw campersurfvan bmnk1q - Eugenol
enlaye

11/05/2018 à 07h42

superjim35 écrivait:
----------
" moi je pense qu’il faut la dépulper et la BNV derrière . "

Ç est quoi une BNV derriere ?
Ç est juste avant la BMW ?


Avatar uy05sg - Eugenol
guest100

11/05/2018 à 07h43

Nécrose progressive. Tôt ou tard à dépulper. Tu préviens la patiente et lui donne le choix: dépulpation maintenant ou surveillance.


carident

11/05/2018 à 09h49

junior® écrivait:
-------
> Ça arrive aussi parfois qu’il y ait des illuminées qui vous disent qu’elles
> sentent le froid quand on fait le test de vitalité , puis une fois que vous
> avez fraisé vous remarquez que finalement elles ne sentent rien puisque la dent
> est nécrosée et qu’elles ont crû sentir du froid.
> T’as qu’ à faire semblant de mettre du froid sur sa dent . Elle va sentir le
> froid :))). Ou alors peut-être sent elle le froid qui irradie sur sa gencive ou
> sur la dent d’à coté.
> Après ça se trouve elle n’est pas du tout nécrosée , c’est juste une piste de
> réflexion
>
> C’est comme les patients qui font « aïe aïe aïe j’ai mal docteur quand vous
> fraisez » , sauf que j’ai fait semblant de fraiser et de toucher la dent , ce
> qui me permet de leur dire ensuite qu’il faut arrêter de me prendre pour un con.

Le principe du test est de le faire sans que le patient ne voit ou ne sache la dent qui est testée...
Il faut tester toutes les dents du secteur, et comparer la réponse/réaction du patient. Il ne sait pas quelle dent est testée à chaque fois et n'a aucune raison de sur-réagir ou de tricher...

C'est bien de prendre de la hauteur par rapport aux signes subjectifs et aux réactions du patient qui peuvent être biaisées par la peur, mais :
- il ne faut pas non plus tomber dans l'excès inverse, et ne plus écouter les patients ou les prendre de haut (une régulatrice du SAMU en a donné un très mauvais exemple récemment),
- il faut savoir faire la part entre les signes objectifs et les signes subjectifs... Et là tu confonds les deux, il me semble.


carident

11/05/2018 à 09h53

pgc écrivait:
---
> superjim35 écrivait:
> ----------
> > Eh mange merde je dévitalise pas les canines car elle sont plus jaunes car
> > effectivement elles sont plus jaunes cf cours d’embrio
>
> L'élégance et la simplicité.
> Bienvenue cher confrère.
> N'hésitez pas à nous régaler de votre ironie féroce et de vos analyses
> percutantes.

J'ai l'impression que l'on va en avoir des comme cela de plus en plus, avec le retour de "nos confrères" parties se former ailleurs...