Cookie Consent byPrivacyPolicies.comCas de dyschromie : quel diagnostic ? - Eugenol

Cas de dyschromie : quel diagnostic ?

Index vakr2r - Eugenol
pgc

12/05/2018 à 11h27

superjim35 écrivait:
----------
> Pas désagréable juste réaliste faut arrêter avec les conneries de grand
> praticien

Cette remarque n'est pas dénuées d'une certaine lucidité. Il y a de l'avenir pour les gars comme lui.


carident

12/05/2018 à 11h41

pgc écrivait:
---
> Hokusai écrivait:
>
> > > superjim35 écrivait:
> > Eh mange merde...
>
> Oui c'est bien ce que le gars a écrit.
> Ce sont des contacts enrichissants. J'ignorais complètement les rapports entre
> la jaunitude des canines et leur embryologie.

C'est parce qu'en France, nous autres ne connaissons pas encore "l'embriologie"

> Je sens que les années à venir vont être difficiles à tous points de vue :))

Pour nous oui... Mais pour ceux qui ont étudié "l'embrio", il n'y aura aucun problème pour exercer dans cette nouvelle convention :-)))


carident

12/05/2018 à 11h52

pgc écrivait:
---
> superjim35 écrivait:
> ----------
> > Pas désagréable juste réaliste faut arrêter avec les conneries de grand
> > praticien
>
> Cette remarque n'est pas dénuées d'une certaine lucidité. Il y a de l'avenir
> pour les gars comme lui.

Tout est dit. Je suis un "grand praticien" (lol) qui se méconnait et exerce en banlieue. Tiens, mince : J'ai aussi oublié de faire quelques publications et conférences, histoire de... Ah bah je ne dois pas être un grand praticien alors... :-))))

Du coup, j'ai une question à poser à ce praticien pratico-pratique qui veut remettre en cause tout ce qu'il vient d'apprendre (ou pas) à la faculté... : A partir de quelle différence de teinte par rapport aux dents adjacentes doit-on dévitaliser une dent?

Je sens que l'on va bientôt pouvoir modifier la classification de Baume :

III.B.c. Catégorie III de Baume


Pulpes vivantes, dont la biopulpectomie ou la pulpectomie totale (immédiate ou médiate) et l'obturation canalaire immédiate sont indiqués pour des raisons symptomatologiques, prothétiques ou iatrogène. "(ou coloristique)"


Index vakr2r - Eugenol
pgc

12/05/2018 à 11h56

carident écrivait:

>
> Pour nous oui... Mais pour ceux qui ont étudié "l'embrio", il n'y aura aucun
> problème pour exercer dans cette nouvelle convention :-)))

Elle a été faite pour eux en vérité.
Nous sommes le passé.
L'embrio, c'est l'avenir.


Hok 1b hgd3rj - Eugenol
Hokusai

12/05/2018 à 11h57

carident écrivait:
--------
> A
> partir de quelle différence de teinte par rapport aux dents adjacentes doit-on
> dévitaliser une dent?

Ca depend des ecoles... et du teintier surtout.


6szjws718sv1jksw54v4mpj3a6cu - Eugenol
vulpi

12/05/2018 à 12h21

Baume & co c'est dépassé. Les seules vraies indications sont celles des recommandations HAS, le reste c'est de la poudre de perlimpinpin!


Hok 1b hgd3rj - Eugenol
Hokusai

12/05/2018 à 15h19

vulpi écrivait:
-----
> le reste c'est de la poudre de perlimpinpin!



Et dire que c'est le mieux de tous... on est pas aidé faut dire.


6szjws718sv1jksw54v4mpj3a6cu - Eugenol
vulpi

12/05/2018 à 16h03

Oui! Oui! Et pour le prozet de créer un poste de ministre des finances européennes, de la poudre de Berlinpinpin!
J'ai l'impression que même avec des talonnettes il est un peu court sur pattes notre génie.
Bas du cul... forcement le plafond suit:-))


Capture d écran 2018 01 18 à 17.51 - Eugenol
dentistador

12/05/2018 à 22h06


Je vous remercie pour les éléments de réflexion apportés. Je vais surveiller pour le moment la vitalité et faire des RA de contrôle. Je vais envisager un éclaircissement externe sur cette dent uniquement via une gouttière.
J'ai malheureusement un doute sur la vitalité de la dent à moyen terme ... j'essaierai de vous tenir informé en fonction de l'évolution.

Merci encore


superjim35

12/05/2018 à 23h22

Salut carident alors la jaunitude tu y a réfléchi? Eh on en reparle dans un an du cas et tu verras que j’avais raison . Explique moi comment un denT pourrais se dyschromier sans un trauma passé inaperçu ou une parafonction .... avis 3000 la solution ou Leroy Merlin 😍😘


carident

13/05/2018 à 00h52

superjim35 écrivait:
----------
> Salut carident alors la jaunitude tu y a réfléchi? Eh on en reparle dans un an
> du cas et tu verras que j’avais raison . Explique moi comment un denT pourrais
> se dyschromier sans un trauma passé inaperçu ou une parafonction .... avis 3000
> la solution ou Leroy Merlin 

Je t'avais déjà mis un peu de lecture plus haut... Mais, puisque tu ne penses pas avoir besoin d'approfondir tes connaissances, j'ai extrait pour toi ces deux paragraphes (on ne sait jamais) :

"Even if a tooth tests as non-vital, it may not require endodontic therapy. If there is no radiographic evidence of pathology and no clinical symptoms, then there is no reason to initiate endodontic therapy based on vitality testing alone."

"Pulp necrosis as evidenced by periapical radiolucency is an infrequent sequela to PCO occurring in approximately 7% to 16% of cases; consequently, prophylactic endodontic therapy is not recommended by most authors."

=> Seulement 7 à 16% des dents nécrosées évoluent en granulome apicale... Est-ce que ça justifie de traiter les racines de toutes les dents nécrosées avant l'apparition de toute symptomatologie?
Est-ce que ça justifie de dévitaliser une dent qui n'est même pas encore nécrosée?

Par ailleurs, la couleur des dents changent tout au long de leur vie sur l'arcade, d'une part à cause de la formation de dentine, d'autre part à cause de l'usure de l'émail.
=> j'ai déjà donné supra une explication alternative possible à la différence de couleur de cette dent (usure plus importante de l'émail vestibulaire).

J'ai aussi une une patiente dans ce cas de figure avec une 21 présentant une tonalité un peu plus chaude que la 11, mais parfaitement vivante.. Une position légèrement plus vestibulée de la dent, et l'utilisation de dentifrice anti-tâche très abrasif peuvent expliquer la différence de couleur.

Enfin, dévitaliser la dent va t-il apporter une réponse au motif de consultation de la patiente? Non!
La dent va surement devenir plus grise et plus brune une fois dévitalisée... Alors à quoi bon?

Tu as peur de ne pas pouvoir traiter la raine plus tard et tu penses que ton incompétence en endodontie pourrait te servir d'excuse pour justifier une mutilation devant un tribunal?

La conduite à tenir (AMHA) :

1. Approfondir l’anamnèse en essayant de savoir si la patiente à essayer de part elle même de corriger le changement minime de couleur
2. Tenter un blanchiment externe (au fauteuil et sans gouttière, je trouve que ça marche mieux personnellement, mais la gouttière peut permettre de diminuer les coûts si plusieurs séances sont nécessaires)
3. Si malgré l'éclaircissement la différence de couleur demeure vraiment perceptible et gênante pour la patiente, proposer une facette

Le traitement canalaire ne serait entrepris que si des symptômes, qui le justifient, venaient à apparaitre au cours de ces différentes phases ou plus tard.


Utilisateur banni

23/05/2018 à 11h14

Vraiment on se demande d’où bien peuvent venir ces jaunissements . C’est vraiment un mystère . Et pourtant elle a une sensibilité au froid . Quelle surprise ! What a surprise ! En anglais dans le texte ....

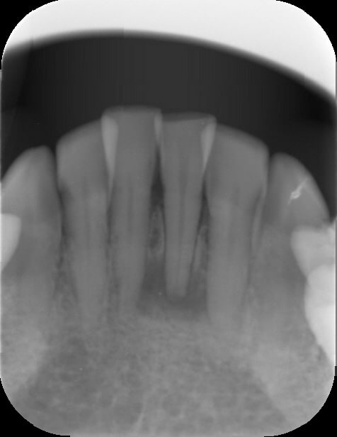
B74b731e 4672 4504 a1f8 3ef25e40bd5f zte6ze - Eugenol

Utilisateur banni

23/05/2018 à 11h24

oh bin mince alors ... what a surprise ! qu'est ce qu'on voit à la radio...
encore une allumée qui a des sensibilités au froid sur une dent nécrosée. :)

1 1 bzp07r - Eugenol

carident

23/05/2018 à 19h26

Il peut y avoir deux canaux dans le cas d'une incisive mandibulaire : un canal nécrosé et le second encore vivant. Cela dit peut être que tu mets du froid sur les dents adjacentes quand tu fais ton test...


Utilisateur banni

23/05/2018 à 19h42

Non non elle sentait le froid sur cette dent précisément (quand je mettais ma petite boulette de coton sur cette dent). Une illuminée. Et bien entendu je l’ai laissée braire et J’ai réalisé l’endo sans anesthésie bien évidemment.