Cookie Consent byPrivacyPolicies.comj'ai un problème - Eugenol

j'ai un problème

17082007 synnio - Eugenol
kalif

16/05/2018 à 12h53

ben voilà,

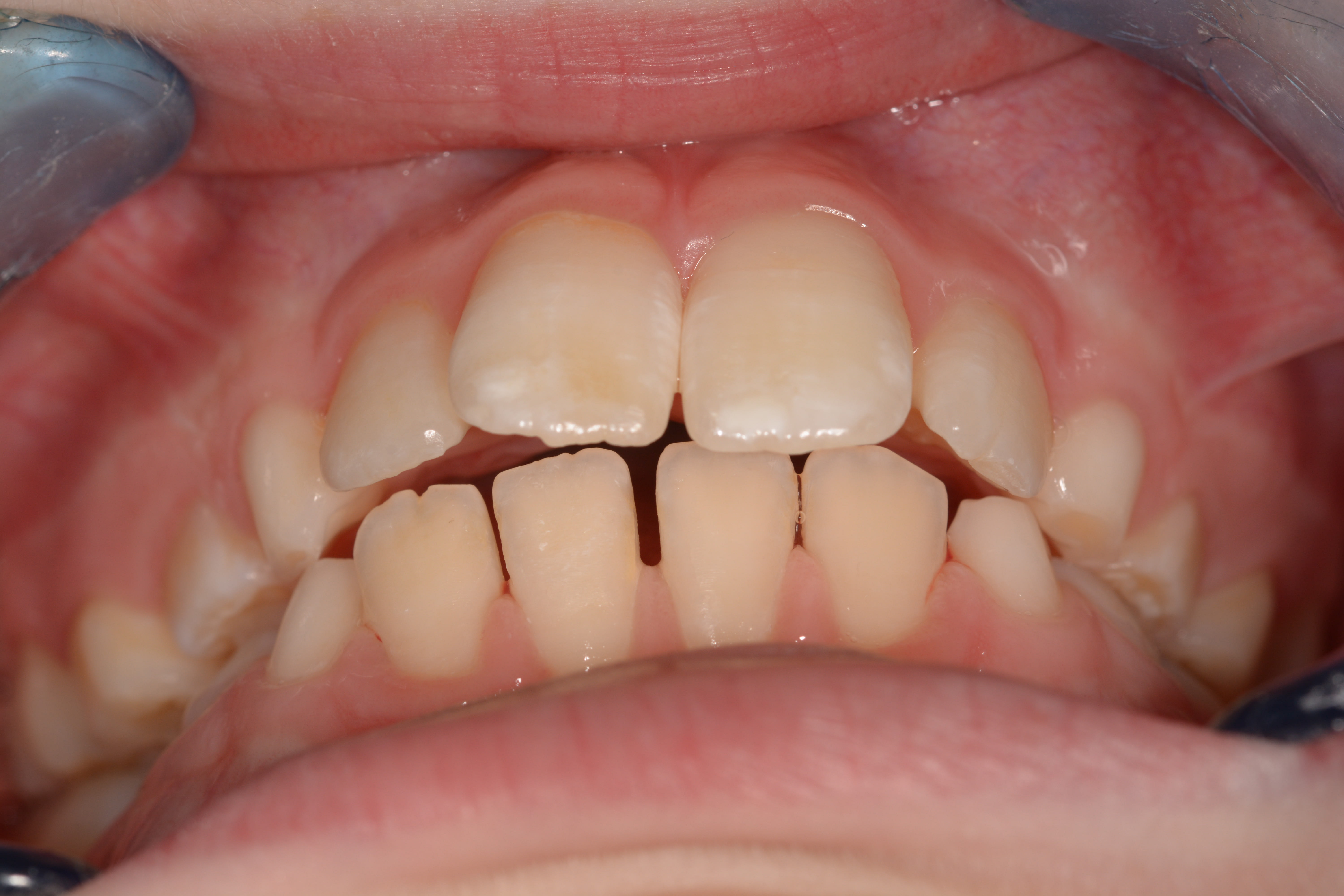
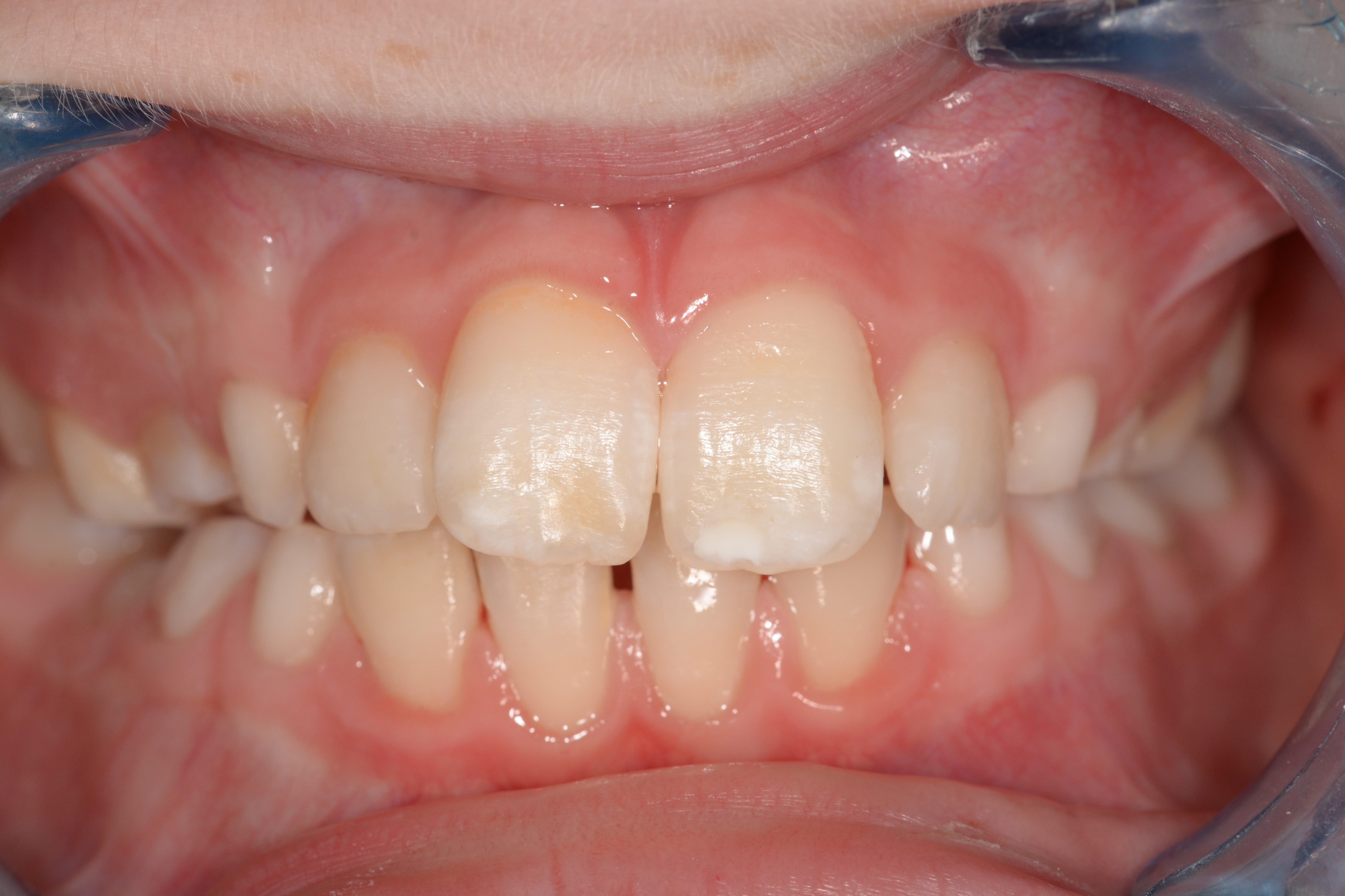
je vous présente Nicolas. Il a 9 ans aujourd'hui.
je l'ai connu le 15/07/2015, en urgence, après un accident de "cascadeur".
fracture , avec mouvement de la 21.
je n'avais pas trop le choix (pour son bien et sa tranquillité), et j'ai choisi de tenter de la garder sur l'arcade, sans rien toucher.
3 ans après et plusieurs rdv de contrôle, la dent est toujours vitale, plus du tout mobile, avec une belle couleur.
tout va pour le mieux dans le meilleur des mondes, sauf que Nicolas présente une béance antérieure. pour l'instant, je temporise, mais questions pour les orthodontistes: un traitement ortho est il recommandé?

Tbghjwyq2luiagvi2tta - Eugenol
Uzb26axkuczjcnblsjp8 - Eugenol
Zcfcfkbfpauewrsz529m - Eugenol
Deyujxedocadjycwuhk3 - Eugenol
Loqq9ykfxpy4o2kxr04l - Eugenol
Sjedjorrrzt5n9m3mvo1 - Eugenol
Kpgtufoadwvwvracgipc - Eugenol

lachmar

16/05/2018 à 17h01


je pense qu'il faut voir ca avec les parents en les prévenants bien que tout peut déraper à tout moment et que des mvts ortho pourraient être un facteur aggravant
si ils souhaitent voir un ortho tu leur fait signer un consentement eclaire pour çà (eh oui)
et tu préviens l'ortho de la situation


Avatar transparent iqadnc - Eugenol
adhoc

16/05/2018 à 18h17

Il ets evident qu'aucun ortho ne se risquera a mettre un bracket sur la 21!
A mon avis, kalif, a premiere vue, sans pano et sans analyse, le travail essentiel a ce moment, c'est la prévention de l'interposition linguale par des séances d'orthophonie et maintenit la place pour les 3 avec un Qhelix haut et un arc lingual bas.
Il se peut que la béance cesse au bout de 6 mois un an.

Le traitement multiattache se fera plus tard en ne baguant pas la 21... ou ne sera peut etre pas utile si les dents definitives sortent bien.

Donc regler l'attitude et la place tout d'abord!