Tous les forums
Besoin d'aide sur le triangle noir !
01/06/2018 à 23h16
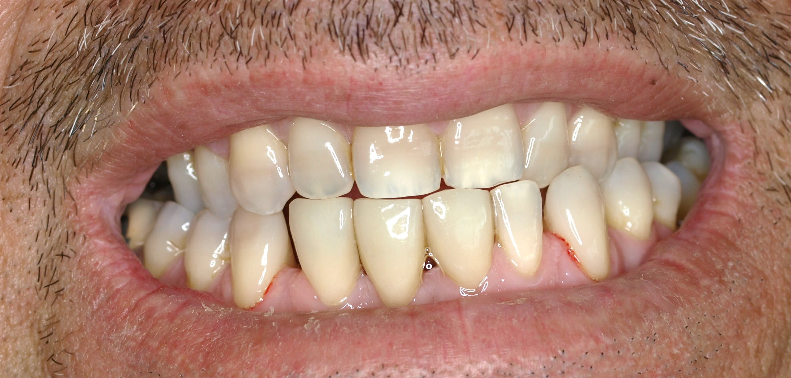
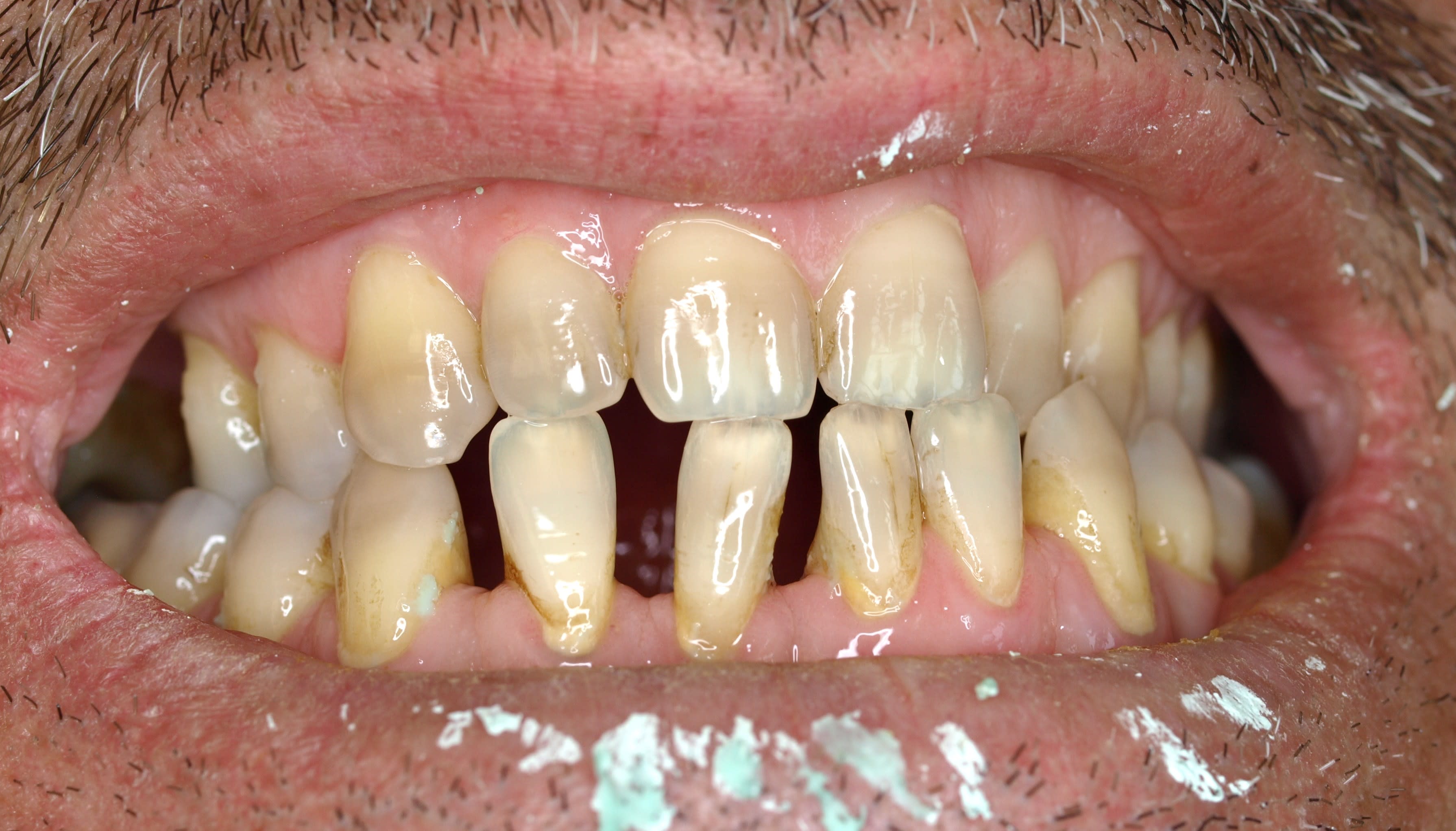
Moi ce que je ferai c'est une provisoire un peu surcontourée pour fermer l'espace parce que actuellement aucune chance que la papille revienne dans ce trou.
Ensuite en jouant sur la provisoire, - peut-être - possible de créer une néo papille, on le fait bien en implanto.
Rien à perdre de toute manière.
01/06/2018 à 23h27
oui , comme suggéré précédemment , je partage ton avis ,Bill .
il faut avoir beaucoup de patience , plus qu' en implanto , et savoir que ç est très fragile .
a mon avis la 22 était en aile de mouette style cl2div2
01/06/2018 à 23h38
et par de la prothèse fixée très simple ,et 1 équilibration , on peux faire illusion
01/06/2018 à 23h56
au probleme de notre confrere pardi ! recreer de la papille !
et au fait , avec tes belles theories , tu l'as resolu le probleme ,toi ?
tu t'fous d'mes reflexions , mais au final , t'as pas apporté plus que moi !
02/06/2018 à 00h17
Gariane écrivait:
-------
et au fait , avec tes belles theories , tu l'as resolu le probleme ,toi ?
bien sur , ç 'est fastoche :')) , et grâce à toi et à BIll , on va se le faire à 3 :
tu as vu mes 2 photos avant et apres du cas du bas ?
oui ? , donc comme te l'as dit bill avec un remplissage du volume par la prothèse , on peu recréer de la pseudo papille .
grâce à toi , tu nous rentres en palatin la 22 , ce qui fait que Bill aura moins a gonfler en mesial
et moi j'équilibre au fur et à mesure de l évolution du cas pour le rendre stable .
voilà , tranquille .
" tu t'fous d'mes réflexions "
mais alors pas du tout , il y a tjs du bon à prendre , et à compléter .
02/06/2018 à 02h39
Vue que la 22 est couronnée le cas peut être traité " simplement "
Une attache composite sur 22 et une gouttière en plastique avec élastique pour faire une extrusion de 22 sur 2 mm et recréer ainsi la hauteur d'os ( le niveau de la gencive étant déterminée par la hauteur d'os ) .
Of course prévoir une solution prothétique . la 22 vas être plus basse que la 12, donc couronnes/ facette/ meulage , enfin tout les trucs que vous savez mieux que moi :-)
--
หมอจัดฟัน
02/06/2018 à 09h08
alors , Gariane , tu vois que tu as bien fait de parler , et qu'on t'écoute .
grace à ton idée d'ortho de depart qui a fait du chemin ,on a trouvé une solution .
en espérant de te retrouver le plus tôt possible , ainsi que tous ceux qui n'osent pas se mêler et qui pourtant , auraient quelque chose à dire .
02/06/2018 à 10h31
Bon, au fait, ma papille... je fais comment ? Que ortho ? Pas de greffe gingivale ?
02/06/2018 à 10h47
L'ortho vas te regler le problème de la gencive, mais tu vas avoir la 22 2 mm plus basse que la 12 à la fin, donc prévoir une solution prothétique.
L'avantage c'est que tu remplace un problème paro dont le traitement est relativement peut prédictible ( greffe gingivale ) par un problème prothétique dont les solutions thérapeutique sont elles très prédictible.
PS : oui pas de greffe. Si tu fais descendre l'os, la gencive suis.
--
หมอจัดฟัน
02/06/2018 à 11h13
Ce post c’est comme un magazine: y’a plusieurs rubriques, articles sans rapport entre eux.... y’a même de la zique!
En fin, entre l’astrologie et les conseils sur la vie amoureuse y’a les recettes....
Daryl, pour les gencives:
Le bon vieux mélange H202/bicarbonate.
Et sinon:
He menthe poivrée, 20 gouttes, He tea tree 10 gouttes, He lavande aspic 5 gouttes dans un flacon compte gouttes 30ml. Compléter avec une huile végétale alimentaire, bien mélanger.
Mettre en bouche quelques gouttes de la préparation et masser brosser, utiliser sur les brossettes.
--
On a toujours le choix mais entre quoi et quoi?
Vas-y boulégue et l'avenir te le dira!
02/06/2018 à 11h14
Remplace avantageusement les bains de bouche et dentifrices paro
--
On a toujours le choix mais entre quoi et quoi?
Vas-y boulégue et l'avenir te le dira!
02/06/2018 à 11h21
enlaye écrivait:
------
> et par de la prothèse fixée très simple ,et 1 équilibration , on peux faire
> illusion
Joli.
Ce sont des ccc ?
02/06/2018 à 11h25
seespan écrivait:
-------
> Une attache composite sur 22 et une gouttière en plastique avec élastique pour
> faire une extrusion de 22 sur 2 mm
Tu peux montrer le dispositif si tu as une image ?
Combien de temps pour l'égression environ ?
Merci.
02/06/2018 à 11h28
@ Bill
Oui , des emax . Ç est bon les emax pour la gencive , ç est tres joueur .
Surtout quand tu les scelles :-) .
02/06/2018 à 11h30
La gencive aime bien la zircone aussi.
--
On a toujours le choix mais entre quoi et quoi?
Vas-y boulégue et l'avenir te le dira!
02/06/2018 à 11h38
L'egression d'une dent avec gouttiére oui je dois avoir les images en stock. J'essaye de poster ce soir mais ça va être dure.
Je viens de recevoir mon imprimante 3D en kit et mon nouvelle ordi ( refroidissement à eaux, GTX 1080 Ti, possibilité de mettre 3 carte graphique ) . Le Seespan il va bien être occupé ce week end...
--
หมอจัดฟัน
02/06/2018 à 12h21
Essaie les fraises dental emco coordonnées représentant en mp
--
On a toujours le choix mais entre quoi et quoi?
Vas-y boulégue et l'avenir te le dira!
02/06/2018 à 14h02
Un exemple.
Vraiment pas compliqué pour une latérale ( pour une molaire, canine ou groupe de dent, attache en résine obligatoire ).
1 prendre une empreinte aliginate
2 sur le modéle en plâtre , utiliser du composite pour remplir l'espace ou vous voulez égresser la dent
3 réaliser une gouttiére de contention
4 Retirer le plastique sur la face vestibulaire de la dent à egresser, et faire un V en palatin
5 réaliser une attache composite sur la dent à egresser
6 montrer au patient comment relier un élastique de l'attache composite , au V en palatin.
--
หมอจัดฟัน
02/06/2018 à 19h22
Un joli bricolage comme on les aime.... dommage y’ait pas un peu de Téflon dans ton histoire...
--
On a toujours le choix mais entre quoi et quoi?
Vas-y boulégue et l'avenir te le dira!
02/06/2018 à 20h16
@enlaye :
ok enlaye ; pas de souci .j'ai du mal interpreter tes propos ( ce support peut parfois tromper ) . sorry .
ton cas de protheses sur diastemes inferieurs est tres beau !
@seespan :
belles photos bien explicites comme dab
encore un truc et astuce bien pratique !